Диффузные изменения структур почечных синусов почек – Все про почки

Многие годы пытаетесь вылечить ПОЧКИ?
Глава Института нефрологии: «Вы будете поражены, насколько просто можно вылечить почки просто принимая каждый день…
Читать далее »
11 Май, 2017 Vrach
Основная почечная ткань – это паренхима почки. Она несет на себе основную нагрузку и отвечает за выполнение всех функций этого органа. От ее состояния зависит и ее работа, потому что повреждение почечных структур нарушает функциональные способности всей почки.
Как устроена паренхима почек
Внешний слой паренхимы – корковый. Он состоит из почечных клубочков (гломерул), пронизанных кровеносными сосудами. В клубочках происходит образование мочи. В каждой почке таких структур в среднем около миллиона.
НАШИ ЧИТАТЕЛИ РЕКОМЕНДУЮТ!
Внутренний слой называется мозговым. В мозговом слое находится система канальцев, которые объединяются в пирамиды. Через канальцы и пирамиды моча, образовавшаяся в клубочках, поступает в чашечки и далее в лоханки.
Почечная паренхима претерпевает изменения в зависимости от возраста человека. У детей её толщина соотносится с возрастом и ростом. Поначалу, по мере развития ребенка, она нарастает и наибольшей становится в зрелом возрасте. У взрослых составляет 15-25 миллиметров в норме.
Увеличение толщины почечной ткани тоже не является нормой и свидетельствует о проблемах в организме:
- возраст;
- воспалительные заболевания почек;
- новообразования в органе;
- неадекватное или несвоевременное лечение почечных проблем;
- отсутствие или значительное нарушение функций второй почки.
Почки – парный орган, поэтому снижение функций одной из них или даже ее потеря не ведут к остановке процесса фильтрации крови и выделения мочи. Вторая почка просто выполняет больший объем работы, при этом происходит компенсаторное увеличение толщины ее паренхимы.
Диагностика состояния
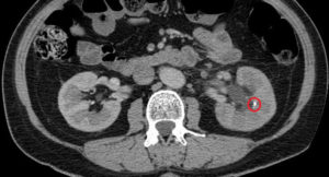
Основная почечная ткань довольно уязвима для различных неблагоприятных воздействий, поэтому оценка ее состояния помогает в диагностике. Наиболее распространенным и самым доступным методом исследования почек остается УЗИ. В некоторых случаях, когда нужна более подробная визуализация, назначается компьютерная или магнитно-резонансная томография.
С помощью перечисленных процедур возможно совершенно точно определить анатомические особенности, выявить отклонения толщины, обнаружить структурные изменения и повреждения. Любые изменения структуры паренхимы называют диффузными. Кроме того они могут быть очаговые, то есть расположенные на отдельных ее участках.
Причины и последствия диффузных изменений
В нормальном состоянии почечная паренхима имеет определенную толщину, однородную структуру, в ней отсутствуют повреждения, новообразования. При наличии отклонений, выявляемых на УЗИ, врач может записать в заключении, что обнаружены диффузные изменения. Эти изменения могут быть разного характера:
- истончение или утолщение паренхимы;
- неоднородная структура: участки с пониженной или повышенной эхогенностью;
- жидкостные или твердые включения;
- повреждения тканей.
Ультразвуковая диагностика позволяет довольно точно визуализировать органы и обнаружить даже небольшие изменения в тканях. По степени визуализации они могут быть четкими и нечеткими, по выраженности – слабыми, умеренными и выраженными.
Как правило, сначала врач обращает внимание на размеры почки, при диффузных изменениях она может быть увеличена или уменьшена.
По этому параметру уже можно предварительно судить о характере заболевания, так как при острых проявлениях паренхима утолщается, а при хронических процессах она становится тоньше. Из основных причин можно выделить:
- мочекаменная болезнь;
- воспаление в почечных канальцах и клубочках;
- эндокринные заболевания (гипертиреоз);
- атеросклеротические изменения в почечных структурах.
Диффузные изменения – это не диагноз, это признак возможных проблем почек. При их выявлении требуется более подробное обследование, чтобы выяснить причину и поставить диагноз. Выбор диагностических процедур осуществляется в соответствии с характером, степенью изменений и с имеющимися симптомами.
Истончение паренхимы чаще всего происходит при длительном патологическом процессе в почках. Это может быть гидронефроз, хроническое воспаление. Негативно сказывается на состоянии тканей неправильное лечение или его отсутствие. При заболеваниях почек важно соблюдать диету. Если пациент нарушает режим питания, то органу будет гораздо труднее восстановиться.
Утолщение почечной паренхимы обычно происходит при острых воспалительных процессах, таких как пиелонефрит или гломерулонефрит.
Жидкостные включения, обнаруженные на УЗИ, обычно представляют собой кисты, а твердые – отложения кальция. Присутствие кальцинатов в почке с высокой долей вероятности свидетельствует о нарушенных обменных процессах. Если таких включений много, то их причиной может быть образование раковой опухоли.
Очаговые изменения
Локальные изменения паренхиматозной ткани относятся к очаговым. Они тоже могут оказывать влияние на размеры органа и его состояние. Очаговые изменения – это новообразования, которые могут быть доброкачественными или злокачественными.
К доброкачественным новообразованиям относят аденому, онкоцитому, ангиомиолипому. Они могут иметь довольно большие размеры, до 15 см. Доброкачественные опухоли развиваются в капсуле и не выходят за ее пределы, поэтому во время ультразвукового обследования их контуры четкие и ровные.
Первые проявления таких опухолей появляются при достижении ими больших размеров, когда они оказывают давление на окружающие ткани. Характер симптомов и степень проявления зависят от того, какая структура оказывается сдавленной и насколько сильно это давление.
Если в результате развития новообразования сдавливаются сосуды, питающие орган, то паренхима страдает от недостатка кровоснабжения, которая приводит к ухудшению ее работы.
При давлении на структуры, отвечающие за накопление и отведение мочи, нарушается уродинамика, моча задерживается, поэтому это чревато растяжением почки с истончением ее тканей, а также угрозой воспалительного процесса.
Как правило, в отдельный вид новообразований в почечной паренхиме выделяют кисты. Они в большинстве случаев носят доброкачественный характер, однако при значительном увеличении в размерах возникает угроза малигнизации (озлокачествление). Кистозные образования представляют собой полости, заполненные жидкостью.
Чаще всего это единичные образования размером до 5 см, но возможны и множественные кисты, в том числе распространившиеся на обе почки. В таком случае диагностируется поликистоз. Симптомы при кистозных образованиях, как и при других доброкачественных опухолях связаны с их размерами и давлением на соседние структуры.
Таким образом, состояние паренхимы и ее структура свидетельствуют о здоровье органа или о проблемах, которые требуют более подробного обследования.
Факторы уплотнения ЧЛС обеих почек
Уплотнение ЧЛС почек – диагноз, вводящий в панику многих людей, потому что люди думают, что это разного рода онкологическое заболевание. Но как бы там ни было, не стоит отчаиваться, так как проблема может быть не такой уж и серьезной. Как правило, уплотнение ЧЛС в почках говорит о сбое работоспособности оттока мочи, что приводит к болезненному мочеиспусканию.
Причины уплотнения ЧЛС, паренхимы, структур почечных синусов
Основные причины этих патологий делятся на 2 группы: врожденные и приобретенные.
- Врожденные – удвоение ЧЛС, сжатие канала, синуса и мочепротока, рубцевание тканей мочеточника из-за пересечения его сосудами, атрофия тканей почек (в виде расширения лоханок и чашечек);
- Приобретенные – пиелонефрит (заразное заболевание, вызывающее воспаление парного органа), возвышение кисты на почечных тканях.
Важно: патологию следует лечить вовремя, иначе она может привести к летальному исходу из-за развития почечной недостаточности.
Выделяют 3 основных стадии развития воспаления в ЧЛС:
- альтерация: первый уровень воспаления, при котором возникают дефекты в эпителии слизистой оболочки. По причине попадания в нее микробов и невозможности организма защитить себя от этой среды;
- экссудация: второй уровень развития патологии. Стенки ЧЛС отекают по причине прилива крови и видны первые сжатия;
- пролиферация: третий уровень. Уплотнения чашечно-лоханочной системы становятся сильнее в связи с замещением отмерших клеток.
Лечение при уплотнениях в почках
Уплотнение ЧЛС одной или двух почек сложно назвать диагнозом, так как это лишь патология воспаления почек. Главное не пугаться, потому что это не тяжелое заболевание, которое сложно побороть.
Чаще всего, уплотнение ЧЛС обеих почек лечится антибактериальной терапией, потому что данный вердикт врача в большинстве случаев вызван пиелонефритом (воспалительным заболеванием почек). И уже следующее УЗИ не покажет никаких воспалений.
Этот процесс, спровоцированный в почках, может потребовать более сильной антибактериальной терапии из-за инфекционного поражения даже обеих почек и их воспаления.
Бывает, что у пациента обнаруживают камни в почках – в этом случае лечение проводиться с помощью хирургического вмешательства, после которого человек полностью выходит на поправку. Также известны случаи, когда уплотнение синусов почек имеет злокачественную опухоль, при которой также назначается операция и курс химиотерапии.
Причинами образования злокачественных опухолей являются: влияние окружающей среды (внешних факторов), частое употребление фенацетинсодержаших анальгетиков, заболевание нефропатией, различные взаимодействия с нефтепродуктами и веществами содержащие опасные или отравляющие химические составляющие.
Важно: если во время уплотнения ЧЛС пациента тревожат и другие симптомы, следует обратиться к урологу и нефрологу для устранения деффектов.
Информативно ли УЗИ при уплотнении почек
В случае обнаружения уплотнения ЧЛС на УЗИ, то следует не мешкая приступить к рациональному лечению данной проблемы. Зачастую результаты не говорят о наличии большой проблемы, но все-таки стоит более внимательно диагностировать почечную систему, чтобы убедится в отсутствии онкологии.
Опухоль, найденная в процессе диагностирования, не всегда может быть опасной, а высококвалифицированный врач определит ваш диагноз. В случае раковой опухоли внешность тканей, которые были поражены смешанные, а если же обнаружена киста, то у нее будут более четкие края.
Результаты ультразвукового исследования организма не всегда могут показать верную картину происходящего в нашем организме, поэтому для более верной ситуации стоит пройти другие обследования. К примеру, УЗИ мочекаменной болезни далеко не всегда может дать верный результат, так как образования соли маленьких размеров УЗИ может не распознать.
Норма и отклонения при УЗИ парного органа
При диагностике на УЗИ врачи обращают внимание на следующие признаки:
- Парный или не парный орган;
- позиционирование;
- строение тканей почек;
- объемность и комплекция.
При отсутствии патологий у нормального человека есть две почки, которые располагаются возле 2 и 1 позвонков. Почки защищены жировой тканью, правая почка располагается пониже левой. Если человек двигается, то почки могут немного менять своё положение. В случае опускание одной из почек ниже нормы может начаться заболевание нефроптоз.
Источник: https://1pochki-med.ru/narodnye-sredstva/diffuznye-izmeneniya-struktur-pochechnyh-sinusov-pochek/
Диффузные изменения паренхимы и синусов почек: что это такое – Сайт о

Диффузные изменения паренхимы почек – не болезнь и не диагноз, а констатация нарушений в структуре органа. Очаговые поражения имеют определенную локализацию.
Когда говорят о диффузных, это значит, что изменения произошли во всей почечной структуре.
Они коснулись паренхимы (основной ткани), клубочков, почечных канальцев и синуса (центральной внутренней полости, соединенной с лоханками, а также мочеточником). Через паренхиму проходят кровеносные, лимфатические сосуды, нервные волокна.
Виды изменений на УЗИ
Почти все нарушения связаны с плотностью органов. Неспецифические структурные изменения в почках – это видимые на УЗИ результаты.
В основе этого метода диагностики лежит принцип эхолокации. На все ткани человеческого тела действуют ультразвуковые волны, которые каждый орган отражает по-разному.
Интенсивность ответа — эхогенность — зависит от его плотности, структуры. Черно-белое изображение монитора отражает эту плотность и многое говорит врачу о патологических изменениях.
Виды отклонений зависят от локализации. Диагностируют:
- изменение ткани — паренхимы почек;
- трансформацию лоханок, чашечек;
- диффузные изменения синусов почек.
Ультразвуковое исследование в силах обнаружить:
- асимметрию парных органов;
- утолщение почечной ткани либо ее истончение, типичное лишь для людей старше 50 лет;
- увеличение парного органа – его провоцируют воспалительные процессы;
- уменьшение, вызываемое хроническими заболеваниями;
- уплотнение синуса, что бывает при кистах, скоплении холестерина, МКБ.
Изменения сигнализируют о различных патологиях почек. Точное определение локализации диффузных перерождений паренхимы — залог эффективных мер по устранению основного заболевания.
Причины и дополнительные признаки диффузных изменений
Чаще всего в них виноваты патологические процессы, протекающие в почках, однако иногда провокаторами становятся болезни иных органов.
Мочекаменная болезнь
Начавшееся образование конкрементов вызвано нарушением работы почечных канальцев. Такое патологическое состояние органа дает старт диффузным изменениям в почках. Камни провоцируют изменения в лоханке — атрофию, склероз. Деструктивные процессы в дальнейшем распространяются на паренхиму. Здоровые ткани погибают, их замещают жировые. Результат — утолщение капсулы почки.
Крупные конкременты, начавшие движение, могут полностью блокировать мочеточник. Внутрипочечное давление повышается, это ведет к разбуханию чашечно-лоханочной системы. Если закупорка длится долго, вероятность поражения почки возрастает.
Сахарный диабет
Эта болезнь вызывает в поджелудочной железе диффузно-неоднородные изменения, которые делают невозможным выработку и усвоение инсулина, ответственного за транспортировку глюкозы. Она скапливается в сыворотке крови, нарушая нормальный метаболизм. Не выведенные продукты обмена вместе с кровью попадают в почки, из-за чего страдают почечные сосуды и клубочки.
Начинаются структурные изменения — базальные мембраны и ткань клубочков утолщаются. Если в первых стадиях болезни (I-IV) почки увеличены, то в V (из-за деструкции органов) размер уменьшается.
Есть два названия болезни — диабетическая нефропатия и гломерулосклероз. У больных сахарным диабетом патология встречается в 75% случаев.
Врожденные аномалии
Дефекты развития почек — самые распространенные пороки, встречающиеся в 40% случаев. Локализация их разнообразна. Одни наблюдаются в сосудах — аномальное расположение, неправильное количество, стеноз, аневризма.
Другой тип нарушений связан со структурными изменениями. К ним относят недостаточное развитие лимфатических сосудов почечных синусов, дефекты в мозговом слое паренхимы, дисплазию, гиперплазию, наличие кистозных изменений.
Гломерулонефрит
Наиболее опасная быстропрогрессирующая форма нефрита. Приводит к патологическому изменению паренхимы обеих почек. Поражаются почечные клубочки — гломерулы. Провоцируют это состояние собственные антитела человека. Они локализуются в структурах почки, провоцируя немедленную воспалительную реакцию.
Иммунная система начинает ошибочно атаковать здоровую почечную ткань. Изменения касаются не только ткани почек – поражаются все небольшие кровеносные сосуды организма. При хронических формах гломерулонефрита патологические изменения происходят в мембранах (их утолщение) либо в сегментах гломерул. В них здоровая ткань замещается рубцовой.
Амилоидоз
Это один из видов нарушения белкового обмена. Необратимые диффузные изменения обеих почек провоцирует оседание в паренхиме амилоида, который является аномальным белковым комплексом. За его образованием в органах следует быстрое накопление. Постепенно амилоид вытесняет здоровые ткани.
Большие отложения амилоида в канальцах и мембранах — причина нарушения нормального функционирования почек из-за гибели нефронов. Происходит замена ткани паренхимы соединительной. Вероятное последствие амилоидоза — почечная недостаточность.
Пиелонефрит
Для острого воспаления характерны очаговые и умеренные диффузные изменения ткани паренхимы. Чаще патологические процессы диагностируют только в одном органе, при этом он сильно увеличивается в размерах, деформируется почечный синус и лоханки.
При трансформации острой стадии в хроническую болезнь разрушает паренхиму, появляется рубцовая ткань, а сама почка уменьшается. Помимо атрофических изменений, возрастает вероятность обнаружения абсцессов.
Нефросклероз
Создает диффузные изменения в паренхиме почки замена здоровой ткани патологической — соединительной. По этой причине происходит ее уплотнение и сморщивание. Толчок к первичной форме нефросклероза — атеросклероз, гипертензия, нарушение циркуляции крови. Сужение почечных сосудов, доставляющих питание органу, ведет к атрофии и гибели нефронов.
Вторичный нефросклероз появляется на фоне инфекций, МКБ, сахарного диабета, травматизации. Чем дольше развивается болезнь, тем больше уплотняются ткани. В обоих случаях результат одинаков – дистрофические изменения, сморщенная почка.
Туберкулез почек
При этом поражении отклонения от нормы в паренхиме почек полностью зависят от вида и стадии болезни. Она может затронуть как ткань, так и всю чашечно-лоханочную систему. Чаще всего поражение локализованное: это единичные и множественные очаги, похожие на проявления поликистоза.
Возможно замещение здоровых сегментов почки отмершими тканями. Рубцовые изменения характерны для стадии восстановления органа. Самая серьезная структурная трансформация — распространение туберкулеза на 70% ткани.
Опухоли и кисты
Асимметричность органов и/или утолщение ткани — эти симптомы диффузных изменений паренхимы почек типичны для любых новообразований. Паренхиматозные кисты бывают единичными или множественными (поликистоз). Полости могут быть пустыми, содержать жидкость, образовываться сразу в обоих органах (мультикистоз).
Опасность состоит в высоком риске разрыва кисты. Иногда в дальнейшем они трансформируются, и человеку ставят диагноз «рак».
Признаки опасного новообразования ничем не отличаются от доброкачественного. Для диагностики необходимы КТ и УЗИ. При поражении синуса опухоль легко обнаружить при пальпации.
Нарушение кровотока
Диффузные изменения структур почечных синусов обеих почек нередко обязаны появлением атеросклерозу артерий органа. Провоцируют его холестериновые отложения, накапливающиеся на стенках сосудов. В результате стенки почечных артерий сужаются (стеноз), уплотняются.
Состояние почек ухудшается из-за недостаточного кровоснабжения. Нефроны, не получая питания, отмирают. Их место быстро занимает защитная ткань — соединительная. Больная почка уменьшается, сморщивается, становится бугристой. Сильно повышается АД.
Другие причины
Эхопризнаки, указывающие на диффузные изменения тканей почек, могут появиться, если:
- человек достиг преклонного возраста;
- диагностировано ожирение, вызванное нарушением метаболизма;
- есть генетическая предрасположенность;
- питание скудное либо нерациональное;
- существуют неполадки в работе органов ЖКТ;
- удалена одна почка (гипертрофия оставшегося органа нормальна);
- обследуемый человек пострадал от ионизирующего излучения.
Диффузные изменения не редкость при беременности, во 2-3 триместре, когда на почки ложится колоссальная нагрузка. Нефропатия выражается в нарушениях мочевыделительной функции почек и общего кровотока. Это вызывает сужение артерий, застой крови.
Особенности УЗИ-показателей почек у младенцев
Диффузные отклонения имеют свою классификацию. Изменения принято разделять на выраженные, слабые либо умеренные; нечеткие и четкие. Диагностировать патологическое состояние младенцев непросто, поэтому этот данный вид диагностики рекомендуют проводить в специализированных клиниках.
Строение почек малышей, в силу возраста, отличается от изображения взрослых органов. Дольчатая структура неопытным специалистом может трактоваться как диффузное отклонение. Тревожная симптоматика должна быть обязательно подтверждена другими диагностическими методами.
Дополнительные обследования при обнаружении подозрительных изменений
УЗИ — основной метод, определяющий эхопризнаки расширения синусов и зоны с повышенной эхогенностью. Однако простой констатации факта бывает недостаточно, особенно это касается детей до 3 лет. Поэтому для подтверждения подозрений им назначают КТ. Также проводят другие исследования:
- анализы крови, мочи — для определения уровня мочевины, креатинина;
- суточную пробу мочи по Зимницкому для определения воспалительного процесса — пиелонефрита;
- КТ, МРТ — для выявления различных потенциальных новообразований;
- экскреторную урографию, позволяющую оценить состояние паренхимы, ее структуру, функциональность.
После выявления причин диффузных изменений врач назначает лечение. Оно индивидуально для каждого больного.
Источник:
Диффузные изменения в паренхиме почек
Внутренняя ткань почки состоит из множества мелких структурных единиц – нефронов.
Диффузные изменения почек – патология, распространяющаяся по всей толще ткани, вследствие чего теряется ее работоспособность и структура.
Из-за видимых нарушений клубочков и канальцев нефрона поврежденная ткань отличается от здоровой, что легко обнаруживается. Состояние не считается отдельной болезнью, а является признаком другой патологии.
Классификация деформаций
Диффузное изменение свидетельствует о болезни, влияющей на функционирование и составляющие органа мочевыделения. В зависимости от месторасположения разделяют:
- изменения паренхимы почки;
- деформация тела и синусов;
- преобразования в чашечках и лоханках.
Выяснение характера изменений структуры почки приносит большой вклад для дальнейшей постановки диагноза. При диагностике обнаруживают увеличение или уменьшение почки, асимметрию ее контуров, утолщение или уменьшение паренхимы. Нередко выявляют изменения в структуре чашечно-лоханочной системы и синусах, уплотнения в вене органа.
Выявление отклонений посредством УЗИ
Диффузные изменения в почках диагностируются с помощью ультразвука. С точки зрения данного метода патологию подразделяют на четкие, нечеткие, умеренные, слабые и выраженные изменения.
На ультразвуковом аппарате можно наблюдать признаки потемнений и нечеткости контуров, анаэхогенные участки в паренхиме, зоны гипреэхогенности и анаэхогенности в ЧЛС, а также изменения контуров лоханок и капсулы почки.
Источник: https://uroscope.ru/lekarstva/diffuznye-izmeneniya-parenhimy-i-sinusov-pochek-chto-eto-takoe.html
Какие признаки на УЗИ демонстрируют диффузные изменения почек?

Термин «диффузные изменения почек» указывает не на наличие какого-либо заболевания, а на обширную патологию (или даже целый набор), из-за которого нарушается функциональность почек.
Самые частые причины их возникновения – это хронические заболевания сердечно-сосудистой системы (так как обе почки связаны с кровеносной системой и косвенно являются её частью), сахарный диабет, пиелонефрит, избыточный вес, появление новообразований невыясненной этиологии (в том числе злокачественных).
Что это такое?
Диффузные изменения почек необходимо подразумевать в качестве симптома, а не заболевания. Данные органы являются сложными фильтрами, отвечающие за солевой обмен в организме человека.
Ухудшение их функциональности – это естественный процесс. И именно поэтому средняя толщина паренхимы у взрослого составляет порядка 2,5 сантиметров, а вот у пожилых – в районе 1,1 сантиметров. С течением почки попросту истончаются и это прямо связано с работой сердечно-сосудистой системы.
Подробнее о патологиях паренхимы почки узнайте здесь.
Но если это самое истончение происходит слишком быстро, то при диагностике (чаще всего – ультразвуковое исследование) в карте больного делается заметка о наличии диффузного изменения почек. Условно их классифицируют на:
- диффузные изменения паренхимы (того самого фильтровального слоя, состоящего из скопления кровеносных сосудов и капсул);
- диффузные изменения синусов почек (под «синусами» следует понимать полюса, лоханку, выход к мочеточнику, входящие и исходящие кровеносные сосуды).
Также принято разделять диффузные изменения на парные и асимметричные (соответственно, затрагивающие только один или оба органа).
Основные симптомы:
- боль или дискомфорт в области поясницы;
- нарушение частоты нормального мочеиспускания (к примеру, в дневное время суток позывов практически не возникает, а вот ночью – очень часто);
- боль и дискомфорт непосредственно при мочеиспускании;
- отечность тканей (указывает на проблемы с регулированием водного баланса);
- почечная недостаточность (может свидетельствовать о появлении новообразования, которое затрудняет номинальный кровоток).
Причины возникновения
Основными причинами диффузно неоднородных изменений паренхимы являются:
- нарушение артериального кровотока (часто – на фоне гипертонии или гипотонии);
- опухоли (нередко вирусной этиологии);
- естественное истончение паренхимы (чаще всего возникает у пожилых пациентов);
- сахарный диабет и сопутствующее нарушение солевого баланса (появление кальцинатов в крови, что указывает на нарушения метаболических процессов).
Причины диффузных изменений синусов:
- атеросклероз;
- появление бляшек в сосудах (к примеру, из-за избытка «вредного» холестерина);
- избыточный вес;
- вялотекущие воспалительные процессы в почках;
- некоторые врожденные аномалии (затрагивающие капиллярную структуру или область лоханки);
- кисты и новообразования, затрудняющие нормальный кровоток;
- наличие конкрементов (научное название «почечных камней»).
Однако довольно часто пациентам в карту записывают «диффузные изменения почек невыясненной этиологии», что подразумевает невозможность установить первоначальную причину возникновения патологии.
Такое часто бывает при позднем диагностировании заболеваний, затрагивающих функциональность почек.
Признаки диффузии и проводимые исследования
Для постановки конечного диагноза больного направляют на проведение следующих анализов и исследований:
- УЗИ (является основой);
- КТ или МРТ (магнитно-резонансная томография позволяет составить четкую клиническую картину пациента);
- общий анализ мочи;
- общий анализ крови.
В некоторых случаях больному также могут назначить биопсию (если имеется подозрение на злокачественность выявленной опухоли).
Основные признаки диффузных изменений на УЗИ:
- утолщение синуса (входящих и исходящих кровеносных сосудов, воспаление лоханки);
- утолщение или истощение паренхимы (отклонение от нормы по толщине);
- наличие кистозных новообразований в паренхиме или синусах;
- плохая визуализация почечных вен;
- нечеткие очертания паренхимы;
- наличие так называемых «эхо-сигналов» при проведении ультразвукового исследования;
- симптомы опухолевых тромбозов и нарушения кровотока.
Лечится ли патология?
Детального алгоритма лечения диффузных изменений почек не существует, так как клиническая картина для каждого пациента будет сугубо индивидуальной.
Главное – установить точную или явную причину возникновения патологии.
Дальнейшая терапия направлена на её устранение и минимизацию скорости течения патологических изменений в функциональности почек. Вполне возможно, что для этого даже не потребуется лекарственные препараты. Например, при избыточном весе достаточно лишь нормализовать вес пациента.
Самые распространенные причины, от которых и назначается лечение:
- пиелонефрит;
- мочекаменная болезнь;
- гломерулонефрит инфекционной этиологии;
- нефрит;
- кисты;
- хронические заболевания сердечно-сосудистой системы.
Т.о., диффузные изменения почек – это симптом, указывающий на нарушение функционального строения органов. В большинстве случаев свидетельствует о течении хронических заболеваний, затрагивающих сердечно-сосудистую систему, или указывает на наличие опухолей.
Самое сложное – установить причину.
Если это сделать невозможно, то больному назначают поддерживающую терапию.
Как выглядят диффузные изменения почки на УЗИ — смотрите видео:
Источник: https://opochke.com/nefrologiya/diffuznye-izmeneniya.html
Диффузные изменения паренхимы почек и почечных синусов: основные причины

Диффузные изменения паренхимы почек – не болезнь и не диагноз, а констатация нарушений в структуре органа. Очаговые поражения имеют определенную локализацию.
Когда говорят о диффузных, это значит, что изменения произошли во всей почечной структуре.
Они коснулись паренхимы (основной ткани), клубочков, почечных канальцев и синуса (центральной внутренней полости, соединенной с лоханками, а также мочеточником). Через паренхиму проходят кровеносные, лимфатические сосуды, нервные волокна.
Что такое диффузное изменение почек, чем оно грозит

Почка считается сложным аппаратом, предназначенным для выполнения некоторых важных для жизни функций, поддерживающих нормальное функционирование организма. Любая структурная ее часть принимает участие в фильтровании плазмы, образуя при этом мочу – продукцию жизнедеятельности.
Известно огромное количество болезней, протекающих в острых или хронических формах и оказывающих на почки воздействие повреждающего характера, вызывая этим в них отклонения.
Диффузные изменения почек – что это такое
Данное понятие весьма многогранно. Его не диагностируют, относя к функциональному заключению по результатам УЗИ мочеиспускательных органов. Каждое подобное нарушение представлено сменой структуированного строения тканей либо клеток.
Диагносты выделили ряд подобных изменений, которые происходят в почках. Основным считается размер. Его рост подтверждает появление воспалительного процесса. А вот болезни хронического характера способствуют уменьшению почек, истончая их ткани.
Следует отметить, что к подобным изменениям относят утолщения паренхимы, отклонения в параметрах почечного синуса, малейшие подозрения на то, что в лоханках присутствует жидкость, отклонения в строении вен, предпосылки к образованию тромбоза. К данному перечню следует отнести и образование камней.
Виды и классификация патологии
По уровню поражения отличают такие разновидности диффузии:
Наблюдая органы визуально в момент выполнения УЗИ, отклонения диффузного характера можно распределить на:
- четкие и нечеткие;
- слабоватые либо умеренно выраженные;
- явные.
Причины и симптомы
Зачастую такого рода изменения можно наблюдать у детей. Но процесс не относят к патологическим, потому что до трехлетнего возраста почка ребенка отличается структурой дольчатого типа и во время УЗИ наблюдается несколько специфично.
проблемный вопрос характеризуют поражением ткани изнутри. Перемены происходят постоянно – при попадании кислорода и питательных компонентов. Однако в момент деструкции отклонения носят углубленный характер. К данной группе риска можно отнести:
- людей, страдающих избытком массы тела;
- диабетиков;
- пациентов, имеющих отклонения, связанные с возрастом.
Считается, что повысить степень риска способны:
- наследственные признаки;
- табачные изделия;
- отклонения в вещественном обмене;
- перебои в работоспособности ЖКТ.
На подобные изменения влияют:
- врожденные патологии;
- новообразования, полипы, кисты;
- патологические изменения в острых и хронических формах;
- рецидивы от невылеченных заболеваний.
Признаки состояния могут быть выражены утолщением тканей, появившейся из-за этого ассиметрией органа. Первичными симптомами болезни почек считают отечность, спровоцированную сложностями с проницаемостью каппиляров, повышенным давлением в крови.
Вследствие этого активность фильтрации жидкости возрастает, но при этом процесс ее обратного поглощения проходит значительно слабее. Начинает развиваться устойчивое отклонение в процессе испускания мочи, которое сопровождается болевыми ощущениями, жжением, кровью. К признакам появления отклонений относят боли в поясничном отделе, вызываемые ростом размеров почек и растягиванием их капсул.
При диффузном изменении синусов почек
Он способен косвенно страдать по причине образования конкрементов, кисты, воспалительных процессов, атеросклероза. Нарушения структуры синусов подтверждают развитие патологий, связанных с нюансами расположения и усложненным строением входов органов. Уплотнившийся синус подтверждает следующие состояния:
- появление в лоханках конкрементов;
- уплотненность стенок из-за поражений хронического характера, протекающих в вялых формах;
- сужение сосудов по причине нахождения в них бляшек атеросклеротического типа;
- аномальные развития, сопровождением которых считаются воспаления и изменения клеток сосудов;
- кисты, давящие на сосуды и вызывающие сильные боли.
Такие отклонения сопровождаются отечностью, болевыми ощущениями, покалываниями в сердечной области, нарушением давления в артериях.
Зачастую причинами такого отклонения считаются педункулит либо фибролипоматоз – воспалительные процессы на входах и сосудистых ножках почек. Для процесса характерны поражения склеротического характера. Фибролипоматоз образовывается из-за туберкулеза почек, воспалительного процесса в лоханках, появления в мочеточном канале камней, аденомы.
Заброшенная из лоханок в почки урина вместе с токсинами проникает в клетки между почкой и синусом, вызывая воспаленность лимфоузлов. Застои начинают усугубляться, в спине появляются сильные болевые ощущения, напоминающие радикулит.
Каждое из них следует рассмотреть подробно.
Паренхиматозная киста
Болезнь бывает врожденной либо приобретенной. При ней в главной ткани почки появляется полость, наполненная серозными или геморрагическими экссудами. Киста образуется в единственном или множественном числе. Механизм ее образования имеет большое значение при определении диагноза.
Если полость появилась из-за травмирования либо нарушенного оттока жидкости, то данный вид образования считается доброкачественным и без проблем удаляется лапороскопией. На момент обследования киста может быть определена одиночной полостью округлой либо овальной формы с четким контуром, внутри которого находится жидкость.
Перекрывание просветов в канальцах полипами либо изменениями в виде разрастаний соединительных тканей вызывает появление мультилокулярных кистозных образований, которые представлены в виде многокамерных полостей с ярко выраженными контурами.
УЗ-признаки диффузности
Большой популярностью пользуется УЗИ из-за своей доступности, отсутствия длительной подготовки, выдачи информации при приемлемой цене. Признаками изменений считаются:
- утолщения в виде затемнений тканей почек;
- подавание эхо-сигналов от синусов почек;
- ослабленная эхогенность;
- плохо выраженные очертания паренхимной ткани;
- синусная истонченность;
- выраженные признаки присутствия жидкости в лоханках;
- проблематичное кровообращение в органах;
- затемненность вен, намекающая на тромбы;
- проблемное выявление эхо-структуры;
- обратное движение крови в артериях;
- отсутствие возможности определить вены.
По причине того, что изменения такого рода не считаются самостоятельным диагнозом, а подтверждают появление патологий, определенной лечебной схемы такого состояния не существует. Исходя из показателей обследований, выносится окончательное заключение, в котором определяются стадии и виды патологии, чтобы выработать определенную тактику в терапии.
Получается, что основной задачей лечения является ликвидация причин, которые вызывают диффузию паренхимы или почечных синусов.
Гломерулонефрит лечат особыми лекарственными средствами, которые угнетают и уничтожают причину заражения. В качестве дополнения назначается диета и постельный режим. Вероятно, понадобится принимать антибиотики и гормональные препараты.
В случаях с пиелонефритным заболеванием разрешается проблемный вопрос с отводом мочи. С этой целью необходимо соблюдать диету, принимать противовоспалительные препараты и мочегонные средства.
Помните, что игнорировать болезнь или лечить ее самостоятельно не рекомендуется. Халатность может стать причиной образования почечной недостаточности.
Рекомендуем другие статьи по теме
Источник: https://UroHelp.guru/diagnostika/metod/diffuznoe-izmenenie-pochek.html
Поделиться: