Уплотнение ЧЛС обеих почек и что это такое: структура синусов

Любые изменения структуры тканей внутренних органов требует тщательного исследования на предмет патологии. Как правило, подобные состояния диагностируются современными инструментальными методами.
Например, при помощи ультразвукового исследования можно выявить уплотнение почек.
В нашей статье мы рассмотрим этот вопрос глубже, а в частности уплотнение в почке, что это такое и какие заболевания могут вызывать подобную аномалию.
Что представляет собой уплотнение в почке?
Структурные аномалии этих органов, такие как уплотнение почек, выявляются на УЗИ
Почки – уникальный фильтрующий парный орган человеческого организма, способный за пять минут полностью пропустить через себя весь объем крови человека.
Строение почки представлено чашечно-лоханочной системой (ЧЛС), в которой и происходит процесс накопления мочи, которая затем направляется в нижние мочевыделительные отделы системы. Синус почки является «воротами» в процессе образования урины. Мозговой и корковый слой почки составляют почечную паренхиму, эти слои пронизаны сосудами и нефронами.
Сложная структура данных органов, а в частности ЧЛС обеих почек, образует и выводит мочу дальше в мочеточники.
Уплотнение — это естественная реакция на воспаление. Уплотнение проявляется в ходе ультразвуковой диагностики, как зона с повышенной эхогенностью, что отличается от волновых характеристик других участков почки.
Чашечно — лоханочная система – зона, где наиболее часто диагностируется аномальное уплотнение, реже поражается почечный синус.
Также УЗИ устанавливает площадь, локализацию, степень неоднородности тканей и контуры уплотнения, а также другие возможные деформационные изменения.
Обратите внимание! УЗИ устанавливает факт уплотнения в почке и его локализацию, однако для дифференцирования и постановки точного диагноза необходимы дополнительные исследования.
Как развивается аномалия?
Воспалительная реакция, в ходе своего развития, может создавать разные степени уплотнения ткани почки
Воспалительная реакция, в ходе своего развития, может создавать разные степени уплотнения ткани почки. Существует классификация по фазам развития данной аномалии:
- Стадия повреждения (альтерации). На данном этапе поселившиеся патогенные микроорганизмы поселяются на слизистой органов, и начинается процесс выделения продуктов их жизнедеятельности и токсинов. Это может произойти как в одной почке, так и в обеих одновременно. В большинстве случаев, этот свидетельствует о неспособности иммунной системы справиться с инфекционным поражением, что приводит к массовой гибели эпителиальных клеток (что показывают анализы мочи);
- Стадия экссудации. На этом этапе в область поражения организмом направляются лейкоциты и иммунные комплексы, которые начинают процесс подавления возбудителей. В этой области усиливается кровоток, ткани отекают и уплотняются, что диагностируется на УЗИ;
- Стадия структурных изменений на клеточном уровне (пролиферация). Клетки эпителия делятся ускоренно, и воспаление прогрессирует. Паренхима значительно уплотняется с тенденцией к увеличению степени поражения, на УЗИ просматривается четкий контур уплотнения. В паренхиме начинается замещение клеток соединительной тканью, вследствие склеротического процесса (аналогично образованию шрамов на поверхности кожи после нарушения ее целостности).
Причины уплотнения
Уплотнение в почках может быть как приобретенным, так и врожденным.
Обратите внимание! Многие врожденные патологии мочевыделительной системы на сегодняшний день успешно лечатся. Это значит, что нужно обратиться за дальнейшим обследованием к лечащему врачу, который назначит адекватное, согласно состоянию пациента, лечение.
Врожденные причины
Врожденное патологическое уплотнение в органах обусловлено наличием врожденных заболеваний мочевыделительной системы
Врожденное патологическое уплотнение в органах обусловлено наличием врожденных заболеваний мочевыделительной системы, среди них можно выделить:
- Стриктуры, вследствие следующих пороков:
- пересечение почечных каналов с кровеносными сосудами, которые создают некоторую компрессию, тем самым преграждая отток мочи;
- дефективные стенки протоков, рубцы, в следствие генетической мутации или наследственной предрасположенности.
Стриктуры могут блокировать каналы, синусы и мочеточники полностью или частично;
- Гидронефроз с расширением лоханок и чашечек. Данная патология вызывает атрофию паренхимы одновременно обеих почек, и может развиться как следствие:
- стеноза пиелоуретального сегмента, вызванного давлением добавочного сосуда или порока клапанов мочеточника;
- дефекта клеток нефрона, составляющих его структуру;
- сужения просвета мочеточника;
- врожденного рефлюкса;
- Аномальное удвоение чашечно-лоханочной системы. Обычно данная патология не вызывает каких-либо серьезных изменений в функциональности почек, многие люди живут с данным дефектом не зная о нем. Встречается два варианта аномального удвоения ЧЛС:
- с одной почечной лоханкой и одной артерией;
- с одной лоханкой и двумя артериями, где выходы из аорты у сосудов разделены.
Приобретенные причины
Уплотнение чашечно-лоханочной системы почек чаще всего возникает в результате развития хронического пиелонефрита
Уплотнение чашечно-лоханочной системы почек чаще всего возникает в результате развития:
- Хронического пиелонефрита — воспалительного заболевания, которое развивается вследствие поражения бактериальной инфекцией: синегнойная и кишечная палочка, стафилококковая инфекция, энтерококки и др. Чаще всего диагностируется у женщин, что обусловлено анатомическим расположением в непосредственной близости ануса, половых органов и мочевыделительных каналов;
- Мочекаменная болезнь может стать причиной заброса мочи обратно в почки, что вызывает приобретенный нефрит и наличие уплотнения в органах;
- Кисты в паренхиме или в почечных синусах (некоторые их них могут вызывать острую почечную недостаточность);
- Опухолевые заболевания как в самих почках, так и близлежащих органах, однако не являющиеся единственной причиной, провоцирующей уплотнение в почках.
Любое уплотнение указывает на наличие реакции воспалительного характера или на ее остаточные явления.
Для полноты картины одного только наличия уплотнения недостаточно, если у пациента имеются жалобы на болевые ощущения в области почек, дискомфорт и тяжесть, нарушение процесса мочеиспускания, повышенная температура тела и другие признаки интоксикации, то необходимо срочно обратиться к лечащему врачу за дополнительным обследованием, выявляющим истинную причину нарушений, и дальнейшим лечением.
Внимание! Уплотнение в почках не является самостоятельным заболеванием, оно только указывает на имеющиеся проблемы, и обнаруживается в ходе ультразвукового исследования органов. После УЗИ нужно обязательно обратиться к своему лечащему врачу для дальнейшего обследования, диагностики и лечения.
Источник: https://LecheniePochki.ru/patologii/uplotnenie-v-pochkax-chto-eto-takoe.html
Факторы уплотнения ЧЛС обеих почек

Уплотнение ЧЛС почек – диагноз, вводящий в панику многих людей, потому что люди думают, что это разного рода онкологическое заболевание. Но как бы там ни было, не стоит отчаиваться, так как проблема может быть не такой уж и серьезной. Как правило, уплотнение ЧЛС в почках говорит о сбое работоспособности оттока мочи, что приводит к болезненному мочеиспусканию.
Причины уплотнения ЧЛС, паренхимы, структур почечных синусов
Основные причины этих патологий делятся на 2 группы: врожденные и приобретенные.
- Врожденные – удвоение ЧЛС, сжатие канала, синуса и мочепротока, рубцевание тканей мочеточника из-за пересечения его сосудами, атрофия тканей почек (в виде расширения лоханок и чашечек);
- Приобретенные – пиелонефрит (заразное заболевание, вызывающее воспаление парного органа), возвышение кисты на почечных тканях.
Важно: патологию следует лечить вовремя, иначе она может привести к летальному исходу из-за развития почечной недостаточности.
Выделяют 3 основных стадии развития воспаления в ЧЛС:
- альтерация: первый уровень воспаления, при котором возникают дефекты в эпителии слизистой оболочки. По причине попадания в нее микробов и невозможности организма защитить себя от этой среды;
- экссудация: второй уровень развития патологии. Стенки ЧЛС отекают по причине прилива крови и видны первые сжатия;
- пролиферация: третий уровень. Уплотнения чашечно-лоханочной системы становятся сильнее в связи с замещением отмерших клеток.
Лечение при уплотнениях в почках
Уплотнение ЧЛС одной или двух почек сложно назвать диагнозом, так как это лишь патология воспаления почек. Главное не пугаться, потому что это не тяжелое заболевание, которое сложно побороть.
Чаще всего, уплотнение ЧЛС обеих почек лечится антибактериальной терапией, потому что данный вердикт врача в большинстве случаев вызван пиелонефритом (воспалительным заболеванием почек). И уже следующее УЗИ не покажет никаких воспалений.
Бывает, что у пациента обнаруживают камни в почках – в этом случае лечение проводиться с помощью хирургического вмешательства, после которого человек полностью выходит на поправку. Также известны случаи, когда уплотнение синусов почек имеет злокачественную опухоль, при которой также назначается операция и курс химиотерапии.
Причинами образования злокачественных опухолей являются: влияние окружающей среды (внешних факторов), частое употребление фенацетинсодержаших анальгетиков, заболевание нефропатией, различные взаимодействия с нефтепродуктами и веществами содержащие опасные или отравляющие химические составляющие.
Важно: если во время уплотнения ЧЛС пациента тревожат и другие симптомы, следует обратиться к урологу и нефрологу для устранения деффектов.
Информативно ли УЗИ при уплотнении почек
В случае обнаружения уплотнения ЧЛС на УЗИ, то следует не мешкая приступить к рациональному лечению данной проблемы. Зачастую результаты не говорят о наличии большой проблемы, но все-таки стоит более внимательно диагностировать почечную систему, чтобы убедится в отсутствии онкологии.
Опухоль, найденная в процессе диагностирования, не всегда может быть опасной, а высококвалифицированный врач определит ваш диагноз. В случае раковой опухоли внешность тканей, которые были поражены смешанные, а если же обнаружена киста, то у нее будут более четкие края.
Результаты ультразвукового исследования организма не всегда могут показать верную картину происходящего в нашем организме, поэтому для более верной ситуации стоит пройти другие обследования. К примеру, УЗИ мочекаменной болезни далеко не всегда может дать верный результат, так как образования соли маленьких размеров УЗИ может не распознать.
Норма и отклонения при УЗИ парного органа
При диагностике на УЗИ врачи обращают внимание на следующие признаки:
- Парный или не парный орган;
- позиционирование;
- строение тканей почек;
- объемность и комплекция.
При отсутствии патологий у нормального человека есть две почки, которые располагаются возле 2 и 1 позвонков. Почки защищены жировой тканью, правая почка располагается пониже левой. Если человек двигается, то почки могут немного менять своё положение. В случае опускание одной из почек ниже нормы может начаться заболевание нефроптоз.
Источник: https://pochkam.ru/bolezni-pochek/uplotnenie-chls-obeih-pochek.html
Уплотнение ЧЛС почек

Термин «уплотнение ЧЛС почек» то и дело встречается в заключениях врачей ультразвуковой диагностики и вызывает паническую реакцию, т. к. ассоциируется с онкологической проблемой.
На самом деле все не так страшно, ведь уплотнение ЧЛС одной или обеих почек – это ультразвуковой критерий, свидетельствующий о повышении плотности ткани, которая, следовательно, хуже пропускает звуковые волны.
- Причины уплотнений. Стадии воспалений в ЧЛС
- Лечение
Причины уплотнений. Стадии воспалений в ЧЛС
Плотность стенок чашечно-лоханочной системы может увеличиваться по многим причинам, но самой распространенной из них был и остается хронический пиелонефрит.
Врач УЗИ при данном процессе, помимо уплотнения, обязательно отметит возможное уменьшение пораженной почки, неоднородность ее контуров, дилатацию и деформацию чашечек и лоханок, а также неровность краев.
Этот диагностический критерий также может появиться при мочекаменной болезни, обратном забросе мочи из мочевого пузыря, каликоэктазии и других патологиях. То есть увиденная на УЗИ картина – это не какой-то специфический признак определенного заболевания в отдельном органе.
Уплотнение может быть выявлено и в легких, и печени и других паренхиматозных органах. Оно является признаком воспаления, т. е. комплекса изменений сосудов микроциркуляторного русла (капилляров и венул), а также соединительной ткани, которое возникает в ответ на местное действие болезнетворного раздражителя.
Вообще, любое воспаление в ЧЛС, как и любой другой системе организма, можно разделить на три стадии.
- Попадая на слизистую чашечек и лоханок, патогенные агенты начинают вырабатывать токсины и продукты жизнедеятельности. Иногда активные вещества эпителия ЧЛС сами справляются с проблемой, и человек абсолютно ничего не ощущает. Если же защитные силы организма не могут противодействовать микробам, начинается первая стадия воспаления – альтерация. Она заключается в гибели эпителия слизистой оболочки и возникновения на ней дефектов.
- Вторая стадия – экссудация. Во время нее в зону поражения устремляются лейкоциты и иммуннокомплексы, которые борются с негативным воздействием микробов. За счет этого увеличивается приток крови к поврежденному участку, и стенки чашечно-лоханочной системы сильно отекают. Именно на стадии экссудации врач УЗИ сможет увидеть признаки уплотнения.
- Третья стадия – пролиферация: еще больше усиливается плотность ткани, т. к. эпителий начинает быстро делиться, разрастаясь в зоне воспаления и как бы отграничивая здоровый участок от больного. Погибшие клетки замещаются обычной соединительной тканью, и наступает склероз. Такое явление можно увидеть на коже. Это обыкновенный шрам, остающийся после повреждения покровной оболочки.
Лечение
Уплотнение ЧЛС сложно назвать диагнозом, т. к. уже стало понятно, что это признак обычного воспаления. Самое главное в данном случае не паниковать.
Так как наиболее распространенной причиной является пиелонефрит, то наверняка поможет обычная антибактериальная терапия, и уже на следующем УЗИ не будет и упоминания об уплотнении.
Однако процесс уплотнения, выявленный в обеих почках, может говорить о двустороннем инфицировании и необходимости более мощной антибактериальной терапии.
Плотность чашечно-лоханочной системы также свидетельствует о нарушенном оттоке мочи и постоянном раздражающем влиянии на слизистую оболочку данных структур.
В этом случае происходит тот же каскад реакций, но вот принципы лечения будут разительно отличаться. Обычно на том же УЗИ врач сможет увидеть препятствие, мешающее нормальному мочеиспусканию, и, как только оно будет устранено, через 1–2 недели плотность стенок ЧЛС вернется к нормальным показателям.
Следует также сказать, что уплотнение этих структур у детей первого года жизни является вариантом нормы. Здесь все зависит от профессионализма и квалифицированности врача, т. к. он должен будет правильно дифференцировать, или это транзиторное состояние, которое пройдет после года, или какой-то нераспознанный воспалительный процесс.
Таким образом, уплотнение ЧЛС не всегда патология. Но если кроме этого признака беспокоят еще и другие урологические проблемы, или на УЗИ нашли расширение и деформацию лоханок, лучше не затягивать с лечением и сразу же обратиться к урологу или нефрологу.
Источник: https://upraznenia.ru/uplotnenie-chls-pochek.html
Что такое уплотнение ЧЛС почек и почечных синусов

Уплотнение ЧЛС почек – это не самостоятельное заболевание, а только признак нездоровья. Чашечно-лоханочная система отвечает за сбор и отведение мочи в мочеточники и мочевой пузырь.
Если уплотнены элементы собирательной системы или почечный синус (внутрипочечная впадина с лоханкой и сосудами), это указывает на воспаление, опухоли, врожденные аномалии и т.д.
Для определения причины назначают УЗИ, КТ, ангиографию и другие аппаратные методики.
Как выглядит уплотнение в почках на УЗИ
Уплотнение почки – симптом, указывающий на изменения в эпителии, которым устлана внутренняя поверхность чашечно-лоханочной системы (ЧЛС).
Она представляет собой резервуар для сбора мочи, которая выводится в мочеточник через крупную лоханку в области почечного синуса.
При жалобах на тупые боли в пояснице, расстройства мочеиспускания (дизурию) врач-уролог или нефролог назначает ультразвуковое обследование органов мочевыделительной системы.
Изменение эхогенности ЧЛС указывает на их уплотнение. Если стенки собирательной системы утолщаются, интенсивность отражения ультразвуковой волны от их поверхности увеличивается. Во время обследования УЗИ-специалист обязательно заметит:
- изменение размера органа;
- неровность краев;
- неоднородность тканей ЧЛС;
- уплотнение лоханки;
- деформацию чашечек.
Почка покрыта паренхиматозной тканью, которая обладает невысокой эхогенностью. Но при опухолях или воспалении эхогенность увеличивается в разы.
Заключение УЗИ-специалиста нельзя считать диагнозом. Уплотнение ЧЛС – признак патологических изменений в почке, которые вызываются множеством причин.
Разновидности, стадии и локализация уплотнений
Если врач обнаружил уплотнение на почках на УЗИ, он назначит дополнительные обследования для выяснения причин нарушений. В зависимости от происхождения различают 2 формы патологии:
- Врожденная. Изменения в собирательной системе почки происходят еще в эмбриональном периоде на стадии формирования мочевыделительной системы будущего ребенка. К провоцирующим факторам относят внутриутробные инфекции, прием матерью нефротоксических лекарств, поздний токсикоз, радиационное облучение.
- Приобретенная. Вторичное уплотнение вызывается фоновыми заболеваниями, негативным влиянием внутренних или внешних факторов.
У 78% пациентов обнаруживаются вторичные изменения, вызванные воспалением или травмами ЧЛС. Условно их разделяют на 3 стадии:
- Альтерация. Внутрь почки проникают болезнетворные агенты – бактерии, грибки, вирусы, простейшие, которые вызывают воспаление внутренних структур. Провоцируется уролитиазом (мочекаменной болезнью), иммунодефицитами, хроническими инфекциями.
- Инфильтрация. В очаги поражения направляются клетки-защитники – макрофаги, лейкоциты. Вследствие этого эпителий собирательной системы почек отекает.
- Пролиферация. Поврежденные участки органа регенерируют, разрушенные нефроны замещаются соединительной тканью. Она обладает большой плотностью, поэтому изменения легко обнаруживаются во время УЗИ.
В зависимости от причины уплотнения локализуются в разных отделах ЧЛС:
- малых и больших чашечках;
- месте соединения чашечек;
- почечном синусе;
- лоханке.
Наибольшую опасность представляют деформации и уплотнения лоханки – воронкообразной полости, которая соединяется с мочеточником. При уменьшении ее просвета отток мочи в пузырь замедляется, что ведет к увеличению давления в органе.
Что значит такой диагноз
Уплотнение структур почки свидетельствует о структурных изменениях в эпителиальном слое ЧЛС. Они провоцируются разными причинами, которые определяют по симптоматике, данным лабораторных и аппаратных обследований.
Воспаление
В половине случаев уплотнение стенок ЧЛС вызывают воспалительные заболевания почек. При повреждении внутренних структур органа слизистая отекает, что ведет к сужению лоханок и чашечек. Воспаление возникает на фоне:
- пиелита – поражения эпителиальной прослойки почечной лоханки;
- пиелонефрита – инфекционного заболевания почек, вызванного неспецифическими бактериями;
- гломерулонефрита – иммуновоспалительной патологии с преимущественным повреждением почечных клубочков.
Уплотнение почечных синусов ведет к нарушению уродинамики – выделения мочи по органам мочевой системы. На воспаление указывают:
- уменьшение диуреза;
- мутная моча;
- боль в нижней части спины;
- лихорадка;
- отсутствие аппетита;
- частое мочеиспускание;
- чрезмерное потоотделение.
Выраженность симптоматики зависит от характера воспаления. При хроническом пиелонефрите признаки поражения почек практически отсутствуют, но при обострениях пациенты жалуются на боли в пояснице, дизурию, лихорадочное состояние.
МКБ
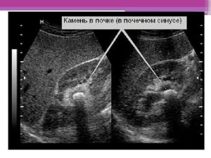
Уплотнение синусов обеих почек наблюдается при уролитиазе – урологическом заболевании, которое сопровождается камнеобразованием в органах мочевой системы. Нарушение обмена органических и минеральных веществ ведет к кристаллизации солей кислот – этандиовой, фосфорной, мочевой. В результате в ЧЛС возникают мелкие камешки.
МКБ чревата образованием крупных камней в мочевой системе. Наиболее опасны коралловидные конкременты, которые заполняют собой весь объем ЧЛС.
Микролиты обеих почек выводятся из организма с мочой. При прохождении по чашечкам и лоханкам они травмируют слизистую, что приводит к неинфекционному (асептическому) воспалению. На уплотнение синусов почек у женщин и мужчин указывают:
- болезненность в пояснице;
- кристаллическая взвесь в моче;
- жжение при мочеиспускании;
- частые позывы в туалет;
- гематурия (примеси крови в моче).
При несвоевременном лечении МКБ возникают осложнения – гидронефроз, хронический пиелонефрит, почечная недостаточность.
Кисты и опухоли
Если уплотняется синус почки (область почечных ворот), об этом свидетельствуют дизурические расстройства, то есть проблемы с мочеиспусканием. В большинстве случаев изменения провоцируются:
- кистами – полостными образованиями с жидким содержимым;
- добро- и злокачественными опухолями – тканевыми новообразованиями, которые берут начало из клеток эпителия.
На начальной стадии опухолевые заболевания протекают малосимптомно. Но при сильном сужении лоханки в области почечного синуса возникают жалобы на:
- частые позывы к мочеиспусканию;
- повышение артериального давления;
- тянущую боль в пояснице;
- примеси крови в моче.
Злокачественные опухоли отличаются инвазивным ростом. Они прорастают в окружающие структуры. Поэтому со временем интенсивность болей на стороне поражения усиливается.
Врожденные аномалии
Первичное уплотнение внутренних структур почки в 70% случаев обнаруживается еще в детском возрасте. Патологические изменения в ЧЛС возникают на фоне:
- удвоения лоханок и чашечек;
- патологической подвижности почки;
- рубцевания эпителия ЧЛС;
- дисплазии почечной ткани;
- сужения просвета мочеточника.
Врожденные аномалии проявляются дизурией, артериальной гипертонией, недержанием мочи, почечными коликами. В ряде случаев возникают жалобы на гематурию, запах аммиака изо рта.
Первичное уплотнение почки невозможно устранить консервативными методами. Для восстановления функций органов назначают операцию.
Проблемы с почечными сосудами
Уплотнение ЧЛС обеих почек – это симптом, который сопутствует многим сосудистым патологиям. Нарушение кровообращения в органах мочевой системы ведет к недостаточному питанию тканей, их отеку, атрофии или рубцеванию. Уплотнение лоханки в области почечного синуса провоцируют:
- тромбоз почечных вен;
- стеноз почечных артерий;
- аневризма артерий.
Характерные проявления патологий сосудов:
- неконтролируемая артериальная гипертония;
- головная боль;
- расстройства сна;
- сердечная недостаточность;
- одышка;
- хрипы в легких;
- бледность кожи;
- отсутствие аппетита;
- расстройства мочеиспускания.
Разрыв аневризмы опасен внутренним кровотечением, тахикардией, летальным исходом.
Гидронефроз
Болезнь характеризуется прогрессирующим расширением собирательного комплекса почек, которое приводит к:
- увеличению гидростатического давления;
- нарушению выделительной функции органов;
- атрофии функциональной ткани.
Уплотнение почек при гидронефрозе вызывается либо обструкцией (закупоркой) мочевых протоков, либо обратным забросом мочи в ЧЛС. Проявляется приступообразными болями внизу спины, гематурией, болезненными позывами в туалет, хронической усталостью и гипертонией.
Другие причины
Согласно статистике, уплотненные синусы почек чаще обнаруживаются у пациентов с урологическими, эндокринными и сердечно-сосудистыми болезнями. Изменения в органах мочевой системы провоцируются пагубными привычками, нерациональным питанием. Если при ультразвуковом исследовании чашечки и лоханки почек уплотнены, это может указывать на:
- пузырно-мочеточниковый рефлюкс;
- туберкулез;
- хронический уретерит;
- наследственный нефрит;
- синдром Альпорта;
- нефролитиаз;
- подагрическую нефропатию.
Игнорирование симптома чревато ухудшением состояния здоровья. Еще большее уплотнение ЧЛС ведет к острой задержке мочи, интоксикации продуктами метаболизма.
Дополнительные обследования
При выявлении уплотнений в чашечно-лоханочном комплексе обязательно назначаются дополнительные анализы и исследования. Для определения причин патологических изменений выполняют:
- общий и биохимический анализ мочи;
- клинический анализ крови;
- пробу по Нечипоренко и Зимницкому;
- экскреторную урографию;
- радиоизотопную ренографию;
- биопсию почки.
По результатам диагностики врач определяет оптимальную стратегию лечения. При выявлении опухолей рекомендованы операции на почке. В случае инфекционного воспаления ограничиваются консервативной терапией.
Способы лечения
Уплотнение чашечно-лоханочной системы вызывается разными причинами, поэтому и способы лечения в каждом конкретном случае будут отличаться. В зависимости от показаний пациентам назначаются:
- Фармакотерапия – медикаментозное лечение. Для уничтожения патогенной флоры используют антибиотики, антивирусные и противогрибковые средства. Для облегчения самочувствия назначаются препараты симптоматического действия – мочегонные, гипотензивные, анальгезирующие, противовоспалительные.
- Аппаратная терапия – лечебные процедуры, направленные на улучшение кровотока, укрепление иммунитета, ускорение регенерации тканей. При патологиях почек прибегают к магнитотерапии, электрофорезу, диализу.
- Хирургическая операция – радикальный способ лечения, которым предусмотрено удаление конкрементов, кист, новообразований или поврежденной части органа. В зависимости от показаний выполняются пиелолитотомия, чрескожная литоэкстракция, нефрэктомия, склеротерапия кисты и т.д.
Прогноз терапии зависит от причины изменений в чашечно-лоханочном комплексе. При лечении острого воспаления и почечных кист выздоровление наступает в 98% случаев.
Уплотнение ЧЛС – явный признак нездоровья почки, который сопутствует опухолевым, врожденным и воспалительным болезням. Для определения причины патологии прибегают к комплексной диагностике – УЗИ, МРТ, экскреторной урографии. Своевременная терапия предупреждает ухудшение самочувствия и негативные последствия.
Источник: https://simptom.info/nefrologiya/uplotnenie-chls-pochek
Почечные уплотнения: причины, симптомы, лечение

Почки являются одними из наиважнейших органов в теле человека, они поддерживают водно-солевой баланс, очищают кровь от токсинов. Нарушения в работе почек могут повлечь за собой появление серьезных последствий. Если у пациента были обнаружены уплотнения, то ему следует немедленно начинать лечение.
- Уплотнения в почках
- Причины появления уплотнений
- Способы лечения
Уплотнения в почках
Такой диагноз, как «уплотнения в почках» может звучать достаточно серьезно, так как слово «уплотнение» ассоциируется у многих пациентов с онкологическими опухолями. Однако, это не совсем так. Именно поэтому следует провести дополнительные исследования, а при необходимости назначить соответствующее лечение.
Выявить уплотнение почек можно с помощью ультразвукового исследования. Зачастую почечные уплотнения – всего лишь ультразвуковой критерий, которым характеризуется повышенная плотность тканей и никоим образом не связанно с серьезными заболеваниями, однако, необходимо провести обязательное обследование.
Почки имеют достаточно сложное строение. Чашечно-лоханочная система находится внутри парного органа. Состоит она из нескольких чашечек, которые постепенно переходят в лоханку.
Если в организме имеется очаг воспаления, то в этих резервуарах скапливается все больше, и больше жидкости.
Стенки органа растягиваются и в определенный период могут разорваться, и моча выльется в брюшину.
У здорового человека ЧЛС работает бесперебойно. Однако, незначительные нарушения в их работе может повлечь за собой развитие серьезных осложнений. Из-за воспалительного процесса может появиться уплотнение ЧЛС, почек. Также наблюдается нарушенная микроциркуляция крови в сосудах и соединительной ткани.
Стадии уплотнения:
- Первой стадией уплотнения является альтерация. Она возникает при попадании в организм всяческих болезнетворных и воспалительных микроорганизмов. Они пагубно воздействуют на парный орган: происходит гибель внутренней оболочки, начинается образование на ней дефектов. При нормальном функционировании иммунной системы, воспаление может протекать бессимптомно.
- Вторая стадия – экссудация. При экссудации наблюдается сильная отечность ЧЛС. Постепенно начинается усиливаться приток крови к деформированному участку. На этом этапе можно заметить появление первых уплотнений в области парного органа во время УЗИ.
- Третья стадия – пролиферация. На этом этапе усиливается плотность ткани органа. Это происходит за счет разрастания эпителиальной ткани, которая отделяет здоровую область органа от пораженной. В результате данной деформации может развиться склероз. Склероз – заболевание, при котором ткань определенного органа начинает уплотняться и перерождаться в твердую соединительную ткань. Довольно часто данную деформацию можно заметить на кожном покрове: на коже образовываются небольшие шрамы.
Причины появления уплотнений
Основной причиной появления почечных уплотнений считаются различные заболевания. В 60% случаев первопричиной считается пиелонефрит. Во время проведения УЗИ врач обращает внимание на неровные края органа и на уменьшение его в размере. Помимо этого, может также наблюдаться расширение ЧЛС.
Основные причины появления уплотнений:
- Пиелонефрит – заболевание, при котором у человека наблюдается воспаление почечных лоханок. Причиной появления становятся различные бактерии и болезнетворные микроорганизмы. Заболевание может развиваться при нарушенном оттоке мочи из организма.
- Гидронефроз – заболевание, при котором почечные лоханки постепенно расширяются, а ткань органа атрофируется, постепенно истончаясь и уплотняясь. Гидронефроз возникает из-за мочекаменной болезни, а также при повреждениях мочевыделительной системы. Камни в почках возникают из-за неправильного питания, избыточного веса, при употреблении некоторых медикаментов, а также при нарушенном питьевом режиме. При гидронефрозе у больного могут наблюдаться стриктуры. Стриктура – болезнь, при которой происходит сужение трубчатых органов. Симптомы на первой стадии гидронефроза происходят незаметно, обычно сопровождаются почечной коликой.
- Удвоение ЧЛС не несет в себе никакой угрозы для здоровья пациента. Возникает из-за употребления некоторых медикаментов, алкоголя и табачных изделий. Удвоение ЧЛС может также наблюдаться при нехватке некоторых витаминов в организме. Заболевание может носить врожденный характер, пациент может прожить всю жизнь, даже не подозревая о присутствии данной аномалии.
Помимо почек, уплотнения могут формироваться в легких и печени. Уплотнения в паренхиме и ЧЛС могут указывать на опухоль. Зачастую воздействию опухоли подвержен правый орган.
Распознать опухоль можно по таким симптомам: кровь в моче, нарушенный отток мочи, длительные тянущие боли в области поясницы, тошноты, рвота, а также потеря аппетита и резкое снижение веса.
Это происходит за счет интоксикации организма, так как почки не справляются со своей основной функцией – фильтрацией жидкостей от вредных токсинов.
Чтобы точно диагностировать нарост на почке, необходимо провести ультразвуковое исследование, а также глубокую пальпацию. Опухоль довольно часто путают с горбатой почкой.
Горбатая почка – болезнь, при которой контуры органа выпячиваются. Горбатая почка возникает при нарушении развития мочевыделительной системы или является врожденным дефектом.
На данный момент точная причина появления аномалии еще не выяснена.
При наличии в урине крови или же при длительных болях в пояснице, следует обратиться к лечащему врачу. Не стоит откладывать лечение почек. Чем быстрее будет обнаружена патология, тем проще ее вылечить.
Уплотнение члс обеих почек что же все-таки это такое

Чаше всего почечное уплотнение становится только показателем УЗИ и не связано с небезопасными заболеваниями. В любом случае данная аномалия просит сурового подхода, серьезного обследования, а по мере надобности адекватного исцеления.
Роль почек, как фильтра крови, тяжело переоценить. Базу анатомического строения этого парного органа составляет чашечно-лоханочная система (ЧЛС), в какой происходит скопление и направление мочи в выделительные каналы.
Воротами для мочевого оттока являются синусы почки. Почечная паренхима состоит из мозговых и корковых слоев, которые имеют специфическую однородную структуру, пронизанную сосудами и нефронами.
В целом орган имеет сложную структуру, в какой чашечно-лоханочный механизм исправно исполняет возложенные функции по образованию и выведению мочи. При проведении ультразвуковых исследовательских работ часто возникает специфичный аспект – уплотнение почек. С учетом распространенности такового явления, многие люди пробуют разобраться – что же все-таки это такое?
По собственной сущности уплотнение почек представляет собой изменение в паренхиматозной структуре, обычно, воспалительного генезиса и характеризуется нарушениями микроциркуляторных сосудов либо соединительной ткани. Такие конфигурации становятся их реакцией на локальный воспалительный процесс.
На уплотненном участке ткани меняются волновые свойства, что явственно отражается при УЗИ, как зоны с завышенной эхогенностью. Вот поэтому уплотнение почечных частей сначала рассматривается как ультразвуковой аспект.
Более нередко фиксируется уплотнение ЧЛС почек, но в ряде всевозможных случаев аномалия может затронуть и другие структуры, а именно, часто определяется уплотнение синусов почек.
При установлении такового явления при УЗИ фиксируется сам факт нарушения.
При всем этом информативными становятся и такие характеристики, как площадь и локализация поражения, неоднородность и выпуклость контура, наличие деформации частей, которые выявляются на базе УЗИ.
Механизм аномалии
В развитии процесса почечного уплотнения в итоге воспалительной реакции выделяются последующие главные фазы:
- Стадия альтерации (повреждения). На этом исходном шаге патогенные мельчайшие организмы обосновываются на слизистой, и начинается выделение товаров их жизнедеятельности, в том числе токсинов. Поражению может подвергнуться ЧЛС обеих почек либо только 1 органа. Стадия альтерации появляется при условии, что иммунная система не совладевает с заразой, что ведет к смерти клеток эпителия.
- Стадия экссудации. В зону поражения устремляются иммунные комплексы и лейкоциты, активизирующие процесс угнетения возбудителей. Соответственно, усиливается кровоток на этом участке, почечные ткани отекают, возникают 1-ые признаки уплотнения, которые уже можно выявить при проведении УЗИ.
- Стадия пролиферации, т. е. структурных конфигураций на клеточном уровне. Проявляется ускоренное деление клеток эпителия. Воспалительная реакция прогрессирует. Степень уплотнения паренхимы на участке поражения возрастает, а зона уплотнения приобретает точный контур. Появляется склеротический процесс, характеризующийся замещением паренхимы соединительной тканью (к примеру, аналогично появляются шрамы на коже при ее повреждении).
Что порождает аномалию
Уплотнение почек может иметь прирожденный либо обретенный генезис. Посреди прирожденных патологий можно выделить последующие причины:
- Гидронефроз появляется часто в виде развития расширенных чашечек и лоханок, что вызывает атрофический процесс в паренхиме, при этом сразу в обеих почках. Может иметь место недостаток клеточной структуры нефрона либо стеноз пиелоуретерального сектора, который вызван пороками клапанов слизистой оболочки мочеточника, компрессией дополнительным сосудом. Время от времени отмечается вторичный нрав патологии, вызываемый чрезмерным сужением мочеточника. Еще 1 предпосылкой именуется мочевой рефлюкс прирожденного нрава.
- Cтриктуры характеризуются частичным сужением либо полным блокированием каналов, синусов либо мочеточника. Посреди прирожденных стриктур отмечаются такие пороки: рубцовые недостатки стены протока в итоге наследной особенности; компрессия каналов при их скрещении с кровеносными сосудами.
- Удвоение ЧЛС. Такая прирожденная аномалия обычно не расценивается, как суровое болезнь. Человек может всю жизнь прожить с таким недостатком, не зная об этом. В принципе явление может проявиться в 2 вариантах: образование 1 лоханок при 1 артерии и, напротив, орган выделения имеет 2 артерии, но 1 лоханку, при этом выходы из аорты сосудов разбиты.
Необыкновенную опасность имеют обретенные патологии. Уплотнение ЧЛС почек в большинстве случаев обуславливается развитием пиелонефрита приобретенного типа.
Это болезнь представляет собой воспалительное поражение лоханки, чашечек и паренхимы с бактериальной этиологией, при этом оно существенно почаще отмечается у дам. Возбудителями являются пищеварительная и синегнойная палочки, энтерококки, стафилококки, которые попадают в орган при мочевом рефлюксе.
Источник: http://sl.ourhealthykidneys.com/bolezen/uplotnenie-chls-obeih-pochek-chto-jeto-takoe.html
Поделиться: