Гломерулонефрит: основные аспекты аутоиммунного процесса

Основной задачей иммунной системы является защита организма от любого негативного фактора. При этом существует ряд состояний, которые характеризуются аутоиммунным течением, при котором реакция иммунитета приводит к поражению собственных клеток организма.
Данные патологические состояния считаются наиболее сложными в терапевтическом отношении и обычно характеризуются неблагоприятным прогнозом. Одно из таких заболеваний, проявляющееся поражением почечных клубочков, носит название гломерулонефрит.
Постараемся разобраться, что же является пусковым механизмом аутоиммунной реакции и можно ли избавиться от гломерулонефрита навсегда.
Патогенез и характер течения гломерулонефрита
Заболевание проявляется преимущественным поражением почечных клубочков, однако не редко патологический процесс распространяется и на интерстициальную ткань, а также может затрагивать канальцы почки. Развитие гломерулонефрита связывают с иммунным фактором, что может проявляться следующими формами:
- Инфекционно-аллергический фактор. Данный механизм развития гломерулонефрита считается наиболее распространенным. Формирование патологии начинается с адекватного ответа иммунной системы на проникновение в организм инфекционного агента. Иммунитет воспринимает инфекцию как антиген, вырабатывая специфические антитела, которые связывают чужеродный фактор, образуя комплексы антиген-антитело. Далее сформированные комплексы инактивируются и выводятся из организма. Именно на этом этапе происходит нарушение, что приводит к накоплению иммунных систем антиген-антитело в сосудистых элементах, в частности в почечных клубочках, которые являются частью нефрона и выполняют важнейшую функцию – образование первичной мочи.
- Аутоиммунный механизм. Характеризуется продукцией антител против клеток собственного организма. В случае развития гломерулонефрита, происходит поражение тканей почки.
- Сбои в процессе активации системы комплимента. Данная форма характеризуется комплексными нарушениями иммунитета.
Сложность заболевания заключается в том, что при его терапии необходим прием препаратов, угнетающих иммунитет, что сопровождается незащищенностью организма и способствует развитию инфекционных и воспалительных процессов.
Гломерулонефрит может выражаться как острым состоянием, так и иметь хроническое латентное течение, которое приводит в конечном итоге к такому опасному для жизни пациента состоянию как почечная недостаточность. Медики выделяют также быстро прогрессирующую форму заболевания.
Причины развития гломерулонефрита
Окончательно ведущий этиотропный фактор заболевания до сих пор не установлен, однако доказано влияние следующих состояний на формирование острого и хронического гломерулонефрита:
- Инфекции. Считается, что чаще всего провоцирует развитие патологии стрептококковая инфекция, однако возбудитель может иметь и вирусную природу. Так, приступы острого гломерулонефрита обычно отмечаются после перенесения таких заболеваний как ангина, менингит, вирусный гепатит В, брюшной тиф, скарлатина, сепсис и т.д.
- Аллергические реакции
- Токсические воздействия. Злоупотребление алкоголем, прием препаратов ртути и свинца.
- Облучение
- Инъекционное введение в организм сывороток и вакцин
- Системные заболевания организма. Гломерулонефрит может формироваться на фоне наследственного легочно-почечного синдрома, васкулитов, системной красной волчанки, узелкового периартериита и т.д.
Считается, что частое переохлаждение организма также может привести к формированию гломерулонефрита, однако данный фактор не относят к прямым причинам развития заболевания, а выделяют в качестве сопутствующего провоцирующего механизма.
Симптомы и формы острого гломерулонефрита
Острое состояние обычно развивается через две недели после того, как пациент излечивается от этиологической патологии.
При этом слабость и общую интоксикацию пациента часто связывают с перенесенным недавно недугом и не придают должного значения, что может привести к серьезным последствиям.
Внимательное отношение к собственному здоровью позволит без труда выявить следующие признаки острого гломерулонефрита, которые требуют немедленного обращения к урологу:
- общая слабость, раздражительность, тошнота, головная и мышечная боль;
- примесь крови в моче, что приводит к окрашиванию жидкости по типу «мясных помоев» или в темно-коричневый цвет;
- накапливание жидкости в тканях;
- болевой синдром с локализацией ноющих проявлений в поясничной области;
- снижение объема выделяемой мочи;
- повышение артериального давления.
Выделяют две формы острого гломерулонефрита, которые отличаются началом формирования клинической картины. Так циклическая форма характеризуется резкими, интенсивно выраженными симптомами, которые подтверждаются критическими отклонениями в лабораторных анализах (кровь и белок в моче), а также сильным повышением артериального давления.
Данная форма достаточно просто диагностируется и обычно поддается терапии. Второй вид острого гломерулонефрита проявляется латентным, вялотекущим течением заболевания, которое развивается изначально как отечный синдром с невыраженным болевым компонентом.
Данная форма часто трансформируется в хроническое состояние в силу того, что пациент не придает должного значения подобному размытому симптомокомплексу.
Формы хронического гломерулонефрита
В отличие от большинства вялотекущих патологий, хронический гломерулонефрит не всегда является следствием острого состояния, а может формироваться как самостоятельное заболевание. Симптомы и признаки при этом будут зависеть от формы и характера течения болезни. Выделяют следующие виды хронического патологического процесса:
- Нефритическая форма. Выражается в первую очередь нефротическим синдромом, который сопряжен с воспалением почечных клубочков и канальцев. Отеки и задержка мочи считаются очевидными проявлениями, в то время как анализ мочи выявляет гематурию и протеинурию.
- Гипертоническая форма. Единственным проявлением хронического гломерулонефрита такого типа может быть сильное повышение артериального давления, которое может претерпевать существенные колебания в течение суток. При этом нефротический синдром отсутствует полностью или выражен слабо.
- Смешанная форма. Наиболее простая в диагностическом отношении, поскольку сочетает самые характерные признаки: артериальную гипертензию и мочевой синдром.
- Гематурическая форма. Основным симптомом хронического гломерулонефрита в этом случае будет выделение крови вместе с мочой.
- Латентная форма. Протекает практически бессимптомно, что может привести к продолжительному течению патологии (до 20 лет), оканчивающемуся острой почечной недостаточностью.
Диагностика и терапия гломерулонефрита
Вне зависимости от формы течения заболевания опытный врач уролог, после сбора анамнеза и изучения жалоб пациента назначит в первую очередь лабораторные анализы мочи и крови, которые обычно демонстрируют следующие отклонения от нормы:
- Кровь: лейкоцитоз, эозинофилия, повышение СОЭ, увеличение содержания С-реактивного белка, обнаружение повышенного содержания антител к стрептококку, анемия, гипопротеинемия, повышение концентрации азотистых оснований.
- Моча: гематурия, протеинурия.
К инструментальным методам диагностики, информативным в отношении выявления гломерулонефрита, относят УЗИ почек и экскреторную урографию. В крайних случаях может быть проведена биопсия тканей почки.
После постановки диагноза, больной обязательно госпитализируется, где ему обеспечивается постельный режим и диета, исключающая прием пищи удерживающей воду, а также ограничивается суточное потребление жидкости. Эти меры направлены на снижение нагрузки на почечную ткань. Медикаментозное лечение предполагает прием следующих препаратов:
- средства, влияющие на реологические свойства крови (антикоагулянты, антиагреганты);
- противовоспалительные препараты;
- мочегонные вещества;
- антигипертензивные лекарственные составы;
- антибактериальные препараты;
- иммуносупрессоры.
Подавление иммунитета основывается на назначении глюкокортикоидов и цитостатиков.
Данный этап терапии должен проводиться с особенной осторожностью, поскольку даже контролируемая иммуносупрессия может сопровождаться обострением сопутствующих патологий.
Следует понимать, что лечение гломерулонефрита может занять от нескольких недель до нескольких лет, а отсутствие рациональной терапии угрожает не только здоровью, но и жизни пациента.
О враче
Запишитесь на прием к врачу урологу-андрологу высшей категории – Клокову Андрею Николаевичу уже сегодня. Мы сделаем все, чтобы принять вас как можно быстрее. Клиника Радуга расположена в Выборгском районе Санкт-Петербурга, всего в нескольких минутах ходьбы от станций метро Озерки, Проспект Просвещения и Парнас. Смотрите карту проезда.
Консультация уролога — 1000 руб.
Вернуться к списку статей
Источник: https://www.raduga-clinic.ru/articles/glomerulonefrit/
Аутоиммунное заболевание почек: диагностика, прогноз и лечение

Среди аутоиммунных заболеваний почек чаще встречаются патологии, ставшие последствием других болезней. И лишь аутоиммунный гломерулонефрит может развиваться как самостоятельная болезнь. Частой причиной аутоиммунного поражения органов становятся системные васкулиты и синдром Гудпасчера.
Общим почти для всех типов, будь то самостоятельное заболевание или последствие другой аутоиммунной реакции, становится следующее. При отсутствии должного лечения болезнь прогрессирует, развивается нефрит, в результате может возникнуть почечная недостаточность в острой форме, что часто приводит к летальному исходу.
Васкулиты и поражение почек
К системным васкулитам относится большая группа болезней, для которых характерное воспаление и некроз сосудистой стенки. Почки как раз поэтому и поражаются, что содержат огромное количество сосудов паренхимы. При васкулитах почки вовлекаются в процесс поражения капилляров. Развиваются такие болезни, как гранулематоз Вегенера, пурпура Шенлейна-Геноха и некоторые другие патологии.
При поражении мелких сосудов появляются воспаленные клубочки, что и ведет к нефриту и недостаточности. Другие болезни приводят к инфаркту почек, а также развитию гломерулонефрита. При системных васкулитах процесс поражения почек идет очень быстро, сопровождаясь резкими изменениями в иммуногистохимической грамме.
Лечение васкулита подразумевает ряд клинических вмешательств, терапию. Болезни почек, возникшие на его фоне, устраняются симптоматически противовоспалительными препаратами.
Синдром Гудпасчера и поражение почек
При синдроме Гудпасчера поражаются капилляры почек из-за аутоиммунных реакций. Также патология распространяется на легкие, что приводит к гломерулонефриту и геморрагическому пневмониту. Иногда синдром относят к системным васкулитам.
Чаще всего синдром развивается в возрасте от 20 до 30 лет, а второй пик приходится на 50-60 лет. Страдает 1 человек из 1 млн. Смертность при отсутствии актуальной терапии составляет минимум 75%.
Причины патологии до сих пор не определены, но считается, что синдром развивается после вирусной инфекции типа гриппа или гепатита А.
При злокачественном течении болезни развивается геморрагическая пневмония и резко прогрессирующий гломерулонефрит. При умеренном течении появляется легочно-почечный синдром, развивается он медленно и умеренно. При третьем типе течения болезни – медленном – легочные проявления появляются поздно, гломерулонефрит протекает медленно.
При злокачественном варианте часто развивается кровотечение из легких, появляется острая почечная недостаточность. Осложняется патология отеком легких и сердечной астмой.
Лечение синдрома
Если Гудпасчер развивается остро, то назначают следующие процедуры:
- пульс-терапию метилпреднизолоном;
- после достижения ремиссии переводят на поддерживающую терапию;
- плазмаферез;
- симптоматическая терапия для повышения уровня железа;
- при почечной недостаточности проводят гемодиализ;
- иногда требуется нефрэктомия и пересадка почки.
Течение Гудпасчера почти всегда прогрессирует. Гибель пациентов случается из-за сильных легочных кровотечений или почечной, дыхательной недостаточности. Во всех случаях продолжительность жизни не превышает 1-3 лет, при злокачественном течении – несколько недель. Лишь в единичных случаях происходит ремиссия, объяснить которую врачи не могут.
Для Вас: Лечение интерфероном: польза и вред чужого иммунитета
Гломерулонефрит почек
Заболевание гломерулонефрит – поражение капиллярной сетки почек. При аутоиммунном течении развивается воспаление из-за неадекватной активности иммунитета. Чаще всего поражаются обе почки. Среди причин выделяют:
- перенесенные стрептококковые инфекции – тонзиллит, ангина, скарлатина;
- аутоиммунные болезни, описанные в первых пунктах;
- некоторые сыворотки и вакцины;
- природные аллергены – шерсть, пыльца, пищевые продукты.
Чрезмерное увлечение алкоголем, переохлаждения и травмы спины могут «сыграть на руку» заболеванию.
Развитие болезни
У гломерулонефрита есть особый механизм течения. Сначала возбудитель проникает в человеческое тело, это может быть и грипп, и ОРЗ и любой тип герпеса. Затем иммунитет его запоминает и вырабатывает антитела. Когда же вирус повторно проникает в организм, антитела могут оседать в почках и воспринимаются, как патологические клетки.
В результате иммунитет начинает вырабатывать антигены, которые атакуют не только вирус, но и здоровые ткани почек. Кровь в этот момент вырабатывает антипочечные антитела, которые только ухудшают ситуацию, и организм совсем перестает отличать собственные клетки от чужеродных.
В результате поражения нарушается всасывание натрия и воды в тканях и крови, начинают возникать отеки, ухудшается кровоснабжение почек. Развивается ишемия, выделяется ренин, который регулирует давление. Чем меньше в крови концентрация солей натрия, тем сильнее выделяется ренин, который приводит к тяжелой гипертонии.
Симптомы хронической формы характеризуются высоким артериальным давлением и сильными утренними отеками, а в моче при анализе обнаруживается белок. Резко снижается суточное количество мочи. Боли становятся тянущими, а иногда совсем отсутствуют. Не всегда по симптомам можно выделить патологию, так как она иногда развивается и скрыто.
Лечение и диагностика заболевания
Постепенно ухудшающееся самочувствие рано или поздно приведет пациента к нефрологу. Сдают кровь, мочу на анализы и делают УЗИ. По симптомам и на основе клинической картины ставят диагноз, а затем назначают лечение. Наиболее точные результаты анализов дает биопсия почки, но ее назначают в редких неопределенных случаях.
Лечение патологии сводится к комплексной терапии с обязательным включением:
- Наблюдение у врача.
- Постельный режим, а при обострениях – помещение в стационар.
- Диета без соли, с минимумом белка и жидкости.
- Противовоспалительные и мочегонные препараты, против гипертонии, вещества от высокой активности иммунитета. Могут назначаться антибактериальные медикаменты.
- Очищение крови при выраженной почечной недостаточности.
- Трансплантация почки при очень тяжелых формах болезни.
Лечение должно защитить функционирование почки, остановить развитие болезни и осложнений. Обязательно использование препаратов, подавляющих патологическую работу иммунитета.
Источник: https://immunoprofi.ru/zabolevaniya/autoimmunnoe/autoimmunnye-zabolevaniya-pochek.html
Аутоиммунное заболевание почек при гломерулонефрите

Аутоиммунные заболевания — разные по клиническим симптомам, и развиваются вследствие выработки организмом антител против собственных здоровых тканей и клеток. В результате возникает поражение и воспаление жизнеспособной ткани. В этой статье мы рассмотрим аутоиммунный гломерулонефрит, причины его возникновения, протекание болезни, лечении и профилактики болезни.
Гломерулонефрит – это заболевание, при котором поражается капиллярная сетка клубочков почек. А аутоиммунная форма гломерулонефрита — это воспаление клубочков в результате аутоаллергических реакций в организме.
Обратите внимание! В большинстве случаев гломерулонефрит аутоиммунный носит двусторонний характер, то есть поражаются одновременно две почки.
Причины и развитие болезни
Основными причинами заболевания считают вирусную инфекцию
Основными причинами заболевания считают:
- Вирусную инфекцию;
- Действие лекарственных препаратов (вакцин, сывороток);
- Вторично перенесенная инфекция. Как правило, это стрептококк (тонзиллит, ангина, скарлатина и т.д.);
Обратите внимание! При повторном заражении стрептококковой инфекцией организм начинает очень интенсивно реагировать, что может спровоцировать возникновение аутоиммунного гломерулонефрита.
- Пищевые и другие натуральные аллергены (например, пыльца растений, шерсть животных);
- Наличие других аутоиммунных заболеваний;
- Злоупотребление алкогольными напитками;
- Переохлаждение;
- Травмы спины и позвоночника, являющиеся катализаторами поражения почечного аппарата человека.
Механизм развития аутоиммунного гломерулонефрита укладывается в несколько этапов:
- Первичное инфицирование. При попадании возбудителя в организм (герпес, грипп, ОРЗ, ОРВИ и др.), для борьбы с ним вырабатываются антитела, человек выздоравливает, а иммунная система «запоминает» инфекцию;
- Повторное заражение. Начинают вырабатываться антитела, образуются иммунные комплексы типа «антиген-антитело» и происходит их соединение с белком плазмы крови. Эти соединения оседают в канальцах почек;
- Образовавшиеся комплексы могут восприниматься тканями почек, как враждебные. Почки высвобождают аутоантигены, которые защищают орган от влияния любых агентов, стимулируют иммунные процессы;
- Выработка цитокинов организмом (антипочечные антитела). Запускается цепная реакция в иммунной системе, когда организм перестает различать собственные антитела, и начинает воспринимать их как чужеродные. В результате этих сменяющихся реакций развивается тяжелое аутоиммунное заболевание почек.
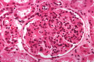
Процессы в почках при гломерулонефрите
В результате повреждения почек, нарушается обратное всасывание воды и натрия, как следствие, появляются отеки
В результате повреждения почек, нарушается обратное всасывание воды и натрия, как следствие, появляются отеки. Нарушается кровообращение, поступление крови в кору почек прекращается. Развивается недостаток кровоснабжения органа (ишемия).
Кора почек престает нормально функционировать. Выделяется ренин, регулирующий давление крови, тем сильнее, чем меньше солей натрия в крови. И, как следствие, повышается артериальное давление (гипертония), почечного происхождения. В результате поражения клубочков, при аутоиммунном гломерулонефрите, воспаляется весь почечный аппарат и резко ослабляется тонус сосудистого русла.
Воспалительный процесс может развиваться в нескольких направлениях:
- Происходит «испарение» жидкой части крови;
- Усиленно размножается и слущивается эпителий.
Каждое направление развития заболевания имеет свои симптомы и требует своего лечения.
Симптомы аутоиммунного гломерулонефрита
Первые симптомы проявляются через 1-3 недели после того, как человек перенес инфекционное заболевание
Первые симптомы проявляются через 1-3 недели после того, как человек перенес инфекционное заболевание.
Могут начаться головные боли, повыситься артериальное давление и температура тела. Ухудшается вывод жидкости из организма, что является причиной уменьшения образования урины и появления отечности тела. В моче наблюдаются следы крови (напоминает цвет «мясных помоев»).
Появляются боли в области поясницы и живота, может начаться рвота.
Когда гломерулонефрит аутоиммунный переходит в хроническую форму, повышенное артериальное давление приобретает стойкий характер, одновременно постоянными становятся утренние отеки. При лабораторных анализах мочи может быть обнаружен белок. Суточное количество мочи резко снижается, а боли приобретают ноюще-тянущий характер.
Внимание! При любой форме аутоиммунного гломерулонефрита боль может отсутствовать. Необходимо ориентироваться на анализы и другие виды диагностики, так как и другие симптомы могут протекать скрыто (латентно).
Подробнее про общие симптомы гломерулонефрита.
Диагностика заболевания
При первых же признаках ухудшения самочувствия необходимо срочно обращаться к лечащему врачу
При первых же признаках ухудшения самочувствия необходимо срочно обращаться к лечащему врачу, врачу-нефрологу. Вам назначат анализы крови и мочи, а также УЗИ почек. По результатам анализов и симптомов, доктор поставит точный диагноз и назначит соответствующее лечение.
Обратите внимание! Наиболее точным методом диагностики, при неопределенных и сложных случаях, является биопсия почки.
Формы и особенности гломерулонефрита
Острая форма заболевания проявляется через 1-2 недели после развития инфекционного заболевания
Острая форма заболевания проявляется через 1-2 недели после развития инфекционного заболевания.
При вовремя поставленном диагнозе и прохождения лечения, основные ощутимые признаки заболевания проходят уже через 2-3 недели.
А полное выздоровление по результатам лабораторных анализов наступает уже через 2-3 месяца.
При этом различают несколько форм гломерулонефрита:
- Нефритическая форма. Случай, когда воспаление сочетается с нефротическим синдромом (может выражаться отеками, присутствием крови и белка в моче и др.). После поражения почек присоединяется повышенное артериальное давление и развивается почечная недостаточность;
- Циклическая форма. Отличается бурным началом заболевания, яркими симптомами, а после улучшения общего самочувствия больного в моче появляется кровь и белок;
- Латентная форма. Характеризуется постепенным началом, симптомы выражены не ярко. Эта форма крайне тяжело диагностируется, ввиду незаметности симптомов, что часто приводит к хронической форме заболевания, может длиться годами. При этом отеки и гипертония появляются редко. При отсутствии адекватного лечения, через 15-20 лет приводит к хронической или острой почечной недостаточности;
Внимание! Хронический гломерулонефрит может быть следствие острого процесса, а может развиваться и как самостоятельное заболевание. Любая острая форма заболевания, которая не вылечена в течение года относится к хроническому гломерулонефриту.
- Гипертоническая форма. Основным симптомом является повышенное артериальное давление, достигающее крайне высоких показателей. А также ослабленный мочевой синдром. Как правило, эта форма является продолжением латентного острого гломерулонефрита;
- Гематурическая форма. Отличается ярко-выраженным признаком – присутствие крови в моче. При этом остальные симптомы могут быть выражены слабо;
- Смешанная форма. Нефротические проявления в сочетании с повышенным артериальным давлением.
Обратите внимание! Любая хроническая форма заболевания в стадии своего обострения по симптоматике напоминает острую форму.
Гломерулонефрит быстропрогрессирущий – это острое злокачественное течение заболевания, при котором быстро развивается почечная недостаточность. При этом возникает ряд осложнений, которые требуют дополнительной срочной диагностики и, как следствие, лечения всех пораженных систем органов.
Лечение аутоиммунного гломерулонефрита
Лечение аутоиммунного гломерулонефрита подразумевает постельный режим, а при острых формах – стационар
- Обязательный контроль лечащего врача.
- Постельный режим, а при острых формах – стационар.
- Специальная диета. Ограничение количества соли, продуктов, содержащих белок, и жидкости – снижает нагрузку на почки.
- Лекарственное лечение, соответствующее форме и характеру течения заболевания. Врачом могут быть назначены лекарства:
- Мочегонные;
- Противовоспалительные;
- Понижающие артериальное давление;
- Разжижающие кровь;
- Подавляющие иммунитет;
- Антибактериальные.
- Общеукрепляющие процедуры.
- Гемодиализ (очищение крови), в случае выраженной почечной недостаточности.
- Трансплантация почки, в крайне тяжелом случае.
Лечение заболевания направлено на сохранение функций почек, замедление патологичных процессов и развития осложнений.
Назначаются специальные вакцины, которые на временно блокируют аллергические процессы, что, в итоге приводит к удалению пораженного органа.
Профилактика аутоиммунного гломерулонефрита
Методы профилактики предусматривают богатое витаминами и антиоксидантами полноценное питание
Более подробно с симптомами заболевания можно ознакомиться, посмотрев видео:
Методы профилактики предусматривают:
- Своевременную профилактику, диагностику и лечение инфекционных заболеваний;
- Богатое витаминами и антиоксидантами полноценное питание;
- Ограничение контакта с потенциальными аллергенами;
- Отказ от вредных привычек;
- Активный здоровый образ жизни;
- Избегание стресса, ослабляющего весь организм.
От аутоиммунных заболеваний не застрахован никто, и против них нет вакцин. Вылечить такие болезни крайне тяжело. И только ваше внимание к собственному организму, своевременная диагностика и адекватное лечение помогут сохранить здоровье, продлят активность и работоспособность на долгие годы.
Источник: https://LecheniePochki.ru/zabolevaniya/glomerulonefrit/autoimmunnoe-zabolevanie-pochek.html
Как возникает аутоиммунный гломерулонефрит и чем его лечить

В основе гломерулонефрита лежат аутоиммунные процессы или по-другому их называют аутоаллергические. Эти поражения в основном проявляются с капиллярной сети почечных клубочков. Впоследствии, в них развиваются воспалительные процессы, причем они, как правило, носят двухсторонний характер.
Наиболее характерными признаками гломерулонефрита являются общие почечные симптомы — отеки и гипертензия, а также проявления со стороны мочи — микро- или макрогематурия, протеинурия, цилиндрурия.
Длительное существование гломерулонефрита ведет к гипертрофии сердца, хронической почечной недостаточности и уремии.
Механизм развития и причинные факторы
Среди гломерулонефритов различают множество форм, они имеют различия, как в течение заболевания, так и во внешних проявлениях. Кроме того, это заболевание может протекать в остром, подостром, латентном (скрытом) и хроническом виде.
Принадлежность к тому или иному виду зависит от длительности заболевания и до определенной степени от выраженности симптомов.
Что касается механизмов развития гломерулонефрита, в одних случаях важную роль играют аутоиммунные процессы, в других — эти процессы могут иметь незначительное влияние на патогенез заболевания.
Способствовать возникновению гломерулонефрита могут различные виды микроорганизмов. Наибольшее значение имеет кокковая флора, вирусы, некоторые виды вакцин и сывороток. В ряде случаев злоупотребление алкоголем, сильное переохлаждение в сочетании с повышенной влажностью, травмы и операции в поясничной области могут привести к поражению почечного аппарата.
И все же, ведущую роль отводят повторному инфицированию β-гемолитическим стрептококком, особенно группы А.
При первом его проникновении в организме развилась повышенная чувствительность к этому виду возбудителя, однако внешне это никак не проявилось. А вот при его повторном попадании, развивается бурная иммунная реакция.
Обычно механизм развития заболевания выглядит приблизительно следующим образом:
- Первое попадание возбудителя в организм с развитием, например, ангины, тонзиллита, гриппа, ОРЗ, герпеса, гепатита В, в дальнейшем человек излечивается от заболевания, но организм «запомнил» инфекционный агент и выработал на него антитела.
- При повторном попадании в организм инфекции, в особенности стрептококков, начинают вырабатываться антитела. В результате, образуются комплексы антиген-антитело, они соединяются с белками плазмы крови и оседают на мембранах почечных канальцев.
- В ответ на это из почечной ткани высвобождаются аутоантигены, которые призваны защищать ткани от влияния агентов разной природы, но одновременно с этим, аутоантигены оказывают стимулирующее действие для поддержания иммунных процессов и дальнейшего развития заболевания.
- Кроме того, под влиянием инфекционных и других провоцирующих факторов в крови образуются антипочечные антитела, их называют цитокинами, которые еще больше усугубляют ситуацию. Они резко меняют иммунные реакции организма, в результате чего, организм перестает правильно распознавать собственные антитела и воспринимает их, как чужеродные агенты. Так развивается аутоиммунная реакция.
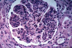
Что происходит в почке при аутоиммунном гломерулонефрите
Аутоиммунный гломерулонефрит имеет вышеописанный механизм развития. Повреждение клубочкового аппарата почки приводит к нарушению обратного всасывания натрия и воды, как в крови, так и в тканях, развиваются отеки.
Вследствие расстройства кровообращения в клубочках почек, кровь перераспределяется и перестает поступать в корковое вещество почек.
Так развивается ишемия (недостаток поступления крови) почки и возникает временная, а при длительном существовании ишемии, постоянная дисфункция коркового вещества. В ответ на малокровие коры почки, выделяется вещество ренин.
Чем хуже кровоснабжение почки и чем меньше солей натрия в крови, тем больше вырабатывается ренина. Благодаря этому механизму и развивается гипертония почечного происхождения.
Гломерулонефрит на начальных стадиях проявляется иммунными реакциями на уровне клубочков почки, но позднее развивается воспаление гломерулярного аппарата, и, как следствие, спазм сосудистого русла сменяется резким ослаблением его тонуса. В дальнейшем воспаление может развиваться в разных направлениях — в сторону пролиферации или экссудации.
При пролиферативном воспалении эпителий почек усиленно размножается и слущивается, это характерно для экстракапиллярных гломерулонефритов. Также может происходить пролиферация внутри капилляров — интракапиллярный гломерулонефрит. Если же преобладает экссудативный процесс, то в полость почечной капсулы происходит выпотевание жидкой части крови — плазмы.
Тогда в моче появляются форменные элементы крови.
Гиперчувствительность замедленного типа характерна для развития мезангиопролиферативного и мембранозного (мезангиокапиллярного) гломерулонефрита.
Очевидная и скрытая опасность аутоиммунного гломерулонефрита

Аутоиммунными называются заболевания, разнородные по клиническим проявлениям (симптомам), развивающиеся как следствие выработки антител против здоровых тканей организма. Это приводит к поражению нормальной, жизнеспособной ткани и возникновению воспаления аутоиммунного характера.
Гломерулонефрит – заболевание почек, характеризующееся поражением их клубочков (капиллярной сетки).
Отсюда следует, что аутоиммунный гломерулонефрит – это поражение кровеносных сосудов почечных клубочков, которое характеризуется развитием воспалительного процесса в результате протекания в организме аутоиммунных (аутоаллергических) реакций. Чаще всего воспаление носит двухсторонний характер (поражаются обе почки).
Причины возникновения
- перенесенная инфекция, чаще стрептококковая (ангина, скарлатина, тонзиллит).
При первом проникновении возбудителя в организм может не быть реакции, а при повторном – иммунитет начинает интенсивно реагировать;
- вирусы;
- другие аутоиммунные заболевания;
- лекарственные препараты (некоторые вакцины и сыворотки);
- аллергены природного происхождения (пыльца, шерсть, пищевые продукты).
Важным фактором является общее состояние организма. Злоупотребление алкоголем, переохлаждение, травмы спины – сопутствующие факторы поражения почечного аппарата.
Механизм развития болезни:
1. Возбудитель попадает в организм (это может быть даже грипп, ОРЗ, герпес), иммунитет человека его запоминает, вырабатывает антитела и пациент выздоравливает.
2. Происходит повторное попадание возбудителя в организм. Вырабатываются антитела, образуются комплексы «антиген-антитело». Происходит их соединение с белком плазмы крови и они оседают в почечных канальцах.
4. Дополнительно кровь начинает вырабатывать антипочечные антитела (цитокины). Ситуация усугубляется еще больше. Иммунные реакции сменяют друг друга, организм перестает различать свои антитела и воспринимает их как чужеродных агентов. Так развивается аутоиммунная реакция.
Протекание почечных процессов во время гломерулонефрита
В результате повреждения почечного аппарата, нарушается обратное всасывание натрия и воды (в крови и в тканях), появляются отеки. Кровообращение нарушается, кровь перестает поступать в кору почек. Развивается ишемия (недостаток кровоснабжения).
Корковое вещество перестает нормально функционировать. Начинается выделение ренина (компонент, регулирующий кровяное давление). Чем меньше уровень солей натрия в крови, тем интенсивнее выделяется ренин.
В результате чего развивается гипертония (повышенное артериальное давление) почечного происхождения.
Если начинается аутоиммунный гломерулонефрит с поражения клубочков, то с развитием заболевания, происходит воспаление всего почечного аппарата и резкое ослабление тонуса сосудистого русла.
Далее воспаление может развиваться в нескольких направлениях. Может эффективно размножаться и слущиваться эпителий, или происходит испарение жидкой части крови.
При каждом развитии свои симптомы, последствия и лечение.
Симптоматика (проявление) заболевания
Если через 1-3 недели после перенесенного инфекционного заболевания начинаются головные боли, отмечается повышение температуры и артериального давления, возможно, началось развитие острого гломерулонефрита.
Возможно ухудшение выведения жидкости из организма, это становится причиной уменьшения мочеиспускания и появления отеков. В моче появляется примесь красных клеток крови – моча цвета «мясных помоев».
Характерны для данного состояния боли в пояснице, животе, рвота.
При хронической форме, основными симптомами будет стойкое повышение артериального давления, утренние отеки. При анализе в моче может быть обнаружен белок. Возможно резкое снижение суточного количества мочи. Боль ноющего, тянущего характера, может отсутствовать совсем.
Обе формы могут протекать латентно (скрыто) без ярко выраженной симптоматики.
Диагностика гломерулонефрита
Первые проявления ухудшения состояния заставят заболевшего обратиться к врачу. Болезнями почек занимается врач-нефролог. Необходимо будет сдать кровь, мочу, сделать УЗИ почек.
На основе данных анализов и клинической картины (сопутствующих симптомов) будет поставлен диагноз и назначено лечение.
Самым точным методом диагностики является биопсия почки, но обычно она назначается при сложных или неопределенных случаях.
Формы гломерулонефрита и их особенности
Острый гломерулонефрит – проявляется через 7-14 дней после развития инфекции. При благоприятных условиях и правильном лечении основные симптомы проходят через 2-3 недели. Полное выздоровление (норма в лабораторных анализах) – через 2-3 месяца.
- циклическая форма характеризуется бурным началом, яркими симптомами, после улучшения самочувствия какое-то время в моче может наблюдаться белок и клетки крови.
- латентная форма отличается постепенным началом без ярко-выраженных симптомов. Отрицательной особенностью является сложность диагностирования данной формы, что часто приводит к развитию хронической формы. Заболевание может длиться от 2 до 6 месяцев.
Хронический гломерулонефрит – может развиться как самостоятельное заболевание или стать последствием острого процесса. Любая острая форма, не вылеченная в течение года, классифицируется как хронический гломерулонефрит.
- нефритическая форма – воспалительный почечный процесс сочетается с выраженным нефротическим синдромом (отеки, кровь и белок в моче). Т.е. сначала проявляется поражение почек, со временем присоединяется гипертония и почечная недостаточность.
- гипертоническая форма – как видно из названия, главным симптомом является повышенное артериальное давление (может достигать очень высоких цифр). Слабый мочевой синдром. Чаще всего, эта форма – продолжение латентного острого гломерулонефрита.
- смешанная форма – сочетание гипертонии с нефротическими проявлениями.
- гематурическая форма характеризуется ярко-выраженным основным симптомом – кровь в моче на фоне более слабого развития остальных клинических проявлений.
Любая хроническая форма в стадии обострения по течению напоминает острый гломерулонефрит.
Быстропрогрессирующий гломерулонефрит – злокачественное острое течение процесса, приводящее к развитию острой почечной недостаточности. Характеризуется рядом осложнений, особенностями в диагностике и комплексным лечением всех пораженных систем органов.
Профилактика заболевания
- профилактика, своевременная диагностика и лечение инфекционных заболеваний;
- ограничение контакта с возможными аллергенами;
- полноценное питание, богатое витаминами и антиоксидантами;
- избегание стрессовых ситуаций, ослабляющих организм;
- здоровый образ жизни, отказ от вредных привычек.
Главное помнить, что никто не застрахован от аутоиммунных заболеваний, от них нет вакцины, а лечению такие болезни подвергаются очень неохотно. Только сознательность и забота о своем организме может уберечь человека от беды и сохранить здоровье на долгие годы.
Источник: http://TvoyAybolit.ru/ochevidnaya-i-skrytaya-opasnost-autoimmunnogo-glomerulonefrita.html
Поделиться: