Узи почек: что показывает, подготовка, расшифровка и нормы

Почки — это крайне важный орган в нашем организме и без даже одной из них организму будет очень тяжело поддерживать нормальное функционирование своих систем. Чтобы это понять, достаточно просто изучить их функции:
- выведение из организма конечных продуктов обмена веществ;
- поддержание осмотического давления;
- регуляция количества ионов в организме человека;
- образование и регуляция количества некоторых гормонов;
- кроветворение;
- участие в обмене веществ.
Но, несмотря на такие важные функции, почки достаточно часто подвергаются различным заболеваниям. При этом, заболевания встречаются вне зависимости от возраста или какого-либо другого фактора. Однако стоит отметить, что ряд патологий чаще встречается у женщин.
Необходимо учитывать, что важную роль в лечении любой патологии играет именно своевременная и правильная диагностика. Диагностика начинается с того момента, когда пациент заходит в кабинет к врачу, в случае с заболеваниями почек к нефрологу или урологу, и может не заканчиваться даже после выписки. На сегодня самый успешный метод инструментальной диагностики этого органа — это УЗИ почек.
О методах исследования почек
Ультразвуковое исследование — это абсолютно безопасный метод диагностики, который применяется в различных отраслях медицины. В урологии метод применяется, так как достойную альтернативу найти достаточно тяжело.
Например безопасность УЗИ говорит о том, что можно со спокойной душой идти на обследование, ведь его можно выполнять столько, сколько потребуется. Делают УЗИ почек и детям, так как исследование не только безопасно, но также безболезненно, что немаловажно.
Но не стоит забывать и про другие методы.
- УЗИ почек не всегда способно заменить КТ, МРТ, урографию и другие. Зачастую первые подозрения на патологию этих органов могут быть обнаружены при выполнении общего анализа мочи, и только потом пациент будет направлен в больницу для выполнения ультразвукового исследования.
- Обследование, при котором проводится диагностика органов брюшной полости при помощи ультразвука, называется УЗИ органов брюшной полости. Но по сути это ряд исследований, таких как: УЗИ почек, желчного пузыря, печени, селезенки, поджелудочной железы и т.д. В процессе такой диагностики, например можно обнаружить и новообразования из различных тканей. Однако само исследование имеет общий характер и не заостряет внимание на каком-то из органов. Но и оно может выявить даже минимальные изменения.
- Еще один вид диагностики, при котором изучается вся мочевыделительная система, надпочечники, поджелудочная железа и лимфатические узлы — УЗИ забрюшинного пространства.
- Порой недостаточно УЗИ ОБП или почек. Часто его мало, так как необходимо изучить сосуды. Для диагностики сосудов почек также есть ультразвуковой метод. Он обладает всеми свойствами обычного УЗИ, но фокусирует свое внимание на кровотоке. Он называется допплерография сосудов почек и дает возможность обнаружить нарушения кровотока, но с выявлением причины у него есть проблемы.
- А например для одновременного выявления нарушения кровотока и определения причины патологии почек используется также ультразвуковой метод — дуплексное сканирование почек или ряд других методов. Точно определиться с тем, что использовать стоит после консультации у врача, а также, после выполнении ряда анализов.
УЗИ почек и мочевыделительной системы выполняют не только при патологии именно этой системы. Например, такое исследование, как УЗИ с определением остаточной мочи, используется для диагностики аденомы простаты, простатита, стриктуры уретры, рака предстательной железы и нейрогенного расстройства мочеиспускания.
Что показывает УЗИ почек?
На ультразвуковом исследовании почек можно определить ряд показателей. Благодаря им и определяются различные патологии и отклонения.Однако окончательный вывод редко делается на основании только одного показателя. К примеру, если на УЗИ увеличена почка, то метод не скажет точно, какая патология является причиной этому.
УЗИ почек показывает следующие патологии:
- опущение почек;
- кисты;
- опухоли;
- абсцессы;
- скопления различных жидкостей, как в самой почке, так и в околопочечном пространстве;
- дистрофию почек;
- ряд воспалительных заболеваний;
- конкременты (камни);
- присутствие воздуха в почечно-лоханочной системе.
Эти показатели можно очень хорошо увидеть на ультразвуковом исследовании. При дальнейшем исследовании УЗИ почек и мочевыделительной системы показывает следующее:
- сужение мочеточников, места их соединения с мочевым пузырем;
- расширение мочеточника;
- уретроцеле;
- наличие все тех же конкрементов по ходу мочеточников, в мочевом пузыре или уретре.
Если же рассматривать использование допплерографии при исследовании почек, то например можно выявить еще больше информации о сосудах и возможном их поражении, но выполнять ее стоит в тех случаях, когда необходимость установил врач.
Кроме тех ситуаций, когда имеются симптомы, явно указывающие на патологию мочевыделительной системы, существуют и группы пациентов, которым желательно в качестве профилактических мер выполнять УЗИ почек. Симптомы и показания для больных следующие:
- патологии эндокринной системы;
- любое недержание мочи;
- повышенное артериальное давление;
- нарушение мочеиспускания;
- боли в области поясницы;
- наличие различных новообразований;
- аномалии развития мочеполовой системы;
- травмы;
- нарушение функции почек;
- изменения в анализе мочи;
- различные инфекции и воспалительные поражения.
Подготовка к УЗИ почек
Самым главным советчиком в подготовке к УЗИ почек является врач. Ведь именно он расскажет и объяснит, что нужно сделать для нормального прохождения ультразвукового исследования. Однако есть и ряд общих принципов, а также ряд часто встречающихся вопросов.
УЗИ почек, надпочечников и забрюшинного пространства подготовкой не отличается, но если есть какие-либо нюансы, то врач об этом обязательно предупредит. Также например нужно понять и то, что подготовка к УЗИ почек делится на диету и медикаментозную подготовку. При этом, последнее не всегда необходимо.
- Итак — что делать перед УЗИ почек? Первое и одно из самых важных — диета. Она заключается в исключении из рациона продуктов, способствующих газообразованию. К ним относятся:
- сырые овощи и фрукты,
- свежая выпечка,
- молоко и кисломолочные продукты,
- алкоголь,
- газированные напитки,
- жирные продукты
- и т.д.
Полный список продуктов, которые нельзя есть перед УЗИ почек, необходимо получить у врача.
- Диета длится 3 дня. Перед ультразвуковым исследованием почек за 8-10 часов нельзя употреблять пищу. Поэтому диагностика часто проводится утром и натощак.
- Например при многих ультразвуковых исследованиях органов малого таза необходимо пить жидкость, и поэтому у многих пациентов возникает вполне логичный вопрос — нужно ли пить воду перед УЗИ почек? Данное исследование не стало исключением, а значит, пить жидкость будет необходимо. Оптимальным вариантом будет обычная вода. Выпить ее нужно за час до диагностики и не мочиться. Один из наиболее неприятных моментов в этой диагностике — это именно воздержание от позывов к мочеиспусканию. В остальном же это абсолютно безболезненное и безвредное обследование.
- Также необходимо отдельно сказать о том как подготовиться к УЗИ почек ребенку. А зависит это от возраста ребенка. Например дети в возрасте до 6-8 месяцев перед исследованием должны употребить около 100 милилитров воды или грудного молока (смеси) где-то за 20 минут до исследования. Однако, если целью диагностики будут являться надпочечники, то в дальнейшем у детей будет отличаться только объем жидкости и спектр продуктов, которые необходимо ограничить от употребления.
- Подготовка к УЗИ почек у женщин во время беременности также не отличается особой сложностью и схожа с той которая описывалась выше, но зачастую необходима и медикаментозная подготовка.
- Медикаментозная подготовка к УЗИ почек заключается, в основном, в использовании ветрогонных средств или сорбентов в перерывах между приемами пищи или же за три часа до исследования. Дозу нужно уточнить у врача. Также приемы пищи могут сопровождаться использованием средств, улучшающих пищеварение (панкреатин, мезим).
- Если обследуемый страдает запорами, то желательно выполнить микроклизму. Если же запоры отсутствуют, то клизма никак не снизит газообразование в кишечнике.
Как делают УЗИ почек?
Проводится УЗИ почек несложно, без введения в организм различных веществ и проколов кожи. Пациент всего лишь приходит в кабинет диагностики и ложится на кушетку. Далее врач смазывает гелем область исследования, так как он необходим для улучшения скольжения датчика по поверхности кожи и удаления воздуха из пространства между датчиком и кожей.
После этого, врач приступает непосредственно к обследованию. Как только врач на УЗИ обнаружил почку, то он приступает к более глубокому изучению данного органа. В процессе, от пациента потребуется изменить положение тела, пару раз задержать воздух или выполнить другие несложные действия. Все они называются функциональными пробами и позволяют обнаружить орган и лучше его изучить.
И если теперь понятно как делают УЗИ почек, то стоит разобраться и с результатами и с тем, какие заболевания могут быть обнаружены.
Расшифровка УЗИ почек и нормы
Прежде, чем приступить к расшифровке результатов УЗИ почек, следует осветить один важный момент. Окончательный ответ по ультразвуковому исследованию почек дает только уролог или нефролог.
Практически все остальные врачи, в том числе и диагност, не являются достаточно компетентными, чтобы дать полноценный ответ, назначить лечение и дать рекомендации, хотя первичную оценку дает врач-сонолог.
Начнем разбор результатов с размеров. Размеры почки в норме по УЗИ составляют:
- толщина — 4-5 см;
- ширина — 5-6 см;
- длина — 10 -12 см.
Еще один параметр, который используется при оценке размеров почки — толщина паренхимы, но ее норма тесно связана с возрастом, поэтому выделить какую-либо общую норму достаточно тяжело.
Структура и форма почек на УЗИ, в норме следующая:
- бобовидной формы,
- наружный контур должен быть ровным и четким,
- капсула гипоэхогенна (толщина около 1-2 мм),
- при наполненном мочевом пузыре не должна быть видна чашечно-лоханочная система
И это далеко не все параметры, так как оценивается подвижность, сравнивается эхогенность почки и печени и т.д.
Также при изучении почек, особое внимание уделяется и чашечно-лоханочной системе (ЧЛС).
Если при изучении ЧЛС, УЗИ показывает расширение лоханки, то это указывает на факт нарушения оттока мочи, а вот причины для этого могут быть очень и очень разнообразные. Например:
- опухоль,
- гидронефроз,
- перекрытие просвета камнем,
- мегауретер
- и т.д.
Если же выполняется УЗИ почек и последующая расшифровка у детей, то заниматься ею должен врач, который специализируется именно в детской урологии и нефрологии.
Например нормы УЗИ почек у детей отличается от таковых у взрослых, и имеются свои нюансы. Однако в особенности это касается детей первого года жизни и детей дошкольного возраста.
В детском возрасте частой причиной патологии почек являются врожденные аномалии развития.
Подводя итоги
В конце также стоит упомянуть и о таком немаловажном факте, как цена на исследование. Стоимость УЗИ почек зависит от города и места проведения.
Например многое зависит от современности аппаратуры и опытности врачей, а выбирать можно среди множества частных клиник, диагностических и специализированных центров. Цена же колеблется от 500 до 1700 рублей и выше.
Выбрать место проведения может помочь лечащий врач. Диагностику также можно выполнить и бесплатно, если имеется наличии направления на обследование.
Как правило отзывы о диагностике методом ультразвука положительные, как со стороны врачей, так и со стороны пациентов. При этом последние выделяют доступную цену, безопасность, безболезненность, отсутствие проколов кожи.
УЗИ почек в урологии — это важный диагностический метод, который за время его использования стал одним из главных, ведь он может спасти почки и жизнь пациента.
ПОДЕЛИТЕСЬ С ДРУЗЬЯМИ И ПРОГОЛОСУЙТЕ: (2 5,00 из 5) Загрузка…
Источник: https://uzipro.ru/uzi-zheludochno-kishechnyiy-trakt/ob-uzi-pochek.html
Расшифровка УЗИ органов брюшной полости

Интерпретация результатов многих исследований – дело довольно непростое и требует высокого профессионализма. А при диагностических процедурах, направленных на изучение сразу нескольких органов, правильно описать полученные материалы становится еще сложнее.
Именно таким мероприятием считается расшифровка УЗИ брюшной полости. Чтобы на основании материалов обследования лечащий врач смог разработать наиболее подходящую терапевтическую стратегию, каждый орган должен быть тщательно изучен диагностом. И его заключение должно содержать всю необходимую информацию о состоянии исследованных органов.
Цели УЗИ брюшной полости
УЗИ органов брюшной полости (ОБП) дает возможность обнаружить практически все известные патологии, возникающие в области живота. В процессе проведения диагностики оцениваются размеры, структура органов и их месторасположение. Изображение, созданное при помощи ультразвуковых волн, позволяет выявить наличие воспалительных процессов и состояние кровеносных русел, расположенных в брюшине.
Такая процедура зачастую проводится при ежегодных медицинских осмотрах в профилактических целях для выявления заболеваний на ранних стадиях. Но в большинстве случаев на ультразвуковое обследование отправит лечащий врач при жалобах больного на присутствие у него симптомов, таких как:
- боли ноющего, режущего, давящего характера в области живота и поясницы;
- повышение температуры, не связанное с простудными заболеваниями;
- неприятный привкус во рту, горечь, снижение аппетита;
- ощущение тяжести и дискомфорт после приема пищи;
- непереносимость жирной пищи, частая икота;
- вздутие живота, чрезмерное газообразование;
- потеря массы тела невыясненной этиологии;
- желтушность кожных покровов.
Один или несколько из вышеперечисленных симптомов указывают врачу на наличие заболевания органов ЖКТ (желудочно-кишечного тракта), расположенных в брюшной полости.
При проведении ультразвуковой диагностики сонолог имеет возможность детально изучить каждый из органов и выявить патологические изменения, такие как воспалительные и онкологические процессы, а также формирования конкрементов (камней).
Минусом такой методики является невозможность изучения функциональных нарушений, но зато она позволяет качественно исследовать структуру:
- печени;
- селезенки;
- желчного пузыря;
- поджелудочной железы;
- мочевыводящей системы (по показаниям);
- лимфоузлов и кровеносных сосудов брюшной полости.
Органы брюшной полости, доступные ультразвуковому исследованию
Иногда при необходимости дополнительно исследуются органы малого таза: у женщин – матка, фаллопиевы трубы и яичники, а у мужчин – предстательная железа и семенные пузырьки.
Полые органы – желудок и кишечник, как правило, не подлежат подробному изучению, так как при данной процедуре их состояние оценить невозможно.
Единственное что можно обнаружить при УЗИ – это скопление жидкости в области тонкого или толстого кишечника.
По окончании обследования и составления протокола, пациенту на руки выдается документ с полной расшифровкой всех полученных данных. В заключении указаны нормы для каждого из исследованных органов и возле них показатели конкретного больного.
Бланк с результатами предоставляется лечащему врачу для сопоставления с клинической картиной и назначения дальнейших лечебных мероприятий. Если же показатели у пациента соответствуют норме, то в протоколе будет указано, что ОБП без изменений.
Нормальные показатели органов ОБП и отклонения
В протоколе исследования прописаны нормы УЗИ брюшной полости с указанием возрастных и половых разграничений, поэтому даже сам пациент может увидеть какие-либо несоответствия в своем бланке.
Печень и желчный пузырь
Ввиду тесного контакта и взаимодействия эти два органа обследуются практически одномоментно и всегда вместе. Большая часть заболеваний этих двух органов взаимосвязаны, и ими страдает значительная часть населения не только в нашей стране. Поэтому печень и желчный пузырь подвергаются самому скрупулезному изучению.
Диета перед УЗИ органов брюшной полости
Нормальными показателями размеров природного фильтра – печени для взрослого человека считаются:
- правая доля: длина до 5 см, толщина 12–13 см;
- левая доля: высота до 10 см, толщина до 7 см;
- косой вертикальный размер – до 15 см.
Если в диагностических материалах указывается повышенная эхогенность тканей печени, то подразумевается, что для данного органа характерно увеличение способности отражать ультразвуковые волны. Это явление характерно для гепатоза – изменения качества и количества жировых клеток печени. При крайних стадиях этого заболевания при УЗИ не удается обнаружить печеночные сосуды.
Гипоэхогенные участки печени на УЗИ
Превышение нормы размеров печени и присутствие в ней жидкости в большинстве случаев говорят о развитии цирроза. При этом визуализируется расширение венозных сосудов (особенно воротной вены), изменяются форма и контуры печени.
Структурные изменения печени в нескольких участках различных по своей природе могут быть свидетельством протекания разных патологических процессов. Такое наблюдается при онкологических заболеваниях, кистозных образованиях и абсцессах. Параллельно с печенью изучается и желчный пузырь. Норма данного органа и его протоков у взрослого здорового человека имеет следующие характеристики:
- форма: круглая, овальная или грушевидная;
- размеры: ширина – 3–5 см, длина – 6–10 см;
- стенки: ровные, без изменений и наростов;
- толщина стенок самого органа – 4 мм.
При наличии в желчном пузыре участков – наростов, ультразвуковая диагностика покажет их в виде теней. Такие изменения зачастую свидетельствуют о присутствии в полости органа конкрементов.
Онкологические новообразования также могут визуализироваться как наросты, крепящиеся к стенкам пузыря.
По полученным результатам опытный специалист может определить характер (добро- или злокачественный) и размеры сформировавшейся патологии.
При обследовании ультразвуком можно обнаружить симптоматику воспалительных процессов в органе. На это указывает уменьшение либо увеличение его размеров, а также уплотнение стенок. Такие перемены указывают на развитие острого холецистита. При хроническом течении заболевания, во время процедуры визуализируется уплотнение стенок и контуров, при этом последние имеют четко очерченные границы.
При сочетанном воспалении с формированием конкрементов, имеющим название калькулезный холецистит, с помощью ультразвука визуализируются неровные границы краев пузыря и тени от них.
Кроме всего прочего, процедура позволяет диагностировать опасное для здоровья человека состояние, характеризующееся наличием жидкости – асцит. Это свидетельствует о развитие перитонита (воспаление брюшины) и требует оказания срочной оперативной помощи.
Еще одним случаем, нуждающимся в неотложной хирургической операции, является закупоривание желчного протока конкрементом.
При такой патологии на УЗИ будет видно расширение желчного пути, что даст возможность врачу ее диагностировать.
Изменения желчного пузыря на снимке УЗИ при хроническом холецистите
Обследование данного органа помогает обнаружить наличие в нем воспалительных и онкологических процессов. Нормальные показатели поджелудочной железы у взрослого человека составляют:
- головка – до 3,5 см,
- тело – до 2,5 см,
- хвост – до 3 см,
- контуры – ровные,
- структура – однородная,
- достаточная эхогенность,
- отсутствие наростов,
- диаметр протока железы – 1,5–2 мм.
Низкая эхогенность (недостаточная пропускная способность железы) свидетельствует об остром панкреатите – воспалении поджелудочной железы. При хронической форме заболевания орган увеличивается и на УЗИ визуализируется расширение его протока.
Объем железы – основной критерий, определяющий ее состояние. При новообразованиях, как правило, наблюдается неравномерное увеличение размеров железы.
При наличии на изображении участков, отличающихся от ткани, из которой состоит железа по структуре, можно сделать вывод о присутствии абсцессов, кистозных образований либо опухолей.
Кистозные формирования в поджелудочной железе на изображении УЗИ
При УЗ-диагностировании довольно редко обнаруживаются патологии данного органа, да и сама селезенка подвергается заболеваниям нечасто. Нормальными параметрами для нее принято считать следующие:
- длина – 10–12 см;
- ширина – 5см;
- толщина – 5 см;
- структура – однородная;
- вена не покидает ворот органа.
Увеличение селезенки, выявляемое ультразвуком, указывает на заболевания печени или органов кроветворения, а также об инфекциях, в том числе и паразитарных.
При обнаружении уплотненных участков делается вывод о присутствии инфаркта селезенки, что может произойти при ушибах либо закупоривании тромбом венозных сосудов.
В ходе ультразвуковых исследований можно диагностировать разрыв селезенки вследствие травматических повреждений, ее выраженное смещение, имеющее второе название «блуждающая селезенка». Также специалисту становится доступно отследить врожденные аномалии, недоразвитие органа либо присутствие добавочных долей.
Мочевыводящая система
По определенным показаниям при проведении обследования брюшной полости может выполняться и УЗ-осмотр мочевыводящих органов. Они расположены в забрюшинном пространстве, и их изучение не требует никаких дополнительных мероприятий для врача, а вот пациенту нужно на момент исследования иметь наполненный мочевой пузырь. Нормой для почек является:
- ширина – 5–6 см;
- длина – 11 см;
- толщина – 4–5 см;
- паренхима (оболочка) – около 2,3 см.
При этом в нормальном состоянии при процедуре не визуализируются никакие включения или измененные участки в мочеточниках и почечных лоханках.
Для определения присутствия камней обязательно исследуют мочевой пузырь – УЗ-диагностика позволяет без особых усилий определить количество и размеры конкрементов.
Для представителей мужского пола пожилого возраста характерно образование камней в самой полости пузыря – это происходит из-за проблем с оттоком мочи, чаще всего вследствие заболеваний простаты.
В таком случае в описании результатов будет указано, что присутствуют первичные конкременты. Это не является признаком мочекаменной болезни.
Если же в описании речь ведется о вторичных конкрементах, то это прямое подтверждение мочекаменной болезни. То есть камни были сформированы в почках и уже по мочевым путям попали в полость мочевого пузыря.
При развитии в мочевом пузыре воспалительных процессов при УЗИ, его стенки визуализируются как утолщенные
Образования, выявленные в его просвете, могут быть опухолевыми процессами как доброкачественного, так и злокачественного характера.
Ультразвуковое обследование позволяет оценить состояние крупных сосудов брюшной аорты, воротной и нижней полой вены.
Диагносту представляется возможным определить аневризмы – истонченные участки сосудов, которые могут стать причиной разрыва стенки и привести к внутреннему кровотечению.
Брюшная аорта на изображении, полученном в ходе допплерографии
При процедуре специалист определяет размеры сосудов брюшины, которые в норме составляют:
- аорта – 2–2,5 см;
- нижняя полая вена – 2,5 см;
- селезеночная артерия – 1–4 мм;
- селезеночная вена – 5 мм.
Если вышеуказанные показатели не отклоняются от нормы, то дальнейших диагностических мер не рекомендуется, в противном же случае дополнительно проводится допплерография либо ангиография. О лимфатических узлах, можно сказать следующее – у здорового человека они не увеличены и не определяются в ходе диагностики.
Если же материалы УЗИ указывают на их увеличенное состояние, то это является признаком присутствия инфекции либо опухолевого процесса злокачественного характера. При обследовании ОБП ребенка применяются специальные таблицы, позволяющие оценить показатели нормы и возможных отклонений соответствующие возрасту, весу и полу.
Что делать после диагностики
Пациенты должны знать что врач, занимающийся выполнением процедуры и интерпретацией полученных данных, предоставляет только предварительное заключение о состоянии обследованных органов. В материалах будут указаны все выявленные в ходе диагностирования отклонения от нормы. После чего прошедший процедуру отправляется к своему лечащему врачу.
Врач сопоставляет данные исследования и общую клиническую картину состояния пациента, в результате чего выставляет диагноз либо при необходимости назначает дополнительные диагностические методы, позволяющие получить недостающие составляющие. Пациенту не стоит отказываться от дополнительных обследований, так как это потом может ему дорого обойтись в плане здоровья.
Источник: https://apkhleb.ru/uzi/rasshifrovka-organov-bryushnoy-polosti
Узи брюшной полости (обп): норма, расшифровка показателей у взрослых

Брюшная полость – пространство в теле человека, размещенное под диафрагмой, в котором находятся брюшные органы. К ним относятся: желудок, печень, кишечник, селезенка, желчный пузырь, почки и надпочечники.
Показания к исследованию
Для чего проводят УЗИ ОБП? Если имеются следующие показатели, то исследование необходимо:
- неприятные ощущения и боль в области живота;
- постоянный горький привкус во рту;
- ощущение наполненности желудка;
- чрезмерное газообразование;
- учащенная икота;
- неожиданное уменьшение веса;
- наличие гипертонии;
- гепатит;
- отягощение в подреберьях;
- подозрения на рак.
Боль в области живота неясного происхождения является одной из ключевых причин для назначения УЗИ органов брюшной полости
Что включает УЗИ органов брюшной полости и какие заболевания обнаруживаются в ходе исследования:
- желчный пузырь: холецистит, скопление гноя (эпиема), камни, моторика желчного пузыря, деформации желчного пузыря;
- печень: гепатит, цирроз, абсцесс, ухудшение обмена веществ в клетках печени, опухоль (рак);
- почки и система мочевыделения: нефросклероз, воспалительные процессы, уменьшение стенок мочеточника, мочекаменная болезнь;
- селезенка: инфаркт селезенки, киста, опухоль, абсцесс, воспаление вследствие инфекции или наличия паразитов;
- поджелудочная железа: киста, опухоль, абсцесс, затвердения в протоках;
- накопление жидкости в брюшной полости;
- аневризма, сужение стенок сосудов;
- увеличение лимфоузлов, изменение их структуры.
Печень
Нормальные размеры печени по УЗИ:
- правая доля — длина до 5 см., толщина — 12-13 см;
- левая доля — высота до 10 см., толщина — не более 7 см;
- косой вертикальный размер — в пределах 15 см.
Увеличенная эхогенность печени указывает на наличие жирового гепатоза. Край печени закруглен. Заболевание в последней фазе не позволяет получить четкое изображение сосудов портальной системы.
Если размеры печени увеличены, а воротная и селезеночная вены расширены, то можно сделать вывод о наличии цирроза. При этом отмечается закругленность нижнего края и неровность контуров, а исследование покажет крупноочаговую эхоплотность. При этом имеет место обнаружение свободной жидкости в брюшной полости, так называемый асцит.
На УЗИ ОБП можно выявить цирроз печени. В этом случае нижний край органа будет закруглен, контуры неровные и слаборазличимые. При циррозе в брюшной полости может скапливаться жидкость — это тоже просматривается при помощи ультразвука
Застойные явления характеризуются расширением формы печени, закруглением краев, увеличением объема полой вены и ее неспособностью уменьшиться при вдохе. Возникает в результате заболеваний сердца или легких.
Изменение эхоструктуры некоторых очагов может указывать на кисты, абсцессы, доброкачественные и злокачественные опухоли (рак).
Желчный пузырь
Норма УЗИ полости желчного пузыря для взрослых людей:
- форма: грушевидная или продолговатая;
- размеры: ширина – от 3 до 5 см., длина – от 6 до 10 см.;
- объем: 30-70 куб. см.;
- стенки: толщина до 4 мм.;
- образования в просвете: нет.
Расшифровка: камни или опухоли проявляются в виде акустической тени на полученном изображении при обследовании. Тень дает основание сделать вывод о виде камней, которые имеют неодинаковый состав.
Образование часто бывает подвижным. Также оно может быть прикреплено к стенке или обладать большими размерами. Благодаря этим признакам, врач определяет характер образования и проверяет симптомы рака.
С помощью УЗИ можно получить информацию о качестве заболевания. Так, при хроническом холецистите стенки пузыря становятся толще, а контуры – четкими и плотными.
Акустическая тень от эхогенных образований, утолщение стенки и неровность контуров являются симптомами калькулезного холецистита. Протоки чаще всего закупориваются камнями, которые затрудняют отток желчи.
Расшифровка УЗИ желчных протоков в норме:
- общий желчный проток: диаметр — 6-8 мм.;
- внутрипеченочные протоки: не изменены.
Поджелудочная железа
Норма поджелудочной железы по УЗИ:
- включения в железе отсутствуют;
- головка: до 35 мм., тело: до 25 мм., хвост: 30 мм;
- контур: гладкий;
- эхоструктура гомогенная, эхогенность нормальная;
- вирсунгов проток: 1,5-2 мм;
- образования: отсутствуют.
Расшифровка: низкая эхоплотность железы указывает на острый панкреатит, изменение объема – свидетельство хронического панкреатита или рака. Расширенный вирсунгов проток – указание на хроническое воспаление. Про рак может говорить частичное расширение железы, негладкие края, выемки на внешнем слое печени, сдвиг и сжимание пустотелого сосуда (аорты).
Поджелудочная железа — еще один обязательный объект исследования при УЗИ ОБП. Ее низкая эхогенность говорит об остром панкреатите, а изменение формы или величины свидетельствует о хроническом панкреатите или онкологическом заболевании
Селезенка
Нормы параметров селезенки по УЗИ у взрослых:
- длинник: 10-12 см;
- толщина и ширина: около 5 см;
- площадь макс. продольного сечения: до 40-50 см2;
- индекс: в пределах 20 кв. см.;
- структура: без образований;
- селезеночная вена в воротах.
Расшифровка УЗИ: увеличенный размер селезенки чаще указывает на кровяные и печеночные недуги и инфекционные заражения. Уплотненность структуры органа указывает на инфаркт селезенки, вызванный ушибом или тромбозом, что приводит к уничтожению части селезенки. Расшифровка обследования также позволяет выявить разрывы, которые образовались после ушибов и травм.
Желудок, кишечник, почки
Исследование этих структур брюшной полости заключается в установлении наличия или отсутствия поражения. При отклонении возможно скопление жидкости в кишечном просвете.
УЗИ желудка и кишечника проводится по показаниям врача — оно не входит в комплекс стандартного обследования ОБП
При необходимости, ультразвуковое исследование почек дополнительно включается в заключение. Диагностика почек в норме:
- ширина: 5-6 см;
- длина: 11 см;
- толщина: 4-5 см;
- паренхима: не более 23 мм;
- лоханки: изменения отсутствуют;
- просветы лоханок и мочеточников без лишних включений.
Лимфатические узлы
Норма УЗИ лимфатических узлов забрюшинного пространства предполагает отсутствие их визуализации при сканировании. Это значит, что в нормальном состоянии лимфоузлы не просматриваются на УЗИ.
При расшифровке ультразвукового обследования увеличенные лимфоузлы являются показателем инфекционного заражения органов брюшной полости или образования злокачественных опухолей (рака). Органы увеличиваются за счет клеток рака крови, либо из-за метастазов опухоли органа, находящегося около лимфоузла.
Заключение врача
Специалист делает вывод о заболеваниях и отклонениях органов брюшной полости, перечисляет полученные данные, осуществляет их расшифровку. Заключение может иметь запись, что эхопризнаки не выявлены, если была необходимость обследования какого-либо органа. В любом случае, последнее заключение делает врач, который направлял на УЗИ.
Источник: https://UziMetod.com/brushina/rasshifrovka-uzi-bryushnoy-polosti.html
Узи брюшной полости – какие органы проверяют

УЗИ ОБП – это современный безболезненный метод обследования внутренних органов и систем через кожу. Проводится исследование органов брюшной полости с помощью небольшого датчика и ультразвуковых волн.
Методика с точностью выявляет наличие заболеваний, отклонения в их развитии и определяет общее состояние организма. К процедуре следует готовиться заранее, но для экстренного обследования это не требуется.
Что такое ультразвуковое исследование брюшины?
УЗИ брюшной полости – высокоинформативная методика ультразвуковой диагностики. Она безболезненна, основана на способности волн проникать сквозь ткани и отражаться от них. Излучение свободно проходит через внутренние органы, которые наполнены воздухом. Отражаются ультразвуковые волны от всех плотных структур.
Этот сигнал фиксируется датчиком и данные, после обработки в компьютере, передаются в монитор. На изображении показываются органы, их форма, плотность и отклонения от нормы. Одновременно может быть обследовано забрюшинное пространство, область малого таза или почки.
Принцип работы УЗИ
В УЗИ брюшной полости применяется способность ультразвуковых волн просвечивать ткани. Они имеют высокую частотность, проникают сквозь кожу и полностью или частично отражаются от тканей. Сведения передаются в автомат, который является одновременно датчиком с высокой чувствительностью и принимает данные.
Они транслируются в компьютер, на котором установлена специальная программа для создания 2-х или 3-х мерного изображения. Для лучшей картины между кожей и высокочувствительным аппаратом с помощью геля убирается воздушная прослойка. Для сканирования чаще всего используются приборы, работающие на 1,8-7,6 МГц.
Какие органы проверяются?
Во время ультразвуковой диагностики проверяются все сосуды и аорты, которые находятся в брюшине. Обследуются почки, отделы мочеточников, клетчаточные пространства. Проверяются частично или полностью скрытые в брюшине (и в пространстве за и перед ней) внутренние органы:
- Селезенкапроверяется на увеличение, наличие разрывов и внутренних кровотечений. Измеряется площадь органа, его толщина, длина и ширина.
- У желчного пузыряопределяется сократительная способность, плотность желчи, отсутствие или наличие камней.
- Измеряются размеры и объемы поджелудочной железы(ее тело, хвостовая часть, головка рассматривается отдельно), проверяется панкреатический проток.
- При обследовании мочевого пузыря отмечается наличиекамней или их отсутствие, есть ли опухоли стенки, рефлюкс, свищи.
- У печенипроверяются желчные протоки, структуры паренхимы, вены и крупные сосуды. Измеряются размеры органа, его фрагменты и доли, края.
- У почек сканируется структура паренхимы, измеряются размерыи объем органа, состояние чашек и лоханки. Регистрируется ее сократительная способность.
- Желудок.
Во время проведения процедуры УЗИ брюшной полости возможно частичное обследование кишечника. Однако из-за того что в нем находится полужидкое содержимое и воздух, полностью проверить орган невозможно. Все же УЗИ позволяет обнаружить некоторые плотные фрагменты кишечника (инородные тела, опухоли).
Что показывает исследование?
Что входит в УЗИ брюшной полости? Исследуются все органы, находящиеся в этой области. Данный метод помогает выявить опухоли, но ультразвук не может определить их злокачественность или доброкачественность. Также УЗИ показывает:
- фиброз;
- кисты;
- аппендицит;
- изменения паренхимы почек;
- эхинококковые паразитарные кисты;
- гломерулонефрит;
- амилоидоз;
- разлитие желчи;
- подкапсульный разрыв селезенки;
- спленомегалию;
- гиднефроз;
- пиелоэктазию;
- гастрит;
- камни в почках;
- жировой гепатоз;
- цирроз печени;
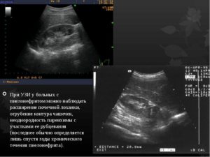
- пиелонефрит;
- заболевания надпочечников;
- не- и калькулезный холецистит;
- агнезию почек;
- язву желудка;
- каликопиелоэктазию;
- алкогольный, инфекционный и токсический гепатит;
- разрывы органов.
УЗИ брюшной полости выявляет отеки, изменения объемов органов. Определяется наличие или отсутствие за брюшиной новообразований. Диагностика показывает некоторые признаки мочеточникового рефлюкса, пузырно- маточных или прямокишечных свищей.
Показания для УЗИ
Причинами проведения УЗИ поджелудочной железы становятся отклонения нормальных значений в анализе крови, опоясывающие боли. Сканирование мочевого пузыря делается при болезненном и затрудненном мочеиспускании, появлении в урине осадка и солей. Обследование проводится при:
- болезненных постоянных ощущениях в области поясницы;
- гипертонии;
- болезненных мочеиспусканиях;
- хронической форме панкреатита;
- поврежденияхорганов брюшной полости;
- всех видах гепатита;
- подозрениях на заболевание Аддиссона;
- появлении кист в брюшине;
- отечности;
- увеличении размеров селезенки;
- желтухе;
- подозрениях на заболевание Иценко-Кушинга;
- травмировании живота;
- послеавтомобильных аварий;
УЗИ брюшной полости может быть сделано при появлении признаков:
- пульсация и боли в животе;
- чрезмерное газообразование;
- рост живота;
- стабильная повышенная температура, которая не связана с простудами;
- тяжесть и дискомфорт под ребрами справа;
- диспепсический синдром, сопровождающийся тошнотой, рвотой, изжогой, снижением аппетита;
- гиперсаливация;
- распирающие желудок, тянущие боли послееды;
- ощущение во рту горечи.
УЗИ брюшной полости назначается для оценки поражения мочеполовой системы после воспаления, изменений в период вынашивания ребенка. Ультразвуковое сканирование выполняется при подозрении на появление новообразований или для наблюдения за уже обнаруженными заболеваниями. В качестве профилактики УЗИ органов брюшной полости желательно делать дважды в год.
Противопоказания для УЗИ
Ультразвуковое исследование относится к неинвазивным и безопасным методикам, поэтому абсолютных запретов не имеет. Не рекомендуется делать УЗИ перед обследованием с использованием контраства (гастро- или ирриграфии).
Также после недавно перенесенных пациентом эндоскопических процедур и лапароскопических операций. Данные ограничения опасности для здоровья человека не представляют, но могут исказить эхографические данные.
Подготовка к УЗИ
Если человек принимает лекарства, об этом следует сообщить врачу до начала процедуры. Перед ней проводится очистка кишечника. За четверо суток до проведения УЗИ начинают пить препараты и травы, уменьшающие газообразование и улучшающие переваривание пищи.
В подготовительный период можно пить «Эспумизан», активированный уголь, или иные препараты, назначенные врачом. Таблетки принимаются по 2 штуки, трижды в день, перед едой. При постоянных запорах за двое суток до процедуры делается клизма. Она может быть рекомендована врачом и в день УЗИ. Перед обследованием нельзя проходить колоноскопию.
В течение трех суток до проведения УЗИ следует придерживаться строгой диеты. Питаться нужно 5-6 раз в день, но маленькими порциями. В рацион должны включаться ячневая и овсяная крупа, греча. Перед обследованием исключаются все продукты, вызывающие метеоризм. Скопившиеся газы способны исказить результаты исследования. Из меню исключаются:
- горох;
- кисломолочные продукты;
- свежевыжатые соки;
- черный хлеб;
- шоколад и другие сладости;
- капуста белокочанная;
- молоко и йогурты;
- жареная пища;
- жирное мясо;
- фрукты и овощи в сыром виде;
- чрезмерно соленая пища;
- мучные и кондитерские шедевры;
- острая еда;
- спиртное;
- газировка.
Исключаются курение, жвачка и леденцовые конфеты способны вызвать желудочные спазмы. Пища должна готовиться на пару или отвариваться. Добавление соли в блюда сводится к минимуму. Разрешаются:
- нежирная рыба;
- овсянка, греча, пшено, сваренные на воде;
- нежирные супы (например, куриные или овощные);
- твердые сыры;
- куриное мясо;
- несладкий чай;
- говядина;
- отварные вкрутую яйца.
Последний раз можно питаться перед УЗИ за двадцать часов. В день процедуры есть разрешается лишь после обследования. Пить в течение дня можно, но за пару часов до проведения УЗИ употребление любых жидкостей прекращается.
Если будут обследоваться почки и мочевой пузырь, то пациент, наоборот, должен много пить. Непосредственно перед сканированием употребляется 1,5-2 литра воды. Пить нужно очень медленно, чтобы с жидкостью в желудок попало как можно меньше воздуха. Он может спровоцировать искажение результатов.
Проведение ультразвуковой диагностики
УЗИ брюшной полости делается недолго. Пациент ложится на кушетку в требуемое врачом положение. Если это печень, то пациент укладывается на левый бок или животом кверху. Затем на кожу наносится проводящий гель, улучшающий проведение ультразвука.
Исследование проводится небольшим датчиком. Он перемещается по телу в нужной области. На мониторе компьютера появляется изображение. По нему врач оценивает:
- общее состояние, структуру, размеры внутренних органов брюшной полости;
- наличие или отсутствие новообразований;
- расположение органов.
Исследование длится приблизительно 15-20 минут. Длительность сканирования зависит от качества подготовки и индивидуальных особенностей организма. Если нужно, внимание акцентируется на подозрительных моментах, которые требуют более тщательного изучения.
Факторы, которые искажают диагностику
Исказить результаты обследования способно ожирение, пройденный на днях рентген, полный мочевой пузырь (исключение делается при сканировании почек). Перед УЗИ нельзя пить спазмолитики «Папаверин», «Дибазол», «Спазмолгон». После последнего перекура должно пройти не меньше двух часов.
Расшифровка результатов УЗИ ОБП
Для каждого органа или системы существуют определенные нормы – размеры, плотность и т.д. Их отклонения могут указывать на конкретные заболевания.
Лимфатические структуры
Если лимфатические структуры находятся в норме, то во время УЗИ их не видно. Увеличение узлов свидетельствует об инфекции, злокачественных опухолях, метастазах.
После процедуры УЗИ органов брюшной полости делается заключение, в котором подробно описывается, на наличие каких заболеваний похожи эхо-признаки. Если исследуется конкретный орган и отклонений от нормы не наблюдалось, пишется, что эхо-симптомом патологии не выявлено.
УЗИ – эффективный и точный метод определения изменений внутренних органов и систем. Процедура помогает определить развитие онкологии и других серьезных заболеваний. Метод безболезненный и практически не имеет противопоказаний.
Источник: https://medsins.ru/uzi/uzi-obp.html
Поделиться: