Можно ли по УЗИ определить цистит и какое обследование его покажет лучше всего

26.02.2019
Цистит – воспалительный процесс в стенке мочевого пузыря. Диагностика этого состояния базируется на лабораторном анализе мочи. УЗИ при цистите считается вспомогательным методом и показано при осложненном течении болезни. Мочевой пузырь хорошо виден при ультразвуковом обследовании, что делает процедуру весьма информативной.
Причины развития цистита
Цистит бывает инфекционной и неинфекционной природы. Первый вариант встречается намного чаще. Воспаление мочевого пузыря, как правило, вызывают бактерии, вирусы или грибы.
Они распространяются по организму с током крови и лимфы, попадают в мочевой пузырь из почек (при пиелонефрите) или через мочеиспускательный канал со слизистой оболочки промежности, из половых путей.
Предрасполагающими факторами для развития цистита являются несоблюдение гигиенических правил, снижение иммунитета, переохлаждение.
Неинфекционный цистит обычно связан с раздражением слизистой оболочки органа камнями, песком или кристаллами солей при мочекаменной болезни. Кроме того, воспаление нередко развивается на фоне химио- и лучевой терапии у онкологических больных.
Суть метода УЗИ
Ультразвуковая диагностика возможна благодаря способности высокочастотной звуковой волны по-разному отражаться от плотных, мягких и жидких сред.
Жидкость анэхогенна – она поглощает ультразвук и видна на мониторе во время проведения УЗИ как черный участок. Кости практически полностью отражают ультразвуковую волну, поэтому визуализируются в белом цвете.
Мягкотканные структуры дают на УЗИ серый цвет, оттенок которого зависит от плотности ткани.
Датчик аппарата УЗИ одновременно служит источником звуковых волн и воспринимающим устройством. Это удобное техническое решение, упрощающее проведение процедуры.
Ультразвуковая диагностика цистита проводится четырьмя способами:
- Трансректальный (через прямую кишку) метод УЗИ применяется у пациентов мужского пола, поскольку болезни мочевого пузыря у мужчин часто сопряжены с патологией простаты. Эта методика хорошо визуализирует оба органа.
- Трансвагинальное (через влагалище) сканирование актуально для женщин, у которых воспалительный процесс одновременно протекает в половых и мочевыводящих путях.
- Трансуретральная (через мочеиспускательный канал) диагностика – самая редко используемая разновидность УЗИ из-за сложной техники проведения и риска осложнений. Ее применяют только в условиях стационара при планировании оперативного лечения.
- Самым универсальным вариантом УЗИ считается трансабдоминальный (через переднюю брюшную стенку). Он прост в выполнении и достаточно информативен как для мужчин, так и для женщин.
С какой целью назначают узи при цистите. возможные противопоказания
Врач направляет пациента на УЗИ мочевого пузыря при подозрении на наличие объемных образований, конкрементов в его полости, которые вызывают повреждение слизистой оболочки и ее воспаление, при осложненном или длительном течении цистита, когда заболевание плохо поддается лечению.
Ультразвуковое обследование показано в следующих ситуациях:
- появление в моче патологических примесей – крови, гноя, песка;
- частые болезненные мочеиспускания, ложные позывы к опорожнению мочевого пузыря при малом объеме мочи;
- нарушение оттока или острая задержка мочи;
- затяжное течение цистита, не поддающегося антибактериальной терапии;
- выраженная интоксикация на фоне цистита – повышение температуры, слабость, боли в суставах и мышцах;
- инфекция мочевыводящих путей на фоне беременности;
- интенсивные боли над лобком.
Нужно понимать, что УЗИ – это дополнительный способ уточнения диагноза. В первую очередь назначают общий анализ мочи, а также посев на микрофлору и определение ее чувствительности к антибиотикам.
Подготовка и процедура
Проведение УЗИ органов малого таза требует специальной подготовки:
- За 72 часа до процедуры из рациона исключают продукты, провоцирующие метеоризм: фасоль, горох, белокочанную капусту, бобы, свежие фрукты и овощи, газированную воду, алкоголь. Это важно для четкой визуализации, чтобы газ в кишечнике не препятствовал осмотру.
- Если одной диеты для борьбы с метеоризмом недостаточно, врачи назначают специальные препараты: активированный уголь, Эспумизан, Полисорб, ферментные средства.
- УЗИ проводят с наполненным мочевым пузырем, чтобы можно было четко увидеть структуру его стенки и характер содержимого. Для этого примерно за 1,5 часа до манипуляции нужно выпить 1,5 литра негазированной воды и не ходить в туалет до самого осмотра. Когда процедура назначена на ранее утро, то можно просто не справлять с утра малую нужду. Если терпеть становится невозможно, то разрешается выпустить небольшой объем мочи, но тут же выпить еще 2 стакана жидкости.
- Перед трансректальным и трансвагинальным УЗИ важно провести стандартные гигиенические процедуры.
- Кроме того, перед трансректальной диагностикой нужно очистить прямую кишку с помощью очистительной клизмы с теплой водой, микроклизм или слабительных средств.
- С собой на процедуру УЗИ нужно взять страховой медицинский полис, амбулаторную карту, результаты предыдущего обследования, простыню, салфетки. Для осмотра влагалищным или прямокишечным датчиком – презерватив. Список необходимых предметов можно уточнить в регистратуре.
Сама процедура проводится в положении лежа на спине при трансабдоминальном, трансвагинальном осмотре или на боку в случае трансректальной диагностики. На датчик доктор наносит прозрачный гель, улучшающий видимость.
Осмотр через стенку живота проводится в надлобковой области.
Если назначено определение объема остаточной мочи, то после осмотра органа врач отпускает больного в туалет, чтобы опорожнить мочевой пузырь, а затем продолжает диагностику.
УЗИ длится обычно не более 20-30 минут, результат выдается сразу после завершения исследования и заполнения протокола.
Что показывает исследование и какие показатели являются нормой
Расшифровка результатов УЗИ мочевого пузыря проводится по следующим параметрам:
- размеры органа;
- его объем;
- форма;
- структура стенки;
- содержимое;
- остаточный объем мочи (ООМ).
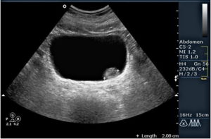
В норме мочевой пузырь визуализируется как образование правильной овоидной формы, нормальных размеров, с четкими ровными контурами и анэхогенным однородным содержимым. ООМ не должен превышать 50 мл.
При цистите внутренние контуры мочевого пузыря становятся неровными, в просвете органа видны хлопья и конгломераты – частицы слущенного эпителия, скопления микробов, песок, сгустки гноя или крови.
Для язвенной формы цистита характерны дефекты слизистой в виде углублений – эрозий.
Воспаленные стенки обычно утолщены, а сам пузырь при остром заболевании увеличивается в размерах, а при хроническом может уменьшаться.
Кроме признаков цистита, УЗИ показывает следующие изменения:
- полипы – небольшие выросты слизистой оболочки на ножке, с четкими контурами;
- доброкачественные или злокачественные новообразования – при этом контуры пузыря становятся бугристыми, а форма асимметричной;
- конкременты в полости органа или в устье мочеиспускательного канала;
- нарушение целостности пузырной стенки вследствие травмы.
Как лечат цистит
Терапию цистита назначает лечащий врач исходя из результатов анализов и УЗ-диагностики. Лечебные мероприятия зависят от формы цистита и возбудителя болезни. Обычно назначают:
- Антибиотики (Нолицин, Ципролет, Фурамаг) курсом от 5 до 10 дней. Ранняя отмена антибактериальных препаратов запрещена, даже если на фоне лечения прошли симптомы болезни. Для полного уничтожения возбудителя антибиотики нужно принимать не менее 5 дней.
- Фитопрепараты на основе брусники, эрвы шерстистой, медвежьих ушек. Возможно применение комбинированных лекарственных средств на растительной основе: канефрона, цистона, фитолизина. Они также способствуют растворению камней в мочевыводящих путях.
- Спазмолитики – но-шпа, папаверин – необходимы при выраженном болевом синдроме или нарушении оттока мочи.
- В редких случаях врачи прописывают мочегонные средства для улучшения уродинамики.
- Лекарственные средства на основе метилурацила, актовегина улучшают регенерацию слизистой оболочки и применяются в комплексном лечении хронического цистита.
- Если цистит развился на фоне мочекаменной болезни, то по показаниям проводится хирургическое лечение: дробление или экстракция конкрементов.
- Физиолечение – вспомогательная терапевтическая методика. Ее не следует назначать до проведения УЗИ, так как физиопроцедуры симулируют рост объемных образований.
- Пациентам с циститом рекомендуют обильное питье и диету, исключающую острую, соленую пищу, алкоголь.
При развитии осложнений цистита — кровотечении, формировании абсцесса, острой задержке мочи – лечение проводится в условиях стационара.
Заключение
При воспалении мочевого пузыря врачу не всегда удается получить всю необходимую информацию на основании анализов мочи.
УЗИ имеет большое значение для диагностики осложненных форм цистита, определения тактики лечения и решения вопроса о хирургическом вмешательстве.
Кроме того, обследование помогает исключить новообразования и мочекаменную болезнь, которые зачастую протекают под маской цистита.
Можно ли по УЗИ определить цистит и какое обследование его покажет лучше всего Ссылка на основную публикацию
Источник: https://diagme.ru/uzi/vnutrennih-organov/pri-cistite
Цистит и Уретрит: Характерные Симптомы + Лечение у Женщин

Воспаление мочевого пузыря и мочеиспускательного канала – цистит и уретрит, схожи по своей природе происхождения и течению. Эта пара болезней практически «неразлучна» у женщин, так как мочеиспускательный канал – уретра, короткий и широкий.
Поэтому патологический процесс очень быстро распространяется на слизистую мочевого пузыря. У мужчин уретра в 2 раза уже и гораздо длиннее.
Кроме этого перед мочевым пузырем есть «лакомство» для инфекции – предстательная железа. Вследствие этого для мужчин типична другая комбинация – уретрит и простатит.
Длина уретры: у мужчин – 16-22 см, у женщин – 3-4 см
Информация, фото, рисунки и видео в этой статье расскажут о причинах, симптомах и эффективных терапевтических способах, которые излечат уретрит или цистит у женщин. Не обращаться к врачу и снимать боль бабушкиными методами в 21 веке неразумно.
Тем более что цена за самолечение – хронизация инфекции, синдром повышенной чувствительности мочевого пузыря, восходящий пиелонефрит, опущение мочевого пузыря.
Классификация и разновидности
В Международной Классификации Болезней (МКБ 10) уретриту советуют коды – N34.0-N34.9, а для цистита отведены – N30.0-N30.9.
Тригонит (в МКБ 10 – N30.3) – воспаление в области мочепузырного треугольника
Как уретрит, так и цистит бывают:
- острый или хронический;
- первичный или вторичный, вызванный, например, спустившейся инфекцией из почки или мочекаменной болезнью;
- инфекционный и неинфекционный;
- тотальный, очаговый или шеечный (тригонит).
Рутинная патология для женщин – это первичный инфекционный хронический уретроцистит с частыми эпизодами обострений. У мужчин привычным сочетанным воспалительным заболеванием является хронический уретропростатит.
Если ткани мочевого пузыря поражены настолько глубоко и сильно, что в мочу начинает выделяться кровь, речь идет о геморрагическом цистите.
После полового созревания, 60-70 % женщин хотя бы раз в жизни болеют уретроциститом, а вот с диагнозом Цистит «знакомятся» только 6,5 % мужчин.
Причины
Многие уверены, что уретроцистит у женщин – это «простудное» заболевание, вызванное переохлаждением. Однако это не так.
Единичная бактерия и колония кишечных палочек (Escherichia coli)
В 90 % случаев женского уретрита и цистита повинны кишечные палочки (на фото вверху). Выходное отверстие уретры у женщин расположено близко с анусом, а эти бактерии живут в нижнем отделе тонкого и в толстом кишечнике. Их присутствие там неизбежно и считается нормой.
Остальные 10 % уретроциститов у женщин приходятся на следующие причины (в порядке убывания):
- стафило- и стрептококки;
- протеи, клебсиеллы, энтерококки, уреаплазма, микоплазма;
- трихомонады, хламидии, гонококки;
- грибок Candida;
- заболевания мочеточников и почек, сахарный диабет;
- травмы, частая катетеризация;
- аллергия;
- бледная трепонема, палочка Коха;
- опухоль;
- химические поражения и радиационное облучение.
У некоторых женщин воспалительный процесс в уретре и мочевом пузыре возникает на фоне лечения цитостатиками, сульфаниламидами, некоторыми антибиотиками.
На заметку. Уретрит и цистит может быть следствием вирусного заболевания. В этот список попадают вирусы гриппа, герпеса, аденовирусная и цитомегаловирусная инфекция. При этом вирусный цистит достаточно быстро превращается в бактериальный.
К факторам, повышающим риск первичного возникновения и рецидивов воспалительного процесса относят – нарушение правил личной интимной гигиены, беспорядочные половые связи без защиты барьерными контрацептивами, практика попеременного анального и вагинального секса, переохлаждение области малого таза, принудительная длительная задержка мочеиспускания, злоупотребление пряностями, сладостями, копченой едой и алкогольными напитками.
Среди детей циститом чаще всех болеют девочки 4-12 лет
Причины детского девичьего цистита – это кишечные палочки и врожденные аномалии строения уретры и мочевого пузыря. Способствует возникновению воспалительного процесса переохлаждение, нарушение гигиены наружных половых органов, длительное нахождение в одном и том же памперсе, сниженный иммунитет, лечение сульфаниламидами.
Симптомы
Главный признак цистита – частое мочеиспускание, которое сопровождается жжением и резями в области уретры. При этом женщина испытывает сильные позывы, а количество мочи оказывается мизерным или опорожнение пузыря не происходит совсем.
Возможные варианты изменения цвета и прозрачности мочи при уретроцистите
Для острой формы уретроцистита или в период обострения также характерны следующие симптомы:
- ярко выраженные, сильные рези и жжение в процессе, а особенно по конец мочеиспускания;
- значимое потемнение и помутнение мочи, в ней могут содержаться нити гноя и/или кровь;
- возможно вытекание из уретры выделений негнойного или гнойного характера;
- постоянный дискомфорт и чувство тяжести в нижней части живота, который периодически усиливается до болевых ощущений разной степени интенсивности;
- повышение t тела до 37,5-37,7 °С;
- тошнота, позывы к рвоте;
- общая слабость, головная боль, чувство ломоты в мышцах.
Сила перечисленных проявлений напрямую зависит от тяжести течения, возраста женщины, состояния ее здоровья в целом и мочеполовой системы в частности.
Внимание. При хроническом течении цистита и уретрита, в периоды ремиссии, женщин может упорно продолжать преследовать чувство ложных позывов к мочеиспусканию. Такое состояние существенно снижает качество жизни и сказывается на психическом самочувствии.
Признаки цистита у детей совпадают с перечисленными выше. Кроме этого у дошкольниц и младших школьниц возможно внезапное и непроизвольное мочеиспускание.
Диагностика
Лечение уретрита и цистита у женщин начинается только после постановки диагноза с уточнением причины возникновения заболевания.
Делает это врач на основании опроса, результатов анализов и обследований:
- общий анализ крови и мочи;
- анализ мочи по Нечипоренко;
- бакпосев мочи на флору и определение чувствительности к антибиотикам;
- мазок из цервикального канала;
- ПЦР на определение инфекционного агента, передающегося половым путем;
- УЗИ.
В затруднительных случаях возможно придется сделать цистоскопию, эндоскопию, биопсию, МРТ.
У маленьких девочек мочу собирают с помощью разового мочеприемника
Инструкция, которой нужно придерживаться женщинам перед сбором мочи на анализы, содержит всего 3 пункта.
Чтобы результаты исследования оказались достоверными необходимо:
- За сутки до анализа не есть свеклу, морковь, шпинат, не пить клюквенный морс. Эти продукты окрашивают мочу в красный и коричневый цвет.
- Непосредственно перед мочеиспусканием тщательно обмыть наружные половые органы без мыла и дезинфицирующих растворов. Направление подмывающих движений от влагалища к анусу.
- Вход во влагалище закрыть небольшим кусочком ваты, спонжем или тампоном.
Для общего анализа мочи собирается вся первая утренняя порция. Для анализа по Нечипоренко моча собирается на следующее утро, при чем в контейнер набирается только средняя порция.
Во время менструации анализы мочи не сдаются. Если в этом есть необходимость, то это надо будет сделать в поликлинике. Медсестра выполнит забор катетером.
Как лечить уретрит и цистит у женщин
Основной метод лечения воспалительного процесса в уретре и мочевом пузыре – медикаментозная и фитотерапия. Лекарства (схема приема, длительность и дозировка) подбираются согласно выявленного инфекционного агента.
Для этого применяются:
- антибиотические препараты широкого спектра;
- антибактериальные, противовирусные, фунгициды или противогрибковые препараты;
- обезболивающие таблетки;
- мочегонные средства;
- препараты на основе лекарственных трав, фитосборы;
- НПВП;
- свечи с белладонной;
- антигистаминные средства;
- орошения уретры и промывания мочевого пузыря растворами фурацилина или нитрата серебра;
- иммуномодуляторы.
Из физиотерапевтических методов хорошие результаты дают тепловые процедуры, УВЧ, парафиновые аппликации на нижнюю часть живота, индуктотермия, ректальная ультратонтерапия.
Уролесан – фитопрепарат №1 при урологических заболеваниях
Разрекламированный сегодня препарат Цистон, при уретрите и цистите назначается если причиной их возникновения является мочекаменная болезнь. В дополнение к нему показано принимать нитрофурантоин.
Важно! Если было установлено, что уретроцистит у женщины – это следствие заражения гонококками, хламидиями или трихомонадами, то необходимо, чтобы ее половые партнеры прошли обследование. В противном случае будет происходить постоянное повторное инфицирование.
На время лечения следует отказаться от алкоголя, острой и кислой пищи, не пить много кофе, крепкого чая и тоников. Желательно воздержаться от половой жизни.
Лечение цистита и уретрита у мужчин проводится теми же средствами, что и у женщин. А вот в терапии у детей врачи стараются не назначать антибиотики.
Лечение цистита у грудничков до года проходит только в условии стационара. Беременным женщинам надо строго придерживаться назначений врача и не заниматься самолечением, в противном случае можно нанести вред плоду, а также заработать пиелонефрит, который в отдаленном последствии может закончиться почечной недостаточностью.
В заключительном видео в этой статье доктор Евдокименко рассказывает о том, как вылечить уретрит и цистит в домашних условиях.
Источник: https://ZPPP.su/uretrit/cistit-i-uretrit-200
Ультразвуковое исследование при цистите: 4 метода

Диагностика воспаления мочевого пузыря требует проведения не только лабораторных анализов, но и инструментальных исследований. Основой инструментальной диагностики цистита является ультразвуковое исследование.
Что такое УЗИ
УЗИ — распространенный метод обследования который применяется в отраслях медицины, как гинекология, урология, терапия и хирургия.
С помощью ультразвукового исследования определяют форму и размеры органа, наличие воспалительных процессов, опухолей, кистозных образований.
Ультразвуковое исследование применяется для диагностики болезни почек, мочевого и желчного пузыря, женских половых органов, поджелудочной железы, печени.
Можно ли увидеть цистит на УЗИ? Можно, ведь стенка мочевого пузыря толстая, чтобы было видно на аппарате. Исследование проводится с помощью стационарных или портативных аппаратов.
Показания к проведению УЗИ при цистите
Некоторые симптомы со стороны мочевыделительной системы являются абсолютными показаниями для проведения. К ним относятся:
- Наличие кровянистых примесей в моче.
- Хлопья гноя в моче.
- Частые позывы к мочеиспусканию.
- Регулярные или периодические боли в надлобковой области.
- Острая задержка мочи.
Эти проявления требуют безотлагательного обращения в медицинское учреждение для обследования и постановки диагноза.
Стоит отметить, что эти симптомы характерны не только для цистита, но и для других опасных болезней мочевика. Поэтому проводится ультразвуковое исследование для дифференциации диагноза.
Что выявляют на УЗИ при цистите
К общим изменениям относят:
- Утолщение стенки мочевика в области воспаления.
- Асимметрию мочевого пузыря. Воспаленная часть будет больше, чем здоровая.
- Отечность устья мочеиспускательного канала.
При некоторых формах цистита исследования будут иметь специфические проявления.
Так, для герпетического и язвенного цистита характерным изменением будет наличие эрозий и язвенных образований на внутренней поверхности мочевика.
Интенсивность разрастания зависит от длительности течения болезни и активности иммунной системы.
В полости обнаруживают камни или песок, которые травмируют слизистую оболочку и становятся провоцирующим фактором в развитии цистита.
Как проводится УЗИ
Ультразвуковое исследование проводится 4 путями:
- Распространенный метод проведения — через переднюю брюшную стенку. Такая методика называется трансабдоминальной (классический метод). Особенностью проведения является то, что исследование проводится при наполненном мочевом пузыре. Этот метод является наименее инвазивным для пациентов, но не может проведен в случае выраженного подкожно-жирового слоя.
- Еще одним методом, который распространен среди женщин, является трансвагинальное исследование. Проводится при опорожненном мочевике и проводит детальное обследование. Методика доставляет ряд неудобств пациенткам.
- Трансректальное обследование подходит для представителей мужского и женского пола. Дает больше информации, нежели трансабдоминальное. Во время обследования у мужчин оценивают состояние простаты, ведь воспаление мочевого пузыря распространяется на нее и наоборот.
- Трансуретральное УЗИ. Это обследование не имеет распространения, так как требует обезболивания и способно привести к травматизму мочеиспускательного канала. Датчик вводится в полость мочевого, через мочеиспускательный канал. Ценность трансуретрального в том, что проводит оценку состояния стенок мочеиспускательного канала.
Подготовка пациента
Трансабдоминальное исследование требует подготовки кишечника и самого мочевого пузыря. Для этого, в течении нескольких дней соблюдают диету, которая препятствует метеоризму и уменьшает отложение шлаков в кишечнике.
Так как исследование проводится при полном мочевике, то за 1,5-2 часа до обследования выпивают не менее 1,5 литров воды. Если же обследование проводится утром, то можно не мочиться до проведения.
Трансректальное УЗИ требует очищения капсулы прямой кишки от каловых масс. Для этого используют клизму или слабительные средства.
Если проводится исследование через влагалище или прямую кишку, то стоит провести тщательный туалет половых органов, для исключения занесения инфекции и развития воспалительных болезней, проктит, вульвовагинит и прочее.
Нормы УЗИ
Ультразвуковое исследование имеет нормы, которые являются критерием для оценки состояния. Нормальный объем мочевого пузыря составляет до 550 мл у женщин, у мужчин до 750 мл.
Для оценки объема, исследование проводится при наполненном пузыре. Диагностическим критерием является остаточная моча.
У здоровых пациентов отсутствует, но допускается наличие в объеме до 50 мл. Если больше данного объема, свидетельствует об изменении формы мочевого, которое приводит к застою и становится причиной развития болезней.
Оценивается толщина стенки, в норме варьируется 2-4 мм. Истончение или утолщение стенки свидетельствует о патологии. Опасность представляет истончение, так как возрастает риск перфорации.
Стенка мочевого должна быть гладкой и иметь плавные закругленные формы. Значительное искажение, наличие тяжей и неестественные выпирания послужат признаком развитого спаечного процесса в малом тазу.
Такое явление наблюдается чаще у женщин, которые регулярно страдают от воспалительных патологий придатков матки.
УЗИ мочевого пузыря — информативный метод обследования при острых формах цистита. Можно увидеть степень поражения и распространения процесса, понять, какие слои вовлечены в воспалительный процесс.
Источник: https://CistitStop.ru/vse-o-cistite/uzi.html
Цистит и уретрит у женщин: симптомы и лечение

Цистит – воспалительное заболевание мочевого пузыря. Это резервуар для накопления мочи объемом около 500 миллилитров. При его наполнении до определенного количества, возникает позыв на мочеиспускание, человек находит подходящее место и опорожняется.
Мочевой пузырь представляет собой растягивающийся мышечный орган, изнутри выстланный слизистой оболочкой. Он пронизан множеством рецепторов растяжения и давления. Моча выходит через специальный выводящий канал – уретру.
Этот участок тоже нередко подвергается воспалительным процессам, которые вызывают уретрит.
Женский цистит и его особенности
Организм женщины приспособлен для выполнения детородной функции, поэтому имеет специфическое анатомическое строение. Такая особенность может приносить как пользу, так и вред. В малом тазу, помимо мочевого пузыря и прямой кишки, находится матка, которая существенно уменьшает возможности его растяжения при наполнении мочой, давит на него в период месячных и беременности.
К особенностям женского цистита относятся явления: возникновение симптомов болезни после переохлаждений, начала половой жизни; связь с дисвагинозом, климаксом, беременностью, при которой воспаление иногда является первым сигнальным признаком подобного состояния. Для клинических проявлений характерны частота позывов, рези.
Что такое уретрит у женщин
Воспаление мочевыводящего канала называется уретрит. К анатомическим особенностям женского организма стоит добавить то, что уретра у женщин короткая (около 4 см) и широкая (почти 1,5 мм). Это дает возможность проникновению инфекции восходящим путем. Микрофлора состоит из молочнокислых бактерий, как во влагалище.
Уретрит у женщин – более специфическое заболевание, которое не провоцируется обычными бактериями. Это объясняется тем, что короткая, широкая уретра хорошо промывается мочой, не способствуя своим строением застою урины. Она не имеет перегибов, сужений, не подвергается давлению со стороны простаты, которой у женщины нет.
Для возникновения уретрита нужно нечто большее, чем переохлаждение или инфекция. Как осложнение он может сопровождать цистит, но чаще возникает при участии агрессивной микрофлоры, передающейся половым путем, и персистирует в организме женщины «благодаря» партнеру. Возбудителями являются хламидии, микоплазмы, простейшие, вирус герпеса, грибки.
Клинически проявляется в виде частых позывов на мочеиспускание, резей при опорожнении, выделений из уретры кровянистого или гнойного характера.
У девушек до начала половой жизни встречается крайне редко.
Схожие признаки цистита и уретрита у женщин
В виду локализации воспалительного процесса в мочеполовой сфере симптомы будут сходными – дизурия, рези, изменение прозрачности мочи, появление в ней примесей.
Общая интоксикация (лихорадка, ознобы, головные боли, слабость, утомляемость) иногда развивается в ответ на различные осложнения, но в целом такое состояние не является характерным для обоих заболеваний, поскольку инфекция не генерализуется.
Провоцирующие факторы
Мочевой пузырь, зажатый между другими органами, широкая короткая уретра являются предрасполагающими факторами для цистита и уретрита у женщин. Ежемесячные циклические изменения гормонального фона, климакс, беременность, роды также способствуют воспалениям мочеполовой сферы. Стоит обратить особое внимание на следующие провоцирующие факторы:
- общее снижение иммунитета при других заболеваниях;
- начало интенсивной половой жизни;
- несоблюдение правил личной гигиены, что сказывается именно на женском организме;
- не вылеченные болезни партнера.
Своевременное обследование, правильно назначенная терапия не дают хронизироваться состоянию. В противном случае не долеченное острое заболевание может дать о себе знать через годы, удивляя своим якобы беспричинным появлением.
Применение антибиотиков должно осуществляться с учетом чувствительности к ним патогенной флоры. Иначе у бактерий формируется устойчивость, а заболевание переходит в хроническую форму.
Лечение цистита и уретрита у женщин необходимо проводить до полного выздоровления, а не до момента устранения неприятных симптомов. Это важно для профилактики обострений и нарушений репродуктивной функции.
Как не спутать оба заболевания
Симптомы цистита и уретрита клинически очень схожи. Часто они протекают совместно.
При сравнении этих заболеваний в изолированном виде можно выделить следующие различия. Для цистита специфичны частые позывы на опорожнение – дизурия. Для уретрита это не так характерно.
При нем на первый план выступают выделения из уретры различного вида (кровь, гной, слизь), которые могут появляться также из влагалища.
Это происходит потому, что стенки соседних органов плотно прилегают и воспаление быстро распространяется на них.
При цистите выделения не часты, скорее изменяется цвет и прозрачность мочи. При уретрите более характерны не рези, а жжение. Внешне видно покраснение вокруг наружного отверстия мочевыводящего канала.
Знание признаков заболеваний поможет разобраться, как самостоятельно отличить цистит от уретрита.
Постановка диагноза
Диагностировать воспалительную патологию мочеполовых путей у женщины не сложно. Симптомы цистита и уретрита знакомы и узнаваемы. Главное в постановке диагноза – учесть следующие моменты:
- исключить опасную патологию – пиелонефрит, опухоли, полипы;
- определить возбудителя специфического воспаления, подобрать к нему препарат с учетом чувствительности;
- проводить диагностику женщины одновременно с ее партнером.
Для диагностики уретрита обязательно берутся мазки на микрофлору с целью определение ее чувствительности к препаратам у обоих партнеров. Процедуру делает врач. Перед исследованием исключаются антибиотики, интимные контакты, туалет наружных половых органов. Последнее мочеиспускание должно быть не позже часа до момента взятия биологического материала для анализа.
При постановке диагноза учитываются клинические признаки. Производится анализ мочи. Особенности расшифровки результата:
- повышенная более 1020 плотность;
- лейкоциты на поле зрения;
- эритроциты неизмененные;
- могут быть следы белка;
- глюкозы быть не должно.
Подобные параметры не указывают на источник воспаления или специфику инфекционного агента, а лишь подтверждают поставленный диагноз, исключают пиелонефрит и сахарный диабет.
Уретрит опасен для беременных возможным влиянием на развитие ребенка внутри утробы, поэтому самостоятельно справляться с болезнью нельзя.
Лечение женщины от уретрита
Терапия начинается сразу после постановки предварительного диагноза, хотя подтвердить его нужно обязательно. В случае, когда первичное лечение не дает эффекта, есть возможность начать второй курс, но уже с учетом полученных результатов. Стандартная антибиотикотерапия начинается с нитрофуранов в дозах, назначаемых при цистите.
В домашних условиях лечить уретрит можно народными средствами только в дополнение к основным методам. Мочегонные чаи состоят из растений, которые способствуют выведению мочи, промывая слизистые, и снимают воспаление и спазм, улучшая отток крови. К ним относятся отвары их пол-пала, медвежьих ушек, ромашки, календулы, хвоща полевого.
Местное лечение не проводится, за исключением целебных сидячих ванночек с травами. Рекомендуется сухое тепло – белье «с начесом», пояса из собачьей шерсти. Обязателен прием витаминов для повышения защитных сил организма.
Терапия при женском цистите
Лечение воспаления мочевого пузыря не отличается от терапевтической помощи при уретрите.
Здесь не настолько важен посев на чувствительность, поскольку недуг реже бывает вызван специфической флорой.
Достаточно уротропных антибиотиков широкого спектра действия и близких по принципу влияния препаратов. Самостоятельно лекарства принимаются в таблетках. Наиболее часто употребляют такие препараты:
- цефалоспорины – «Сепексин», «Цепорекс», «Торласпорин» в капсулах для взрослых по 500 мг трижды за 30-60 мин до еды, запивая водой;
- фторхинолоны – «Ломадей» по 400 мг один раз в день, внутрь, не разжевывать, запивать водой, до или после еды;
- нитрофураны – «Фурамаг» в капсулах по 50 мг или «Фурагин» в таблетках по 50 мг, принимать по 2 штуки 3 раза в сутки сразу после еды.
Проверенным препаратом является аминогликазид «Гентамицин», но он вводится только инъекционно и обладает ототоксическим эффектом.
Эффективность подобных медикаментов при лечении цистита связана с тем, что они выводятся через почки практически в неизмененном виде. Накапливаясь в мочевом пузыре, действуют непосредственно на очаг инфекции.
Курс лечения зависит от тяжести протекания, хронизации. В любом случае потребуется не менее 10 дней, терапия проводится под контролем врача посредством трехкратного анализа мочи до полной нормализации результатов.
Дополнительно применяются при лечении циститов и уретритов одинаковые препараты: противовоспалительные средства и мочегонные чаи, их механизм и лечебный эффект не отличаются.
Общие профилактические рекомендации
Советы по предупреждению воспалений мочевыделительной системы не особо отличается от профилактики других заболеваний. Среди таких мер можно назвать следующие: повышение иммунитета, общее укрепление организма, занятия спортом.
Полностью предотвратить возникновение воспалений мочевого пузыря и уретры невозможно, нельзя предугадать реакцию организма на инфекцию, предвидеть, каким будет иммунный ответ. Но быть к себе внимательным, своевременно распознать болезненные проявления для их быстрого купирования необходимо.
Специфические рекомендации заключаются в следующем:
- обращать внимание на нарушения мочеиспусканий;
- соблюдать правила личной гигиены;
- обязательно получить эффективную терапию при возникновении острых форм;
- принимать лекарства совместно с партнером;
- восстанавливать нормальную микрофлору и иммунитет.
Симптомы воспалительных заболеваний урогенитальной сферы настолько специфичны, что не представляют труда для диагностики.
У женщины существует постоянный контакт с выделениями, с нормальной кишечной флорой, которая при ослаблении общего иммунитета может вызвать усугубление состояния.
Поэтому следует отнестись к циститу и уретриту со всей серьезностью, пролечить до полного выздоровления и провести контрольное исследование через определенное время.
Источник: https://UroMir.ru/vospalenie-mochevogo-puzyrya/bolezn/cistit-i-uretrit-u-zhenshchin-lechenie.html
Взаимосвязь цистита и уретрита

Цистит и уретрит – это заболевания мочевыводящих путей, которые часто встречаются у мужчин и женщин, могут сопутствовать друг другу, имеют похожие симптомы и причины возникновения. Их нетрудно спутать, но между ними есть ряд отличий, которые нужно учитывать при назначении лечения.
Отличия и общие черты
К общим чертам уретрита и цистита относится следующее:
- Это урологические заболевания.
- Чаще носят инфекционный характер.
- Могут иметь неинфекционную природу.
- Вызывают болевые ощущения.
- Возникают проблемы с мочеиспусканием.
- Одно заболевание становится причиной другого.
- Провоцируются половыми инфекциями.
Отличия рассмотрим с помощью сравнительной таблицы:
| Отличия | |
| Уретрит | Цистит |
| Мужчины и женщины болеют с одинаковой частотой | Чаще болеют женщины |
| Локализация болей в одном месте | Боли проявляются в разных местах |
| Трудности с оттоком мочи | Недержание мочи |
| Нет признаков интоксикации и лихорадки | Происходит ухудшение самочувствия |
| Быстрее лечится у женщин | Выздоровление быстрее наступает у мужчин |
| Моча мутная, с характерным запахом | Появляется неприятный запах в урине |
Главное отличие – это объект воспаления: при цистите воспаляется слизистая оболочка мочевого пузыря, при уретрите – мочеиспускательного канала.
Причины развития
Оба заболевания провоцируются такими причинами:
- снижение иммунитета;
- переохлаждение;
- обезвоживание организма;
- другие инфекционные патологии;
- неправильное питание;
- вредные привычки;
- передача инфекции во время полового акта.
Оба заболевания провоцируются такими причинами, как снижение иммунитета, переохлаждение, передача инфекции во время полового акта и др.
Неинфекционный цистит, как и уретрит, возникает вследствие таких причин:
- урологические манипуляции;
- попадание инородного тела внутрь органа;
- прием некоторых лекарств;
- аллергия;
- травмы и опухоли.
Провоцируют заболевание едкие химические агенты, несвоевременное опорожнение мочевого пузыря.
[morkovin_vg video=”kOq1Hw3-iRw;QXeFxKPXt5s;wvvXpRSLiT0,Уретрит. Анализы”]
Одновременно
Ряд причин приводит к одновременному возникновению цистита и уретрита. К ним относятся:
- Половые инфекции: гонорея, хламидиоз, уреаплазмоз, трихомониаз и пр.
- Попадание инфекции в мочевой пузырь из уретры.
- Мочекаменная болезнь.
- Короткая уретра у женщин: бактерии быстрее попадают в мочевой пузырь.
- Начало половой жизни.
Часто эти заболевания протекают одновременно у женщин.
Уретрит после цистита
Инфекционный цистит становится причиной уретрита потому, что возбудитель, находящийся в моче, поражает уретру во время мочеиспускания. Вторая причина – неправильно поставленный диагноз и некорректно проведенное лечение.
Туя западная отличается медленным ростом, компактной корневой системой и кроной. Не рекомендуем вам формировать изгородь сразу из взрослых растений: они значительно хуже приживаются, по сравнению с молодыми побегами (стоят при этом дороже).
Инфекция сохраняется и может перейти на уретру, если больной прерывает курс приема антибиотиков, почувствовав улучшение.
Совместное лечение
Обе болезни лечатся амбулаторно, госпитализация необходима редко – только при гнойном воспалении. Лечение медикаментозное. Используются физиотерапевтические процедуры, методы народной медицины. Большую роль в лечении играет диета.
Препараты
роль в терапии отводится антибиотикам, которые чаще применяются в виде таблеток и лишь в тяжелых случаях – в инъекциях. Перед выбором медикамента проводится посев на чувствительность к препарату. Если заболевание вызвано грибами, применяются антимикотические препараты. Дополнительно назначаются обезболивающие, витаминные комплексы и иммуномодуляторы.
Для местного применения используют противовоспалительные препараты в виде аэрозолей или свечей, которые снимают зуд и другие болевые ощущения.
Народные средства
Для лечения цистита и уретрита используют народную медицину. В первую очередь это отвары трав. Толокнянка, ромашка, зверобой, чабрец, золотарник обладают антибактериальными свойствами. Мочегонный и иммуномодулирующий эффекты отмечают у хвоща полевого, спорыша, овса, пижмы, листьев черной смородины. Полезны семена петрушки и сок из ее листьев и корня.
Рекомендуются теплые сидячие ванночки из молока или ромашки с марганцовкой. Можно использовать паровую ванночку из горячей воды с добавлением нескольких капель йода, над которой нужно посидеть 15-20 минут.
Диета
При уретрите и цистите противопоказаны газированные напитки, алкоголь и пища, раздражающая слизистые мочевыводящих органов: маринады, копчености, специи, кислое, острое и соленое.
Полезны молочные продукты, каши овсяная и гречневая, хлеб с отрубями.
В меню должны присутствовать овощи и фрукты с мочегонным эффектом: арбуз, дыня, тыква, огурцы, клюква, брусника, черная смородина, яблоки, семена айвы.
Крепкие кофе и чай заменяют компотами, натуральными соками. Прием жидкости в количестве не менее 2-2,5 л в сутки – главное в диете при лечении воспаления мочевыводящих путей.
Осложнения
Чем дольше протекал воспалительный процесс, тем тяжелее бывают осложнения после болезни при ненадлежащем лечении. После цистита это следующее:
- переход заболевания в хроническую стадию;
- осложненные формы цистита (гангренозная, геморрагическая);
- пиелонефрит;
- уменьшение мочевого пузыря в размерах;
- цисталгия (болезненные позывы к мочеиспусканию);
- сепсис мочевого пузыря.
Для женщин цистит опасен тем, что возможны трудности с зачатием ребенка, вынашиванием беременности.
Для мужчин уретрит без должного лечения грозит сужением мочеиспускательного канала, простатитом, патологиями головки полового члена, воспалением семенного бугорка, которое сопровождается сильными болями от пупка до колена.
У женщин заболевание дает осложнения на мочевой пузырь и почки, нарушает микрофлору влагалища. Но самое тяжелое осложнение – это необратимые изменения в мочеиспускательном канале, отчего у женщины возникают постоянные боли в уретре, но при этом никакое лечение не помогает.
Особенности
Заболевания мочевыводящих путей имеют ряд особенностей в зависимости от возраста и пола пациента. Они связаны с разным анатомическим строением мочеполовой системы, образом жизни.
У женщин
У молодых женщин и девушек частые причины возникновения урологических заболеваний такие:
- ношение тесного, синтетического нижнего белья, тонких колготок в холодную пору года;
- авитаминоз, стрессы, переживания;
- нарушение микрофлоры влагалища;
- появление месячных;
- гинекологические заболевания.
У молодых женщин и девушек частые причины возникновения урологических заболеваний такие: гинекологические заболевания, нарушение микрофлоры влагалища, стрессы и др.
При уретрите во время менструации выделения приобретают неприятный запах.
У мужчин
Для мужчин характерно быстрое развитие болезни, ее острое протекание с четкими симптомами. В моче и сперме в малых количествах появляется кровь, повышается чувствительность пениса, становится болезненным половой акт.
У детей
У детей частой причиной воспаления мочевыводящих путей становится кишечная палочка (из-за несоблюдения личной гигиены), переохлаждение органов малого таза, у подростков – гормональная перестройка, начало половой жизни.
У детей частой причиной воспаления мочевыводящих путей становится кишечная палочка (из-за несоблюдения личной гигиены) др.
У грудного ребенка заболевания мочевыводящих путей по частоте проявления стоят на втором месте после простудных инфекций. До годовалого возраста чаще болеют мальчики: это связано с недостаточным развитием мочевыводящей системы. После года ситуация начинает меняться, и в дальнейшем патология больше встречается у девочек. Труднее всего проводить диагностику у грудничков.
При беременности
Во время беременности заболевания мочевыводящих путей встречаются часто. Они возникают из-за нарушения гормонального фона женщины, ослабленного иммунитета и недостатка витаминов.
Заболевания провоцирует и вагинальный дисбиоз, вызванный ростом дрожжевых грибов. При беременности нередко наблюдается учащенное мочеиспускание, что не является признаком патологии, если нет других симптомов воспаления мочевыводящих путей.
Причиной неинфекционного уретрита может быть давление плода на мочевой канал.
Источник: https://zavorota.ru/cistit/cistit-i-uretrit.html
Поделиться: