КТ, МРТ или УЗИ почек что лучше

Почки – это парный орган, который является природным фильтром в организме. Основная задача почек – очищение кровеносной системы и всех жидкостей организма от ядовитых веществ, которые впоследствии выводятся через мочевыводящий проток.
Кроме того, почки выполняют метаболическую функцию, активно участвуют в кроветворении и поддерживают состояние гормонального фона человека. На этом перечень почечных функций не окончен, так как известно, что в организме работа всех систем взаимосвязана.
Когда почки пребывают в здоровом состоянии, нарушения отсутствуют, но иногда работа органа дает сбой, о котором можно узнать с помощью диагностических методов — КТ, УЗИ и МРТ почек».
Для чего проводится УЗИ, КТ и МРТ почек?
Болезни почечных органов отличаются своим разнообразием, но их признаки часто совпадают между собой, что увеличивает риск установления ложного диагноза.
При обращении к урологу, пациент проходит необходимое обследование в виде сдачи анализа и визуального осмотра врачом, после чего доктор в качестве диагностики всегда назначает исследование УЗИ.
Иногда УЗИ проводится наряду с МРТ почки, так как результат первого исследования может оказаться не достаточно информативным.
Стоит назвать самые известные почечные патологии:
- Цистит. Заболевание характеризуется воспалительным процессом слизистой оболочки мочевого пузыря. Главной причиной цистита является инфицирование: инфекция попадает через мочевыводящий путь (из уретры), из почек или из кишечника, после чего попадает в полость мочевого пузыря. Статистика показывает, что заболеванию подвержена женская половина населения, у мужчин цистит встречается в качестве исключения. Это обусловлено тем, что мочевыводящий путь у мужчин достаточно узок, поэтому инфекции сложно попасть через уретральный канал.
- Пиелонефрит. При пиелонефрите воспаляются почки, сопровождаясь поражением чашечно-лоханочной системы и паренхимы. Основной путь заражения – попадание патогенных микроорганизмов через мочевыводящий путь к почкам. Зачастую от пиелонефрита страдают женщины, так как широта уретрального канала и близость расположения половых органов к прямой кишке обеспечивают беспрепятственный путь для перемещения кишечной палочки. Иногда болезнь провоцируют энтерококки и стафилококки, но примерно в 20 % случаев – смешанные вирусы.
- Мочекаменная болезнь. Патология заключается в образовании конкрементов в органах мочевыделительной системы. Заболевание во многих случаях обосновано наследственностью, но к его возникновению нередко приводят факторы нездорового питания и малоподвижного образа жизни. Вначале образуется песок, который может иметь разный состав, после чего из песчинок формируются камни. Инородные конкременты могут образоваться в почках и в мочевом пузыре, и при их малом размере есть шанс самостоятельного выхода камня через мочевыводящий путь. Однако размер конкрементов, плотность и форма бывает разной. Нередко острые и большие камни, проходя через мочевыводящий проток, травмируют его стенки.
Как уже сказано выше, почечных заболеваний множество, симптоматика которых практически идентична. Таким образом, навестить врача и всерьез задуматься об обследовании рекомендуется при таких проявлениях:
- отечность лица и конечностей в утреннее время (регулярно);
- сухость, бледность или пожелтение кожных покровов;
- боль в поясничной области различного характера;
- не покидающее чувство слабости;
- необоснованная утомляемость;
- стойкие повышенные показатели температуры тела;
- изменения запаха и цвета мочевой жидкости;
- нарушения мочеиспускательного процесса
Примечательно, что точную причину вышеизложенных признаков можно выявить лишь при обследовании в медицинском учреждении. В качестве диагностики врач может назначить:
- общий анализ крови;
- общий анализ мочи;
- УЗИ;
- КТ;
- МРТ;
- анализ мочи по Нечипоренко;
- анализ мочи по Зимницкому;
Зачастую исследования методикой УЗИ достаточно, однако УЗИ не всегда бывает полностью информативным, в результате чего, для подтверждения диагноза назначается исследование почек с использованием КТ и МРТ.
Диагностические методы исследования
Прежде чем выбирать, что лучше: УЗИ почек или МРТ, следует подробнее узнать о каждой методике. Возможно, в определенном случае пойдет больше КТ.
УЗИ – ультразвуковое исследование, принцип которого позволяет выявить патологию или же ее отсутствие, а также – визуально определить строение органов, их расположение и наличие в должном количестве.
К примеру, функциональность и работоспособность почек может быть снижена, что исследование УЗИ не покажет. Таким образом, не совсем правильно выбирать, какое исследование лучше УЗИ почек или МРТ, так как МРТ – более информативный метод обследования.
Кт или мрт почек что лучше выбрать?
Предупреждая вопросы многих пациентов о том, что лучше – МРТ или КТ почек, нужно отметить, что оба метода исследования различны по показаниям. Единственное сходство – глубокое сканирование, в результате чего появляются изображения объектов обследования на экране.
Принцип работы томографов
Диагностика некоторых сложных заболеваний требует прохождения исследования в комплексе: УЗИ, КТ и МРТ. В таких случаях не стоит выбор что лучше – для установки правильного диагноза нужно собрать максимум информации о патологии. Остальные же случаи требуют выбора – между КТ или МРТ почки, но вначале нужно разобраться в двух разных методиках и их предназначении.
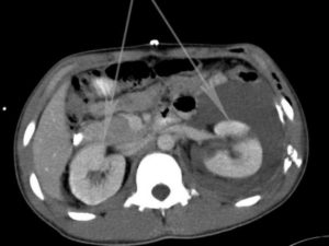
Компьютерная томография почек
КТ – компьютерная томография, принцип которой схож с рентгеновским аппаратом. В ходе обследования проводится сканирование органа с применением рентгеновских лучей, после чего результаты появляются на экране монитора.
Примечательно, что на обработку данных в компьютерной базе уходит значительно больше времени, нежели на саму процедуру, длительность которой равна 1 минуте.
Непосредственно перед процедурой, пациент должен воздержаться от приема пищи за 3-4 часа до диагностирования.
Показания к компьютерной томографии:
- наличие повреждений и травм парного органа;
- послеоперационное обследование;
- контроль трансплантации почки;
- врожденная аномалия почечных органов;
- деформированы надпочечники или мочевыводящий проток;
- наличие раковых опухолей на органе;
- прогрессирующий гидронефроз
Противопоказания к компьютерной томографии:
- период беременности и лактации;
- индивидуальная непереносимость контрастного вещества;
- наличие заболеваний эндокринной системы;
- наличие миеломы;
- наличие сахарного диабета;
- чрезмерная масса тела пациента (более 120 кг)
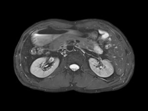
Магнитно-резонансная томография почек
МРТ – магнитно-резонансная томография, суть проведения которой заключается в сканировании, с помощью сильного магнитного поля. Исследование способом МРТ позволяет считать всю характеристику объекта в деталях. При этом, длительность процедуры в среднем составляет 30-40 мин.
Показания к МРТ:
- отслеживание функции и работоспособности органа;
- выявление границ между мозговым и корковым веществом;
- процедура обследования на наличие аномалий развития;
- выявление месторасположения парных органов;
- выявление пораженных сосудистых участков;
- контроль кровоснабжения;
- выявление заболеваний инфекционного и вирусного характера;
- выявление новообразований доброкачественного и злокачественного вида;
- процедура обследования на наличие каменных конкрементов в почках (в т. ч обследуется мочевой пузырь и мочевыводящий проток);
- проверка: как функционируют мочеточники и мочевыводящий проток
Противопоказания к МРТ:
- клаустрофобия пациента (больной боится замкнутого пространства);
- наличие протезов металлического состава;
- наличие у пациента психических расстройств (в т. ч. эпилепсия);
Подготовка к МРТ:
- на МРТ почек пациент должен быть одет в одежду из натуральных тканей, с отсутствием металлических предметов;
- перед процедурой МРТ пациент должен снять все украшения, выложить часы, гаджеты и остальные лишние предметы;
- в ходе процедуры МРТ необходимо полностью расслабиться и постараться не двигаться
Техника проведения КТ и МРТ практически одинакова: пациент ложится на стол, размещенный под сканирующим аппаратом, после чего возникает детальная картина объекта обследования.
Отличия заключаются в следующем:
- при КТ пациент проходит сквозь кольцо, оснащенное рентгеновской трубкой;
- при МРТ больной полностью помещается в сканирующую трубу (если исследуются почки и мочевыводящий путь)
Стоит отметить, что КТ, ввиду применения рентгеновских лучей, имеет противопоказания, а количество процедур – строго ограничено.
Поэтому, если возникает мысль: в выборе между КТ или МРТ почек, то в плане безопасности лидирует МРТ. Методика МРТ показана к проведению практически для всех, даже для женщин в период беременности и лактации. Однако МРТ имеет характерный минус – нахождение пациента в закрытом пространстве.
Таким образом, если больной страдает от клаустрофобии, то МРТ противопоказано.
Подводя итоги, можно смело заявить: МРТ – самый информативный метод диагностики. Однако для точности результатов необходимо соблюдать все рекомендации лечащего врача.
При отсутствии серьезных почечных заболеваний, отвечая на вопрос: «что лучше УЗИ почки или МРТ?», следует отдать должное ультразвуковому исследованию, так как метод не имеет противопоказаний.
В остальном нужно руководствоваться мнением специалиста.
Источник: http://allmedicinfo.ru/mrt-bryushnoy-polosti/mrt-pochek/kt-ili-mrt-pochek-chto-luchshe.html
Что лучше: КТ или МРТ почек, разберем в данной статье

При заболеваниях мочевыделительной системы происходит ухудшение самочувствия, организм больного страдает от переизбытка токсинов.
Качественная диагностика помогает сократить время на постановку правильного диагноза и подбор эффективного лечения. Пациенту сложно понять, что лучше использовать для обследования, выбирая между МРТ или КТ почек.
Методы кардинально различаются принципом действия и противопоказаниями, используются при разных заболеваниях и патологиях.
Как работают томографы
Новые методы компьютерной диагностики все чаще применяются при лечении заболеваний внутренних органов.
По степени информативности МРТ или КТ сканирование почек значительно опережает стандартные обследования с помощью УЗИ, показывая любые аномалии развития, патологии и воспалительные очаги. Внешне аппараты для томографии выглядят идентично, но в основе положен разный вид излучения.
Наиболее известным способом диагностики является КТ или компьютерная томография. Она разработана на основе рентгеновского излучения, которое давно и широко применяется в медицине. Томограф представляет собой огромный аппарат, производящий лучи рентгена высокой мощности.
С помощью специальных датчиков они веерообразно проецируются на участки тела, требующие изучения и обследования. Они хорошо просвечивают плотные ткани, кость, хрящевые соединения и суставы.
Она безопасна для человека, не вызывает структурные изменения тканей, поэтому список противопоказаний относительно небольшой. С помощью МРТ можно одновременно просканировать разные органы, отследить причину воспаления или поражения мочевыделительной системы. Отсутствие боли или неприятных последствий при уникальном качестве также считается преимуществом способа диагностики.
Нужна ли подготовка к обследованиям
При многих заболеваниях почек категорически противопоказано использование контрастного вещества. Этот препарат на основе йода или частичек металла гадолиния распределяется по кровеносной системе и постепенно выводится выделительной системой человека. Поэтому создается дополнительная нагрузка, повышается артериальное давление, возникает риск обострения почечной недостаточности.
Без применения контрастного вещества подготовка к обследованию любым способом не требуется. Больному необходимо только приготовить комплект одежды и направление с указанием предполагаемого диагноза. Если необходимо отследить заболевание почек в динамике, следует передать врачу-диагносту результаты прошлых процедур КТ или МРТ.
Если заболевание связано с необходимостью диагностики опухоли, при отсутствии противопоказаний применяется контрастное вещество.
У некоторых пациентов оно вызывает дискомфорт и тошноту, поэтому перед процедурой рекомендуется за 6 часов воздержаться от еды, не пить воду или чай.
Так неприятные ощущения наблюдаются только в первые секунды после введения средства и быстро исчезают без последствий для здоровья.
Для части больных прохождение МРТ становится неприятным испытанием. При работе томографа магнитные катушки издают резкие стуки и гул, что нервирует и мешает расслабиться. В этом случае рекомендуется обсудить возможность приема успокоительного препарата.: Общая информация разницы в диагностике кт и мрт объясняет врач-рентгенолог Петровская Наталья Игоревна.
Ключевое отличие в принципе действия
Главное отличие, которое влияет на выбор метода при обследовании почек, – особенности диагностики и принцип воздействия на организм больного:
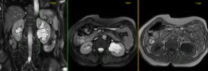
- МРТ соединяет свойства электромагнитного поля. Оно передает информацию в виде высокочастотных импульсов, которые компьютер считывает в виде четких срезов толщиной не более 1–2 мм. Последние модели сканеров формируют трехмерное изображение почки с прилегающими кровеносными сосудами, что необходимо при сложных операциях, трансплантации.
Диагностические достоинства и недостатки методов обследования почек
При заболеваниях почек КТ и МРТ часто становятся решающей диагностической процедурой. Они проводятся после первичных анализов и УЗИ, помогая поставить правильный диагноз.
С их помощью врач отслеживает нарушение кровообращения, закупоренные камнями протоки, анализирует состояние тканей органа.
Но каждый способ имеет положительные и отрицательные моменты, требующие индивидуального подхода при выборе.
Когда назначают МРТ
Разбирая перечисленные методы диагностики, что лучше КТ или МРТ, выбирает врач. Применение магнитного резонанса имеет следующие показания:
- при жалобах на сильные боли в пояснице;
- при сильных отеках конечностей и лица;
- подозрение на камни в почке;
- кисты и фибромы;
- аномальное строение органа;
- нарушение функций на фоне отравления солями металлов;
- инфекционные очаги;
- поликистоз;
- некроз тканей почек и надпочечников.
Многие заболевания сложно диагностировать на УЗИ, но они осложняют состояние пациента повышением артериального давления. Благодаря МРТ у хирурга появляется возможность тщательной подготовки к операции по удалению новообразований, пересадке почки.
Преимущества магнитного резонанса
Среди положительных моментов в проведении МРТ почек:
- отсутствие опасной нагрузки на ткани и органы;
- трехмерное построение почки и реконструкция опухоли;
- низкий риск побочных эффектов при контрастировании;
- отсутствие болезненных ощущений;
- высокая информативность и получение результата в течение сканирования.
Несмотря на стоимость, многие врачи предпочитают МРТ другим методам диагностики за точность поставленного диагноза и качественные срезы.
Недостатки МРТ
При всех достоинствах МРТ почек существует ряд недостатков. Их важно учитывать при назначении обследования этим способом:
- Больному следует сохранять неподвижность, чтобы срезы получились качественными и четкими.
- Невозможность применения контрастного препарата при многих заболеваниях мочевыделительной системы.
- Пониженная визуализация твердых структур (камней, кальцинатов после метастазирования).
Если боль в пояснице и почках связана с травмой позвоночника, лучше применять КТ. Следует помнить, что МРТ предназначено для обследования мягких тканей и органов, содержащих жидкость.
Что видно на снимках МРТ
При почечной недостаточности МРТ почек лучше показывает причину дисфункции органа. На срезах хорошо просматриваются:
- патологические очаги в лоханке и надпочечниках;
- некроз ткани при гибели канальцев;
- негативные изменения в структуре органа;
- размер новообразования;
- недостаточность кровообращения и выделения мочи.
- Опытный диагност по снимкам определяет виды и характер образований, обнаруживает метастазы, устанавливает стадию онкологии.
Когда врачи предпочитают КТ
Компьютерная томография лучше МРТ почек при следующих проблемах:
- тяжелые травмы зоны поясницы или живота;
- аномалии развития почек или мочевыделительной системы;
- подозрение на онкологические образования;
- необходимость обследования перед удалением камней;
- оценка состояния почечной лоханки;
- гнойные процессы.
При заболеваниях почек КТ лучше применять с контрастированием. Это позволяет отследить выделение жидкости и состояние крупных вен, питающих почку.
Что выявляет компьютерная томография
С помощью КТ диагностируются многие патологии почек:
- поликистоз;
- обструкция;
- онкологические новообразования;
- доброкачественные разрастания тканей;
- кровотечения;
- патологии надпочечников;
- закупорка мочевыводящих протоков.
КТ лучше отслеживает местоположение твердых камней. Если пациент находится в тяжелом состоянии, практически всегда врач решает вопрос о проведении томографии.
Общие и индивидуальные противопоказания
Существует ряд пациентов, которым противопоказаны оба метода обследования:
- беременные женщины на ранних сроках (при КТ запрещается сканирование во время всего периода вынашивания малыша);
- когда у пациента возможны приступы клаустрофобии (аппараты имеют закрытую форму);
- если есть индивидуальная непереносимость контрастного вещества;
- при невменяемом состоянии больного (наркотическое или алкогольное опьянение, панические атаки, обострение психических заболеваний).
Многие противопоказания кроются в принципе действия томографов. К примеру, рентгеновское излучение при КТ не рекомендуется при следующих особенностях:
- возраст пациента младше 12–14 лет;
- сахарный диабет;
- аллергия на йод;
- кормление ребенка грудью.
Магнитно-резонансное сканирование не допускается при следующих противопоказаниях:
- вес больного свыше 120 кг;
- наличие вживленного кардиостимулятора, нейростимулятора, инсулиновой помпы или слухового аппарата;
- установленные имплантаты из металла;
- инородные тела из металлических сплавов (пулевые осколки, скобы, штифты).
Сравнение стоимости диагностики
МРТ и КТ являются дорогими диагностическими методиками. Но цена во многих случаях оправдана результатом, быстрым получением диагноза. На окончательную стоимость влияет статус и уровень медицинского центра, квалификационные навыки врачей-диагностов, модель и мощность томографа.
КТ почек
В большинстве случаев КТ почек проводится с добавлением контрастного вещества. Это влияет на цену и составляет от 4500 до 5500 рублей. При стандартном сканировании без контраста больному чаще называется стоимость от 2500 до 3500 рублей.
МРТ почек
Многие клиники используют современные аппараты МРТ, которые отличаются высокой мощностью более 1 Тесла. Без применения контрастного препарата обследование почек и мочевыделительной системы оценивается в 3500-5000 рублей. При ангиографическом сканировании цена возрастает до 6000–7000 рублей.
Что лучше: КТ или МРТ почек, разберем в данной статье Ссылка на основную публикацию
Источник: https://mrtdom.ru/diagnostika-mrt/mrt-bryushnoj-polosti/chto-luchshe-kt-ili-mrt-pochek
Что лучше КТ или МРТ почек

КТ и МРТ почек — это высокоточные визуализационные методы исследования. КТ почек — это рентгенологический метод исследования, методика которого базируется на возможности объемной визуализации тканей и проектировании данных на экран компьютера. КТ почек бывает без использования контраста и с использованием йодсодержащего контраста для лучшей визуализации сосудов и тканей.
МРТ почек — это визуализационный метод исследования, который базируется на использовании магнитных полей высокой, средней и низкой напряженности.
Чем отличается КТ от МРТ почек?
Отличия КТ и МРТ почек заключаются в разнице их физической природы, от которой зависит степень визуализации той или иной ткани.
К примеру, КТ почек позволяет визуализировать кальцинаты и солевые отложения, что делает этот метод более подходящим для диагностики мочекаменной болезни и камней в почках.
Кроме этого, КТ хорошо подходит для диагностики опухолевых процессов в почках, метастазов в регионарных лимфоузлах и близлежащих органах. МРТ, в свою очередь, позволяет различить разные ткани органа (корковый и мозговой слои), что связано с разной восприимчивостью тканей к магнитным волнам.
КТ и МРТ почек — высокоточные методы визуализации верхних мочевыводящих путей, с помощью которых можно диагностировать большинство изменений в структуре почки. Для выбора метода следует учесть ряд показаний и противопоказаний.
КТ и МРТ не являются скрининговыми методами диагностики, и чаще всего назначаются только после УЗИ и лабораторных методов обследования. Решение о проведении КТ и МРТ нужно принимать после консультации с лечащим врачом.
Кт или мрт почек: что лучше в диагностике патологии почек?
КТ и МРТ являются равноценными высокоточными методами исследования, поэтому выбор зависит от медицинских показаний.
Учитывая физическое действие компьютерного томографа основными показаниями для проведения данного медицинского обследования есть:
- подозрение на травматическое поражение почек;
- хроническая инфекция почек и верхних мочевыводящих путей;
- врожденные аномалии;
- подозрение на наличие камней в почках;
- подозрение на наличие новообразования.
Явным преимуществом КТ перед МРТ будет быстрота поведения – около 5-10 минут, в то время как процедура МРТ почек занимает 30-40 минут.
Еще одним плюсом процедуры КТ является хорошая визуализация отложений солей и камней в почках, в то время, как процедура МРТ не имеет такого диагностического функционала. КТ, в отличие от МРТ, не противопоказан людям с кардиостимуляторами, стентами и клипсами в сосудах, имплантами, и не требует снятия всех металлических предметов перед процедурой.
Основные показания к проведению МРТ:
- диагностика и динамическое наблюдение за кистами почек;
- подозрения на наличие новообразований;
- поражение почечных сосудов (МРТ с контрастированием– МРТ-ангиография);
- диагностика врожденных аномалий развития почек;
- подозрение на абсцесс почки.
Основное преимущество МРТ перед КТ — отсутствие рентгеновского излучения при проведении процедуры.
Это надо учитывать, если стоит выбор между КТ и МРТ у пациентов, которые часто поддавались действию ионизирующего излучения (рентгенография, флюорография, КТ) на протяжении короткого периода времени незадолго до этого.
МРТ, в сравнении с КТ, имеет лучшую визуализационную способность, поэтому для большинства болезней почек контрастирование не требуется, в то самое время как для лучшей визуализации при проведении КТ целесообразно ввести контрастное вещество.
Какие существуют противопоказания к КТ и МРТ почек?
Противопоказания к КТ почек:
- беременность — излучение негативно влияет на развитие плода, кроме того категорически запрещено использование контрастного вещества, из-за его свойства проходить через гематоплацентарный барьер;
- аллергия на йод при проведении КТ с контрастом;
- почечная недостаточность при проведении КТ с контрастом;
- диабетическая нефропатия при проведении КТ с контрастом;
- вес обследуемого больше 120 кг — в таком случае нужно проводить КТ в специально приспособленном аппарате с открытым верхом;
- возраст пациента до 14 лет.
Противопоказания к МРТ почек:
- наличие у пациента кардиостимулятора, металлических, имплантов, стентов и клипс на сосудах;
- первый триместр беременности;
- эпилепсия;
- наличие аллергии на йод при проведении МРТ с контрастированием.
Выбор метода диагностики — это сложный вопрос, он требует участия лечащего врача, который, учитывая вышеописанные показания и противопоказания к КТ И МРТ почек, поможет назначить план обследования болезни.
Количество прочтений: 1218 20.11.2017
Источник: https://urolog-msk.ru/info/articles/kt-ili-mrt-pochek-chto-luchshe/
Что выбрать при исследовании почек — КТ или МРТ

Компьютерная томография (КТ) и магнитно-резонансная томография (МРТ) — два самых высокотехнологичных и точных методов диагностики. Но их объединяет только одно обстоятельство.
Суть обоих методов заключается в послойном сканировании организма. В результате чего получаются томограммы (отсюда название методик).
После чего они обрабатываются компьютером, который формирует из них 3D-модель того или иного участка организма.
Различия заключаются в методике создания томограмм:
- При КТ, они формируются путём пропускания через организм рентгеновских лучей. Благодаря конструкции аппарата обеспечивается циркулярный ход. Поэтому лучи сканируют тело со всех сторон, что помогает компьютеру создавать объёмную модель.
- В магнитно-резонансных томографах послойные срезы организма формируются за счёт магнитного поля. Оно приводит к выстраиванию атомных ядер в том или ином направлении вдоль магнитных лучей. Компьютер обрабатывает полученную информацию и формирует изображение томограммы организма.
Есть ли необходимость подготовки к обследованиям
Вопрос о предварительной подготовки зависит от цели исследования. В одних случаях она необходима, в других — нет.
При томографии брюшной полости (особенно при исследовании почек или на предмет выявления патологий желудочно-кишечного тракта) рекомендуется накануне воздержаться от продуктов, приводящих к повышенному газообразованию.
Специальная подготовка обязательна при использовании контрастных веществ:
- За 2 дня исключить употребление бобовых и растительной клетчатки. Не принимать алкоголь.
- За 1 день до процедуры нельзя принимать молоко и кисломолочные продукты.
- Последний приём пищи (в виде лёгкого перекуса) обязателен за 6 часов до исследования.
- При томографии почек и мочевого пузыря требуется его неполное наполнение. Поэтому за 30 минут до процедуры требуется сходить в туалет и выпить 250-400 мл воды.
Основные направления
Оба метода противопоказаны при судорожном синдроме, психических отклонениях, при нестабильном и тяжёлом состоянии человека.
Если используется контрастное вещество, томография не проводится при наличии аллергических реакций у данного пациента. Кроме вышеуказанного каждый метод имеет противопоказания.
Компьютерная томография не проводится:
- беременным;
- в возрасте до 14 лет;
- при декомпенсации сахарного диабета;
- при заболевании крови (только при использовании контрастных веществ).
Магнитно-резонансная томография противопоказана:
- в первые 3 месяца беременности;
- при наличии металлических конструкций и электронных приборов (кардиостимуляторы, импланты);
- при клаустрофобии.
Кратко о МРТ почек
Бесконтрастная магнитно-резонансная томография проводится без всякой подготовки.
Рекомендовано только не пользоваться косметикой и приносить с собой украшения.
Пациенту требуется прибыть в назначенное время (лучше минут за 20) с необходимыми документами.
Врачу, проводящему исследование, требуется обязательно сообщить о хронических заболеваниях, наличии или отсутствии имплантов, подобных им конструкций.
Пациент ложится на спину и его помещают в сканирующую трубку. Здесь требуется лежать неподвижно на протяжении исследования.
Если подразумевается введение контрастного вещества, пациента подготавливают. За час рекомендовано выпить 1 литр чистой воды. За 10 минут внутривенно вводится контраст.
Оба метода помогают с высокой точностью выявить даже малейшие отклонения в строении организма.
Но за счёт отличий принципов работы они обладают разной информативностью в отношении тканей.
Магнитно-резонансная томография лучше визуализирует мягкие ткани: мышцы, мозг, печень.
КТ за счёт рентгеновских лучей лучше визуализирует плотные ткани: кости, камни в почках.
К тому же при компьютерной томографии хорошо различимы участки в мягких тканях с разными плотностями.
Касаемо безопасности метода, то здесь магнитно-резонансная томография стоит выше, чем компьютерная. Для определения дозы воспользуйтесь «Дозиметром».
Она не несёт лучевой нагрузки. Компьютерная томография основана на воздействии рентгеновского облучения, и нежелательное действие надо учитывать.
По этой причине, вопрос о том, делать КТ или МРТ почек зависит от характера предполагаемой патологии и тактики лечения.
Средние цены на процедуры диагностики
Стоимость обоих методов превышает несколько тысяч рублей. Это связано с их технологичностью, ценой расходных материалов и работой врачей.
Средняя цена на компьютерную томографию составляет 2500-3500 рублей за отдел тела.
Если же метод проводится с контрастированием, стоимость увеличивается на 2000-2500 рублей.
Магнитно-резонансная томография стоит дороже. Без контраста цена составляет 3000-4000 рублей. С контрастом стоимость процедуры доходит до 5000-7000 рублей.
Методы диагностики сравнимы по результатам информативности. Они отличаются в способе создания срезов организма. Отсюда имеют различные показания и противопоказания. Отличаются и области их применения.
Окончательное решение о проведении того или иного метода при различных противопоказаниях и показаниях принимает врач.
Оценивая риски и пользу от исследования, он выбирает какой метод лучше для данного пациента.
Источник: https://osnimke.ru/bryushnaya-polost/kt-mrt-pochek.html
Узнайте, какой метод исследования почек подходит именно вам

21.11.2017
Магнитно-резонансную и компьютерную томографию относят к высокотехнологичным, дорогостоящим исследовательским методам.
Только лечащий врач может правильно подобрать метод исследования почек, учитывая цель проводимой диагностики, и решить, что лучше подойдет в конкретной ситуации: КТ или МРТ.
Рассмотрим более детально, в каких случаях нужно проходить КТ, а когда необходимо провести МРТ почек.
Коротко о функциях почек
Входящие в состав мочеполовой системы почки являются парным органом и выполняют следующие функции:
- выделительная;
- концентрационная;
- кроветворящая;
- метаболическая;
- эндокринная;
- ионорегулирующая;
- осморегулирующая.
Почки выводят из организма вредные и токсичные вещества (например многие лекарства или алкоголь), избыток органических и неорганических соединений, принимают участие в обмене углеводов и белков, в образовании биологически активных веществ: ренина, эритропоэтина, которые регулируют кровяное давление и скорость образования эритроцитов.
Ключевое отличие — в принципе действия
Основным отличием в проведении сканирования (компьютерного и магнитно-резонансного) является принцип действия используемых томографов:
- При проведении магнитно-резонансной томографии применяются свойства магнитного поля и радиочастотных импульсов. При этом получаются 3D изображения исследуемого органа, которые показывают наличие патологии и ее локализацию.
- Компьютерная томография проводится благодаря сочетанию принципа диагностики лучевого типа (рентгеновское излучение) с современными компьютерными технологиями. В результате получают послойное изображение органа во множестве срезов.
Применение контрастного усиления
Если речь идет о диагностике онкологических патологий в надпочечных структурах и непосредственно почках, более целесообразно проводить МРТ почек с контрастом.
Контрастная жидкость — это препарат на основе солей гадолиния с металлическим серебристым оттенком и мягкой текстурой. Вещество нетоксично и безопасно для человека, хорошо выводится из организма естественным путем.
Принцип работы жидкости основан на усилении магнитного сигнала за счет скопления в исследуемых тканях.
В редких случаях у пациента может быть непереносимость контрастного препарата, это необходимо учитывать при назначении процедуры.
Что видно на МРТ-снимках
- наличие/отсутствие патологии органа;
- размер почек, состояние сосудов (наличие застойных процессов);
- наличие опухоли;
- наличие изменений в структуре тканей;
- степень функционирования органа, наличие патологии сосудов, почечной недостаточности, патологических процессов.
Сравним стоимость диагностики
Стоимость проведения такой процедуры, как МРТ составляет около 7 – 8 тысяч рублей. Компьютерная томография считается более дешевым способом обследования почек. Цена этого метода варьируется в пределах 3 – 5 тысяч рублей. На стоимость процедуры влияют такие факторы как: рейтинг диагностического центра, используемая аппаратура, применение контраста, квалификация специалиста.
Заключение
Решает, что лучше для обследования почек, конечно, лечащий врач. Первичным методом диагностики является УЗИ, которое предоставляет данные для оценки размера органа, структуры паренхимы, состояния паранефральной клетчатки.
Оценить и детализировать распространенность воспалительного изменения, уточнить диагноз помогает КТ. Если у врача остаются какие-либо сомнения, он направляет пациента на МРТ. Этот метод обследования точно дифференцирует болезни почек и нарушения мочеполовой системы.
Узнайте, какой метод исследования почек подходит именно вам Ссылка на основную публикацию
Источник: https://diagme.ru/mrt/bryushnaya-i-grudnaya-polost/kt-ili-mrt-pochek
Поделиться: