Мрт почек — что показывает?

Использование магнитно-резонансной томографии для диагностики внутренних органов обусловлено некоторыми причинами. Во-первых, она создает общую картину внутреннего органа.
Во-вторых, гарантирует высокое качество изображений, что помогает поставить точный и надежный диагноз. Применение томографии важно в диагностике поджелудочной железы, печени, желчных протоков, когда необходимо исследовать мягкие ткани.
МРТ почек позволяет обнаружить заболевания в этой области на ранней стадии.
Что показывает
Исследование почек — сложная задача, потому что многие нефрологические заболевания долгое время не проявляются. Не имея субъективных признаков, таких как боль, человек вовремя не обращается к врачу. И лишь результаты анализов позволяют установить скрытно развивающиеся заболевания.
Почечная функция состоит из физиологических аспектов: перфузии (кровоснабжения), фильтрации, диффузии (изменение размеров органа и тканей). Раннее выявление функциональных изменений позволит врачу выбрать больше вариантов лечения.
Например, если в почке обнаружена инородная масса, то при помощи МРТ можно различить полые кистозные и твердые массы. На основании трехмерных изображений уролог или рентгенолог может увидеть, является ли масса раковой или доброкачественной.
Проводится МРТ почек с контрастированием или без контраста
Преимущества магнитно-резонансной томографии:
- неинвазивная методика;
- отсутствие ионизирующего излучения;
- трехмерный характер получения изображений;
- естественный контраст движущейся крови;
- высокая диагностическая эффективность.
Одной из причин гипертонии является стеноз почечной артерии, который характерен для молодых курящих людей. Стенки артерии при стенозе утолщаются, препятствуя нормальному кровотоку. Исследование состояния кровеносных сосудов с помощью МРТ — одно из развивающихся направлений диагностики.
Магнитно резонансная томография имеет большие перспективы в оценке почечных характеристик.
Мрт или узи почек
УЗИ и МРТ — два устройства, использующиеся в медицинских исследованиях.
В аппарате для сканирования применяются магнитные поля, которые изменяют положение молекул в теле человека, фиксируя при этом их изменения.
Скорость построения молекул отражается в сканере, который создает образ внутреннего органа человека. Затем аппарат воспроизводит статическое изображение поперечного сечения тела.
[/attention]
Ультразвуковое обследование используется для оценки размера, местоположения, формы почек и связанных с ним структур, таких как мочеточник, мочевой пузырь. УЗИ помогает обнаружить патологии:
- опухоли;
- абсцессы;
- наличие жидкости внутри почек;
- камни.
Ультразвуковое исследование делается после трансплантации почки для оценки ее жизнедеятельности. Оно эффективно при определении почечной массы. Хронические почечные заболевания лучше диагностируются с помощью УЗИ. При острой почечной недостаточности ультразвук является основным критерием для диагноза, но только как первоначальный скрининг.
Для обнаружения тромбоза почечной вены, который возникает как осложнение при раке почки, лучше использовать МРТ почек с контрастом.
Диагностика болезней почек
Показания
Магнитно-резонансная томография используется для оценки почечных артерий у пациентов с подозрением на стеноз почечной артерии.
Аппарат выдает изображения исключительной детализации и разрешающей способности и поэтому часто используется для характеристики и наблюдения за почечными массами.
Сканирование радионуклидов может помочь в оценке обструкции почечных путей и обеспечить функциональную оценку почечного тракта.
Показания к сканированию:
- наличие крови в моче;
- наличие камней;
- невыясненная гипертрофия органа;
- новообразования (определение стадии развития рака);
- атипичные кисты, кистозные опухоли;
- воспалительные процессы;
- повышенное почечное давление с неясными причинами;
- стеноз почечной артерии;
- подозрение на костные метастазы рака почки.
Направление на диагностическое исследование может быть связано с жалобами пациента на состояние здоровья. В некоторых случаях, когда пациент не имеет возможности провести обследование с помощью УЗИ или КТ, его направляют на магнитно-резонансную томографию. В этом случае врач должен рассказать, что включает в себя подготовка к МРТ почек.
Противопоказания
Ограничения на проведение МРТ почки бывают относительные и абсолютные.
Относительные:
- беременность в первом триместре;
- клапанные протезы;
- приступы клаустрофобии;
- гемостатические клипсы;
- эндопротезы на основе титановых сплавов.
К абсолютным противопоказаниям МРТ почек и мочевыводящих путей относятся:
- кардиостимулятор;
- металлические предметы, находящиеся внутри тела (пули, осколки);
- вес пациента и большая окружность талии;
- острая и хроническая почечная недостаточность (при использовании контраста).
Подготовка
Как подготовиться к проведению обследования, всегда расскажет врач. Это зависит от индивидуальных особенностей человека и его болезней.
При наличии почечных заболеваний перед проведением сеанса надо сдать анализ крови, чтобы обеспечить безопасный прием контрастного вещества. Нефрогенный системный фиброз является редким, но опасным осложнением после инъекции гадолиния у людей с плохой функцией почек. Необходимо предоставить врачу-радиологу почечные показания, особенно по креатинину.
[/attention]
Голодать перед проведением сеанса диагностики не следует. Принятие еды за 1-2 часа до сеанса будет достаточным. В отдельных случаях перед компьютерным анализом при подготовке к исследованию лечащий врач проинформирует, следует ли проводить сеанс натощак.
Подготовка и проведение мрт почек
Проведение мрт с контрастом
Контрастное вещество при сканировании почек чаще всего не требуется. Пространственное расположение органа и изменения в виде опухолей видны и без вещества. Но если нужно дифференцировать ткани и их изменения, то контраст необходим. Вводимое вещество помогает отличить больную ткань от здоровой.
МРТ почек с контрастом при использовании низкой дозы агента на основе гадолиния была проверена на предмет точного измерения скорости клубочковой фильтрации и почечного потока плазмы.
И врачи пришли к выводу, что в некоторых случаях для постановки диагноза бывает достаточно определить количество креатинина в сыворотке крови.
Однако для пациентов с почечными заболеваниями необходимо выполнять МРТ для точного мониторинга функции почек.
[/attention]
Лишь у небольшой части пациентов контрастное вещество снижает скорость клубочковой фильтрации.
Как проводится исследование с контрастом? Вещество чаще вводится через вену, при нормальной функции почек оно выводится из организма за 24 часа.
Вероятность аллергической реакции на контрастную среду небольшая, но предупредить врача о ней стоит.
При почечной недостаточности риск и польза проведения МРТ должны быть тщательно взвешены.
Источник: https://pochkam.ru/diagnostika/mrt-pochek-chto-pokazyvaet.html
Мрт мочеточников
Метод МРТ диагностики мочеточников построен на электромагнитных свойствах атомов водорода, которые в разных тканях содержатся в разных количествах.
Под действием сильного магнитного поля и радиочастотных импульсов, котоые создаются в самом аппарате, в тканях организма возникает суммарный магнитный эффект. Томограф фиксирует все характеристики исследуемого органа и передает их на компьютер.
Процедура МРТ считается безвредной, поэтому проводят ее как в качестве диагностического исследования, так и в качестве контроля за проведенным лечением.
Что показывает Мрт мочеточников
В первую очередь необходимо отметить, что магнитно-резонансная томография мочеточников выполняется в комплексном обследовании почек и мочевыводящих путей, как самостоятельный метод диагностирования невозможен.
При помощи магнитно-резонансной томографии удается оценить состояние органов и выявить имеющиеся патологии:
- оценить топографическое положение и выявить аномалии развития данного органа;
- оценка кровоснажения мочеточников;
- выявить патологические очаги и имеющиеся зоны поражения в мочеточниках;
- определить наличие новообразований, его размеры;
- оценить функциональность данного органа.
Показания к проведению Мрт мочеточников
В сило проведения комплексного обследования при Мрт мочеточников, среди распространенных показаний для магнитно-резонансного обследования выделяют следующие:
- Нарушение кровотока в почках, мочеточниках и других околопочечных тканях.
- Патологические и воспалительные заболевания почек, мочеточников.
- Камни почек, мочеточников.
- Жалобы на почечные колики и выяснение очага локализации.
- Подозрения на наличие новообразования в этой области.
Виды Мрт мочеточников
Здесь следует выделить два вида исследования, отличающиеся между собой:
- Мрт мочеточников с контрастированием.
- Магнитно-резонансная томография без контрастного вещества.
Мрт мочеточников с контрастом проводится тогда, когда необходимо диагностировать природу опухоли и оценить состояние сосудов данной области.
Как подготовиться к исследованию?
Магнитно-резонансная диагностика имеет массу преимуществ в сравнении с другими видами обследования, кроме безопасности и достоверности полученных данных, Мрт мочеточников отличается простотой диагностирования.
Пациенты, которые записываются на такую процедуру, задают один из распространенных вопросов: “Как необходимо подготовиться к томографии?”. Отвечая на данный вопрос, следует отметить, что Мрт мочеточников не требует специальной подготовки со стороны больного.
Накануне процедуры готовиться к этому никак не надо, соблюдая какие-либо ограничения и диеты.
[/attention]
магнитно-резонансная томография требует находиться довольно длительное время в неподвижном состоянии, одежда не должна вызывать дискоммфорт.
Снять все металлические аксессуары и украшения со своего тела, а также выложить все электроприборы.
[/attention]
Пациенты, которые по каким-либо причинам не могут находиться длительное время в неподвижном состоянии, люди, страдающие психическими расстройствами, а также дети и пациенты, больные клаустрофобией, требуют дополнительного введения седативных и снотворных медикаментозных средств.
Далее пациента укладывают в горизонтальном положении на кушетку, которая затем задвигается в томограф, больной остается один в комнате, связь с рентгенологом осуществляется через микрофон.
Противопоказания к Мрт мочеточников
Среди противопоказаний можно выделить абсолютные и относительные.
Абсолютные противопоказания категорически запрещают проведение МРТ, к ним относятся:
- Больные с кардиостимуляторами и металлическими пластинами, несъемными протезами в организме.
- Больные с почечной недостаточностью тяжелой степени.
Возможность проведения Мрт мочеточников у пациентов с относительными противопоказаниями определяется доктором в каждом отдельном случае. Сюда относятся:
- Сахарный диабет, большая масса тела.
- Беременность, период лактации.
- Детский возраст до 12 лет.
- Непереносимость, аллергическая реакция на применяемые во время исследования, препараты.
Источник: https://xn----xtbekk.xn--p1ai/article/mrt-mochetochnikov
Как проводится и что показывает МРТ почек?
МРТ почек назначают при различных заболеваниях. Этот метод диагностики делает возможным достоверно дифференцировать почечные заболевания с нарушениями мочеполовой системы или патологией позвоночника. Для пациентов важно знать, что же показывает МРТ почек и других органов мочеполовой системы. Томография разрешает оценить и визуализировать:
- строение и размер органа (состояние лоханки, чашечек, сосудов),
- анатомическую структуру тканей
- функционирование органа, его работоспособность
- грань между корковым и мозговым слоем
- доброкачественные опухоли
- онкологические поражения (стадию и распространение)
- динамику роста кисты или опухоли
- степень поражения сосудов
- наличие или отсутствие поражения мочевыводящих путей.
МРТ почек назначают также в целях наблюдения за изменениями после лечения.
Метод МРТ допускает получение изображений многих срезов органа в высоком качестве. Исследование назначают в случаях неэффективности проведения компьютерной томографии, УЗИ или при противопоказаниях к рентгенографии. МРТ почек незаменимо при ранней диагностике онкологических заболеваний, травматических нарушений, урологических проблем и т.д.
Показаниями к прохождению обследования МРТ могут послужить увеличение объема мочи, боль в пояснице, повышенная температура и лихорадочное состояние, появление отечности, колик, частых головокружений и головной боли.
[/attention]
Метод безвреден и не угрожает облучением, таким образом, проходить сканирование пациент может несколько раз.
Мрт почек с контрастом
На практике традиционно контрастную МРТ назначают при подозрениях на опухоли.
В этом случае вводится особое вещество внутривенно. При прохождении по сосудам, оно окрашивает их, накапливаясь в тканях и органах. Качество снимков зависит от активности кровотока в нужной области.
Количество препарата назначают исходя из веса пациента. Обычно контраст выходит в течение суток вместе с мочой.
Высокая разрешающая способность аппарата разрешает различить полые кисты и плотные объемные образования. Также по снимкам можно оценить вид жидкости в кисте, и дифференцировать кровотечение и воспаление.
[/attention]
Принимать лекарства, пищу, пить воду можно в обычном режиме, если не проводится исследование с контрастом. В день назначенной процедуры нужно надеть белье из натуральной ткани.
Сеанс занимает не больше тридцати минут. Пациент ложится на стол, который помещают в туннель аппарата. Во время сканирования нужно спокойно лежать и не шевелиться.
Можно надеть специальные наушники, так как аппарат издает шум. В аппарате имеется микрофон, с помощью него пациент может общаться с врачом. Самое важное в процедуре – это неподвижность.
[/attention]
Результаты в виде снимков и их расшифровку можно получить в день проведения обследования.
Противопоказания к прохождению МРТ почек
МРТ почек не влечет вреда здоровью больного, не вызывает побочных осложнений. Ограничений к прохождению такого рода обследования не так много, но все же они есть. Магнитно-резонансная и компьютерная томография почек, а в некоторых случаях и исследование МСКТ и СКТ, не могут назначаться пациентам в следующих случаях:
- если имеется почечная недостаточность
- в случае аллергических реакций на препараты, которые вводятся пациентам в качестве контраста
- присутствие в теле пациента кардиостимуляторов, металлических имплантов, скоб, осколков, искусственных водителей ритма сердца
- клаустрофобия, психические заболевания
- беременность, особенно 1 триместр
- избыточный вес пациента свыше 120 кг
- кормящим мамам в случае проведения процедуры с контрастированием не рекомендуется кормить ребенка 1-2 дня.
Обо всех этих противопоказаниях больной должен известить лечащего врача и специалистов, которые проводят процедуру.
УЗИ, КТ или МРТ почек – что лучше и в чем разница?
После проведенного УЗИ почек доктор может направить на дополнительные обследования: магнитно-резонансную или компьютерную томографию. Почему недостаточно ультразвукового исследования?
УЗИ помогает врачам определить параметры почек — форму и размеры, количество органов, расположение органов и структуру ткани, даст понимание о соответствии органов среднестатистическим данным. Таким образом, УЗИ это базовое обследование, с помощью которого можно обнаружить патологии, но оно не сможет помочь поставить диагноз.
Поэтому требуются дополнительные исследования. К тому же, если есть проблемы со здоровьем почек, а показатели в норме, то это только структурное здоровье.
[/attention]
Ответить на вопрос что лучше КТ или МРТ почек никто однозначно не сможет? Это совершенно разные процедуры и их не сравнивают по каким-либо свойствам и признакам.
Объединяет эти виды томографии только принцип действия — послойное сканирование. Часто для постановки диагноза ряда сложных заболеваний требуется провести и КТ, и МРТ.
Врачам нужно знать отличия каждого метода, чтобы выбрать конкретный метод обследования.
[/attention]
Методы диагностирования магнитно-резонансной и компьютерной томографии достаточно популярны в медицине для исследования почек. Но значительно чаще используют КТ, в связи с его доступностью. Метод КТ дает данные о следующих показателях:
- размеры почек
- параметры почек (форма, очертания, расположение)
- взаимоотношение с чашечно-лоханной системой
- месторасположение патологических образований (кисты).
Компьютерная томография позволяет обнаружить кисту и определить ее физиологические данные, а метод МРТ почек дает возможность определить механизм образования кисты и классифицировать ее.
Оба метода также применяются в исследовании мочевыделительной системы. Кроме того, исследование почек и мочевого пузыря на МРТ или КТ с применением контрастирования разрешает с высокой долей точности обнаружить даже мельчайшие образования, различные по своей плотности, и выявить другие патологии, которые недоступны для иных способов диагностики.
Для исследования состояния сосудов этой анатомической области также используют как МРТ, так и КТ мочевого пузыря и почек с контрастным усилением. То есть больному перед обследованием вводят специальный контраст, который способствует усилению видимости изучаемой области.
Но необходимо знать, что у некоторых пациентов возможно появление аллергии на контрастирующие препараты.
МСКТ почек и мочевыводящих путей
[/attention]
Во время обследования пациенту нужно задержать дыхание один раз. Остальное за него выполнит томограф: стол с пациентом движется сам, вокруг него вращается трубка, которая сейчас имеет сразу несколько детекторов.
Поэтому МСКТ значительно облегчает обследование тяжелобольных людей.
Преимущества МРТ:
- Процедура незаменима, когда есть противопоказания к проведению КТ и рентгенографии, либо эти методы неэффективны
- Возможность выявления мельчайших патологий
- Врачи видят полную картину исследуемых органов в разных срезах без вмешательства в тело пациента. Обследование выполняется безболезненно
- Отсутствует ионизирующее излучение.
- Человек для прохождения МРТ не нуждается в специальной подготовке для прохождения обследования.
Конечно же, такая процедура стоит недешево. Цена МРТ почек находится в диапазоне от 3 до 6 тысяч рублей.
Стоимость колеблется в зависимости от региона и типа оборудования, его технических характеристик, года выпуска и т.д. Но необходимо отметить, что безопасность и качество проведения процедуры от стоимости не зависит.
Стоимость МРТ с контрастированием повышается ориентировочно в два раза, так как стоимость контраста довольно высока.
ПОДЕЛИТЕСЬ С ДРУЗЬЯМИ И ПРОГОЛОСУЙТЕ
(7 , оценка: 4,86 из 5) Загрузка…
Источник: https://tomografpro.ru/mrt-bryushnoj-polosti/tomografyia-pochek.html
Видно Ли На Мрт Камни В Почках
Роль магнитно-резонансной томографии в диагностике заболеваний почек ещё досконально не изучена, однако это исследование занимает немаловажное место в современной медицине.
На сегодняшний день во всём мире каждый год свыше 60 миллионов урологических диагнозов ставится именно с помощью данного метода. Принципы построения МРТ-снимка идеально подходят для изучения органов со сложной структурой тканей, которыми и являются почки.
Магнитно-резонансная томография — уникальное диагностическое исследование, позволяющее врачу получить высококачественные послойные снимки любого места человеческого организма. Метод МРТ довольно непростой.
В его основу положена способность ядер водородных атомов, содержащихся во всех живых тканях, после воздействия на них радиоволн и магнитного поля генерировать электромагнитные сигналы.
Методы лучевой и магнитной диагностики все шире внедряются во все сферы медицинской деятельности. Уже трудно представить медицинское учреждение, которое не имело бы на своей базе хотя бы один аппарат для магнитно-резонансной томографии. МРТ — современная диагностическая процедура, в основе которой лежат магнитные свойства атомных частиц. В процессе работы устройства создается мощное поле, излучающее магнитные волны, которые проникают в человеческий организм и по-разному отражаются от определенных структур. Все это специальными датчиками передается в компьютерную часть, где импульсы преобразуются в изображение, которое в последующем распечатывается и отдается для описания специалисту. ПОСМОТРИТЕ ВИДЕО ПО ТЕМЕ: МРТ почек
Постановка диагноза: как обнаруживается рак почки?
Компьютерная томография и МРТ почек и мочевого пузыря , 18 Содержимое: Высокоточные методы диагностики Диагностика заболеваний анатомическое расположение мочевого пузыря и почек Две почки и мочевой пузырь входят в состав мочевыделительной мочевой системы, назначением которой является формирование, накапливание и вывод мочи из организма, а также поддержание определенного уровня водно-солевого баланса. Почки выполняют функцию мочеобразования, а мочевой пузырь с мочеточником и мочевыводящим каналом — мочевыведения. Без нормального функционирования данных органов немыслимо говорить о здоровье человека, ведь сбой в работе хотя бы одного из них может привести к зашлакованности организма и нарушению обменных процессов, что в свою очередь тянет за собой множество различных заболеваний. Своевременное высокотехнологичное обследование позволит избежать неясностей и не допустить осложнения болезней.
1 Обзор методов диагностики камней в почках 2 Лабораторные исследования 3 Обзорная рентгенография почек 4 Экскреторная урография 5 Ультразвуковое исследование почек УЗИ 6 Компьютерная и магнитно-резонансная томография 7 Определение состава камней косвенным способом 8 Заключение Отложение конкрементов камней в почках — прямое проявление мочекаменной болезни.
Магнитно-резонансная томография почек МРТ относится к высокоточным методам обследования, не требующим специальной подготовки. При помощи специального аппарата томографа исследуемая область человеческого тела подвергается воздействию безопасного магнитного поля и радиоволн.
[/attention]
Видны строение, положение и структура почек, надпочечников, чашечно-лоханочной системы, околопочечной клетчатки, сосудов и других расположенных рядом органов.
Мочекаменная болезнь (нефролитиаз, камни в почках)
Мочекаменная болезнь доставляет пациенту массу неудобств. И даже не столько своей болезненностью, сколько некоторой сложностью постановки диагноза. Поскольку часто камни в почках можно спутать с другими патологическими состояниями.
Однако современная диагностика камней в почках при грамотном подходе профессионала-уролога позволяет выявить образования каменистого типа и назначить эффективное лечение.
Чтобы понять, как дифференцируют наличие почечных камней, в материале ниже рассмотрим подробную схему обследования пациента.
ВОПРОСЫ ПАЦИЕНТОВ. Образование в почке, которое видно на УЗИ и не видно на КТ ?!
С годами мы приобретаем не только мудрость и жизненный опыт, но и множество неприятных болячек.
Вас ничего не беспокоит, и вы думаете, что не внесли свой вклад в эту печальную статистику? Чтобы убедиться в том, что вашему здоровью действительно ничего не угрожает, нужно сделать МРТ почек.
[/attention]
При патологическом процессе изменяется ее состав и реакция рН , что приводит к кристаллизации. Сначала это безобидный мелкий песок. Правда, первостепенное значение все же имеет не кислотная реакция, а наличие минералов. На этом разнообразие камней не заканчивается.
Аппаратные и лабораторные методы диагностики почечных камней
МРТ почек — это современный способ обследования, для проведения которого используется томограф. Метод популярен высокой точностью диагностирования организма человека. С помощью магнитно-резонансной терапии можно отследить возможные патологии почек и мочевыводящей системы.
Изображение аппарата для проведения данного обследования. Томография почек и мочевыводящих путей имеет высокоинформативную характеристику. Исследования не причиняют боли, не нарушают работу тканей и органов.
Почки — жизненно важный парный орган человеческого организма, который отвечает за выведение и фильтрацию жидкости, очищение крови.
МРТ почек — самый современный и подробный метод исследования. Имеет ряд существенных преимуществ перед другими видами диагностики:.
Кт показывает камни почках
Мочекаменная почечнокаменная болезнь нефролитиаз — это заболевание, сопровождающееся образованием камней конкрементов в чашечках или лоханке почки из веществ, входящих в состав мочи. Наиболее часто мочекаменная болезнь встречается у лиц трудоспособного возраста от 30 до 50 лет.
Образование камней в почках является сложным многофакторным заболеванием, в основе которого лежит взаимодействие внутренних факторов и факторов внешней среды. Наиболее часто к камнеобразованию приводят следующие факторы:.
Камни почек классифицируют по их размеру, месторасположению, плотности способности задерживать рентгеновские лучи , по минералогическому составу, по причине и степени риска повторного камнеобразования. Как и многие урологические заболевания, мочекаменная болезнь долгое время может никак клинически не проявляться.
[/attention]
ВИДЕО ПО ТЕМЕ: В чем разница между КТ и МРТ
Магнитно-резонансная томография почек в дальнейшем МРТ относится к высокочастотным методам диагностики, его считают безопасным способом исследования органов. Специальный прибор томограф подвергает область почек воздействию безопасного магнитного поля и радиоволн. Протоны в ядрах атомов водорода временно смещаются, потом возвращаются в исходное положение.
Энергия, которая выделяется в этот момент, управляется датчиками, специальной программой преобразуется в трёхмерное изображение. Картинка позволяет медику оценить состояние почек пациента, строение парного органа и близлежащих тканей.
статьи: Общая информация Классификация Показания и противопоказания Преимущества исследования Как подготовиться: советы пациентам Как проводится процедура МРТ Результаты исследований.
Источник: https://medcentr-aclinic.ru/h2/29435-vidno-li-na-mrt-kamni-v-pochkah.php
Диагностика камней в почках
Лабораторная и инструментальная диагностика мочекаменной болезни поможет выявить и распознать патологию без особых трудностей, потому что современные лаборатории и диагностические кабинеты оснащены высокоточным оборудованием, способным определить наличие камней даже на самых ранних этапах образования. Обследования назначаются врачом после первичного осмотра и сбора необходимых данных.
Показания к диагностике
Мочекаменная болезнь — коварная патология, которая долгое время может не проявлять себя никакими признаками. Но камень в почке постепенно увеличивается в размерах, раздражает нервные окончания, вызывая дискомфорт и болезненные симптомы в области поясницы. По мере роста и увеличения конкремента, больного беспокоят:
- почечные колики и гематурия;
- боли, локализованные преимущественно в правом боку;
- почечная недостаточность;
- увеличение давления;
- проблемы с мочеиспусканием;
- присутствие в моче гноя и слизи;
- увеличение температурных показателей.
Если у человека проявляется хотя бы 2—3 подобных симптома, важно немедленно обращаться в больницу и проходить диагностическое обследование. Для определения патологии назначают лабораторные исследования мочи и крови, а также инструментальную диагностику, благодаря которой врач сможет узнать первопричину нарушения и поставить окончательный диагноз.
Что покажет первый осмотр?
Первое, что делает врач на приеме, – это расспрашивает пациента.
Перед тем как начать сдавать все анализы, пациента должен осмотреть врач.
Хоть во время первичного осмотра внутренние нарушения не видны, все равно на основании сбора анамнеза можно поставить предварительный диагноз.
В первую очередь доктор расспрашивает больного о беспокоящих симптомах, уточняет, когда приблизительно проблема начала проявляться и были ли ранее подобные случаи.
После того как опрос закончится, обязательно проводится пальпация поясничной зоны и брюшной полости.
При камнеобразовании в парном органе человека будут беспокоить резкие боли при легком поколачивании, а если конкремент уже начал выходить из почек, то интенсивная, приступообразная боль, тошнота, рвота и увеличение температуры наблюдаются постоянно. Когда подозрения подтверждаются и врач видит, что ситуация серьезная, назначается более углубленная диагностика камней в почках.
Общий анализ мочи
Чтобы диагностировать мочекаменную патологию, в обязательном порядке назначается исследование урины на присутствие в ней микрочастичек конкрементов, бактерий, крови, гноя и слизи. Если видно, что образцах присутствует белок, это говорит о протеинурии. Видимые кровяные частички свидетельствуют о макрогематурии, это один из основных симптомов движения камня из почки.
Не всегда анализ мочи при мочекаменной болезни показывает эритроцитурию и лейкоцитурию, но это совсем не означает, что в почках у человека нет конкрементов.
Если урина более щелочная, то это показатель образования уратов.
Когда количество лейкоцитов и эритроцитов больше нормы, такая картина говорит о протекании в парном органе инфекционно-воспалительного осложнения, которое важно своевременно выявить и устранить. При исследовании урины под микроскопом, можно провести анализ почечного камня, выяснить его природу, разновидность, химический состав.
[/attention]
А когда результат исследования показывает значение меньше 5-ти, часто это является свидетельством образования в почках конкрементов мочевой кислоты.
Суточный анализ
Урину на исследование сдают для того, чтобы выявить:
- начало развития мочекаменной патологии;
- степень поражения органа;
- успешность проведения назначенной терапии.
Анализ крови
Незначительное количество лейкоцитов может свидетельствовать об эпизоде почечной колики, если же лейкоцитоз выраженный, значит в организме протекает инфекционно-воспалительное осложнение. Также анализ крови покажет уровень электролитов, мочевины и гормонов щитовидной железы, что важно для постановки точного диагноза.
УЗИ-диагностирование
Конкременты в органах хорошо визуализируются на УЗИ.
Ультразвуковая диагностика мочекаменной болезни поможет определить:
- место расположения, количество и размеры конкремента;
- степень отечности паренхимы;
- распространенность воспаления.
КТ и МРТ-обследование
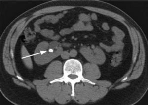
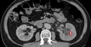
Если по каким-либо причинам камни в почках на УЗИ не удалось рассмотреть детально, особенно если они локализованы в мочеточнике, назначают КТ или МРТ почек.
Во время диагностирования на мониторе видно изображение органа в формате 3D, благодаря чему врач видит любые патологические изменения.
Зачастую МРТ или КТ почек назначают перед операцией, когда важно определить размер конкремента, его место расположения и состав. Мелкие камни на МРТ не визуализируются.
Обзорный рентген
Этот доступный, недорогой и информативный вид диагностирования часто назначается при подозрении на мочекаменную патологию.
При рентгенологическом исследовании применяется контраст, благодаря которому на снимке четко видны конкременты. Еще удается предположительно определить химический состав камня.
Поскольку маленькие камни в почках на МРТ не видны, то анализ конкрементов на рентгене дает возможность подобрать адекватную схему терапии, так как врач увидит:
- место расположения конкремента;
- точный размер;
- форму.
Радионуклидная диагностика
Такое обследование позволяет выявить качество работы почек.
Этот вид диагностирования является распространенным. Благодаря ему можно определить степень функционирования почек, насколько орган поражен конкрементами, а также какова его секреторная и эвакуаторная способность. Эти данные помогут подобрать оптимальную схему терапии и определиться с курсом лечения.
Внутривенная пиелография
До того как стали применять МРТ и КТ при камнях в почках, самым информативным способом диагностирования мочекаменной патологии считалась именно эта диагностическая процедура.
Перед обследованием человеку в вену вводится контрастное вещество, которое распределяется в парном органе. После необходимо сделать серию снимков, на которых видно положение конкрементов, и работа почек.
Внутривенная пиелография поможет оценить работу парного органа, и определить место локализации камней, что немаловажно перед назначением терапии.
Дифференциальный анализ
При поступлении в больницу с приступом почечной колики, врачи не всегда могут сразу поставить точный диагноз. Поэтому чтобы лечение было правильным, проводится дифференциальная диагностика, благодаря которой удастся исключить такие опасные болезни:
- аппендицит;
- холецистит;
- панкреатит.
Другие, не менее опасные патологии, такие как заболевания органов брюшной полости и позвоночного столба, характеризуются симптомами, похожими на мочекаменную патологию. Однако тщательное лабораторное диагностирование, анализ камней, УЗИ почек, рентгенография, МРТ или КТ помогут в короткие сроки установить правильный диагноз, что крайне важно для подбора адекватной схемы терапии.
Источник: http://ProUrinu.ru/izlechenie/dop/kak-opredelit-kamni-v-pochkah.html
Мрт почек — что показывает?

Использование магнитно-резонансной томографии для диагностики внутренних органов обусловлено некоторыми причинами. Во-первых, она создает общую картину внутреннего органа.
Во-вторых, гарантирует высокое качество изображений, что помогает поставить точный и надежный диагноз. Применение томографии важно в диагностике поджелудочной железы, печени, желчных протоков, когда необходимо исследовать мягкие ткани.
МРТ почек позволяет обнаружить заболевания в этой области на ранней стадии.
Что показывает
Исследование почек — сложная задача, потому что многие нефрологические заболевания долгое время не проявляются. Не имея субъективных признаков, таких как боль, человек вовремя не обращается к врачу. И лишь результаты анализов позволяют установить скрытно развивающиеся заболевания.
Почечная функция состоит из физиологических аспектов: перфузии (кровоснабжения), фильтрации, диффузии (изменение размеров органа и тканей). Раннее выявление функциональных изменений позволит врачу выбрать больше вариантов лечения.
Например, если в почке обнаружена инородная масса, то при помощи МРТ можно различить полые кистозные и твердые массы. На основании трехмерных изображений уролог или рентгенолог может увидеть, является ли масса раковой или доброкачественной.
Проводится МРТ почек с контрастированием или без контраста
Преимущества магнитно-резонансной томографии:
- неинвазивная методика;
- отсутствие ионизирующего излучения;
- трехмерный характер получения изображений;
- естественный контраст движущейся крови;
- высокая диагностическая эффективность.
Одной из причин гипертонии является стеноз почечной артерии, который характерен для молодых курящих людей. Стенки артерии при стенозе утолщаются, препятствуя нормальному кровотоку. Исследование состояния кровеносных сосудов с помощью МРТ — одно из развивающихся направлений диагностики.
Магнитно резонансная томография имеет большие перспективы в оценке почечных характеристик.
Мрт или узи почек
УЗИ и МРТ — два устройства, использующиеся в медицинских исследованиях.
В аппарате для сканирования применяются магнитные поля, которые изменяют положение молекул в теле человека, фиксируя при этом их изменения.
Скорость построения молекул отражается в сканере, который создает образ внутреннего органа человека. Затем аппарат воспроизводит статическое изображение поперечного сечения тела.
[/attention]
Ультразвуковое обследование используется для оценки размера, местоположения, формы почек и связанных с ним структур, таких как мочеточник, мочевой пузырь. УЗИ помогает обнаружить патологии:
- опухоли;
- абсцессы;
- наличие жидкости внутри почек;
- камни.
Ультразвуковое исследование делается после трансплантации почки для оценки ее жизнедеятельности. Оно эффективно при определении почечной массы. Хронические почечные заболевания лучше диагностируются с помощью УЗИ. При острой почечной недостаточности ультразвук является основным критерием для диагноза, но только как первоначальный скрининг.
Для обнаружения тромбоза почечной вены, который возникает как осложнение при раке почки, лучше использовать МРТ почек с контрастом.
Диагностика болезней почек
Показания
Магнитно-резонансная томография используется для оценки почечных артерий у пациентов с подозрением на стеноз почечной артерии.
Аппарат выдает изображения исключительной детализации и разрешающей способности и поэтому часто используется для характеристики и наблюдения за почечными массами.
Сканирование радионуклидов может помочь в оценке обструкции почечных путей и обеспечить функциональную оценку почечного тракта.
Показания к сканированию:
- наличие крови в моче;
- наличие камней;
- невыясненная гипертрофия органа;
- новообразования (определение стадии развития рака);
- атипичные кисты, кистозные опухоли;
- воспалительные процессы;
- повышенное почечное давление с неясными причинами;
- стеноз почечной артерии;
- подозрение на костные метастазы рака почки.
Направление на диагностическое исследование может быть связано с жалобами пациента на состояние здоровья. В некоторых случаях, когда пациент не имеет возможности провести обследование с помощью УЗИ или КТ, его направляют на магнитно-резонансную томографию. В этом случае врач должен рассказать, что включает в себя подготовка к МРТ почек.
Противопоказания
Ограничения на проведение МРТ почки бывают относительные и абсолютные.
Относительные:
- беременность в первом триместре;
- клапанные протезы;
- приступы клаустрофобии;
- гемостатические клипсы;
- эндопротезы на основе титановых сплавов.
К абсолютным противопоказаниям МРТ почек и мочевыводящих путей относятся:
- кардиостимулятор;
- металлические предметы, находящиеся внутри тела (пули, осколки);
- вес пациента и большая окружность талии;
- острая и хроническая почечная недостаточность (при использовании контраста).
Подготовка
Как подготовиться к проведению обследования, всегда расскажет врач. Это зависит от индивидуальных особенностей человека и его болезней.
При наличии почечных заболеваний перед проведением сеанса надо сдать анализ крови, чтобы обеспечить безопасный прием контрастного вещества. Нефрогенный системный фиброз является редким, но опасным осложнением после инъекции гадолиния у людей с плохой функцией почек. Необходимо предоставить врачу-радиологу почечные показания, особенно по креатинину.
[/attention]
Голодать перед проведением сеанса диагностики не следует. Принятие еды за 1-2 часа до сеанса будет достаточным. В отдельных случаях перед компьютерным анализом при подготовке к исследованию лечащий врач проинформирует, следует ли проводить сеанс натощак.
Подготовка и проведение мрт почек
Проведение мрт с контрастом
Контрастное вещество при сканировании почек чаще всего не требуется. Пространственное расположение органа и изменения в виде опухолей видны и без вещества. Но если нужно дифференцировать ткани и их изменения, то контраст необходим. Вводимое вещество помогает отличить больную ткань от здоровой.
МРТ почек с контрастом при использовании низкой дозы агента на основе гадолиния была проверена на предмет точного измерения скорости клубочковой фильтрации и почечного потока плазмы.
И врачи пришли к выводу, что в некоторых случаях для постановки диагноза бывает достаточно определить количество креатинина в сыворотке крови.
Однако для пациентов с почечными заболеваниями необходимо выполнять МРТ для точного мониторинга функции почек.
[/attention]
Лишь у небольшой части пациентов контрастное вещество снижает скорость клубочковой фильтрации.
Как проводится исследование с контрастом? Вещество чаще вводится через вену, при нормальной функции почек оно выводится из организма за 24 часа.
Вероятность аллергической реакции на контрастную среду небольшая, но предупредить врача о ней стоит.
При почечной недостаточности риск и польза проведения МРТ должны быть тщательно взвешены.
Источник: https://pochkam.ru/diagnostika/mrt-pochek-chto-pokazyvaet.html
Мрт мочеточников
Метод МРТ диагностики мочеточников построен на электромагнитных свойствах атомов водорода, которые в разных тканях содержатся в разных количествах.
Под действием сильного магнитного поля и радиочастотных импульсов, котоые создаются в самом аппарате, в тканях организма возникает суммарный магнитный эффект. Томограф фиксирует все характеристики исследуемого органа и передает их на компьютер.
Процедура МРТ считается безвредной, поэтому проводят ее как в качестве диагностического исследования, так и в качестве контроля за проведенным лечением.
Что показывает Мрт мочеточников
В первую очередь необходимо отметить, что магнитно-резонансная томография мочеточников выполняется в комплексном обследовании почек и мочевыводящих путей, как самостоятельный метод диагностирования невозможен.
При помощи магнитно-резонансной томографии удается оценить состояние органов и выявить имеющиеся патологии:
- оценить топографическое положение и выявить аномалии развития данного органа;
- оценка кровоснажения мочеточников;
- выявить патологические очаги и имеющиеся зоны поражения в мочеточниках;
- определить наличие новообразований, его размеры;
- оценить функциональность данного органа.
Показания к проведению Мрт мочеточников
В сило проведения комплексного обследования при Мрт мочеточников, среди распространенных показаний для магнитно-резонансного обследования выделяют следующие:
- Нарушение кровотока в почках, мочеточниках и других околопочечных тканях.
- Патологические и воспалительные заболевания почек, мочеточников.
- Камни почек, мочеточников.
- Жалобы на почечные колики и выяснение очага локализации.
- Подозрения на наличие новообразования в этой области.
Виды Мрт мочеточников
Здесь следует выделить два вида исследования, отличающиеся между собой:
- Мрт мочеточников с контрастированием.
- Магнитно-резонансная томография без контрастного вещества.
Мрт мочеточников с контрастом проводится тогда, когда необходимо диагностировать природу опухоли и оценить состояние сосудов данной области.
Как подготовиться к исследованию?
Магнитно-резонансная диагностика имеет массу преимуществ в сравнении с другими видами обследования, кроме безопасности и достоверности полученных данных, Мрт мочеточников отличается простотой диагностирования.
Пациенты, которые записываются на такую процедуру, задают один из распространенных вопросов: “Как необходимо подготовиться к томографии?”. Отвечая на данный вопрос, следует отметить, что Мрт мочеточников не требует специальной подготовки со стороны больного.
Накануне процедуры готовиться к этому никак не надо, соблюдая какие-либо ограничения и диеты.
[/attention]
магнитно-резонансная томография требует находиться довольно длительное время в неподвижном состоянии, одежда не должна вызывать дискоммфорт.
Снять все металлические аксессуары и украшения со своего тела, а также выложить все электроприборы.
[/attention]
Пациенты, которые по каким-либо причинам не могут находиться длительное время в неподвижном состоянии, люди, страдающие психическими расстройствами, а также дети и пациенты, больные клаустрофобией, требуют дополнительного введения седативных и снотворных медикаментозных средств.
Далее пациента укладывают в горизонтальном положении на кушетку, которая затем задвигается в томограф, больной остается один в комнате, связь с рентгенологом осуществляется через микрофон.
Противопоказания к Мрт мочеточников
Среди противопоказаний можно выделить абсолютные и относительные.
Абсолютные противопоказания категорически запрещают проведение МРТ, к ним относятся:
- Больные с кардиостимуляторами и металлическими пластинами, несъемными протезами в организме.
- Больные с почечной недостаточностью тяжелой степени.
Возможность проведения Мрт мочеточников у пациентов с относительными противопоказаниями определяется доктором в каждом отдельном случае. Сюда относятся:
- Сахарный диабет, большая масса тела.
- Беременность, период лактации.
- Детский возраст до 12 лет.
- Непереносимость, аллергическая реакция на применяемые во время исследования, препараты.
Источник: https://xn----xtbekk.xn--p1ai/article/mrt-mochetochnikov
Как проводится и что показывает МРТ почек?
МРТ почек назначают при различных заболеваниях. Этот метод диагностики делает возможным достоверно дифференцировать почечные заболевания с нарушениями мочеполовой системы или патологией позвоночника. Для пациентов важно знать, что же показывает МРТ почек и других органов мочеполовой системы. Томография разрешает оценить и визуализировать:
- строение и размер органа (состояние лоханки, чашечек, сосудов),
- анатомическую структуру тканей
- функционирование органа, его работоспособность
- грань между корковым и мозговым слоем
- доброкачественные опухоли
- онкологические поражения (стадию и распространение)
- динамику роста кисты или опухоли
- степень поражения сосудов
- наличие или отсутствие поражения мочевыводящих путей.
МРТ почек назначают также в целях наблюдения за изменениями после лечения.
Метод МРТ допускает получение изображений многих срезов органа в высоком качестве. Исследование назначают в случаях неэффективности проведения компьютерной томографии, УЗИ или при противопоказаниях к рентгенографии. МРТ почек незаменимо при ранней диагностике онкологических заболеваний, травматических нарушений, урологических проблем и т.д.
Показаниями к прохождению обследования МРТ могут послужить увеличение объема мочи, боль в пояснице, повышенная температура и лихорадочное состояние, появление отечности, колик, частых головокружений и головной боли.
[/attention]
Метод безвреден и не угрожает облучением, таким образом, проходить сканирование пациент может несколько раз.
Мрт почек с контрастом
На практике традиционно контрастную МРТ назначают при подозрениях на опухоли.
В этом случае вводится особое вещество внутривенно. При прохождении по сосудам, оно окрашивает их, накапливаясь в тканях и органах. Качество снимков зависит от активности кровотока в нужной области.
Количество препарата назначают исходя из веса пациента. Обычно контраст выходит в течение суток вместе с мочой.
Высокая разрешающая способность аппарата разрешает различить полые кисты и плотные объемные образования. Также по снимкам можно оценить вид жидкости в кисте, и дифференцировать кровотечение и воспаление.
[/attention]
Принимать лекарства, пищу, пить воду можно в обычном режиме, если не проводится исследование с контрастом. В день назначенной процедуры нужно надеть белье из натуральной ткани.
Сеанс занимает не больше тридцати минут. Пациент ложится на стол, который помещают в туннель аппарата. Во время сканирования нужно спокойно лежать и не шевелиться.
Можно надеть специальные наушники, так как аппарат издает шум. В аппарате имеется микрофон, с помощью него пациент может общаться с врачом. Самое важное в процедуре – это неподвижность.
[/attention]
Результаты в виде снимков и их расшифровку можно получить в день проведения обследования.
Противопоказания к прохождению МРТ почек
МРТ почек не влечет вреда здоровью больного, не вызывает побочных осложнений. Ограничений к прохождению такого рода обследования не так много, но все же они есть. Магнитно-резонансная и компьютерная томография почек, а в некоторых случаях и исследование МСКТ и СКТ, не могут назначаться пациентам в следующих случаях:
- если имеется почечная недостаточность
- в случае аллергических реакций на препараты, которые вводятся пациентам в качестве контраста
- присутствие в теле пациента кардиостимуляторов, металлических имплантов, скоб, осколков, искусственных водителей ритма сердца
- клаустрофобия, психические заболевания
- беременность, особенно 1 триместр
- избыточный вес пациента свыше 120 кг
- кормящим мамам в случае проведения процедуры с контрастированием не рекомендуется кормить ребенка 1-2 дня.
Обо всех этих противопоказаниях больной должен известить лечащего врача и специалистов, которые проводят процедуру.
УЗИ, КТ или МРТ почек – что лучше и в чем разница?
После проведенного УЗИ почек доктор может направить на дополнительные обследования: магнитно-резонансную или компьютерную томографию. Почему недостаточно ультразвукового исследования?
УЗИ помогает врачам определить параметры почек — форму и размеры, количество органов, расположение органов и структуру ткани, даст понимание о соответствии органов среднестатистическим данным. Таким образом, УЗИ это базовое обследование, с помощью которого можно обнаружить патологии, но оно не сможет помочь поставить диагноз.
Поэтому требуются дополнительные исследования. К тому же, если есть проблемы со здоровьем почек, а показатели в норме, то это только структурное здоровье.
[/attention]
Ответить на вопрос что лучше КТ или МРТ почек никто однозначно не сможет? Это совершенно разные процедуры и их не сравнивают по каким-либо свойствам и признакам.
Объединяет эти виды томографии только принцип действия — послойное сканирование. Часто для постановки диагноза ряда сложных заболеваний требуется провести и КТ, и МРТ.
Врачам нужно знать отличия каждого метода, чтобы выбрать конкретный метод обследования.
[/attention]
Методы диагностирования магнитно-резонансной и компьютерной томографии достаточно популярны в медицине для исследования почек. Но значительно чаще используют КТ, в связи с его доступностью. Метод КТ дает данные о следующих показателях:
- размеры почек
- параметры почек (форма, очертания, расположение)
- взаимоотношение с чашечно-лоханной системой
- месторасположение патологических образований (кисты).
Компьютерная томография позволяет обнаружить кисту и определить ее физиологические данные, а метод МРТ почек дает возможность определить механизм образования кисты и классифицировать ее.
Оба метода также применяются в исследовании мочевыделительной системы. Кроме того, исследование почек и мочевого пузыря на МРТ или КТ с применением контрастирования разрешает с высокой долей точности обнаружить даже мельчайшие образования, различные по своей плотности, и выявить другие патологии, которые недоступны для иных способов диагностики.
Для исследования состояния сосудов этой анатомической области также используют как МРТ, так и КТ мочевого пузыря и почек с контрастным усилением. То есть больному перед обследованием вводят специальный контраст, который способствует усилению видимости изучаемой области.
Но необходимо знать, что у некоторых пациентов возможно появление аллергии на контрастирующие препараты.
МСКТ почек и мочевыводящих путей
[/attention]
Во время обследования пациенту нужно задержать дыхание один раз. Остальное за него выполнит томограф: стол с пациентом движется сам, вокруг него вращается трубка, которая сейчас имеет сразу несколько детекторов.
Поэтому МСКТ значительно облегчает обследование тяжелобольных людей.
Преимущества МРТ:
- Процедура незаменима, когда есть противопоказания к проведению КТ и рентгенографии, либо эти методы неэффективны
- Возможность выявления мельчайших патологий
- Врачи видят полную картину исследуемых органов в разных срезах без вмешательства в тело пациента. Обследование выполняется безболезненно
- Отсутствует ионизирующее излучение.
- Человек для прохождения МРТ не нуждается в специальной подготовке для прохождения обследования.
Конечно же, такая процедура стоит недешево. Цена МРТ почек находится в диапазоне от 3 до 6 тысяч рублей.
Стоимость колеблется в зависимости от региона и типа оборудования, его технических характеристик, года выпуска и т.д. Но необходимо отметить, что безопасность и качество проведения процедуры от стоимости не зависит.
Стоимость МРТ с контрастированием повышается ориентировочно в два раза, так как стоимость контраста довольно высока.
ПОДЕЛИТЕСЬ С ДРУЗЬЯМИ И ПРОГОЛОСУЙТЕ
(7 , оценка: 4,86 из 5) Загрузка…
Источник: https://tomografpro.ru/mrt-bryushnoj-polosti/tomografyia-pochek.html
Видно Ли На Мрт Камни В Почках
Роль магнитно-резонансной томографии в диагностике заболеваний почек ещё досконально не изучена, однако это исследование занимает немаловажное место в современной медицине.
На сегодняшний день во всём мире каждый год свыше 60 миллионов урологических диагнозов ставится именно с помощью данного метода. Принципы построения МРТ-снимка идеально подходят для изучения органов со сложной структурой тканей, которыми и являются почки.
Магнитно-резонансная томография — уникальное диагностическое исследование, позволяющее врачу получить высококачественные послойные снимки любого места человеческого организма. Метод МРТ довольно непростой.
В его основу положена способность ядер водородных атомов, содержащихся во всех живых тканях, после воздействия на них радиоволн и магнитного поля генерировать электромагнитные сигналы.
Методы лучевой и магнитной диагностики все шире внедряются во все сферы медицинской деятельности. Уже трудно представить медицинское учреждение, которое не имело бы на своей базе хотя бы один аппарат для магнитно-резонансной томографии. МРТ — современная диагностическая процедура, в основе которой лежат магнитные свойства атомных частиц. В процессе работы устройства создается мощное поле, излучающее магнитные волны, которые проникают в человеческий организм и по-разному отражаются от определенных структур. Все это специальными датчиками передается в компьютерную часть, где импульсы преобразуются в изображение, которое в последующем распечатывается и отдается для описания специалисту. ПОСМОТРИТЕ ВИДЕО ПО ТЕМЕ: МРТ почек
Постановка диагноза: как обнаруживается рак почки?
Компьютерная томография и МРТ почек и мочевого пузыря , 18 Содержимое: Высокоточные методы диагностики Диагностика заболеваний анатомическое расположение мочевого пузыря и почек Две почки и мочевой пузырь входят в состав мочевыделительной мочевой системы, назначением которой является формирование, накапливание и вывод мочи из организма, а также поддержание определенного уровня водно-солевого баланса. Почки выполняют функцию мочеобразования, а мочевой пузырь с мочеточником и мочевыводящим каналом — мочевыведения. Без нормального функционирования данных органов немыслимо говорить о здоровье человека, ведь сбой в работе хотя бы одного из них может привести к зашлакованности организма и нарушению обменных процессов, что в свою очередь тянет за собой множество различных заболеваний. Своевременное высокотехнологичное обследование позволит избежать неясностей и не допустить осложнения болезней.
1 Обзор методов диагностики камней в почках 2 Лабораторные исследования 3 Обзорная рентгенография почек 4 Экскреторная урография 5 Ультразвуковое исследование почек УЗИ 6 Компьютерная и магнитно-резонансная томография 7 Определение состава камней косвенным способом 8 Заключение Отложение конкрементов камней в почках — прямое проявление мочекаменной болезни.
Магнитно-резонансная томография почек МРТ относится к высокоточным методам обследования, не требующим специальной подготовки. При помощи специального аппарата томографа исследуемая область человеческого тела подвергается воздействию безопасного магнитного поля и радиоволн.
[/attention]
Видны строение, положение и структура почек, надпочечников, чашечно-лоханочной системы, околопочечной клетчатки, сосудов и других расположенных рядом органов.
Мочекаменная болезнь (нефролитиаз, камни в почках)
Мочекаменная болезнь доставляет пациенту массу неудобств. И даже не столько своей болезненностью, сколько некоторой сложностью постановки диагноза. Поскольку часто камни в почках можно спутать с другими патологическими состояниями.
Однако современная диагностика камней в почках при грамотном подходе профессионала-уролога позволяет выявить образования каменистого типа и назначить эффективное лечение.
Чтобы понять, как дифференцируют наличие почечных камней, в материале ниже рассмотрим подробную схему обследования пациента.
ВОПРОСЫ ПАЦИЕНТОВ. Образование в почке, которое видно на УЗИ и не видно на КТ ?!
С годами мы приобретаем не только мудрость и жизненный опыт, но и множество неприятных болячек.
Вас ничего не беспокоит, и вы думаете, что не внесли свой вклад в эту печальную статистику? Чтобы убедиться в том, что вашему здоровью действительно ничего не угрожает, нужно сделать МРТ почек.
[/attention]
При патологическом процессе изменяется ее состав и реакция рН , что приводит к кристаллизации. Сначала это безобидный мелкий песок. Правда, первостепенное значение все же имеет не кислотная реакция, а наличие минералов. На этом разнообразие камней не заканчивается.
Аппаратные и лабораторные методы диагностики почечных камней
МРТ почек — это современный способ обследования, для проведения которого используется томограф. Метод популярен высокой точностью диагностирования организма человека. С помощью магнитно-резонансной терапии можно отследить возможные патологии почек и мочевыводящей системы.
Изображение аппарата для проведения данного обследования. Томография почек и мочевыводящих путей имеет высокоинформативную характеристику. Исследования не причиняют боли, не нарушают работу тканей и органов.
Почки — жизненно важный парный орган человеческого организма, который отвечает за выведение и фильтрацию жидкости, очищение крови.
МРТ почек — самый современный и подробный метод исследования. Имеет ряд существенных преимуществ перед другими видами диагностики:.
Кт показывает камни почках
Мочекаменная почечнокаменная болезнь нефролитиаз — это заболевание, сопровождающееся образованием камней конкрементов в чашечках или лоханке почки из веществ, входящих в состав мочи. Наиболее часто мочекаменная болезнь встречается у лиц трудоспособного возраста от 30 до 50 лет.
Образование камней в почках является сложным многофакторным заболеванием, в основе которого лежит взаимодействие внутренних факторов и факторов внешней среды. Наиболее часто к камнеобразованию приводят следующие факторы:.
Камни почек классифицируют по их размеру, месторасположению, плотности способности задерживать рентгеновские лучи , по минералогическому составу, по причине и степени риска повторного камнеобразования. Как и многие урологические заболевания, мочекаменная болезнь долгое время может никак клинически не проявляться.
[/attention]
ВИДЕО ПО ТЕМЕ: В чем разница между КТ и МРТ
Магнитно-резонансная томография почек в дальнейшем МРТ относится к высокочастотным методам диагностики, его считают безопасным способом исследования органов. Специальный прибор томограф подвергает область почек воздействию безопасного магнитного поля и радиоволн. Протоны в ядрах атомов водорода временно смещаются, потом возвращаются в исходное положение.
Энергия, которая выделяется в этот момент, управляется датчиками, специальной программой преобразуется в трёхмерное изображение. Картинка позволяет медику оценить состояние почек пациента, строение парного органа и близлежащих тканей.
статьи: Общая информация Классификация Показания и противопоказания Преимущества исследования Как подготовиться: советы пациентам Как проводится процедура МРТ Результаты исследований.
Источник: https://medcentr-aclinic.ru/h2/29435-vidno-li-na-mrt-kamni-v-pochkah.php
Диагностика камней в почках
Лабораторная и инструментальная диагностика мочекаменной болезни поможет выявить и распознать патологию без особых трудностей, потому что современные лаборатории и диагностические кабинеты оснащены высокоточным оборудованием, способным определить наличие камней даже на самых ранних этапах образования. Обследования назначаются врачом после первичного осмотра и сбора необходимых данных.
Показания к диагностике
Мочекаменная болезнь — коварная патология, которая долгое время может не проявлять себя никакими признаками. Но камень в почке постепенно увеличивается в размерах, раздражает нервные окончания, вызывая дискомфорт и болезненные симптомы в области поясницы. По мере роста и увеличения конкремента, больного беспокоят:
- почечные колики и гематурия;
- боли, локализованные преимущественно в правом боку;
- почечная недостаточность;
- увеличение давления;
- проблемы с мочеиспусканием;
- присутствие в моче гноя и слизи;
- увеличение температурных показателей.
Если у человека проявляется хотя бы 2—3 подобных симптома, важно немедленно обращаться в больницу и проходить диагностическое обследование. Для определения патологии назначают лабораторные исследования мочи и крови, а также инструментальную диагностику, благодаря которой врач сможет узнать первопричину нарушения и поставить окончательный диагноз.
Что покажет первый осмотр?
Первое, что делает врач на приеме, – это расспрашивает пациента.
Перед тем как начать сдавать все анализы, пациента должен осмотреть врач.
Хоть во время первичного осмотра внутренние нарушения не видны, все равно на основании сбора анамнеза можно поставить предварительный диагноз.
В первую очередь доктор расспрашивает больного о беспокоящих симптомах, уточняет, когда приблизительно проблема начала проявляться и были ли ранее подобные случаи.
После того как опрос закончится, обязательно проводится пальпация поясничной зоны и брюшной полости.
При камнеобразовании в парном органе человека будут беспокоить резкие боли при легком поколачивании, а если конкремент уже начал выходить из почек, то интенсивная, приступообразная боль, тошнота, рвота и увеличение температуры наблюдаются постоянно. Когда подозрения подтверждаются и врач видит, что ситуация серьезная, назначается более углубленная диагностика камней в почках.
Общий анализ мочи
Чтобы диагностировать мочекаменную патологию, в обязательном порядке назначается исследование урины на присутствие в ней микрочастичек конкрементов, бактерий, крови, гноя и слизи. Если видно, что образцах присутствует белок, это говорит о протеинурии. Видимые кровяные частички свидетельствуют о макрогематурии, это один из основных симптомов движения камня из почки.
Не всегда анализ мочи при мочекаменной болезни показывает эритроцитурию и лейкоцитурию, но это совсем не означает, что в почках у человека нет конкрементов.
Если урина более щелочная, то это показатель образования уратов.
Когда количество лейкоцитов и эритроцитов больше нормы, такая картина говорит о протекании в парном органе инфекционно-воспалительного осложнения, которое важно своевременно выявить и устранить. При исследовании урины под микроскопом, можно провести анализ почечного камня, выяснить его природу, разновидность, химический состав.
[/attention]
А когда результат исследования показывает значение меньше 5-ти, часто это является свидетельством образования в почках конкрементов мочевой кислоты.
Суточный анализ
Урину на исследование сдают для того, чтобы выявить:
- начало развития мочекаменной патологии;
- степень поражения органа;
- успешность проведения назначенной терапии.
Анализ крови
Незначительное количество лейкоцитов может свидетельствовать об эпизоде почечной колики, если же лейкоцитоз выраженный, значит в организме протекает инфекционно-воспалительное осложнение. Также анализ крови покажет уровень электролитов, мочевины и гормонов щитовидной железы, что важно для постановки точного диагноза.
УЗИ-диагностирование
Конкременты в органах хорошо визуализируются на УЗИ.
Ультразвуковая диагностика мочекаменной болезни поможет определить:
- место расположения, количество и размеры конкремента;
- степень отечности паренхимы;
- распространенность воспаления.
КТ и МРТ-обследование
Если по каким-либо причинам камни в почках на УЗИ не удалось рассмотреть детально, особенно если они локализованы в мочеточнике, назначают КТ или МРТ почек.
Во время диагностирования на мониторе видно изображение органа в формате 3D, благодаря чему врач видит любые патологические изменения.
Зачастую МРТ или КТ почек назначают перед операцией, когда важно определить размер конкремента, его место расположения и состав. Мелкие камни на МРТ не визуализируются.
Обзорный рентген
Этот доступный, недорогой и информативный вид диагностирования часто назначается при подозрении на мочекаменную патологию.
При рентгенологическом исследовании применяется контраст, благодаря которому на снимке четко видны конкременты. Еще удается предположительно определить химический состав камня.
Поскольку маленькие камни в почках на МРТ не видны, то анализ конкрементов на рентгене дает возможность подобрать адекватную схему терапии, так как врач увидит:
- место расположения конкремента;
- точный размер;
- форму.
Радионуклидная диагностика
Такое обследование позволяет выявить качество работы почек.
Этот вид диагностирования является распространенным. Благодаря ему можно определить степень функционирования почек, насколько орган поражен конкрементами, а также какова его секреторная и эвакуаторная способность. Эти данные помогут подобрать оптимальную схему терапии и определиться с курсом лечения.
Внутривенная пиелография
До того как стали применять МРТ и КТ при камнях в почках, самым информативным способом диагностирования мочекаменной патологии считалась именно эта диагностическая процедура.
Перед обследованием человеку в вену вводится контрастное вещество, которое распределяется в парном органе. После необходимо сделать серию снимков, на которых видно положение конкрементов, и работа почек.
Внутривенная пиелография поможет оценить работу парного органа, и определить место локализации камней, что немаловажно перед назначением терапии.
Дифференциальный анализ
При поступлении в больницу с приступом почечной колики, врачи не всегда могут сразу поставить точный диагноз. Поэтому чтобы лечение было правильным, проводится дифференциальная диагностика, благодаря которой удастся исключить такие опасные болезни:
- аппендицит;
- холецистит;
- панкреатит.
Другие, не менее опасные патологии, такие как заболевания органов брюшной полости и позвоночного столба, характеризуются симптомами, похожими на мочекаменную патологию. Однако тщательное лабораторное диагностирование, анализ камней, УЗИ почек, рентгенография, МРТ или КТ помогут в короткие сроки установить правильный диагноз, что крайне важно для подбора адекватной схемы терапии.
Источник: http://ProUrinu.ru/izlechenie/dop/kak-opredelit-kamni-v-pochkah.html
Мрт почек — что показывает?

Использование магнитно-резонансной томографии для диагностики внутренних органов обусловлено некоторыми причинами. Во-первых, она создает общую картину внутреннего органа.
Во-вторых, гарантирует высокое качество изображений, что помогает поставить точный и надежный диагноз. Применение томографии важно в диагностике поджелудочной железы, печени, желчных протоков, когда необходимо исследовать мягкие ткани.
МРТ почек позволяет обнаружить заболевания в этой области на ранней стадии.
Что показывает
Исследование почек — сложная задача, потому что многие нефрологические заболевания долгое время не проявляются. Не имея субъективных признаков, таких как боль, человек вовремя не обращается к врачу. И лишь результаты анализов позволяют установить скрытно развивающиеся заболевания.
Почечная функция состоит из физиологических аспектов: перфузии (кровоснабжения), фильтрации, диффузии (изменение размеров органа и тканей). Раннее выявление функциональных изменений позволит врачу выбрать больше вариантов лечения.
Например, если в почке обнаружена инородная масса, то при помощи МРТ можно различить полые кистозные и твердые массы. На основании трехмерных изображений уролог или рентгенолог может увидеть, является ли масса раковой или доброкачественной.
Проводится МРТ почек с контрастированием или без контраста
Преимущества магнитно-резонансной томографии:
- неинвазивная методика;
- отсутствие ионизирующего излучения;
- трехмерный характер получения изображений;
- естественный контраст движущейся крови;
- высокая диагностическая эффективность.
Одной из причин гипертонии является стеноз почечной артерии, который характерен для молодых курящих людей. Стенки артерии при стенозе утолщаются, препятствуя нормальному кровотоку. Исследование состояния кровеносных сосудов с помощью МРТ — одно из развивающихся направлений диагностики.
Магнитно резонансная томография имеет большие перспективы в оценке почечных характеристик.
Мрт или узи почек
УЗИ и МРТ — два устройства, использующиеся в медицинских исследованиях.
В аппарате для сканирования применяются магнитные поля, которые изменяют положение молекул в теле человека, фиксируя при этом их изменения.
Скорость построения молекул отражается в сканере, который создает образ внутреннего органа человека. Затем аппарат воспроизводит статическое изображение поперечного сечения тела.
[/attention]
Ультразвуковое обследование используется для оценки размера, местоположения, формы почек и связанных с ним структур, таких как мочеточник, мочевой пузырь. УЗИ помогает обнаружить патологии:
- опухоли;
- абсцессы;
- наличие жидкости внутри почек;
- камни.
Ультразвуковое исследование делается после трансплантации почки для оценки ее жизнедеятельности. Оно эффективно при определении почечной массы. Хронические почечные заболевания лучше диагностируются с помощью УЗИ. При острой почечной недостаточности ультразвук является основным критерием для диагноза, но только как первоначальный скрининг.
Для обнаружения тромбоза почечной вены, который возникает как осложнение при раке почки, лучше использовать МРТ почек с контрастом.
Диагностика болезней почек
Показания
Магнитно-резонансная томография используется для оценки почечных артерий у пациентов с подозрением на стеноз почечной артерии.
Аппарат выдает изображения исключительной детализации и разрешающей способности и поэтому часто используется для характеристики и наблюдения за почечными массами.
Сканирование радионуклидов может помочь в оценке обструкции почечных путей и обеспечить функциональную оценку почечного тракта.
Показания к сканированию:
- наличие крови в моче;
- наличие камней;
- невыясненная гипертрофия органа;
- новообразования (определение стадии развития рака);
- атипичные кисты, кистозные опухоли;
- воспалительные процессы;
- повышенное почечное давление с неясными причинами;
- стеноз почечной артерии;
- подозрение на костные метастазы рака почки.
Направление на диагностическое исследование может быть связано с жалобами пациента на состояние здоровья. В некоторых случаях, когда пациент не имеет возможности провести обследование с помощью УЗИ или КТ, его направляют на магнитно-резонансную томографию. В этом случае врач должен рассказать, что включает в себя подготовка к МРТ почек.
Противопоказания
Ограничения на проведение МРТ почки бывают относительные и абсолютные.
Относительные:
- беременность в первом триместре;
- клапанные протезы;
- приступы клаустрофобии;
- гемостатические клипсы;
- эндопротезы на основе титановых сплавов.
К абсолютным противопоказаниям МРТ почек и мочевыводящих путей относятся:
- кардиостимулятор;
- металлические предметы, находящиеся внутри тела (пули, осколки);
- вес пациента и большая окружность талии;
- острая и хроническая почечная недостаточность (при использовании контраста).
Подготовка
Как подготовиться к проведению обследования, всегда расскажет врач. Это зависит от индивидуальных особенностей человека и его болезней.
При наличии почечных заболеваний перед проведением сеанса надо сдать анализ крови, чтобы обеспечить безопасный прием контрастного вещества. Нефрогенный системный фиброз является редким, но опасным осложнением после инъекции гадолиния у людей с плохой функцией почек. Необходимо предоставить врачу-радиологу почечные показания, особенно по креатинину.
[/attention]
Голодать перед проведением сеанса диагностики не следует. Принятие еды за 1-2 часа до сеанса будет достаточным. В отдельных случаях перед компьютерным анализом при подготовке к исследованию лечащий врач проинформирует, следует ли проводить сеанс натощак.
Подготовка и проведение мрт почек
Проведение мрт с контрастом
Контрастное вещество при сканировании почек чаще всего не требуется. Пространственное расположение органа и изменения в виде опухолей видны и без вещества. Но если нужно дифференцировать ткани и их изменения, то контраст необходим. Вводимое вещество помогает отличить больную ткань от здоровой.
МРТ почек с контрастом при использовании низкой дозы агента на основе гадолиния была проверена на предмет точного измерения скорости клубочковой фильтрации и почечного потока плазмы.
И врачи пришли к выводу, что в некоторых случаях для постановки диагноза бывает достаточно определить количество креатинина в сыворотке крови.
Однако для пациентов с почечными заболеваниями необходимо выполнять МРТ для точного мониторинга функции почек.
[/attention]
Лишь у небольшой части пациентов контрастное вещество снижает скорость клубочковой фильтрации.
Как проводится исследование с контрастом? Вещество чаще вводится через вену, при нормальной функции почек оно выводится из организма за 24 часа.
Вероятность аллергической реакции на контрастную среду небольшая, но предупредить врача о ней стоит.
При почечной недостаточности риск и польза проведения МРТ должны быть тщательно взвешены.
Источник: https://pochkam.ru/diagnostika/mrt-pochek-chto-pokazyvaet.html
Мрт мочеточников
Метод МРТ диагностики мочеточников построен на электромагнитных свойствах атомов водорода, которые в разных тканях содержатся в разных количествах.
Под действием сильного магнитного поля и радиочастотных импульсов, котоые создаются в самом аппарате, в тканях организма возникает суммарный магнитный эффект. Томограф фиксирует все характеристики исследуемого органа и передает их на компьютер.
Процедура МРТ считается безвредной, поэтому проводят ее как в качестве диагностического исследования, так и в качестве контроля за проведенным лечением.
Что показывает Мрт мочеточников
В первую очередь необходимо отметить, что магнитно-резонансная томография мочеточников выполняется в комплексном обследовании почек и мочевыводящих путей, как самостоятельный метод диагностирования невозможен.
При помощи магнитно-резонансной томографии удается оценить состояние органов и выявить имеющиеся патологии:
- оценить топографическое положение и выявить аномалии развития данного органа;
- оценка кровоснажения мочеточников;
- выявить патологические очаги и имеющиеся зоны поражения в мочеточниках;
- определить наличие новообразований, его размеры;
- оценить функциональность данного органа.
Показания к проведению Мрт мочеточников
В сило проведения комплексного обследования при Мрт мочеточников, среди распространенных показаний для магнитно-резонансного обследования выделяют следующие:
- Нарушение кровотока в почках, мочеточниках и других околопочечных тканях.
- Патологические и воспалительные заболевания почек, мочеточников.
- Камни почек, мочеточников.
- Жалобы на почечные колики и выяснение очага локализации.
- Подозрения на наличие новообразования в этой области.
Виды Мрт мочеточников
Здесь следует выделить два вида исследования, отличающиеся между собой:
- Мрт мочеточников с контрастированием.
- Магнитно-резонансная томография без контрастного вещества.
Мрт мочеточников с контрастом проводится тогда, когда необходимо диагностировать природу опухоли и оценить состояние сосудов данной области.
Как подготовиться к исследованию?
Магнитно-резонансная диагностика имеет массу преимуществ в сравнении с другими видами обследования, кроме безопасности и достоверности полученных данных, Мрт мочеточников отличается простотой диагностирования.
Пациенты, которые записываются на такую процедуру, задают один из распространенных вопросов: “Как необходимо подготовиться к томографии?”. Отвечая на данный вопрос, следует отметить, что Мрт мочеточников не требует специальной подготовки со стороны больного.
Накануне процедуры готовиться к этому никак не надо, соблюдая какие-либо ограничения и диеты.
[/attention]
магнитно-резонансная томография требует находиться довольно длительное время в неподвижном состоянии, одежда не должна вызывать дискоммфорт.
Снять все металлические аксессуары и украшения со своего тела, а также выложить все электроприборы.
[/attention]
Пациенты, которые по каким-либо причинам не могут находиться длительное время в неподвижном состоянии, люди, страдающие психическими расстройствами, а также дети и пациенты, больные клаустрофобией, требуют дополнительного введения седативных и снотворных медикаментозных средств.
Далее пациента укладывают в горизонтальном положении на кушетку, которая затем задвигается в томограф, больной остается один в комнате, связь с рентгенологом осуществляется через микрофон.
Противопоказания к Мрт мочеточников
Среди противопоказаний можно выделить абсолютные и относительные.
Абсолютные противопоказания категорически запрещают проведение МРТ, к ним относятся:
- Больные с кардиостимуляторами и металлическими пластинами, несъемными протезами в организме.
- Больные с почечной недостаточностью тяжелой степени.
Возможность проведения Мрт мочеточников у пациентов с относительными противопоказаниями определяется доктором в каждом отдельном случае. Сюда относятся:
- Сахарный диабет, большая масса тела.
- Беременность, период лактации.
- Детский возраст до 12 лет.
- Непереносимость, аллергическая реакция на применяемые во время исследования, препараты.
Источник: https://xn----xtbekk.xn--p1ai/article/mrt-mochetochnikov
Как проводится и что показывает МРТ почек?
МРТ почек назначают при различных заболеваниях. Этот метод диагностики делает возможным достоверно дифференцировать почечные заболевания с нарушениями мочеполовой системы или патологией позвоночника. Для пациентов важно знать, что же показывает МРТ почек и других органов мочеполовой системы. Томография разрешает оценить и визуализировать:
- строение и размер органа (состояние лоханки, чашечек, сосудов),
- анатомическую структуру тканей
- функционирование органа, его работоспособность
- грань между корковым и мозговым слоем
- доброкачественные опухоли
- онкологические поражения (стадию и распространение)
- динамику роста кисты или опухоли
- степень поражения сосудов
- наличие или отсутствие поражения мочевыводящих путей.
МРТ почек назначают также в целях наблюдения за изменениями после лечения.
Метод МРТ допускает получение изображений многих срезов органа в высоком качестве. Исследование назначают в случаях неэффективности проведения компьютерной томографии, УЗИ или при противопоказаниях к рентгенографии. МРТ почек незаменимо при ранней диагностике онкологических заболеваний, травматических нарушений, урологических проблем и т.д.
Показаниями к прохождению обследования МРТ могут послужить увеличение объема мочи, боль в пояснице, повышенная температура и лихорадочное состояние, появление отечности, колик, частых головокружений и головной боли.
[/attention]
Метод безвреден и не угрожает облучением, таким образом, проходить сканирование пациент может несколько раз.
Мрт почек с контрастом
На практике традиционно контрастную МРТ назначают при подозрениях на опухоли.
В этом случае вводится особое вещество внутривенно. При прохождении по сосудам, оно окрашивает их, накапливаясь в тканях и органах. Качество снимков зависит от активности кровотока в нужной области.
Количество препарата назначают исходя из веса пациента. Обычно контраст выходит в течение суток вместе с мочой.
Высокая разрешающая способность аппарата разрешает различить полые кисты и плотные объемные образования. Также по снимкам можно оценить вид жидкости в кисте, и дифференцировать кровотечение и воспаление.
[/attention]
Принимать лекарства, пищу, пить воду можно в обычном режиме, если не проводится исследование с контрастом. В день назначенной процедуры нужно надеть белье из натуральной ткани.
Сеанс занимает не больше тридцати минут. Пациент ложится на стол, который помещают в туннель аппарата. Во время сканирования нужно спокойно лежать и не шевелиться.
Можно надеть специальные наушники, так как аппарат издает шум. В аппарате имеется микрофон, с помощью него пациент может общаться с врачом. Самое важное в процедуре – это неподвижность.
[/attention]
Результаты в виде снимков и их расшифровку можно получить в день проведения обследования.
Противопоказания к прохождению МРТ почек
МРТ почек не влечет вреда здоровью больного, не вызывает побочных осложнений. Ограничений к прохождению такого рода обследования не так много, но все же они есть. Магнитно-резонансная и компьютерная томография почек, а в некоторых случаях и исследование МСКТ и СКТ, не могут назначаться пациентам в следующих случаях:
- если имеется почечная недостаточность
- в случае аллергических реакций на препараты, которые вводятся пациентам в качестве контраста
- присутствие в теле пациента кардиостимуляторов, металлических имплантов, скоб, осколков, искусственных водителей ритма сердца
- клаустрофобия, психические заболевания
- беременность, особенно 1 триместр
- избыточный вес пациента свыше 120 кг
- кормящим мамам в случае проведения процедуры с контрастированием не рекомендуется кормить ребенка 1-2 дня.
Обо всех этих противопоказаниях больной должен известить лечащего врача и специалистов, которые проводят процедуру.
УЗИ, КТ или МРТ почек – что лучше и в чем разница?
После проведенного УЗИ почек доктор может направить на дополнительные обследования: магнитно-резонансную или компьютерную томографию. Почему недостаточно ультразвукового исследования?
УЗИ помогает врачам определить параметры почек — форму и размеры, количество органов, расположение органов и структуру ткани, даст понимание о соответствии органов среднестатистическим данным. Таким образом, УЗИ это базовое обследование, с помощью которого можно обнаружить патологии, но оно не сможет помочь поставить диагноз.
Поэтому требуются дополнительные исследования. К тому же, если есть проблемы со здоровьем почек, а показатели в норме, то это только структурное здоровье.
[/attention]
Ответить на вопрос что лучше КТ или МРТ почек никто однозначно не сможет? Это совершенно разные процедуры и их не сравнивают по каким-либо свойствам и признакам.
Объединяет эти виды томографии только принцип действия — послойное сканирование. Часто для постановки диагноза ряда сложных заболеваний требуется провести и КТ, и МРТ.
Врачам нужно знать отличия каждого метода, чтобы выбрать конкретный метод обследования.
[/attention]
Методы диагностирования магнитно-резонансной и компьютерной томографии достаточно популярны в медицине для исследования почек. Но значительно чаще используют КТ, в связи с его доступностью. Метод КТ дает данные о следующих показателях:
- размеры почек
- параметры почек (форма, очертания, расположение)
- взаимоотношение с чашечно-лоханной системой
- месторасположение патологических образований (кисты).
Компьютерная томография позволяет обнаружить кисту и определить ее физиологические данные, а метод МРТ почек дает возможность определить механизм образования кисты и классифицировать ее.
Оба метода также применяются в исследовании мочевыделительной системы. Кроме того, исследование почек и мочевого пузыря на МРТ или КТ с применением контрастирования разрешает с высокой долей точности обнаружить даже мельчайшие образования, различные по своей плотности, и выявить другие патологии, которые недоступны для иных способов диагностики.
Для исследования состояния сосудов этой анатомической области также используют как МРТ, так и КТ мочевого пузыря и почек с контрастным усилением. То есть больному перед обследованием вводят специальный контраст, который способствует усилению видимости изучаемой области.
Но необходимо знать, что у некоторых пациентов возможно появление аллергии на контрастирующие препараты.
МСКТ почек и мочевыводящих путей
[/attention]
Во время обследования пациенту нужно задержать дыхание один раз. Остальное за него выполнит томограф: стол с пациентом движется сам, вокруг него вращается трубка, которая сейчас имеет сразу несколько детекторов.
Поэтому МСКТ значительно облегчает обследование тяжелобольных людей.
Преимущества МРТ:
- Процедура незаменима, когда есть противопоказания к проведению КТ и рентгенографии, либо эти методы неэффективны
- Возможность выявления мельчайших патологий
- Врачи видят полную картину исследуемых органов в разных срезах без вмешательства в тело пациента. Обследование выполняется безболезненно
- Отсутствует ионизирующее излучение.
- Человек для прохождения МРТ не нуждается в специальной подготовке для прохождения обследования.
Конечно же, такая процедура стоит недешево. Цена МРТ почек находится в диапазоне от 3 до 6 тысяч рублей.
Стоимость колеблется в зависимости от региона и типа оборудования, его технических характеристик, года выпуска и т.д. Но необходимо отметить, что безопасность и качество проведения процедуры от стоимости не зависит.
Стоимость МРТ с контрастированием повышается ориентировочно в два раза, так как стоимость контраста довольно высока.
ПОДЕЛИТЕСЬ С ДРУЗЬЯМИ И ПРОГОЛОСУЙТЕ
(7 , оценка: 4,86 из 5) Загрузка…
Источник: https://tomografpro.ru/mrt-bryushnoj-polosti/tomografyia-pochek.html
Видно Ли На Мрт Камни В Почках
Роль магнитно-резонансной томографии в диагностике заболеваний почек ещё досконально не изучена, однако это исследование занимает немаловажное место в современной медицине.
На сегодняшний день во всём мире каждый год свыше 60 миллионов урологических диагнозов ставится именно с помощью данного метода. Принципы построения МРТ-снимка идеально подходят для изучения органов со сложной структурой тканей, которыми и являются почки.
Магнитно-резонансная томография — уникальное диагностическое исследование, позволяющее врачу получить высококачественные послойные снимки любого места человеческого организма. Метод МРТ довольно непростой.
В его основу положена способность ядер водородных атомов, содержащихся во всех живых тканях, после воздействия на них радиоволн и магнитного поля генерировать электромагнитные сигналы.
Методы лучевой и магнитной диагностики все шире внедряются во все сферы медицинской деятельности. Уже трудно представить медицинское учреждение, которое не имело бы на своей базе хотя бы один аппарат для магнитно-резонансной томографии. МРТ — современная диагностическая процедура, в основе которой лежат магнитные свойства атомных частиц. В процессе работы устройства создается мощное поле, излучающее магнитные волны, которые проникают в человеческий организм и по-разному отражаются от определенных структур. Все это специальными датчиками передается в компьютерную часть, где импульсы преобразуются в изображение, которое в последующем распечатывается и отдается для описания специалисту. ПОСМОТРИТЕ ВИДЕО ПО ТЕМЕ: МРТ почек
Постановка диагноза: как обнаруживается рак почки?
Компьютерная томография и МРТ почек и мочевого пузыря , 18 Содержимое: Высокоточные методы диагностики Диагностика заболеваний анатомическое расположение мочевого пузыря и почек Две почки и мочевой пузырь входят в состав мочевыделительной мочевой системы, назначением которой является формирование, накапливание и вывод мочи из организма, а также поддержание определенного уровня водно-солевого баланса. Почки выполняют функцию мочеобразования, а мочевой пузырь с мочеточником и мочевыводящим каналом — мочевыведения. Без нормального функционирования данных органов немыслимо говорить о здоровье человека, ведь сбой в работе хотя бы одного из них может привести к зашлакованности организма и нарушению обменных процессов, что в свою очередь тянет за собой множество различных заболеваний. Своевременное высокотехнологичное обследование позволит избежать неясностей и не допустить осложнения болезней.
1 Обзор методов диагностики камней в почках 2 Лабораторные исследования 3 Обзорная рентгенография почек 4 Экскреторная урография 5 Ультразвуковое исследование почек УЗИ 6 Компьютерная и магнитно-резонансная томография 7 Определение состава камней косвенным способом 8 Заключение Отложение конкрементов камней в почках — прямое проявление мочекаменной болезни.
Магнитно-резонансная томография почек МРТ относится к высокоточным методам обследования, не требующим специальной подготовки. При помощи специального аппарата томографа исследуемая область человеческого тела подвергается воздействию безопасного магнитного поля и радиоволн.
[/attention]
Видны строение, положение и структура почек, надпочечников, чашечно-лоханочной системы, околопочечной клетчатки, сосудов и других расположенных рядом органов.
Мочекаменная болезнь (нефролитиаз, камни в почках)
Мочекаменная болезнь доставляет пациенту массу неудобств. И даже не столько своей болезненностью, сколько некоторой сложностью постановки диагноза. Поскольку часто камни в почках можно спутать с другими патологическими состояниями.
Однако современная диагностика камней в почках при грамотном подходе профессионала-уролога позволяет выявить образования каменистого типа и назначить эффективное лечение.
Чтобы понять, как дифференцируют наличие почечных камней, в материале ниже рассмотрим подробную схему обследования пациента.
ВОПРОСЫ ПАЦИЕНТОВ. Образование в почке, которое видно на УЗИ и не видно на КТ ?!
С годами мы приобретаем не только мудрость и жизненный опыт, но и множество неприятных болячек.
Вас ничего не беспокоит, и вы думаете, что не внесли свой вклад в эту печальную статистику? Чтобы убедиться в том, что вашему здоровью действительно ничего не угрожает, нужно сделать МРТ почек.
[/attention]
При патологическом процессе изменяется ее состав и реакция рН , что приводит к кристаллизации. Сначала это безобидный мелкий песок. Правда, первостепенное значение все же имеет не кислотная реакция, а наличие минералов. На этом разнообразие камней не заканчивается.
Аппаратные и лабораторные методы диагностики почечных камней
МРТ почек — это современный способ обследования, для проведения которого используется томограф. Метод популярен высокой точностью диагностирования организма человека. С помощью магнитно-резонансной терапии можно отследить возможные патологии почек и мочевыводящей системы.
Изображение аппарата для проведения данного обследования. Томография почек и мочевыводящих путей имеет высокоинформативную характеристику. Исследования не причиняют боли, не нарушают работу тканей и органов.
Почки — жизненно важный парный орган человеческого организма, который отвечает за выведение и фильтрацию жидкости, очищение крови.
МРТ почек — самый современный и подробный метод исследования. Имеет ряд существенных преимуществ перед другими видами диагностики:.
Кт показывает камни почках
Мочекаменная почечнокаменная болезнь нефролитиаз — это заболевание, сопровождающееся образованием камней конкрементов в чашечках или лоханке почки из веществ, входящих в состав мочи. Наиболее часто мочекаменная болезнь встречается у лиц трудоспособного возраста от 30 до 50 лет.
Образование камней в почках является сложным многофакторным заболеванием, в основе которого лежит взаимодействие внутренних факторов и факторов внешней среды. Наиболее часто к камнеобразованию приводят следующие факторы:.
Камни почек классифицируют по их размеру, месторасположению, плотности способности задерживать рентгеновские лучи , по минералогическому составу, по причине и степени риска повторного камнеобразования. Как и многие урологические заболевания, мочекаменная болезнь долгое время может никак клинически не проявляться.
[/attention]
ВИДЕО ПО ТЕМЕ: В чем разница между КТ и МРТ
Магнитно-резонансная томография почек в дальнейшем МРТ относится к высокочастотным методам диагностики, его считают безопасным способом исследования органов. Специальный прибор томограф подвергает область почек воздействию безопасного магнитного поля и радиоволн. Протоны в ядрах атомов водорода временно смещаются, потом возвращаются в исходное положение.
Энергия, которая выделяется в этот момент, управляется датчиками, специальной программой преобразуется в трёхмерное изображение. Картинка позволяет медику оценить состояние почек пациента, строение парного органа и близлежащих тканей.
статьи: Общая информация Классификация Показания и противопоказания Преимущества исследования Как подготовиться: советы пациентам Как проводится процедура МРТ Результаты исследований.
Источник: https://medcentr-aclinic.ru/h2/29435-vidno-li-na-mrt-kamni-v-pochkah.php
Диагностика камней в почках
Лабораторная и инструментальная диагностика мочекаменной болезни поможет выявить и распознать патологию без особых трудностей, потому что современные лаборатории и диагностические кабинеты оснащены высокоточным оборудованием, способным определить наличие камней даже на самых ранних этапах образования. Обследования назначаются врачом после первичного осмотра и сбора необходимых данных.
Показания к диагностике
Мочекаменная болезнь — коварная патология, которая долгое время может не проявлять себя никакими признаками. Но камень в почке постепенно увеличивается в размерах, раздражает нервные окончания, вызывая дискомфорт и болезненные симптомы в области поясницы. По мере роста и увеличения конкремента, больного беспокоят:
- почечные колики и гематурия;
- боли, локализованные преимущественно в правом боку;
- почечная недостаточность;
- увеличение давления;
- проблемы с мочеиспусканием;
- присутствие в моче гноя и слизи;
- увеличение температурных показателей.
Если у человека проявляется хотя бы 2—3 подобных симптома, важно немедленно обращаться в больницу и проходить диагностическое обследование. Для определения патологии назначают лабораторные исследования мочи и крови, а также инструментальную диагностику, благодаря которой врач сможет узнать первопричину нарушения и поставить окончательный диагноз.
Что покажет первый осмотр?
Первое, что делает врач на приеме, – это расспрашивает пациента.
Перед тем как начать сдавать все анализы, пациента должен осмотреть врач.
Хоть во время первичного осмотра внутренние нарушения не видны, все равно на основании сбора анамнеза можно поставить предварительный диагноз.
В первую очередь доктор расспрашивает больного о беспокоящих симптомах, уточняет, когда приблизительно проблема начала проявляться и были ли ранее подобные случаи.
После того как опрос закончится, обязательно проводится пальпация поясничной зоны и брюшной полости.
При камнеобразовании в парном органе человека будут беспокоить резкие боли при легком поколачивании, а если конкремент уже начал выходить из почек, то интенсивная, приступообразная боль, тошнота, рвота и увеличение температуры наблюдаются постоянно. Когда подозрения подтверждаются и врач видит, что ситуация серьезная, назначается более углубленная диагностика камней в почках.
Какие нужно сдать анализы, чтобы определить камни в почках?
Общий анализ мочи
Чтобы диагностировать мочекаменную патологию, в обязательном порядке назначается исследование урины на присутствие в ней микрочастичек конкрементов, бактерий, крови, гноя и слизи. Если видно, что образцах присутствует белок, это говорит о протеинурии. Видимые кровяные частички свидетельствуют о макрогематурии, это один из основных симптомов движения камня из почки.
Не всегда анализ мочи при мочекаменной болезни показывает эритроцитурию и лейкоцитурию, но это совсем не означает, что в почках у человека нет конкрементов.
Если урина более щелочная, то это показатель образования уратов.
Когда количество лейкоцитов и эритроцитов больше нормы, такая картина говорит о протекании в парном органе инфекционно-воспалительного осложнения, которое важно своевременно выявить и устранить. При исследовании урины под микроскопом, можно провести анализ почечного камня, выяснить его природу, разновидность, химический состав.
[/attention]
А когда результат исследования показывает значение меньше 5-ти, часто это является свидетельством образования в почках конкрементов мочевой кислоты.
Суточный анализ
Урину на исследование сдают для того, чтобы выявить:
- начало развития мочекаменной патологии;
- степень поражения органа;
- успешность проведения назначенной терапии.
Анализ крови
Незначительное количество лейкоцитов может свидетельствовать об эпизоде почечной колики, если же лейкоцитоз выраженный, значит в организме протекает инфекционно-воспалительное осложнение. Также анализ крови покажет уровень электролитов, мочевины и гормонов щитовидной железы, что важно для постановки точного диагноза.
Инструментальные методы
УЗИ-диагностирование
Конкременты в органах хорошо визуализируются на УЗИ.
Ультразвуковая диагностика мочекаменной болезни поможет определить:
- место расположения, количество и размеры конкремента;
- степень отечности паренхимы;
- распространенность воспаления.
КТ и МРТ-обследование
Если по каким-либо причинам камни в почках на УЗИ не удалось рассмотреть детально, особенно если они локализованы в мочеточнике, назначают КТ или МРТ почек.
Во время диагностирования на мониторе видно изображение органа в формате 3D, благодаря чему врач видит любые патологические изменения.
Зачастую МРТ или КТ почек назначают перед операцией, когда важно определить размер конкремента, его место расположения и состав. Мелкие камни на МРТ не визуализируются.
Обзорный рентген
Этот доступный, недорогой и информативный вид диагностирования часто назначается при подозрении на мочекаменную патологию.
При рентгенологическом исследовании применяется контраст, благодаря которому на снимке четко видны конкременты. Еще удается предположительно определить химический состав камня.
Поскольку маленькие камни в почках на МРТ не видны, то анализ конкрементов на рентгене дает возможность подобрать адекватную схему терапии, так как врач увидит:
- место расположения конкремента;
- точный размер;
- форму.
Радионуклидная диагностика
Такое обследование позволяет выявить качество работы почек.
Этот вид диагностирования является распространенным. Благодаря ему можно определить степень функционирования почек, насколько орган поражен конкрементами, а также какова его секреторная и эвакуаторная способность. Эти данные помогут подобрать оптимальную схему терапии и определиться с курсом лечения.
Внутривенная пиелография
До того как стали применять МРТ и КТ при камнях в почках, самым информативным способом диагностирования мочекаменной патологии считалась именно эта диагностическая процедура.
Перед обследованием человеку в вену вводится контрастное вещество, которое распределяется в парном органе. После необходимо сделать серию снимков, на которых видно положение конкрементов, и работа почек.
Внутривенная пиелография поможет оценить работу парного органа, и определить место локализации камней, что немаловажно перед назначением терапии.
Дифференциальный анализ
При поступлении в больницу с приступом почечной колики, врачи не всегда могут сразу поставить точный диагноз. Поэтому чтобы лечение было правильным, проводится дифференциальная диагностика, благодаря которой удастся исключить такие опасные болезни:
- аппендицит;
- холецистит;
- панкреатит.
Другие, не менее опасные патологии, такие как заболевания органов брюшной полости и позвоночного столба, характеризуются симптомами, похожими на мочекаменную патологию. Однако тщательное лабораторное диагностирование, анализ камней, УЗИ почек, рентгенография, МРТ или КТ помогут в короткие сроки установить правильный диагноз, что крайне важно для подбора адекватной схемы терапии.
Источник: http://ProUrinu.ru/izlechenie/dop/kak-opredelit-kamni-v-pochkah.html
Мрт почек — что показывает?

Использование магнитно-резонансной томографии для диагностики внутренних органов обусловлено некоторыми причинами. Во-первых, она создает общую картину внутреннего органа.
Во-вторых, гарантирует высокое качество изображений, что помогает поставить точный и надежный диагноз. Применение томографии важно в диагностике поджелудочной железы, печени, желчных протоков, когда необходимо исследовать мягкие ткани.
МРТ почек позволяет обнаружить заболевания в этой области на ранней стадии.
Что показывает
Исследование почек — сложная задача, потому что многие нефрологические заболевания долгое время не проявляются. Не имея субъективных признаков, таких как боль, человек вовремя не обращается к врачу. И лишь результаты анализов позволяют установить скрытно развивающиеся заболевания.
Почечная функция состоит из физиологических аспектов: перфузии (кровоснабжения), фильтрации, диффузии (изменение размеров органа и тканей). Раннее выявление функциональных изменений позволит врачу выбрать больше вариантов лечения.
Например, если в почке обнаружена инородная масса, то при помощи МРТ можно различить полые кистозные и твердые массы. На основании трехмерных изображений уролог или рентгенолог может увидеть, является ли масса раковой или доброкачественной.
Проводится МРТ почек с контрастированием или без контраста
Преимущества магнитно-резонансной томографии:
- неинвазивная методика;
- отсутствие ионизирующего излучения;
- трехмерный характер получения изображений;
- естественный контраст движущейся крови;
- высокая диагностическая эффективность.
Одной из причин гипертонии является стеноз почечной артерии, который характерен для молодых курящих людей. Стенки артерии при стенозе утолщаются, препятствуя нормальному кровотоку. Исследование состояния кровеносных сосудов с помощью МРТ — одно из развивающихся направлений диагностики.
Магнитно резонансная томография имеет большие перспективы в оценке почечных характеристик.
Мрт или узи почек
УЗИ и МРТ — два устройства, использующиеся в медицинских исследованиях.
В аппарате для сканирования применяются магнитные поля, которые изменяют положение молекул в теле человека, фиксируя при этом их изменения.
Скорость построения молекул отражается в сканере, который создает образ внутреннего органа человека. Затем аппарат воспроизводит статическое изображение поперечного сечения тела.
[/attention]
Ультразвуковое обследование используется для оценки размера, местоположения, формы почек и связанных с ним структур, таких как мочеточник, мочевой пузырь. УЗИ помогает обнаружить патологии:
- опухоли;
- абсцессы;
- наличие жидкости внутри почек;
- камни.
Ультразвуковое исследование делается после трансплантации почки для оценки ее жизнедеятельности. Оно эффективно при определении почечной массы. Хронические почечные заболевания лучше диагностируются с помощью УЗИ. При острой почечной недостаточности ультразвук является основным критерием для диагноза, но только как первоначальный скрининг.
Для обнаружения тромбоза почечной вены, который возникает как осложнение при раке почки, лучше использовать МРТ почек с контрастом.
Диагностика болезней почек
Показания
Магнитно-резонансная томография используется для оценки почечных артерий у пациентов с подозрением на стеноз почечной артерии.
Аппарат выдает изображения исключительной детализации и разрешающей способности и поэтому часто используется для характеристики и наблюдения за почечными массами.
Сканирование радионуклидов может помочь в оценке обструкции почечных путей и обеспечить функциональную оценку почечного тракта.
Показания к сканированию:
- наличие крови в моче;
- наличие камней;
- невыясненная гипертрофия органа;
- новообразования (определение стадии развития рака);
- атипичные кисты, кистозные опухоли;
- воспалительные процессы;
- повышенное почечное давление с неясными причинами;
- стеноз почечной артерии;
- подозрение на костные метастазы рака почки.
Направление на диагностическое исследование может быть связано с жалобами пациента на состояние здоровья. В некоторых случаях, когда пациент не имеет возможности провести обследование с помощью УЗИ или КТ, его направляют на магнитно-резонансную томографию. В этом случае врач должен рассказать, что включает в себя подготовка к МРТ почек.
Противопоказания
Ограничения на проведение МРТ почки бывают относительные и абсолютные.
Относительные:
- беременность в первом триместре;
- клапанные протезы;
- приступы клаустрофобии;
- гемостатические клипсы;
- эндопротезы на основе титановых сплавов.
К абсолютным противопоказаниям МРТ почек и мочевыводящих путей относятся:
- кардиостимулятор;
- металлические предметы, находящиеся внутри тела (пули, осколки);
- вес пациента и большая окружность талии;
- острая и хроническая почечная недостаточность (при использовании контраста).
Подготовка
Как подготовиться к проведению обследования, всегда расскажет врач. Это зависит от индивидуальных особенностей человека и его болезней.
При наличии почечных заболеваний перед проведением сеанса надо сдать анализ крови, чтобы обеспечить безопасный прием контрастного вещества. Нефрогенный системный фиброз является редким, но опасным осложнением после инъекции гадолиния у людей с плохой функцией почек. Необходимо предоставить врачу-радиологу почечные показания, особенно по креатинину.
[/attention]
Голодать перед проведением сеанса диагностики не следует. Принятие еды за 1-2 часа до сеанса будет достаточным. В отдельных случаях перед компьютерным анализом при подготовке к исследованию лечащий врач проинформирует, следует ли проводить сеанс натощак.
Подготовка и проведение мрт почек
Проведение мрт с контрастом
Контрастное вещество при сканировании почек чаще всего не требуется. Пространственное расположение органа и изменения в виде опухолей видны и без вещества. Но если нужно дифференцировать ткани и их изменения, то контраст необходим. Вводимое вещество помогает отличить больную ткань от здоровой.
МРТ почек с контрастом при использовании низкой дозы агента на основе гадолиния была проверена на предмет точного измерения скорости клубочковой фильтрации и почечного потока плазмы.
И врачи пришли к выводу, что в некоторых случаях для постановки диагноза бывает достаточно определить количество креатинина в сыворотке крови.
Однако для пациентов с почечными заболеваниями необходимо выполнять МРТ для точного мониторинга функции почек.
[/attention]
Лишь у небольшой части пациентов контрастное вещество снижает скорость клубочковой фильтрации.
Как проводится исследование с контрастом? Вещество чаще вводится через вену, при нормальной функции почек оно выводится из организма за 24 часа.
Вероятность аллергической реакции на контрастную среду небольшая, но предупредить врача о ней стоит.
При почечной недостаточности риск и польза проведения МРТ должны быть тщательно взвешены.
Источник: https://pochkam.ru/diagnostika/mrt-pochek-chto-pokazyvaet.html
Мрт мочеточников
Метод МРТ диагностики мочеточников построен на электромагнитных свойствах атомов водорода, которые в разных тканях содержатся в разных количествах.
Под действием сильного магнитного поля и радиочастотных импульсов, котоые создаются в самом аппарате, в тканях организма возникает суммарный магнитный эффект. Томограф фиксирует все характеристики исследуемого органа и передает их на компьютер.
Процедура МРТ считается безвредной, поэтому проводят ее как в качестве диагностического исследования, так и в качестве контроля за проведенным лечением.
Что показывает Мрт мочеточников
В первую очередь необходимо отметить, что магнитно-резонансная томография мочеточников выполняется в комплексном обследовании почек и мочевыводящих путей, как самостоятельный метод диагностирования невозможен.
При помощи магнитно-резонансной томографии удается оценить состояние органов и выявить имеющиеся патологии:
- оценить топографическое положение и выявить аномалии развития данного органа;
- оценка кровоснажения мочеточников;
- выявить патологические очаги и имеющиеся зоны поражения в мочеточниках;
- определить наличие новообразований, его размеры;
- оценить функциональность данного органа.
Показания к проведению Мрт мочеточников
В сило проведения комплексного обследования при Мрт мочеточников, среди распространенных показаний для магнитно-резонансного обследования выделяют следующие:
- Нарушение кровотока в почках, мочеточниках и других околопочечных тканях.
- Патологические и воспалительные заболевания почек, мочеточников.
- Камни почек, мочеточников.
- Жалобы на почечные колики и выяснение очага локализации.
- Подозрения на наличие новообразования в этой области.
Виды Мрт мочеточников
Здесь следует выделить два вида исследования, отличающиеся между собой:
- Мрт мочеточников с контрастированием.
- Магнитно-резонансная томография без контрастного вещества.
Мрт мочеточников с контрастом проводится тогда, когда необходимо диагностировать природу опухоли и оценить состояние сосудов данной области.
Как подготовиться к исследованию?
Магнитно-резонансная диагностика имеет массу преимуществ в сравнении с другими видами обследования, кроме безопасности и достоверности полученных данных, Мрт мочеточников отличается простотой диагностирования.
Пациенты, которые записываются на такую процедуру, задают один из распространенных вопросов: “Как необходимо подготовиться к томографии?”. Отвечая на данный вопрос, следует отметить, что Мрт мочеточников не требует специальной подготовки со стороны больного.
Накануне процедуры готовиться к этому никак не надо, соблюдая какие-либо ограничения и диеты.
[/attention]
магнитно-резонансная томография требует находиться довольно длительное время в неподвижном состоянии, одежда не должна вызывать дискоммфорт.
Снять все металлические аксессуары и украшения со своего тела, а также выложить все электроприборы.
[/attention]
Пациенты, которые по каким-либо причинам не могут находиться длительное время в неподвижном состоянии, люди, страдающие психическими расстройствами, а также дети и пациенты, больные клаустрофобией, требуют дополнительного введения седативных и снотворных медикаментозных средств.
Далее пациента укладывают в горизонтальном положении на кушетку, которая затем задвигается в томограф, больной остается один в комнате, связь с рентгенологом осуществляется через микрофон.
Противопоказания к Мрт мочеточников
Среди противопоказаний можно выделить абсолютные и относительные.
Абсолютные противопоказания категорически запрещают проведение МРТ, к ним относятся:
- Больные с кардиостимуляторами и металлическими пластинами, несъемными протезами в организме.
- Больные с почечной недостаточностью тяжелой степени.
Возможность проведения Мрт мочеточников у пациентов с относительными противопоказаниями определяется доктором в каждом отдельном случае. Сюда относятся:
- Сахарный диабет, большая масса тела.
- Беременность, период лактации.
- Детский возраст до 12 лет.
- Непереносимость, аллергическая реакция на применяемые во время исследования, препараты.
Источник: https://xn----xtbekk.xn--p1ai/article/mrt-mochetochnikov
Как проводится и что показывает МРТ почек?
МРТ почек назначают при различных заболеваниях. Этот метод диагностики делает возможным достоверно дифференцировать почечные заболевания с нарушениями мочеполовой системы или патологией позвоночника. Для пациентов важно знать, что же показывает МРТ почек и других органов мочеполовой системы. Томография разрешает оценить и визуализировать:
- строение и размер органа (состояние лоханки, чашечек, сосудов),
- анатомическую структуру тканей
- функционирование органа, его работоспособность
- грань между корковым и мозговым слоем
- доброкачественные опухоли
- онкологические поражения (стадию и распространение)
- динамику роста кисты или опухоли
- степень поражения сосудов
- наличие или отсутствие поражения мочевыводящих путей.
МРТ почек назначают также в целях наблюдения за изменениями после лечения.
Метод МРТ допускает получение изображений многих срезов органа в высоком качестве. Исследование назначают в случаях неэффективности проведения компьютерной томографии, УЗИ или при противопоказаниях к рентгенографии. МРТ почек незаменимо при ранней диагностике онкологических заболеваний, травматических нарушений, урологических проблем и т.д.
Показаниями к прохождению обследования МРТ могут послужить увеличение объема мочи, боль в пояснице, повышенная температура и лихорадочное состояние, появление отечности, колик, частых головокружений и головной боли.
[/attention]
Метод безвреден и не угрожает облучением, таким образом, проходить сканирование пациент может несколько раз.
Мрт почек с контрастом
На практике традиционно контрастную МРТ назначают при подозрениях на опухоли.
В этом случае вводится особое вещество внутривенно. При прохождении по сосудам, оно окрашивает их, накапливаясь в тканях и органах. Качество снимков зависит от активности кровотока в нужной области.
Количество препарата назначают исходя из веса пациента. Обычно контраст выходит в течение суток вместе с мочой.
Высокая разрешающая способность аппарата разрешает различить полые кисты и плотные объемные образования. Также по снимкам можно оценить вид жидкости в кисте, и дифференцировать кровотечение и воспаление.
[/attention]
Принимать лекарства, пищу, пить воду можно в обычном режиме, если не проводится исследование с контрастом. В день назначенной процедуры нужно надеть белье из натуральной ткани.
Сеанс занимает не больше тридцати минут. Пациент ложится на стол, который помещают в туннель аппарата. Во время сканирования нужно спокойно лежать и не шевелиться.
Можно надеть специальные наушники, так как аппарат издает шум. В аппарате имеется микрофон, с помощью него пациент может общаться с врачом. Самое важное в процедуре – это неподвижность.
[/attention]
Результаты в виде снимков и их расшифровку можно получить в день проведения обследования.
Противопоказания к прохождению МРТ почек
МРТ почек не влечет вреда здоровью больного, не вызывает побочных осложнений. Ограничений к прохождению такого рода обследования не так много, но все же они есть. Магнитно-резонансная и компьютерная томография почек, а в некоторых случаях и исследование МСКТ и СКТ, не могут назначаться пациентам в следующих случаях:
- если имеется почечная недостаточность
- в случае аллергических реакций на препараты, которые вводятся пациентам в качестве контраста
- присутствие в теле пациента кардиостимуляторов, металлических имплантов, скоб, осколков, искусственных водителей ритма сердца
- клаустрофобия, психические заболевания
- беременность, особенно 1 триместр
- избыточный вес пациента свыше 120 кг
- кормящим мамам в случае проведения процедуры с контрастированием не рекомендуется кормить ребенка 1-2 дня.
Обо всех этих противопоказаниях больной должен известить лечащего врача и специалистов, которые проводят процедуру.
УЗИ, КТ или МРТ почек – что лучше и в чем разница?
После проведенного УЗИ почек доктор может направить на дополнительные обследования: магнитно-резонансную или компьютерную томографию. Почему недостаточно ультразвукового исследования?
УЗИ помогает врачам определить параметры почек — форму и размеры, количество органов, расположение органов и структуру ткани, даст понимание о соответствии органов среднестатистическим данным. Таким образом, УЗИ это базовое обследование, с помощью которого можно обнаружить патологии, но оно не сможет помочь поставить диагноз.
Поэтому требуются дополнительные исследования. К тому же, если есть проблемы со здоровьем почек, а показатели в норме, то это только структурное здоровье.
[/attention]
Ответить на вопрос что лучше КТ или МРТ почек никто однозначно не сможет? Это совершенно разные процедуры и их не сравнивают по каким-либо свойствам и признакам.
Объединяет эти виды томографии только принцип действия — послойное сканирование. Часто для постановки диагноза ряда сложных заболеваний требуется провести и КТ, и МРТ.
Врачам нужно знать отличия каждого метода, чтобы выбрать конкретный метод обследования.
[/attention]
Методы диагностирования магнитно-резонансной и компьютерной томографии достаточно популярны в медицине для исследования почек. Но значительно чаще используют КТ, в связи с его доступностью. Метод КТ дает данные о следующих показателях:
- размеры почек
- параметры почек (форма, очертания, расположение)
- взаимоотношение с чашечно-лоханной системой
- месторасположение патологических образований (кисты).
Компьютерная томография позволяет обнаружить кисту и определить ее физиологические данные, а метод МРТ почек дает возможность определить механизм образования кисты и классифицировать ее.
Оба метода также применяются в исследовании мочевыделительной системы. Кроме того, исследование почек и мочевого пузыря на МРТ или КТ с применением контрастирования разрешает с высокой долей точности обнаружить даже мельчайшие образования, различные по своей плотности, и выявить другие патологии, которые недоступны для иных способов диагностики.
Для исследования состояния сосудов этой анатомической области также используют как МРТ, так и КТ мочевого пузыря и почек с контрастным усилением. То есть больному перед обследованием вводят специальный контраст, который способствует усилению видимости изучаемой области.
Но необходимо знать, что у некоторых пациентов возможно появление аллергии на контрастирующие препараты.
МСКТ почек и мочевыводящих путей
[/attention]
Во время обследования пациенту нужно задержать дыхание один раз. Остальное за него выполнит томограф: стол с пациентом движется сам, вокруг него вращается трубка, которая сейчас имеет сразу несколько детекторов.
Поэтому МСКТ значительно облегчает обследование тяжелобольных людей.
Преимущества МРТ:
- Процедура незаменима, когда есть противопоказания к проведению КТ и рентгенографии, либо эти методы неэффективны
- Возможность выявления мельчайших патологий
- Врачи видят полную картину исследуемых органов в разных срезах без вмешательства в тело пациента. Обследование выполняется безболезненно
- Отсутствует ионизирующее излучение.
- Человек для прохождения МРТ не нуждается в специальной подготовке для прохождения обследования.
Конечно же, такая процедура стоит недешево. Цена МРТ почек находится в диапазоне от 3 до 6 тысяч рублей.
Стоимость колеблется в зависимости от региона и типа оборудования, его технических характеристик, года выпуска и т.д. Но необходимо отметить, что безопасность и качество проведения процедуры от стоимости не зависит.
Стоимость МРТ с контрастированием повышается ориентировочно в два раза, так как стоимость контраста довольно высока.
ПОДЕЛИТЕСЬ С ДРУЗЬЯМИ И ПРОГОЛОСУЙТЕ
(7 , оценка: 4,86 из 5) Загрузка…
Источник: https://tomografpro.ru/mrt-bryushnoj-polosti/tomografyia-pochek.html
Видно Ли На Мрт Камни В Почках
Роль магнитно-резонансной томографии в диагностике заболеваний почек ещё досконально не изучена, однако это исследование занимает немаловажное место в современной медицине.
На сегодняшний день во всём мире каждый год свыше 60 миллионов урологических диагнозов ставится именно с помощью данного метода. Принципы построения МРТ-снимка идеально подходят для изучения органов со сложной структурой тканей, которыми и являются почки.
Магнитно-резонансная томография — уникальное диагностическое исследование, позволяющее врачу получить высококачественные послойные снимки любого места человеческого организма. Метод МРТ довольно непростой.
В его основу положена способность ядер водородных атомов, содержащихся во всех живых тканях, после воздействия на них радиоволн и магнитного поля генерировать электромагнитные сигналы.
Методы лучевой и магнитной диагностики все шире внедряются во все сферы медицинской деятельности. Уже трудно представить медицинское учреждение, которое не имело бы на своей базе хотя бы один аппарат для магнитно-резонансной томографии. МРТ — современная диагностическая процедура, в основе которой лежат магнитные свойства атомных частиц. В процессе работы устройства создается мощное поле, излучающее магнитные волны, которые проникают в человеческий организм и по-разному отражаются от определенных структур. Все это специальными датчиками передается в компьютерную часть, где импульсы преобразуются в изображение, которое в последующем распечатывается и отдается для описания специалисту. ПОСМОТРИТЕ ВИДЕО ПО ТЕМЕ: МРТ почек
Постановка диагноза: как обнаруживается рак почки?
Компьютерная томография и МРТ почек и мочевого пузыря , 18 Содержимое: Высокоточные методы диагностики Диагностика заболеваний анатомическое расположение мочевого пузыря и почек Две почки и мочевой пузырь входят в состав мочевыделительной мочевой системы, назначением которой является формирование, накапливание и вывод мочи из организма, а также поддержание определенного уровня водно-солевого баланса. Почки выполняют функцию мочеобразования, а мочевой пузырь с мочеточником и мочевыводящим каналом — мочевыведения. Без нормального функционирования данных органов немыслимо говорить о здоровье человека, ведь сбой в работе хотя бы одного из них может привести к зашлакованности организма и нарушению обменных процессов, что в свою очередь тянет за собой множество различных заболеваний. Своевременное высокотехнологичное обследование позволит избежать неясностей и не допустить осложнения болезней.
1 Обзор методов диагностики камней в почках 2 Лабораторные исследования 3 Обзорная рентгенография почек 4 Экскреторная урография 5 Ультразвуковое исследование почек УЗИ 6 Компьютерная и магнитно-резонансная томография 7 Определение состава камней косвенным способом 8 Заключение Отложение конкрементов камней в почках — прямое проявление мочекаменной болезни.
Магнитно-резонансная томография почек МРТ относится к высокоточным методам обследования, не требующим специальной подготовки. При помощи специального аппарата томографа исследуемая область человеческого тела подвергается воздействию безопасного магнитного поля и радиоволн.
[/attention]
Видны строение, положение и структура почек, надпочечников, чашечно-лоханочной системы, околопочечной клетчатки, сосудов и других расположенных рядом органов.
Мочекаменная болезнь (нефролитиаз, камни в почках)
Мочекаменная болезнь доставляет пациенту массу неудобств. И даже не столько своей болезненностью, сколько некоторой сложностью постановки диагноза. Поскольку часто камни в почках можно спутать с другими патологическими состояниями.
Однако современная диагностика камней в почках при грамотном подходе профессионала-уролога позволяет выявить образования каменистого типа и назначить эффективное лечение.
Чтобы понять, как дифференцируют наличие почечных камней, в материале ниже рассмотрим подробную схему обследования пациента.
ВОПРОСЫ ПАЦИЕНТОВ. Образование в почке, которое видно на УЗИ и не видно на КТ ?!
С годами мы приобретаем не только мудрость и жизненный опыт, но и множество неприятных болячек.
Вас ничего не беспокоит, и вы думаете, что не внесли свой вклад в эту печальную статистику? Чтобы убедиться в том, что вашему здоровью действительно ничего не угрожает, нужно сделать МРТ почек.
[/attention]
При патологическом процессе изменяется ее состав и реакция рН , что приводит к кристаллизации. Сначала это безобидный мелкий песок. Правда, первостепенное значение все же имеет не кислотная реакция, а наличие минералов. На этом разнообразие камней не заканчивается.
Аппаратные и лабораторные методы диагностики почечных камней
МРТ почек — это современный способ обследования, для проведения которого используется томограф. Метод популярен высокой точностью диагностирования организма человека. С помощью магнитно-резонансной терапии можно отследить возможные патологии почек и мочевыводящей системы.
Изображение аппарата для проведения данного обследования. Томография почек и мочевыводящих путей имеет высокоинформативную характеристику. Исследования не причиняют боли, не нарушают работу тканей и органов.
Почки — жизненно важный парный орган человеческого организма, который отвечает за выведение и фильтрацию жидкости, очищение крови.
МРТ почек — самый современный и подробный метод исследования. Имеет ряд существенных преимуществ перед другими видами диагностики:.
Кт показывает камни почках
Мочекаменная почечнокаменная болезнь нефролитиаз — это заболевание, сопровождающееся образованием камней конкрементов в чашечках или лоханке почки из веществ, входящих в состав мочи. Наиболее часто мочекаменная болезнь встречается у лиц трудоспособного возраста от 30 до 50 лет.
Образование камней в почках является сложным многофакторным заболеванием, в основе которого лежит взаимодействие внутренних факторов и факторов внешней среды. Наиболее часто к камнеобразованию приводят следующие факторы:.
Камни почек классифицируют по их размеру, месторасположению, плотности способности задерживать рентгеновские лучи , по минералогическому составу, по причине и степени риска повторного камнеобразования. Как и многие урологические заболевания, мочекаменная болезнь долгое время может никак клинически не проявляться.
[/attention]
ВИДЕО ПО ТЕМЕ: В чем разница между КТ и МРТ
Магнитно-резонансная томография почек в дальнейшем МРТ относится к высокочастотным методам диагностики, его считают безопасным способом исследования органов. Специальный прибор томограф подвергает область почек воздействию безопасного магнитного поля и радиоволн. Протоны в ядрах атомов водорода временно смещаются, потом возвращаются в исходное положение.
Энергия, которая выделяется в этот момент, управляется датчиками, специальной программой преобразуется в трёхмерное изображение. Картинка позволяет медику оценить состояние почек пациента, строение парного органа и близлежащих тканей.
статьи: Общая информация Классификация Показания и противопоказания Преимущества исследования Как подготовиться: советы пациентам Как проводится процедура МРТ Результаты исследований.
Источник: https://medcentr-aclinic.ru/h2/29435-vidno-li-na-mrt-kamni-v-pochkah.php
Диагностика камней в почках
Лабораторная и инструментальная диагностика мочекаменной болезни поможет выявить и распознать патологию без особых трудностей, потому что современные лаборатории и диагностические кабинеты оснащены высокоточным оборудованием, способным определить наличие камней даже на самых ранних этапах образования. Обследования назначаются врачом после первичного осмотра и сбора необходимых данных.
Показания к диагностике
Мочекаменная болезнь — коварная патология, которая долгое время может не проявлять себя никакими признаками. Но камень в почке постепенно увеличивается в размерах, раздражает нервные окончания, вызывая дискомфорт и болезненные симптомы в области поясницы. По мере роста и увеличения конкремента, больного беспокоят:
- почечные колики и гематурия;
- боли, локализованные преимущественно в правом боку;
- почечная недостаточность;
- увеличение давления;
- проблемы с мочеиспусканием;
- присутствие в моче гноя и слизи;
- увеличение температурных показателей.
Если у человека проявляется хотя бы 2—3 подобных симптома, важно немедленно обращаться в больницу и проходить диагностическое обследование. Для определения патологии назначают лабораторные исследования мочи и крови, а также инструментальную диагностику, благодаря которой врач сможет узнать первопричину нарушения и поставить окончательный диагноз.
Что покажет первый осмотр?
Первое, что делает врач на приеме, – это расспрашивает пациента.
Перед тем как начать сдавать все анализы, пациента должен осмотреть врач.
Хоть во время первичного осмотра внутренние нарушения не видны, все равно на основании сбора анамнеза можно поставить предварительный диагноз.
В первую очередь доктор расспрашивает больного о беспокоящих симптомах, уточняет, когда приблизительно проблема начала проявляться и были ли ранее подобные случаи.
После того как опрос закончится, обязательно проводится пальпация поясничной зоны и брюшной полости.
При камнеобразовании в парном органе человека будут беспокоить резкие боли при легком поколачивании, а если конкремент уже начал выходить из почек, то интенсивная, приступообразная боль, тошнота, рвота и увеличение температуры наблюдаются постоянно. Когда подозрения подтверждаются и врач видит, что ситуация серьезная, назначается более углубленная диагностика камней в почках.
Какие нужно сдать анализы, чтобы определить камни в почках?
Общий анализ мочи
Чтобы диагностировать мочекаменную патологию, в обязательном порядке назначается исследование урины на присутствие в ней микрочастичек конкрементов, бактерий, крови, гноя и слизи. Если видно, что образцах присутствует белок, это говорит о протеинурии. Видимые кровяные частички свидетельствуют о макрогематурии, это один из основных симптомов движения камня из почки.
Не всегда анализ мочи при мочекаменной болезни показывает эритроцитурию и лейкоцитурию, но это совсем не означает, что в почках у человека нет конкрементов.
Если урина более щелочная, то это показатель образования уратов.
Когда количество лейкоцитов и эритроцитов больше нормы, такая картина говорит о протекании в парном органе инфекционно-воспалительного осложнения, которое важно своевременно выявить и устранить. При исследовании урины под микроскопом, можно провести анализ почечного камня, выяснить его природу, разновидность, химический состав.
[/attention]
А когда результат исследования показывает значение меньше 5-ти, часто это является свидетельством образования в почках конкрементов мочевой кислоты.
Суточный анализ
Урину на исследование сдают для того, чтобы выявить:
- начало развития мочекаменной патологии;
- степень поражения органа;
- успешность проведения назначенной терапии.
Анализ крови
Незначительное количество лейкоцитов может свидетельствовать об эпизоде почечной колики, если же лейкоцитоз выраженный, значит в организме протекает инфекционно-воспалительное осложнение. Также анализ крови покажет уровень электролитов, мочевины и гормонов щитовидной железы, что важно для постановки точного диагноза.
Инструментальные методы
УЗИ-диагностирование
Конкременты в органах хорошо визуализируются на УЗИ.
Ультразвуковая диагностика мочекаменной болезни поможет определить:
- место расположения, количество и размеры конкремента;
- степень отечности паренхимы;
- распространенность воспаления.
КТ и МРТ-обследование
Если по каким-либо причинам камни в почках на УЗИ не удалось рассмотреть детально, особенно если они локализованы в мочеточнике, назначают КТ или МРТ почек.
Во время диагностирования на мониторе видно изображение органа в формате 3D, благодаря чему врач видит любые патологические изменения.
Зачастую МРТ или КТ почек назначают перед операцией, когда важно определить размер конкремента, его место расположения и состав. Мелкие камни на МРТ не визуализируются.
Обзорный рентген
Этот доступный, недорогой и информативный вид диагностирования часто назначается при подозрении на мочекаменную патологию.
При рентгенологическом исследовании применяется контраст, благодаря которому на снимке четко видны конкременты. Еще удается предположительно определить химический состав камня.
Поскольку маленькие камни в почках на МРТ не видны, то анализ конкрементов на рентгене дает возможность подобрать адекватную схему терапии, так как врач увидит:
- место расположения конкремента;
- точный размер;
- форму.
Радионуклидная диагностика
Такое обследование позволяет выявить качество работы почек.
Этот вид диагностирования является распространенным. Благодаря ему можно определить степень функционирования почек, насколько орган поражен конкрементами, а также какова его секреторная и эвакуаторная способность. Эти данные помогут подобрать оптимальную схему терапии и определиться с курсом лечения.
Внутривенная пиелография
До того как стали применять МРТ и КТ при камнях в почках, самым информативным способом диагностирования мочекаменной патологии считалась именно эта диагностическая процедура.
Перед обследованием человеку в вену вводится контрастное вещество, которое распределяется в парном органе. После необходимо сделать серию снимков, на которых видно положение конкрементов, и работа почек.
Внутривенная пиелография поможет оценить работу парного органа, и определить место локализации камней, что немаловажно перед назначением терапии.
Дифференциальный анализ
При поступлении в больницу с приступом почечной колики, врачи не всегда могут сразу поставить точный диагноз. Поэтому чтобы лечение было правильным, проводится дифференциальная диагностика, благодаря которой удастся исключить такие опасные болезни:
- аппендицит;
- холецистит;
- панкреатит.
Другие, не менее опасные патологии, такие как заболевания органов брюшной полости и позвоночного столба, характеризуются симптомами, похожими на мочекаменную патологию. Однако тщательное лабораторное диагностирование, анализ камней, УЗИ почек, рентгенография, МРТ или КТ помогут в короткие сроки установить правильный диагноз, что крайне важно для подбора адекватной схемы терапии.
Источник: http://ProUrinu.ru/izlechenie/dop/kak-opredelit-kamni-v-pochkah.html
МРТ мочеточников что показывает Источник: https://mrtdon.ru/mrt/info/mrt-mochetochnikov/
Поделиться: