Гипоплазия почки у новорожденного ребенка и взрослого: код по МКБ-10, причины, симптомы, лечение

Почки принимают активное участие в кроветворении, метаболических и эндокринных процессах, в регуляции кислотно-щелочного баланса, также они концентрируют мочу. За минуту почки очищают около литра крови.
Поэтому нарушения их деятельности могут негативно отразиться на состоянии организма. Одной из почечных патологий является гипоплазия, которая серьезно нарушает почечную деятельность.
Заболевание имеет врожденное происхождение и встречается в 0,08-0,19% случаев.
Гипоплазия почки
Гипоплазия почки – это врожденная аномалия мочевыделительной системы, для которой характерны уменьшенный вес и размеры органа, но структурное строение в норме.
С точки зрения гистологии, гипопластическая почка полностью нормальная и вполне может выполнять свои функции, только их масса и размеры ниже нормы.
Исследование такой почки под микроскопом показывает, что орган отличается нормальным анатомическим строением, его иннервация и кровоснабжение в норме, гистология не изменена, четко выделены нормальные канальцы и клубочки. Код по международной классификации патологий МКБ-10 — Q60.5.
Причины
Недоразвитие почки, как и прочие аномалии подобного рода, рассматриваются врачами, как отклонение в период беременности. Процессы образования органа у эмбриона нарушаются под влиянием внутренних либо внешних факторов, воздействующих на организм беременной.
Некоторые доктора считают, что почечная гипоплазия возникает вследствие скрытых отклонений в клубочково-лоханочных структурах либо под влиянием внутриутробных воспалительных поражений.
Среди внешних факторов эксперты выделяют:
- Табакокурение;
- Алкогольные злоупотребления;
- Ушибы и травматические повреждения живота;
- Облучение радиацией;
- Злоупотребление солнцем;
- Наследственность;
- Маловодие или дефицит околоплодных вод;
- Инфекционные патологии при беременности;
- Венозная закупорка в почках;
- Аномальное плодное предлежание;
- Вторичные воспаления;
- Внутриутробный пиелонефрит или патология у детей до года.
Почечная гипоплазия возникает еще во внутриутробный период. По сути, почка полностью работоспособная, но имеет недостаточную метанефрогенную массу с количеством нефронов вдвое меньше положенной нормы.
Формы
Гипоплазия классифицируется на несколько различных форм:
- Простая или нормонефротическая гипоплазия – количество чашечек, нефронов и весовые параметры несколько меньше положенного;
- Гипоплазия с дисплазией – недоразвитие сопровождается структурными нарушениями в развитии;
- Олигомеганефротическая – редкая форма, при которой уменьшены не только размеры и вес, но и число долей и клубочков. Сосудистые стенки почки утолщаются, фиброзные разрастания, увеличение клубочков и расширение канальцев почки;
- Двусторонняя – при данной форме наблюдается гипоплазия в обеих почках;
- Односторонняя гипоплазия правой или левой почки.
Односторонняя гипоплазия почки
Сопутствующие заболевания
Почечная гипоплазия в половине случаев сочетается с сопутствующими патологическими состояниями вроде:
- Крипторхизма – неопущение в мошонку одного яичка;
- Экстрофии мочевого пузыря – это аномальное состояние, при котором имеет место дефективное развитие передней стенки брюшины, а слизистая мочепузырная оболочка выпадает наружу;
- Сужение почечной артерии;
- Аномальная локализация мочевого канала.
Симптомы
На практике, если здоровая почка функционирует нормально и справляется с объемом возложенных на нее задач, то человек может всю жизнь прожить, даже не предполагая о наличии аномалии.
Если же здоровая почка начинает работать с перебоями, то недоразвитая почка подвергается различным патологиям вроде пиелонефрита, воспалительных процессов. Возникает гипертоническая болезнь, хроническая нефропатическая гипертензия.
- Пациентов беспокоят хронические поносы;
- Наблюдается гипертермия субфебрильного типа;
- Ребенок заметно отстает в умственном и физиологическом развитии;
- Имеют место проявления, похожие на рахит, вроде размягчения костей, плоской затылочной части, вздутого живота, выступающей теменной и лобной части, искривления конечностей и облысения;
- Отечность конечностей и лица, бледная кожа;
- Частые признаки тошноты, рвотные позывы;
- Гипертоническая болезнь.
Если диагностируется гипоплазия обеих почек, т. е. двусторонняя, то шансов на выживание у плода после рождения нет, поскольку ни одна из почек не работает, а трансплантации они не подлежат.
У новорожденных
У новорожденных наблюдается тенденция к увеличению случаев аномального развития мочевыделительной системы. Среди всех врожденных пороков плодного развития на долю гипоплазии почек приходится порядка трети случаев. Двусторонняя гипоплазия почек обычно обнаруживаются вскоре после появления на свет, ведь обе почки не работают.
У новорожденного стремительно развивается недостаточность почек, что часто заканчивается летальным исходом уже в первые несколько суток после рождения.
Если двусторонняя почечная гипоплазия затрагивает только часть органа (1-3 сегмента), то малыш жизнеспособен, но он уже в первый год жизни станет неизлечимым гипертоником.
- Диарея;
- Клиника рахита;
- Субфебрильные показатели температуры;
- Общеорганическая интоксикация;
- Врожденные рефлексы вроде защитного, опорного, Галанта и пр.;
- Непроходящая рвота.
Односторонняя гипоплазия характеризуется низкой концентрационной функцией рабочей почки, но кровь при этом имеет нормальные химические показатели. Артериальная гипертония развивается несколько позднее, уже в пубертатном возрасте.
У детей
У пациентов детского возраста (от года и старше) гипоплазия может никак не выражаться. В подобных случаях патология обычно выявляется при диагностике острого пиелонефрита или гипертонии.
Следует обращаться к специалисту, если у ребенка наблюдаются такие проявления: скачки АД, судороги, постоянное желание пить. Дети жалуются на задержки мочи, учащенные либо обильные мочеиспускания, болезненные проявления в области поясницы либо живота.
Присутствует характерное отставание в физиологическом развитии и пр.
У детей кожа сухая, землисто-бледного оттенка, вокруг глаз формируются отеки, скоплению жидкости подвергаются и другие части тела.
Довольно часто патология выявляется при прохождении обследования ребенка при оформлении в детский сад либо школу.
У взрослых
У взрослых пациентов гипоплазия почки обычно проявляется только тогда, когда под влиянием определенных факторов происходит нарушение функциональности здоровой почки.
Их начинает беспокоить давление, отечность лица и конечностей, нарушения стула и прочие характерные симптомы.
Постоянное давление на фоне гиперпластической почки у взрослого требует удаления пораженного органа, поскольку медикаментами вылечить его нельзя, а аномально измененные ткани являются благоприятной средой для развития злокачественных опухолевых процессов.
Диагностика
При обследовании пациента выявляется патологически уменьшенная почка с нормальным либо маленьким мочеточником.
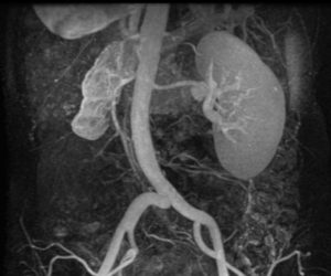
Для определения патологии используются различные диагностические процедуры:
- МРТ;
- Урографическое исследование – рентген почечных структур с применением контраста;
- Нефросцинтиграфия исследование органа с использованием радиоактивных материалов;
- Радиоизотопная диагностика – радиоактивный состав вводится внутривенно;
- Уретеропиелография – контрастное вещество вводят путем катетеризации в мочеточник;
- Ангиографическая диагностика – когда в крупные сосуды вводят контрастное вещество.
Лечение
Конкретная тактика лечения зависит от состояния больного и его индивидуальных показателей. Стойкая гипертония требует обязательного лечения, если терапия не дает результата, то показано удаление гипопластического органа. Проводится такое удаление только взрослым.
У детей с подобной аномалией почек, при условии, что здоровая почка справляется с двойной нагрузкой, показано постоянное наблюдение у врача, регулярные обследования и необходимое симптоматическое лечение.
При тяжелых формах патологии с двусторонним гипопластическим поражением применяется оперативное лечение. У пациента удаляют обе почки, переводят его на гемодиализ, а в дальнейшем проводят ему трансплантацию.
Прогнозы
Врожденную гипопластическую аномалию исправить уже не получится. Но если человек строго следит за рационом, ведет ЗОЖ, соблюдает режим сон-отдых, то патология может не беспокоить до конца жизни, поскольку здоровая почка будет справляться с возложенными задачами.
Если патология выявлена в раннем детстве и носит двусторонний характер, то можно попытаться скорректировать и восстановить водно-электролитическое равновесие, нейтрализовать азотемию.
Но если двусторонняя гипоплазия отличается яркой выраженностью, то ребенок обычно умирает от декомпенсированной недостаточности миокарда и уремии. В такой ситуации прогнозы неблагоприятные, дети проживают порядка 8-16 лет.
Обычно детям при гипопластической почке дают инвалидность. Если пораженную почку удаляют, а с возрастом, по мере взросления и адаптации организма к жизни с одной почкой, инвалидность снимается.
Источник: http://gidmed.com/nefrologiya/zabolevaniya-nefr/anomalii-razvitiya/gipoplaziya-pochki.html
Причины гипоплазии почки у ребенка: симптомы и лечение

Диагноз гипоплазия почки выставляется довольно редко. Заболевание серьезное, поэтому важно знать о его симптомах для того, чтобы как можно раньше обратиться к врачу и вовремя начать лечение.
Патология является врожденной аномалией, характеризующейся уменьшением размеров пораженного органа, структуры почки чаще всего остаются нормальными.
Болезнь может быть одно- и двусторонней, от этого зависит клиническая картина и продолжительность жизни пациентов.
Причины возникновения и код по МКБ 10
причина заболевания заключается в недостаточном количестве нефрогенной ткани.
Ее компоненты при этом структурно и функционально состоятельны, поэтому почка, пораженная гипоплазией, имеет небольшие размеры, но ее строение никак не страдает.
Код в международной классификации болезней десятого издания – Q 60.5.
Патология является врожденной, обычно выявляется у лиц детского возраста.
В случаях, когда здоровая почка полностью выполняет функции за 2 органа, заболевание может быть обнаружено у взрослых при появлении жалоб на повышение давления, отечность.
Обычно признаки появляются в результате перенесенного пиелонефрита или под влиянием неблагоприятных факторов среды.
У плода
Патология формируется на этапе внутриутробного развития. Причин может быть множество: наследственная предрасположенность, маловодие, инфекции у матери (краснуха, корь), пиелонефрит плода, аномальные предлежания, ушибы почек.
Имеет значение образ жизни беременной женщины. Если она курит, употребляет алкоголь, долго пребывает на солнце, подвергается ионизирующему облучению, риск развития гипоплазии увеличивается.
Патология новорожденного
У новорожденных детей патология диагностируется в течение первых дней жизни, если имеется двустороннее поражение. Односторонняя гипоплазия также фиксируется при нарушении мочевыделительной функции, наличии патологических рефлексов, неукротимой рвоты, интоксикации. Причины развития заболевания такие же, как и у плода.
Болезнь у ребенка
Этиология патологии у ребенка такая же, как у детей первого года жизни. При наличии здоровой почки клиническая картина может полностью отсутствовать, но при воспалительных процессах органа состояние может ухудшаться.
В таких ситуациях возникают симптомы гипоплазии, формируется характерная клиника заболевания.
Нередко диагноз выставляется при прохождении медицинского осмотра перед поступлением ребенка в детский сад или школу. Ребенок при этом может чувствовать себя полностью здоровым.
Статистические данные
Гипоплазия почки – нередкая патология. Среди врожденных аномалий развития она находится в первой десятке по частоте встречаемости, точнее на 7 месте.
Болезнь чаще диагностируется у мальчиков, чем у девочек, но женская смертность при этом выше.
Привязанность к какой-либо географической зоне не выявлена.
Клиническая картина
В случае поражения одной почки и полноценного функционирования второй, симптомы патологии могут никак не проявляться в течение всей жизни пациента.
Если такого не происходит, органы повержены воспалению, то такие больные часто страдают пиелонефритом.
Их беспокоит болевой синдром, частое мочеиспускание, повышается температура тела.
Часто у пациентов диагностируется артериальная гипертензия, которую тяжело корректировать лекарственными средствами. Нередко требуется удаление пораженной почки.
Пациенты имеют бледный кожный покров, отечность лица и верхней половины тела по утрам. Нередко развивается хроническая почечная недостаточность.
Симптомы у ребенка
Дети, страдающие гипоплазией, помимо вышеперечисленных признаков, имеют жалобы на чувство тошноты, субфебрильную температуру, вздутие живота, потерю волос, диарею.
Они отстают в умственном и физическим развитии, костная система не соответствует возрасту (структуры черепа выступают, ноги искривляются).
Мочеиспускание у детей может быть болезненным, с примесями гноя и крови. Часто они жалуются на слабость, жажду, боли в поясничном отделе позвоночника. Может диагностироваться судорожный синдром, крипторхизм у мальчиков.
У новорожденных детей встречается отсутствие рефлексов, происходит интоксикация продуктами обмена веществ в результате того, что органы не выполняют своих функций в полном объеме.
Если гипоплазия двусторонняя, продолжительность жизни может составлять от нескольких дней до нескольких месяцев. Показатель зависит от степени развившейся почечной недостаточности.
К кому обратиться и способы диагностики
Лечением и диагностикой занимаются врачи-педиатры и общей практики, нефрологи, урологи. Пациентам проводится общий и биохимический анализы крови, общий анализ мочи. Назначаются следующие инструментальные обследования:
- ультразвуковое исследование почек и всей брюшной полости;
- рентгенография органов;
- компьютерная и магнитно-резонансная томография;
- также проводится урография и ангиография, показывающие экскреторную функцию органов, состояние кровообращения в них.
Данные методики помогают осуществлять дифференциальную диагностику, которая проводится с дисплазией и сморщенной почкой.
Способы терапии
Лечение гипоплазии почки комплексное, определяется и корректируется только врачом. Методов для полного выздоровления не существует, терапия обычно симптоматическая.
Традиционные средства
Назначение каких-либо лекарственных средств зависит от особенностей протекания патологии. Если у пациентов диагностируется артериальная гипертензия, подбор терапии осуществляется соответственно стандартам.
Схема антигипертензивного лечения индивидуальная, устанавливается и корректируется врачом. Обычно используются препараты:
- группы ингибиторов АПФ (эналаприл, периндоприл, лизиноприл);
- бета-блокаторы (бисопролол, небивалол);
- сартаны (лозартан, валсартан);
- мочегонные средства (индапафон, спиронолактон).
Важно отметить, антигипертензивная терапия редко оказывается успешной, обычно пациентам требуется удаление почки для нормализации артериального давления.
Если у больных диагностируется пиелонефрит, им назначается антибактериальная терапия с использованием препаратов из группы фторхинолонов. Нередко таким пациентам также показана нефрэктомия.
Полезны препараты с повышенным содержанием витамины D, уросептики. Также больным следует придерживаться рекомендациям по коррекции питания — количество соли, жидкости и белка должно быть ограниченным.
В пищу следует употреблять легкоусваиваемые продукты, приготовленные методом варки или на пару. Запрещены жирные, жареные, консервированные блюда, газированные напитки. Можно пить чистую воду, морсы.
В каких случаях нужна операция
Помимо резистентной артериальной гипертензии и двустороннего поражения, операция может понадобиться при дистопии органа. Пациентам проводится удаление одной или двух почек. Осуществляется посредством полостной или лапароскопической нефрэктомии. Тактика подбирается индивидуально.
Народные методы
Методы народной терапии основаны на применении трав. Фитолечение осуществляется совместно с традиционной медициной, перед этим следует проконсультироваться с врачом.
Полезны травяные сборы из можжевельника, петрушки, толокнянки, хвоща, ромашки, календулы, мяты, зверобоя, алтея.
Данные растения способствуют очищению организма от токсических продуктов обмена, оказывают антисептическое действие на органы мочевыделительного тракта.
Их можно заваривать как раздельно, так и в различных сочетаниях. Пьются отвары 3-4 раза в день за полчаса до приема пищи.
Лечение детей
Лечение пациентов детского возраста во многом сходно с лечением взрослых. Существенное отличие заключается в случаях, когда диагностируется двустороннее поражение почек.
В таких ситуациях необходимо удалить пораженные органы, иначе продолжительность жизни будет короткой.
Пациенты после двойной нефрэктомии нуждаются в пересадке. До трансплантации им необходимо посещать сеансы гемодиализа для очищения организма от токсических веществ.
В случае, если пораженный орган плохо работает, его следует удалить.
Тактика по питанию и образу жизни у детей такая же, как и у взрослых. Можно периодически принимать препараты-уросептики растительного происхождения.
Осложнения
Заболевание может осложняться. Чаще всего диагностируются следующие состояния:
- дистопия, или смещение органа;
- сужение мочеточников;
- нарушение структурных компонентов почек – лоханок, чашек;
- образование конкрементов;
- артериальная гипертензия;
- инфекционные заболевания;
- почечная недостаточность различной степени выраженности.
Некоторые из осложнений встречаются часто, поэтому важно выявить заболевание как можно раньше, что поможет избежать нежелательных состояний.
Прогноз и профилактика
Если имеется двустороннее поражение, прогноз заболевания неблагоприятный. В редких случаях пациенты живут дольше 1 года. В ситуации односторонней гипоплазии прогноз более благоприятный. Если здоровая почка в состоянии осуществлять свои функции в полном объеме, продолжительность жизни больного равняется средней.
Пациентам важно избегать переохлаждений, физических перегрузок, вести здоровый образ жизни, соблюдать советы по питанию и водно-солевому режиму. Только в таком случае можно надеяться на полноценную и продолжительную жизнь.
Гипоплазия почки – заболевание, требующее ранней диагностики и вовремя начатого лечения и профилактики. Только выполнение всех рекомендаций врача и регулярное диспансерное наблюдение способно обеспечить пациенту полноценную и долгую жизнь.
Рекомендуем другие статьи по теме
Источник: https://UroHelp.guru/pochki/anomalii/gipoplaziya.html
Гипоплазия правой почки мкб – Все про почки

Многие годы пытаетесь вылечить ПОЧКИ?
Глава Института нефрологии: «Вы будете поражены, насколько просто можно вылечить почки просто принимая каждый день…
Читать далее »
Одним из врождённых патологических заболеваний человека является гипоплазия почек. При этом дефекте наблюдается недоразвитость почки, что проявляется в её меньших размерах. Если орган уменьшается, то это, в свою очередь, ведёт к уменьшению количества клеток почки (нефронов). Функция почки сохраняется, но эффективность её работы снижена.
Здоровая почка может успешно справляться с нагрузкой, при этом больной не будет испытывать дискомфорта. Лечение гипоплазии почки не проводится. Профилактика осложнений данной патологии состоит в сохранении нормальной работы мочевыделительной системы в целом.
Следствием этого заболевания может быть поражение одной почки. Это так называемая односторонняя гипоплазия. Страдают от неё чаще новорождённые мальчики, у которых проблемы со здоровьем выявляются при осмотре после рождения.
НАШИ ЧИТАТЕЛИ РЕКОМЕНДУЮТ!
Также этот недуг может наблюдаться у взрослого мужчины, женщины страдают этим заболеванием редко.
Причины возникновения дефекта
Патология закладывается в тот момент, когда ребёнок находится ещё в утробе матери. Причины, вызывающие такое нарушение, заключаются в неправильном развитии клеток организма будущего ребёнка. Дефект развития обусловлен внешними и внутренними факторами.
К внешним причинам можно причислить такие процессы, как малое количество околоплодной жидкости, а также отклонение от нормы положения плода. Эти основные причины дополняются давлением извне на матку (например, тугая одежда), вредными привычками беременной женщины, воздействием излучения.
Кроме того, вредно употребление сильнодействующих лекарств, перенесённые инфекционные заболевания.
Гипоплазия почки у ребёнка может быть вызвана рядом внутренних причин:
- заболевания матки матери;
- эффект недоразвития плода;
- заболевание пиелонефритом ещё в утробе матери;
- тромбоз почечных вен у ребёнка;
- неправильное положение зародыша.
Врачи-нефрологи считают, что чаще всего почка может уменьшиться всё-таки из-за внутренних патологий.
Формы заболевания
Нефрологическая наука выделяет три вида гипоплазии почек, которые отличаются друг от друга отклонениями в строении этого органа мочевыделительной системы:
- гипоплазия простая, характеризуется снижением количества нефронов и чашечек в почке;
- гипоплазия + олигонефрония, определяется как двусторонняя гипоплазия с характерным маленьким количеством нефронов и клубочков при увеличенной массе соединительной ткани и расширенными канальцами;
- гипоплазия + дисплазия, отмечается наличием пороков развития ткани почки, когда плохо сформирована мезенхимальная ткань и имеются хрящевые зоны.
Кроме того, выделяется гипоплазия правой почки. Она характеризуется гипертрофированностью левой почки, которая, увеличиваясь, берёт на себя дополнительную нагрузку. Местоположение правой почки из-за печени чуть ниже, чем левой.
Этот вид характерен для женского организма, что определяется анатомическими особенностями. Нормальное функционирование левой почки компенсирует эту аномалию.
Гипоплазия левой почки проявляется более выраженными симптомами. Основной признак этого вида – сильные периодические боли ноющего характера в пояснице. Другие симптомы появляются на фоне инфекции, переохлаждения, травм. Этот вид считается врождённым у мужчин.
Симптоматика
Если патология односторонняя, а другой парный орган нормально выполняет свои функции, то человек может дожить до пожилого возраста, не подозревая о болезни.
Осложнения в виде разных симптомов появляются тогда, когда вторая здоровая почка не совсем справляется с повышенной нагрузкой. Тогда больная почка начинает реагировать. Первое осложнение, которое может появиться, это пиелонефрит с характерными для него симптомами. Эта болезнь вызывает у ребёнка повышенное давление, плохо поддающееся лечению.
Также уменьшение почки в размерах может проявляться явным отставанием ребёнка в развитии, бледностью и отёчностью кожных покровов, повышением температуры, частыми диареями, деформациями костной ткани, вздутием живота, почечной недостаточностью, выпадением волос, тошнотой, рвотой, высоким давлением.
Методы диагностики
Когда внешних признаков заболевания не наблюдается, то гипоплазированную почку можно обнаружить только во время планового медосмотра.
Для диагностики гипоплазии используются такие методы обследования:
- МРТ или КТ;
- рентгенография;
- биопсия;
- УЗИ брюшной полости.
Для уточнения диагноза применяются другие способы. Больному назначается экскреторная урография и нефросцинтиграфия, делается общий анализ мочи, проводится почечная ангиография и ретроградная уретеропиелография, берутся почечные пробы.
Диагностика позволит определить, какая почка уменьшилась, каково количество чашечек, в каком состоянии лоханка. Кроме того, будут видны размеры мочеточника.
Гипоплазия и беременность
Беременная женщина, которой поставлен диагноз гипоплазия почки, способна родить здорового ребёнка. Для этого необходимо отсутствие других патологий мочевыделительной системы. Кроме того, будущая мама должна регулярно проходить обследование, чтобы рассчитывать на благополучный исход беременности.
В случае, когда недоразвитая почка часто воспаляется и это приводит к пиелонефриту, необходимо сначала пройти медикаментозное лечение. После восстановления нормального функционирования уменьшенной почки и показателей артериального давления беременность будет протекать благополучно.
Если развивается почечная недостаточность в результате гипоплазии почки, то беременность противопоказана.
Особенности заболевания у ребёнка
Диагностирование гипоплазии у ребёнка требует незамедлительного лечения. Дети в первые годы жизни очень быстро растут, и их организм постоянно находится в состоянии больших умственных и физических нагрузок. В результате уменьшения почки ребёнок будет отставать от других детей в своём развитии, двусторонняя гипоплазия вызовет массу проблем физического, а также эмоционального плана.
Дети с такой патологией имеют сероватые и бледные кожные покровы, у них образуются мешки и отёки под глазами, они страдают повышенным артериальным давлением и постоянными головными болями.
Из-за того, что это врождённый дефект, избавиться от него нельзя. Нормально состояние здоровья можно поддерживать путём правильного питания, разумной организации режима дня, отказа от вредных привычек. В этом случае болезнь о себе может не заявить на протяжении всей жизни.
Профилактика заболеваний мочевыводящей системы
Почки являются главным органом мочевыделительной системы. Дистопия и гипоплазия почек в острой форме может отрицательно сказаться на работе этой системы. Поэтому необходимо не допускать нежелательных осложнений, которые приведут к сбою в работе здоровой почки и воспалению больной.
К мерам профилактики гипоплазии относятся следующие моменты:
- отказ от вредных привычек, в первую очередь от алкоголя;
- регулярно проходить осмотры органов мочеполовой системы;
- все воспалительные процессы надо долечивать, не допуская перехода в хроническую стадию (гайморит, отит, кариес и др.);
- включить в режим дня регулярные занятия спортом;
- взять за привычку время от времени бывать в сухих саунах;
- уделить необходимое внимание одежде, чтобы не допускать переохлаждения;
- употреблять меньше соли, пить достаточное количество воды.
Особое внимание надо уделить питанию. Именно оно способно уберечь почки от воспаления. Для этого необходимо ограничить употребление слишком солёных продуктов, есть больше мяса и рыбы. Не желательно пить минеральную воду, её лучше заменить соками, компотом, травяными отварами. Основная масса дневного рациона должна состоять из овощей и фруктов.
При соблюдении этих правил, гипоплазия почек беспокоить не будет.
Агенезия и аплазия почек: методы устранения патологии
Агенезия почки – врожденная аномалия, при которой у человека отсутствует орган мочевыделения, а также мочеточник и сосуды. Аплазия почки — разновидность агенезии, при которой ножка органа присутствует, но сама почка представляет собой дисфункциональный зачаток. Всю работу выполняет единственный здоровый орган.
Причины врожденной патологии
Редко у людей встречается аплазия, и это заболевание, развивающееся внутриутробно, чаще всего приводит к смерти малыша.
Болезнь возникает при недоразвитии протока метанефроса, который не дорастает до своей бластемы. Аномалия характеризуется укорочением или полным отсутствием мочеточника.
Если орган мочевыделения не берет на себя компенсаторную функцию, младенец погибает еще в утробе матери.
При нормальной работе здорового органа такое патологическое явление могут диагностировать в старшем или даже пожилом возрасте. Агенезия почек вызывает осложнения: МКБ, артериальную гипертензию, пиелонефрит. Выделяется аплазия левой почки или органа справа. Также возможно их полное отсутствие.
Причины аномалии
Причиной появления аплазии является наследственная предрасположенность. Существует еще перечень факторов, вызывающих развитие болезни:
- перенесение матерью в первые три месяца вынашивания ребенка таких заболеваний, как краснуха, грипп и другие инфекции, венерические болезни;
- длительное употребление противозачаточных препаратов до наступления беременности;
- частое употребление спиртных напитков;
- наличие болезней эндокринной системы.
Важно помнить, что все вредные привычки будущей матери оставляют свой отпечаток на малыше и нередко приводят к развитию пороков.
Разновидности патологических состояний
Существует классификация врожденного заболевания. Это двухсторонняя аномалия, при которой плод гибнет внутриутробно или спустя пару часов после родов. Выделяется также агенезия правой почки, когда нет органа справа, и агенезия левой почки, когда отсутствует орган мочевыделения слева. Также есть такой вид аномалии, как аплазия правой почки или органа слева.
По статистике, этот порок развития чаще выявляют у женщин с правой стороны, предположительно из-за меньшего размера правой почки и ее большей подвижности.
НАШИ ЧИТАТЕЛИ РЕКОМЕНДУЮТ!
Аномалия проявляется зачастую в первые месяцы жизни малыша, для нее характерны:
- наличие полиурии;
- частые срыгивания и обезвоживание организма младенца;
- формирование почечной недостаточности;
- появление приступов гипертонии.
При правосторонней патологии практически незаметны симптомы и диагностика, проводимая неопытным врачом, не способна выявить подобную аномалию. В результате болезнь диагностируется случайно. Зачастую прогноз благоприятный.
В результате появления аплазии левой почки правому органу мочевыделения труднее справляться с двойной нагрузкой из-за меньшего размера и подвижности.
Симптоматическая картина:
- болезненные ощущения в паху;
- проблемы в половой системе;
- импотенция (у мужчин);
- бесплодие;
- затруднение эякуляции.
Аплазия почки с левой стороны выявляется всего в 7% случаев. Диагностируется в основном при недоразвитии иных органов брюшинного пространства. Характерна патология для представителей сильного пола.
Сопутствующими заболеваниями выступают пороки семенных пузырьков, проблемы развития мочевого пузыря и отсутствие семявыводящих протоков.
Агенезия почки слева провоцирует формирование кистозных образований в здоровом органе.
Клиническая картина врожденного заболевания
Аплазия почки проявляется не столь ярко, как агенезия. Когда страдает одна левая почка, симптомы проявляются более интенсивно: увеличение суточного объема урины, рвота, диарея, а еще отечность лицевой области головы, боли в зоне пояснично-крестцового отдела спины, проблемы с сексуальной жизнью у мужчин. Нередко у больных наблюдается гипертония, не устраняющаяся препаратами.
У ребенка о патологическом состоянии говорит низкое расположение ушных раковин, наличие складок на теле, большой живот и аномальное расположение глаз, широкая форма носа, одутловатое лицо. Подобные отклонения должны послужить поводом для проведения обследования малыша на выявление почечных болезней.
Выявление аномалии почек
Первым этапом диагностирования болезни становится опрос пациента и его визуальный осмотр. Дифференциация проводится с такими патологиями, как агенезия почки, гипоплазия.
При выявлении заболевания применяют аортографию, почечную ангиографию, КТ и МРТ. Чтобы оценить здоровье органа мочевыделения, делают ультразвук и рентген. Общее исследование мочи, крови, бактериологический посев урины выполняется для оценки состояния пациента.
Терапия при пороке органа мочевыделения
Лечение проводится при сильных болях в поясничном отделе позвоночника, рефлюксе в канал, который не до конца сформировался, при постоянной гипертензии.
При поражении правой почки обычно врач подбирает пациенту специальную диету, чтобы понизить нагрузку на орган. Под запретом употребление жареных, жирных и соленых блюд, копчений, спиртных напитков и крепкого чая, кофе, газировки. Если клиническая картина ярко выражена, разрешается принимать диуретики, обезболивающие и противовоспалительные лекарства по назначению лечащего врача.
При аплазии с левой стороны проводятся профилактические мероприятия, целью которых является укрепление иммунитета и предотвращение развития осложнений.
Ранее двусторонняя патология считалась приговором для малыша. Сейчас врачи проводят трансплантацию органов, что дает ребенку шанс продолжить нормальную жизнь.
Профилактические правила для беременных
Чтобы ребенок родился без отклонений, каждая будущая мама должна соблюдать ряд правил:
- планировать зачатие;
- вести здоровый образ жизни;
- лечить заболевания инфекционного характера;
- употреблять лекарственные препараты только после консультации с врачом;
- правильно питаться;
- спокойно реагировать на стрессовые ситуации.
Если у человека были выявлены почечные отклонения в виде аплазии или агенезии, необходимо соблюдать все врачебные предписания. Ведь только так больной сможет полноценно жить с врожденным пороком.
Источник: https://1pochki-med.ru/narodnye-sredstva/gipoplaziya-pravoj-pochki-mkb/
Гипоплазия почки: код по мкб 10, признаки у новорожденого – Сайт о

Патология является врожденной аномалией, характеризующейся уменьшением размеров пораженного органа, структуры почки чаще всего остаются нормальными.
Болезнь может быть одно — и двусторонней, от этого зависит клиническая картина и продолжительность жизни пациентов.
Причины возникновения и код по МКБ 10
Ее компоненты при этом структурно и функционально состоятельны, поэтому почка, пораженная гипоплазией, имеет небольшие размеры, но ее строение никак не страдает.
Код в международной классификации болезней десятого издания – Q 60.5.
Патология является врожденной, обычно выявляется у лиц детского возраста.
Обычно признаки появляются в результате перенесенного пиелонефрита или под влиянием неблагоприятных факторов среды.
Имеет значение образ жизни беременной женщины. Если она курит, употребляет алкоголь, долго пребывает на солнце, подвергается ионизирующему облучению, риск развития гипоплазии увеличивается.
Гипоплазия почки у новорожденного ребенка и взрослого: код по МКБ-10, причины, симптомы, лечение
Почки принимают активное участие в кроветворении, метаболических и эндокринных процессах, в регуляции кислотно-щелочного баланса, также они концентрируют мочу. За минуту почки очищают около литра крови.
Поэтому нарушения их деятельности могут негативно отразиться на состоянии организма. Одной из почечных патологий является гипоплазия, которая серьезно нарушает почечную деятельность.
Заболевание имеет врожденное происхождение и встречается в 0,08-0,19% случаев.
Поделиться: