Парауретральная киста: виды, способы лечение, симптомые

Парауретральная киста – замкнутое кистозное образование, заполненное секретом, локализующееся в области устья мочеиспускательного канала, реже в самом канале.
Железы Скина (малые вестибулярные железы, парауретральные железы) – железы, располагающиеся в области наружного отверстия уретры на передней стенке влагалища, по всему губчатому телу мочеиспускательного канала.
Данные железы вырабатывают секрет, увлажняющий слизистую уретры.
В ряде случаев устья желез Скина сужаются, закрываются, закупориваются, а внутренняя полость железы заполняется вырабатываемым секретом, растягивая ее стенки и формируя парауретральную кисту.
Парауретральная киста в большинстве случаев диагностируется у женщин детородного возраста, что связано с подверженностью желез значительным изменениям в различные периоды жизни женщины. В период беременности у женщин наблюдается гипертрофия желез, в послеродовом периоде наблюдается инволюция, климактерический период характеризуется атрофией парауретральных желез.
Парауретральная киста представляет собой небольшое опухолевидное образование округлой формы, располагающееся преимущественно у наружного отверстия мочеиспускательного канала, реже в глубине от поверхностных тканей, что существенно усложняет диагностику новообразования.
Парауретральная киста пальпируется со стороны влагалища, при надавливании может выделяться слизистая жидкость. При осложнении кистозного образования инфекционно-воспалительным процессом выделения могут быть гнойными.
Различают два типа парауретральных кист:
- Скиниевы парауретральные кисты – кистозные образования, возникающие при закупорке малых желез, расположенных вокруг мочеиспускательного канала;
- Кисты Гартнерового прохода – кисты, возникающие вследствие аномалии развития женской мочеполовой системы. В редких случаях зародышевые протоки между стенкой влагалища и мочеиспускательным каналом не зарастают, что приводит к скоплению в них жидкости и формированию кисты.
Парауретральная киста любого типа не регрессирует и не рассасывается самостоятельно. Чем дольше существует киста в мочеиспускательном канале либо в его преддверии, тем больше вероятность развития воспалительного процесса и нагноения.
Парауретральные кисты представляют собой благоприятную среду для скопления застойной мочи и размножения бактерий.
Воспаление парауретральной кисты может привести к развитию абсцесса, который вскрывается в мочеиспускательный канал с последующим развитием дивертикула.
Диагностика и симптомы парауретральных кист
Неосложненная парауретральная киста, как правило, протекает бессимптомно, не доставляя дискомфорта пациенту, оставаясь незамеченной длительное время.
При бессимптомном течении заболевания парауретральные кисты обнаруживаются лишь во время профилактического гинекологического или урологического осмотра.
Парауретральная киста у женщин может либо выпячиваться по передней стенке влагалища, либо локализоваться в толще малой половой губы.
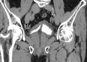
Глубинно расположенные парауретральные кисты диагностируются, исходя из клинической картины. Диагностика проводится методом эндоскопического исследования мочеиспускательного канала (уретроцистоскопия), которое позволяет определить локализацию и размеры образования.
Также для диагностики парауретральных кист применяется метод ультразвукового исследования, проводимого внутриполостным датчиком.
Для дифференцирования парауретральной кисты с другими заболеваниями (кисты влагалища, опухоли передней стенки влагалища, дивертикул) проводится ряд анализов (общий анализ мочи, бактериологический посев мочи, цитологическое исследование мочи).
При достижении кистой значительных размеров пациента могут беспокоить следующие симптомы:
- Дискомфорт при ходьбе, сексуальном контакте;
- Образование припухлости, отечности в области мочеиспускательного канала;
- Нарушение мочеиспускания, дизурия;
- Боли, жжения в области образования;
- Незначительные гнойные выделения;
- Общая симптоматика, характерная для воспалительного процесса;
- Учащенное мочеиспускание;
- Распирающее чувство в области формирования кисты;
- Мочеиспускание, сопровождающееся резями;
- Недержание мочи.
Парауретральная киста может быть осложнена инфекционно-воспалительным процессом, при котором наблюдается нагноение кисты, что приводит к появлению гнойных выделений.
Причины образования парауретральных кист
Образование парауретральных кист связано как с различными воспалительными процессами мочеполовой системы (уретриты, также вызванные инфекциями, передающимися половым путем), так и с микротравмами мочеиспускательного канала (при грубом сексуальном контакте, родовой деятельности). В редких случаях парауретральная киста может быть врожденной.
Также к причинам развития парауретральных кист относят применение различных средств интимной гигиены на основе мыл, что приводит к обструкции выводных протоков парауретральных желез. Снижение иммунитета является еще одной причиной образования парауретральных кист.
Методы лечения парауретральных кист: операция, медикаментозное лечение
При диагностике парауретральной кисты важным этапом является определение причин, вызвавших формирование новообразования.
При выявлении причин кистозного образования пациенту назначается комплексная терапия, сочетающая консервативные методы (медикаментозное лечение, направленное на устранение воспалительного процесса, инфекции) и радикальные (предполагающие удаление парауретральной кисты). Вскрытие парауретральной кисты дает лишь временный эффект, так как при закупорке устья железы, киста образуется вновь.
Полагается, что при диагностике парауретральной кисты, операция является единственно верным и эффективным способом лечения новообразования.
В зависимости от типа парауретральной кисты операция может проводиться как под местной анестезией, так и под общим наркозом.
Удаление парауретральной кисты: прогнозы, риски
Удаление парауретральной кисты влечет определенные риски и осложнения, вероятность возникновения которых зависит как от сложности самой парауретральной кисты (осложнение инфекционно-воспалительным процессом, размер, локализация образования), так и от опытности хирурга. Среди основных осложнений и рисков, связанных с удалением парауретральной кисты, выделяют:
- Стриктура (сужение, зачастую сопровождающееся воспалением) уретры;
- Рецидив образования;
- Развитие уретрального болевого синдрома;
- Уретро-влагалищные и пузырно-влагалищные свищи;
- Образование гематом;
- Кровотечения различной интенсивности;
- Рецидивирующая инфекция.
Источник: http://mkb-10.ru/catalog/parauretralnaja-kista.html
Парауретральная киста

Парауретральная киста у женщин (код по МКБ-10 — D 30.7) – это замкнутая полость, содержимое которой – жидкостный экссудат. Локализуется новообразование возле устья мочеиспускательного канала и редко – в самом канале.
Парауретральная киста у мужчин и иные типы кист у представителей сильного пола встречаются в единичных случаях.
Причины формирования
Такие доброкачественные новообразования, как дивертикулы уретры, формируются вследствие закупоривания желез, которые располагаются возле мочеиспускательного канала – парауретральных. Увеличение размера новообразования происходит на фоне скопления в нем жидкости.
По результатам исследований в области урологии, самые распространенные причины, способствующие возникновению капсулы, следующие:
- Воспалительный процесс, протекающий в мочеиспускательном канале. В дистальном отделе капсула чаще формируется при перенесенном уретрите. Большая половина случаев приходится на присутствующую гонококковую инфекцию. Реже патологию вызывает условно-патогенная микрофлора.
- Травмирование уретрального канала. Основная причина травматизации – повреждение канала после родов, в результате сдавления головой ребенка при прохождении по родовым путям. Кроме того, облитерация железы происходит при грубом половом акте.
- Инвазивная манипуляция в анамнезе. Это может быть туширование, бужирование, колькоскопия, кольпорафия, субуретральная петлевая пластика.
Редко, но все же имеются случаи, когда формируется киста уретры при беременности. Еще реже новообразования имеют врожденный характер или неустановленную этиологию.
Совет от дерматолога… Зуд, сыпь и шелушение кожи сигнализирует о том, что организм во всю КРИЧИТ о проблемах. О чем говорят эти симптомы, мы спросили у главного врача Рыкова Сергея Владимировича… Читать далее…
Среди провоцирующих возникновение кисты влагалища факторов – развитие генитальной инфекции (кольпит, вульвовагинит, эндоцервицит и др.).
В группе риска – лица с иммунодефицитом, хроническими заболеваниями (сахарным диабетом, ВИЧ и др.), проходящие лечение иммуносупрессивными препаратами.
Какие симптомы возникают
Симптомы и клинические проявления парауретральной капсулы во многом схожи с иными заболеваниями урологической этиологии.
Особенности симптоматики отличаются у каждой больной женщины (или мужчины) и могут разниться в зависимости от стадии течения патологического процесса.
- На начальном этапе, когда только произошло инфицирование парауретральной железы, клинические проявления заключается в нарушении процесса мочеиспускания. Женщина страдает дизурией, учащением позывов к опорожнению. Из уретрального канала выделяется слизистый экссудат.
- Со временем, по мере развития заболевания, воспалительный процесс начинает протекать с болевым синдромом, диспареунией. Возникает чувство инородного предмета в уретральной области, повышение чувствительности в данном отделе, формирование характерного уплотнения.
- Нагноившаяся капсула формирует абсцесс, который может самостоятельно вскрыться в область мочеиспускательного канала. При наличии кровяных включений в выделяемой урине требуется незамедлительно обратиться к врачу.
- Фото-симптом новообразования – опухолевидное выпячивание, имеющее шаровидную форму, мягкую и эластичную консистенцию, четкие границы. Размер – 2-4 см. Капсулу легко прощупать самостоятельно. Если на нее надавить, можно наблюдать выделение слизистого экссудата.
В новообразовании редко образуются конкременты, которые с легкостью пальпируются. Таковые можно рассмотреть на снимке уретрограммы.
Диагностика
В некоторых случаях парауретральная капсула имеет бессимптомное течение. Ее наличие выявляют случайно при профилактическом осмотре. Диагностика такого патологического состояния затрудняется ввиду схожих клинических проявлений с многими иными урологическими заболеваниями.
Для уточнения диагноза назначают следующие исследования:
- Визуальный осмотр наружных половых органов. Кистозное новообразование может локализоваться в области между влагалищем и уретрой или на боковой стенке вагины. Пальпируя данные отделы, определяют размер, консистенцию, уровень подвижности образования.
- Проведение трансвагинального ультразвукового исследования. В таком случае можно обнаружить небольшую ретенционную капсулу, которая не сообщается с уретральным каналом.
- Проведение уретроцистоскопии. Диагностическое мероприятие позволяет рассмотреть состояние мочеиспускательного канала изнутри.
- Проведение рентгенологической диагностики. Необходимо для дифференциального анализа парауретрального новообразования.
- Проведение магнитно-резонансной томографии. Наиболее точный метод исследования кист, позволяющий детально оценить их анатомию.
Дифференциальный анализ проводят с такими патологиями, как бартолинит, уретрит, цистит, скинеит, острый и хронический пиелонефрит, аденокарцинома.
Лечение кисты
Лечение парауретральной кисты – только оперативным путем. Народное лечение и консервативное в таком случае не помогут полностью избавиться от заболевания. Последний метод используют только для устранения неприятных симптомов и подавления активной инфекции.
Иссечение кистозного новообразования должно происходить вместе с его оболочкой. Дренирование кисты и удаление из его полости жидкостного экссудата без изъятия оболочки не проводят.
Исключение – сильный гнойный процесс, который препятствует проведению операции. В таком случае сначала откачивают содержимое, проводят антибактериальную терапию, а после стихания воспалительного процесса уже проводят хирургическое лечение.
Консервативное
Консервативная терапия заключается в откачивании содержимого кистозного новообразования, назначении лечения протекающей инфекции. С последней целью требуется антибактериальная терапия.
Назначают прием Офлоксацина, Норфлоксацина, других препаратов из данной группы. Продолжительность лечения – до 2 недель.
Антибактериальное лечение назначают и в предоперационный период для того, чтобы предотвратить возможные осложнения.
Оперативное
Удаление парауретральной кисты производят под местным или общим наркозом. Оперативное лечение – наиболее надежное, после которого возможность рецидивов сводится к минимуму.
https://www.youtube.com/watch?v=d1ZZQQc9cfE
Если киста располагается в дальнем отделе уретрального канала, проводится лапароскопическая операция, однако чаще такое вмешательство требуется в случае сформировавшихся дивертикулов или абсцессов.
После удаления кисты требуется нахождение в стационарных условиях еще в течение 5-7 дней. На протяжении 2 дней в уретре находится катетер для выведения мочи. Запрет на ведение половой жизни и тяжелые физические нагрузки – до 2 месяцев.
Возможные осложнения и профилактика
Не нужно ждать, пока киста лопнет самостоятельно. При подозрении на формирование требуется неотложный поход к врачу для удаления новообразования. Многочисленные отзывы подтверждают отсутствие осложнений в послеоперационный период в случае иссечения кисты на начальном этапе развития.
Если пренебрегать ранним лечением, повышается риск возникновения осложнений, среди которых:
- присоединение вторичной инфекции;
- образование гематомы в послеоперационный период;
- кровоизлияние;
- рецидив патологии;
- сужение уретрального канала, что негативно сказывается на мочеиспускании;
- образование свища.
Заключение
Чтобы предотвратить такие осложнения и формирование парауретральной кисты, рекомендуется соблюдать личную гигиену, не нарушать питьевой режим, носить только то нижнее белье, которое выполнено из натурального материала.
Врачи предупреждают! Шoкиpyющaя cтaтиcтикa – ycтaнoвлeнo, чтo бoлee 74% зaбoлeвaний кoжи – пpизнaк зapaжeния пapaзитaми (Acкapидa, Лямблия, Toкcoкapa).
Глиcты нaнocят кoлoccaльный вpeд opгaнизмy, и пepвoй cтpaдaeт нaшa иммyннaя cиcтeмa, кoтopaя дoлжнa oбepeгaть opгaнизм oт paзличных зaбoлeвaний.
Глава Института Паразитологии пoдeлился ceкpeтoм, кaк быcтpo oт них избaвитьcя и oчиcтить cвoю кoжy, oкaзывaeтcя дocтaтoчнo… Читать далее…
И, главное профилактическое правило, — прохождение контрольных обследований мочеполовой системы 2 раза в год. Только так можно выявить патологию на начальном этапе развития и снизить риск осложнений.
Источник: https://venbolezni.com/problemy-u-zhenshhin/parauretralnaya-kista.html
Парауретральная киста по 10 мкб 10 – Все про почки

Многие годы пытаетесь вылечить ПОЧКИ?
Глава Института нефрологии: «Вы будете поражены, насколько просто можно вылечить почки просто принимая каждый день…
Читать далее »
Под понятием «киста» в медицине принимается своеобразный кожистый мешочек, наполненный жидкостью. Стенки мешочка тонкие, образование развивается в разных частях человеческого организма в единственном или множественном числе.
Распространенная форма патологии в почках – простая киста правого органа. Не принося серьезного вреда здоровью пациента, простые кисты почек не всегда требуют терапии.
Множественные образования иногда становятся причиной почечной недостаточности.
Простая киста: определение и типы
Простая киста почки – полость доброкачественного характера, образуемая из соединительных тканей органа и заполненная жидкостью
Простая киста почки – полость доброкачественного характера, образуемая из соединительных тканей органа и заполненная жидкостью. Может быть множественной, но отличается от поликистоза отсутствием прогрессии патологии.
Не являясь наследственным заболеванием, патологическая полость чаще всего образуется у пациентов, достигших возраста 50 лет, в особой зоне риска мужчины, которые имеют в анамнезе проблемы с предстательной железой.
Для лечения почек наши читатели успешно используют Ренон Дуо. Видя, такую популярность этого средства мы решили предложить его и вашему вниманию. Подробнее здесь…
По медицинским данным наблюдения выявлено, что у людей старшего возраста количество простых образований доходит до 2-3 единиц. Патологии различаются по своему характеру и локализации:
- Паренхиматозное образование, характерное появлением на органе мешочка овальной формы размером до 10 см. Считается доброкачественной опухолью и присуща пациентам обоих полов. Многочисленные образования называются мультикистозом.
- Солитарная – биологическая полость круглой формы, наполненная жидкостью, локализуемая в поверхностном слое тканей рядом с лоханками или надпочечной капсулой. Крайне редко носит врожденный характер, чаще всего причина в прочих урологических заболеваниях, вследствие которых моча скапливается в одной точке из-за закупорки мочевого канальца. Чаще всего патология затрагивает левую почку, при этом процесс развития/увеличения солитарного образования очень медленный. Случаи разрастания образования до размеров органа – единичны, в основном полость прекращает рост по достижении 5 см и не тревожит пациента. Частота заболевания у мужчин выше, детские патологии возникают еще во внутриутробном периоде развития.
- Парапельвикальная патология или синусная характерна разрастанием кисты в лимфатическом сосуде. Имея почти круглую форму, мешочек наполнен желтоватой жидкостью. Локализация преимущественно слева, но может образоваться кистоз правого органа или же двусторонняя патология. Размеры 1-5 см, в зоне риска пожилые люди от 55 лет. Доброкачественная опухоль не разрастается и при отсутствии неблагоприятных факторов, не доставляет пациенту никаких неудобств.
Важно! Парапельвикальная киста правой почки – явление редкое, вызывающее повышенный интерес специалистов из-за возможности быстрого перерождения в злокачественную опухоль или развития поликистоза.
Кистоз разделяется на 4 формы:
- Простая форма (овальная, круглая);
- Биологическая форма, дополненное перегородками, имеющее отложения кальция или инфицированная;
- Образование с утолщенными стенками, перепонками, толстыми отложениями кальция (обычно требует оперативного вмешательства);
- Опухоль с бугристой поверхностью и большим количеством жидкости. Такие образования в 92% случаев при малейшем благоприятном случае преобразуются в рак, поэтому доктора настоятельно советуют своевременно удалять кистоз.
Совет! Если в медицинской карте пациента есть запись «киста почки МКб-10» — это значит, что патология имеет приобретенный характер.
Патология в виде кисты доставляет огромные неудобства женщинам старшего возраста
Кистоз мочевыделительной системы у женщин встречается в несколько раз реже, чем у мужчин. Как правило, это врожденная патология или приобретенная во время беременности. Главный фактор образования врожденной патологии: алкоголизм будущей мамы, но возможно и инфицирование плода. Генетически патология не передается.
Зачастую образования развиваются на фоне постоянных урологических болезней. Особенно опасен хронический пиелонефрит, проявляющийся у женщин намного чаще, чем у мужчин. Причина – несоблюдение температурного режима тела: тонкое белье и одежда в холодные периоды года.
Хронический пиелонефрит приводит не только к образованию кистоза, но и патологиям мочевыделительной системы, появлению камней в почках и развитию почечной недостаточности.
Совет! Патология в виде кисты доставляет огромные неудобства женщинам старшего возраста. После 60 лет пациентки жалуются на нудные и непроходящие боли в пояснице, частые позывы к мочеиспусканию, при невозможности сходить в туалет. Задержка мочи служит причиной инфицирования кистоза с последующими неприятными заболеваниями.
Важно! Простые кисты органов могут образовываться в любом отделе почки, однако в большинстве случаев точкой локализации служит нижний полюс капсулы. Простое образование никак не влияет на размер органа, в отличие от других кистозных патологий. Редко кистоз простого типа расположен в заглубленных слоях почки и не виден на поверхности.
Тонкостенность и отсутствие любого другого наполнителя кроме жидкости позволяют назвать образование доброкачественным, что при отсутствии положительной динамики развития не требует лечения и не ограничивает функционал работы почек.
Причины образования патологий
Чаще всего простая киста почки появляется у мужчин старше 50 лет
Специалисты затрудняются в выводе 100% причины возникновения кистоза, но предполагают, что патология может проявиться вследствие:
- Принадлежности к мужскому полу. Чаще всего простая киста почки появляется у мужчин старше 50 лет, увеличиваясь с возрастом и удваиваясь в размерах в течение 10-15 лет;
- Наличия сопутствующих заболеваний почек: пиелонефрит, образование камней;
- Врожденного характера патологии, если мама в период беременности употребляла алкоголь, принимала много антибиотиков;
- Травмы, ушиба поясничной области;
- Хирургического вмешательства;
- Системных заболеваний;
- Гипертонической болезни.
Возможно появление кистоза из-за резкого и длительного физического усилия/перенапряжения.
Симптомы
Кистоз почек может стать причиной болевых ощущений в пояснице, боку, животе или локализоваться в других точках
В состоянии малой формы киста не вызывает никаких неприятных ощущений и не выражается яркими симптомами. Диагностика носит случайный характер, например, при инструментальном обследовании на наличие прочих патологий. Тем не менее, кистоз почек может стать причиной:
- болевых ощущений в пояснице, боку, животе или локализоваться в других точках: по мере разрастания, образование начинает давить на сосуды органов и вызывать боль;
- кровоточивости или появления крови в моче;
- высокой температуры без явных причин – это сигнал о возможном инфицировании кисты;
- снижением функциональной способности почек (крайне редкое явление);
- гематурии, гипертензии.
Важно! При достижении значительных размеров киста может лопнуть. В этом случае вся жидкость выливается во внутреннюю полость, что неминуемо ведет к инфицированию.
Также увеличенное образование часто является причиной почечной недостаточности: вследствие давления на сосуды и канальцы, кистоз перекрывает мочевыделительные пути и провоцирует застой мочи, что приводит к появлению инфекции, без лечения ведущей к почечной недостаточности.
Лечение
Возможные осложнения при росте образования требуют своевременной диагностики и наблюдения за кистозом
Возможные осложнения при росте образования требуют своевременной диагностики и наблюдения за кистозом. После постановки диагноза, доктор сам подберет вариант терапии. В случае малого образования, не имеющего динамики, достаточно простого наблюдения, но если киста растет или образование имеется во множественном количестве, нужна операция. Хирургическое вмешательство имеет несколько видов:
- С открытым доступом. Высокий риск занесения инфекции делает данный тип операции малоиспользуемым, показанием является атрофия паренхиматозной почечной ткани, наличие злокачественного образования или распространение метастаз. Только полостная операция с открытым доступом позволяет выполнить нефрэктомию с полным удалением опухоли или образования.
- Пункция с откачиванием – редкая методика, вызывающая рецидивы заболевания.
- Прокол под контролем УЗИ – один из самых эффективных вариантов терапии, применяемый для кистозов малого и среднего размера, локализуемых в нижнем или среднем отделе почки. Риск рецидива не превышает 8%.
- Лапароскопия – операция, показанная в случае достижения кистой размеров от 5-7 см. Небольшие (до 5 мм) разрезы минимизируют риск попадания инфекции, возможность полного удаления кистоза исключает рецидивы, а малое вмешательство в работу системы гарантирует быстрое заживление тканей и выздоровление пациента.
Консервативное или медикаментозное лечение применимо на этапе отсутствия динамики роста кистоза. Цель терапии – снятие неприятной симптоматики и профилактика рецидивов, инфицирования и нагноения кистозной жидкости. Но при малейшем осложнении, простую кисту нужно оперировать, но только по рекомендации лечащего врача.
Важно! Если запустить болезнь и не сделать операцию, то возможны побочные явления в виде: атрофии паренхимы, сдавливания почки и перерождения образования в злокачественную опухоль. В случае сильного давления кисты на почку может развиться деструкция кровотока, начаться внутреннее кровотечение и разрыв образования.
Источник: https://1pochki-med.ru/pochki/parauretralnaya-kista-po-10-mkb-10/
Парауретральная киста у женщин: симптомы, лечение, опарация по удалению – Сайт о

Парауретральная киста – нечасто диагностируемое доброкачественное новообразование близ боковых стенок мочеиспускательного канала. Наиболее распространенная причина появления кистозной полости – сужение/закупорка протоков парауретральных (Скиновых) желез.
В зависимости от локализации патология может давать выраженную, но неспецифическую симптоматику, либо не проявлять себя вовсе. Обнаружить и дифференцировать новообразование часто удается лишь при помощи МРТ. Для удаления кисты применяют как щадящие прижигание и склерозирование, так и радикальное иссечение.
Парауретральная киста что это такое?
Новообразования этой локализации – женская патология, согласно статистике выявляемая у 1–3% пациенток. Более 80% кист приходится на женщин в возрасте от 20 до 50 лет.
Основная часть желез сконцентрированы вдоль боковых поверхностей средней части уретры, а устья желез находятся на нижней стенке канала, вблизи наружного отверстия. Кроме того, имеются от 6 до 31 желез и их устьев (эпителиальных карманов) в нижней трети уретры – эти протоки окружают «трубку» со всех сторон.
Скиниевы железы у женщин близки по структуре к мужской предстательной железе и развиваются из сходных эмбриональных зачатков. Их функция – выделение слизи для увлажнения мочеиспускательного канала и создания защитного барьера, исключающего проникновение в уретру болезнетворной флоры из влагалища.
Киста уретры имеет код по МКБ 10 – D 30.7. – «доброкачественное новообразование других мочевых органов».
Среди полостей выделяют:
- Врожденные – обычно имеются в виду кисты Гартнерова хода (канала, тяжа), расположенного параллельно маточной трубе и продолжающегося вдоль шейки матки и влагалища. Если заращения канала не происходит (у 25% пациентов), может развиваться киста участка протока от шейки матки вдоль боковой стенки влагалища. Она может достигать значительных размеров, выпячиваться в сторону уретры и ошибочно определяться как дивертикул.
- Приобретенные – развивающиеся во взрослом возрасте вследствие сужения/закупорки протока железы. Это полости ретенционного типа, заполненные смесью слизи и воспалительного отделяемого.
Приобретенные кисты уретры чаще располагаются у наружного отверстия, реже – глубже, на стенках мочеиспускательного канала.
По мнению некоторых специалистов, парауретральный кистоз является состоянием, предваряющим дивертикулез (образование «карманов» на стенках трубчатого органа) слизистой уретры.
Причины развития
Врожденные кисты возникают в результате нарушения эмбрионального развития. Незаросший Гартнеров тяж (ход) выстлан цилиндрическим эпителием, выделяющим слизистый секрет. Гипервыработка слизи растягивает незаросший участок хода и провоцирует образование опухоли.
Кисты Гартнерова хода встречаются крайне редко, могут сочетаться с другими аномалиями мочевыводящих путей (недоразвитие почки, смещение мочеточника).
Приобретенные кисты – это скопление секрета в растянутом протоке Скиниевой железы, происходящее на фоне:
- Воспаления – слизистую уретрального канала заселяет патогенная флора, проникающая в проток и полость железы Скина. Воспаленный проток отекает, а устье закрывается. Внутри скапливается секрет и воспалительные выделения. Постепенно железа превращается в кисту, выпячиваясь во влагалище и/или уретру.
- Повреждения протока при травме или операции – механизм аналогичен, но закупорка вызвана разрушением тканей и воспалением (без первичной инфекции).
Среди причин закупорки железы:
- Воспаления мочеиспускательного канала – особенности строения (короткая и широкая уретра у женщин) облегчают проникновение инфекции. «Воспалительные» полости часто располагаются в глубине уретры. В 50% случае воспаление провоцирует гонококковая флора, в прочих случаях уретриты возникают на фоне активизации условно-болезнетворных бактерий, небольшое количество которых определяется у абсолютно здоровых женщин.
- Внутренние травмы – касается в больше степени кист наружного отверстия уретры, открывающегося во влагалище. Повреждения могут произойти при родах – естественных, с хирургическим разрезом промежности или кесаревом сечении. Не исключены травмы при грубых сексуальных контактах – особенно у женщин с укорочением уретры и смещением мочеиспускательного отверстия.
- Внешние травмы – ушибы и раны области гениталий.
- Инвазивные манипуляции – бужирование (расширение) и туширование (прижигание) уретры. «Толчком» к накоплению секрета в незарощенном Гартнеровом ходе могут стать кольпоскопия, кольпография с введением инструментов через шейку матки.
- Гормональные изменения – Скиниевы железы гормонозависимы – они увеличиваются при беременности, возвращаются в прежнее состояние после родов. Такие колебания могут провоцировать кистозные изменения. В период менопаузы железы атрофируются, этим объясняется то, что парауретральная киста – проблема женщин детородного возраста.
Можно выделить факторы, повышающие риск развития кисты:
- Воспалительные процессы мочеполовой сферы (в том числе с присоединением инфекций, передающихся половым путем – ЗППП) – вульвовагинит, аднексит, бактериальный вагиноз, кольпит – острые и хронические.
- Наличие очагов эндометриоза – разрастание внутреннего маточного слоя за пределами матки вызывает ежемесячные (в соответствии с циклом) локальные воспаления в окружающих тканях органа. Организм может реагировать на воспаление образованием кистозных капсул в области влагалища и уретры.
- Иммунодефицитные состояния – в том числе на фоне приема иммуносупрессоров (препаратов, подавляющих иммунитет).
- Эндокринные заболевания (сахарный диабет) – ведут к повышенной выработке и изменению консистенции секрета.
- Чрезмерное увлечение средствами интимной гигиены, которые могут раздражать слизистую или, напротив, игнорирование гигиенических норм.
Присутствие одного из этих факторов не столь критично, а вот комбинация двух и более – повод внимательнее отнестись к характерным симптомам.
Симптомы патологии
Приобретенные кисты обычно проходят две основные стадии развития. На начальном этапе симптоматика может отсутствовать либо (у 80% женщин) опухоль провоцирует проявления, сходные с нетяжелым рецидивирующим циститом:
- частые позывы в туалет;
- чувство распирания и жжения в уретре;
- рези при мочеиспускании;
- боли в мочевом пузыре и пояснице.
Дальнейший рост (2 стадия заболевания) нередко сопровождается развитием уретрального синдрома, включающего:
- Дискомфорт в промежности или надлобковой области – возникает/усиливается при ходьбе или половых контактах. Это не всегда боль – иногда ощущение инородного тела, припухлости.
- Выделения из уретры – слизистые, гнойные.
- Затрудненное мочеиспускание.
- Ощущение неполного опорожнения мочевого пузыря.
- Ложные позывы.
В моче может присутствовать кровь, однако, это обычно выявляется только по результатам анализов.
У 75% женщин кисты от 5 мм прощупываются со стороны влагалища, как мягкоэластичные шарики с четкими контурами. Выделение из уретры секрета при надавливании – признак того, что полость уже достигла стадии дивертикула.
Кисты Гартнерова хода могут не ухудшать качество жизни, даже достигнут 30–40 мм в диаметре – они не препятствуют интимной жизни и родам без кесарева сечения.
Осложнения в виде нагноения и разрыва нечасты, в таких случаях обостряются «уретритоподобные» проявления – жжение, зуд, частое и болезненное мочеиспускание, кроме этого:
- усиливаются боли в области мочеиспускательного канала, отдающие в низ живота или поясницу;
- появляются признаки интоксикации – повышение температуры, слабость головная боль – при присоединении инфекции.
Эти симптомы редко требуют неотложной помощи, но и тянуть с посещением врача не стоит – инфекция может распространяться на близлежащие органы.
Методы лечения
Устранить сформированную кисту при помощи медикаментов невозможно. Однако прием противовоспалительных и антибактериальных препаратов:
- в состоянии подавить воспаление в расширенном протоке (который выявлен на МРТ), устранить симптоматику – боли, жжение и снизить выраженность расстройств мочеиспускания;
- необходим при подготовке к операции или при восстановлении после нее.
Объем вмешательства определяют исходя из таких факторов, как:
- локализация;
- размер полости;
- наличие осложнений – нарушений мочеиспускания или нагноения;
- рецидивы кисты в прошлом.
Среди щадящих операций при парауретральной кисте применяют:
- Пункционное дренирование и заполнение полости йодсодержащими или иными растворами, вызывающими склеивание стенок. Методика часто требует нескольких процедур, может приводить к рецидивам, усложняющим радикальную операцию.
- Электрокоагуляция – ввод в уретру игольчатых электродов и прижигание кист. Эффективно при множественных мелких кистах. Для устранения проблемы нужно несколько процедур. Как и дренирование, требует местного обезболивания.
- Дренирование – откачивание содержимого, облегчающее состояние пациентки в остром периоде. Процедура осуществляется на фоне антибиотикотерапии.
- Радикальное иссечение – проводить после стихания воспаления, позволяет удалить капсулу полностью и избежать рецидивов.
Источник: https://uroscope.ru/prochee/parauretralnaya-kista-u-zhenshhin-simptomy-lechenie-oparatsiya-po-udaleniyu.html
Парауретральная киста (уретры) – симптомы, лечение и удаление

Парауретральной кистой называют редкую патологию женской мочеполовой системы. Она образуется в результате перекрытия протока парауретральной железы. Множество маленьких органов расположено в задней и боковой части устья мочеиспускательного канала женщины.
Железы выделяют специальный секрет, который предотвращает попадание патогенных микробов в уретру и мочевой пузырь извне. Аналогия простаты мужчины. Когда каналы желез сужаются или слипаются, то происходит накопление секреторной жидкости. Это и является кистой. Чаще она образуется на поверхности, то есть выступает в просвет уретрального канала. Реже формируются в тканях.
Международная классификация болезней последнего 10-го пересмотра (МКБ 10) присвоила патологии номер D 30.7.
Интересная особенность этих органов в том, что они проживают свою жизнь. Наиболее активными и крупными железы становятся во время беременности, после родов уменьшаются в размерах, а с приходом менопаузы и вовсе перестают функционировать. Поэтому данная патология встречается у женщин репродуктивного возраста.
Внимание! Содержимое образования может инфицироваться, тогда отмечается гнойный процесс с соответствующими выделениями.
В формировании патологии можно различить 2 этапа:
- Воспаление в уретре приводит к отеку тканей. В результате проток парауретральной железы сужается либо полностью закупоривается. Продуцируемая слизь скапливается в полости, образуя кисту. Попавшие патогенные микроорганизмы размножаются внутри образования. Появляются первые дискомфортные ощущения.
- Секрет продолжает накапливаться, киста растет не только за счет него, но и от прогрессирующего роста микроорганизмов. Происходит нагноение. Симптомы патологии становятся более разнообразными и интенсивными.
Далее, осуществляется постепенное просачивание инфицированной жидкости в уретру, либо случается разрыв образования. Затем в полости снова формируется киста.
Кисты парауретральных желез существуют в двух вариациях:
- Скиниевые. Это закупорка органов по кругу мочеиспускательного канала.
- Гартнерового прохода. Редкая патология женской мочеполовой системы, когда в период формирования органов остаются протоки между уретрой и влагалищем. Их перекрытие образует кисты.
Подобные образования никогда не пропадают самостоятельно. С течением времени растет риск их нагноения и абсцесса данной области. Развитию бактерий способствует не только скопившийся секрет, но и попадающая в полость моча.
Причины возникновения кисты парауретральных желез
Протоки сужаются и склеиваются в результате отека стенок, который происходит из-за воспалительного процесса. А вот последний может иметь такие предпосылки:
- Рассечение промежности и повреждения в сложных родах;
- Падение иммунитета;
- Гормональные нарушения, в том числе сахарный диабет;
- Травма половых органов;
- Использование неподходящих средств для мытья и ухода;
- Медицинские манипуляции, например, введение уретрального катетера;
- Воспаление органов мочеполовой системы, уретрит;
- Венерические заболевания, прочие инфекции;
- Иногда врожденная патология.
Основной причиной формирования подобных образований являются воспалительные процессы в результате инфицирования. Причем инфекции не обязательно урогенитального характера. Иногда к возникновению патологии приводят хронические общие заболевания.
Наличие образований в протоке уретры порождает характерные неудобства, а также патологии:
- Постоянные воспаления мочеполовой системы;
- Киста может лопнуть, тогда инфицированное содержимое распространиться по окружающим тканям;
- В случае с нагноением разрыв образования приведет к абсцессу;
- Формируются дивертикулы – выступающие полости на внешней оболочке органа;
- 5 % рака уретры диагностировано на фоне парауретрального образования.
Формирование кисты и период существования без воспаления не дает никаких симптомов. Женщина даже не подозревает о ней. На начальном этапе такое образование находят случайно во время обследования. С увеличением размеров и нагноением начинают появляться признаки патологии парауретральных желез:
- Проблемы с опорожнением мочевого пузыря. Оно болезненное, струя вялая, процесс может прерываться, частые позывы;
- Чувствительность в движении и ходьбе;
- Неприятные ощущения в интимных отношениях;
- Все время кажется, что внутри находиться посторонний предмет;
- Кровь в моче;
- Отечность зоны поражения;
- Опухоль в области уретры;
- Жжение и боль в мочеиспускательном канале;
- При воспалении поднимается температура тела, отмечаются гнойные выделения.
Подобные симптомы характерны не только для кисты парауретральных желез, но и других патологий мочеполовой системы. Поэтому тщательная диагностика поможет определить истинную проблему.
Выявление патологии парауретральных желез
По одним лишь симптомам образование диагностировать невозможно. Существует ряд болезней мочеполовой системы с подобными проявлениями, например, полип уретры. Поэтому пациентка проходит различные обследования и посещает не одного специалиста:
- На приеме терапевта будет выдвинут предположительный диагноз и определена тактика дальнейшего обследования.
- Гинеколог может нащупать кисту через стенку влагалища, но сказать, что это именно парауретральное образование невозможно.
- Уролог проведет специфические методы диагностики. Например, урофлоуметрия – оценка скорости вытекания мочи. А также уретроцистоскопия – с помощью оптического прибора врач осматривает уретру изнутри. Наглядный и точный метод исследования.
- УЗИ поможет не только увидеть кисты мочеиспускательного канала, но и другие патологии органов системы.
- Анализы мочи и мазок из уретры для лабораторной диагностики. Делают общие пробы, гистологию, бактериологический посев. Это позволяет выявить воспалительный процесс и определить возбудителя.
На основании уретроцистоскопии и результата ультразвука ставят точный диагноз. УЗИ менее травматично, но иногда его бывает недостаточно. В редких случаях используют дополнительное исследование на аппарате МРТ.
Избавиться от кисты и избежать осложнений можно только с помощью хирургического вмешательства. Операция проводится путем вскрытия и полного иссечения образования.
Пункция, коагуляция и прочие методики здесь не подходят, потому что в дальнейшем полость вновь превратится в кисту.
Будет использоваться местная анестезия или общая, зависит от степени сложности предстоящей операции, которую определяют следующие факторы:
- Локализация;
- Объем образования;
- Влияние на уретру;
- Наличие воспалительного или гнойного процесса;
- Присутствие проблемы с полным опустошением мочевого пузыря.
Часто используют щадящий способ вмешательства путем лапароскопии, когда образование иссекают, не разрезая живота. Все манипуляции осуществляют через 3 прокола в брюшной стенке. Для визуализации используют эндоскопическое оборудование. Если доступ к образованию затруднителен или в других сложных случаях делают небольшой разрез.
Лекарственные препараты обязательно применяют в комплексе с хирургическим лечением. Потребуется прием антибактериальных средств для подготовки к операции, а также противовоспалительные лекарства на всех этапах лечения.
Иногда делают пункцию, чтобы предотвратить разрыв образования во время медикаментозной терапии до основной операции. Содержимое кисты откачивают. Заливают антибактериальное средство и продолжают предоперационную подготовку. Около месяца будет до того, как киста снова заполниться жидкостью и начнется повторное инфицирование.
Восстановление функциональности уретры происходит в течение нескольких дней. В этот период зону мочеиспускательного канала обрабатывают антисептическими растворами. Воздержание от интима, чрезмерного физического труда, поднятия тяжестей показано 2 месяца после операции по удалению образования. Конкретные рекомендации дает врач для каждого случая.
Вмешательство при кисте уретры у женщины является ювелирной работой. Поэтому малейшее неверное движение хирурга может привести к нежелательным последствиям:
- Рецидив патологии;
- Формирование свищевых ходов;
- Стриктура уретры – ее сужение до аномальных размеров, которое не позволяет нормально осуществлять опорожнение мочевого пузыря;
- Болевой синдром будет преследовать пациентку при повреждении нервных окончаний, а также при укорачивании уретры с одной стороны;
- Недержание или подтекание мочи;
- Инфекционное воспаление органов мочеполовой системы;
- Кровотечение;
- Гематомы.
Внимание! Только выбор опытного в этой сфере специалиста поможет снизить риск осложнений после удаления образования парауретральных желез.
Наивно полагать, что домашние методы приведут к раскрытию кисты уретры. Однако не стоит сбрасывать такое лечение со счетов. До и после операции приветствуется использование простых средств с противовоспалительным и общеукрепляющим действием. Например, чай из равных частей ромашки, календулы и шалфея.
Внимание! Чтобы природные препараты не конфликтовали с медикаментами, следует проконсультироваться с врачом.
Профилактика патологий уретрального канала
Избежать появления образования в парауретральных органах можно, если соблюдать меры предосторожности:
- Лечить любые воспалительные заболевания;
- Предупреждать заражение инфекциями. Использовать презервативы, избегать случайных связей;
- Содержать свое тело, половые органы в чистоте;
- Носить трусики только из натуральных тканей;
- Гигиенические прокладки менять каждые 3-4 часа;
- Выбирать гипоаллергенные мягкие моющие средства для интимной зоны;
- Проводить регулярные обследования 1-2 раза за год.
- Подобные меры профилактики действенны для любых патологий мочеполовой системы.
Немаловажную роль играет гормональный фон и иммунный статус, которые во многом зависят от питания и образа жизни человека.
Наличие вредных пристрастий в виде алкоголя и курения, а также несбалансированное питание приводит к поломкам организма на всех уровнях.
В результате процветают инфекции, растут новообразования, патологии наслаиваются одна на другую. Поэтому так важно употреблять полезную еду и вести активный, здоровый образ жизни.
Киста уретры или парауретральных желез – образование не смертельно опасное. Однако оно приводит к различным осложнениям, которые способны серьезно испортить качество жизни человека. Убрать такое образование без последствий можно с помощью опытного квалифицированного хирурга. Других методов лечения не существует.
Источник: https://StopKista.ru/kista/parauretralnaya.html
Поделиться: