Что такое гиперэхогенное образование: об опасности изменения структур органов простыми словами

Гиперэхогенное образование на снимке УЗИ говорит об уплотнении тканей. При выявлении такого симптома врач назначает дополнительное обследование. Уплотнение бывает признаком опухоли, камней, кальцинатов.
Понятие эхогенности
Метод УЗИ основан на использовании ультразвука. Он способен проходить через ткани человеческого тела и отражаться от них. Это свойство называют эхогенностью. Каждый орган имеет свою эхогенность.
На снимке УЗИ внутренние органы имеют окраску от белой до черной. Большинство — серые, это говорит о равномерной эхогенности. Плотные ткани отражают ультразвук быстро — поэтому на снимке они белые. В норме это хрящи и кости. Свойство называется гиперэхогенностью.
Мягкие ткани, сосуды отражают ультразвук медленно — на снимке выглядят темно-серыми. Жидкость вообще не отражает ультразвуковые волны, окрашивается в черный цвет.
Что такое гиперэхогенные тканевые включения
Гиперэхогенные включения — это образования в тканях, имеющие на снимке белый цвет. По плотности они схожи с хрящом или костью. У здорового человека таких включений быть не должно. Гиперэхогенными образованиями являются:
- опухоли;
- камни;
- песок;
- кальцинаты.
Появляться гиперэхогенные структуры могут в любом органе. Они отчетливо заметны, потому что по плотности отличаются от окружающей ткани. У особо плотных включений есть акустическая тень, тоже определяемая на УЗИ. Тень появляется из-за резкого перехода от очень плотной ткани к мягкой. Она находится с одной стороны патологического образования, выглядит как темно-серое пятно.
Причины образования
Гиперэхогенные образования появляются вследствие патологических процессов:
- воспаление;
- перерождение;
- скопление солей;
- камне образование.
У одного заболевания может быть несколько причин возникновения.
Особенности в зависимости от органа
Появляются гиперэхогенные образования в разных органах человеческого тела. Они находятся в мягких тканях или внутри полостей. Различают образования по признакам:
- форма;
- размер;
- контуры;
- интенсивность просветления на снимке.
По этим критериям специалист предполагает то или иное заболевание.
Печень
Гиперэхогенным новообразованием здесь является опухоль, чаще она имеет злокачественный характер. Представлена светлым пятном неправильной формы.
Полностью светлая ткань печени в сочетании с уменьшением размеров — признак цирроза. Это заболевание, при котором нормальная печеночная ткань замещается рубцовой.
Можно обнаружить кисты печени благодаря эффекту реверберации. Попадая в полость, ультразвук несколько раз отражается от ее стенок и затухает. На снимке видны светлые стенки кисты с затемнением в центре.
Об образованиях в печени читайте подробную статью.
В видео вы увидите гиперэхогенные стенки портальной системы печени:
Желчный пузырь
Гиперэхогенные образования желчного пузыря находятся внутри него или на стенке.
- Сладж — густая гиперэхогенная взвесь желчи на дне пузыря. Представлен белой полосой по нижнему контуру.
- Полип. Образован холестериновыми отложениями, растет из стенки органа. Имеет широкое основание, вытянутую форму. Размер до 4 мм.
- Камень — спрессованные желчные соли. Выглядит, как яркое белое пятно на дне пузыря. Всегда имеется акустическая тень. Форма камней чаще округлая.
Отличить сладж или камень от полипа легко. Камни смещаются при изменении положения тела, а полип остается на месте.
Матка
Гиперэхогенный фокус в мышце матки — миома или злокачественная опухоль. При миоме одновременно наблюдается увеличение самого органа, деформация его.
Гиперэхогенным образованием может оказаться полип матки, сгусток менструальной крови. Для подтверждения этого следует сделать УЗИ через 3-4 дня после менструации.
Если обнаруживается гиперэхогенное образование, имеющее форму буквы Т — это внутриматочный контрацептив. Он имеет четкие контуры, расположен посреди органа.
Молочная железа
Плотные новообразования в молочной железе возникают на фоне гормональных сбоев или воспалений:
- фиброзная мастопатия — округлые светлые образования с акустической тенью;
- мастит — линейные участки просветления или узлы;
- злокачественная опухоль — образование с нечеткими контурами.
Чтобы различить новообразования, делают маммографию и пункцию.
Мочевой пузырь
Чаще всего здесь обнаруживаются камни — мелкие светлые включения с акустической тенью. Имеют различную форму и размеры. На начальной стадии мочекаменной болезни обнаруживается песок — гиперэхогенная взвесь.
Мочевой пузырь поражается при инфекционном заболевании шистосомозе. В его стенке обнаруживается множество точечных гиперэхогенных включений.
Почки
Гиперэхогенные образования — чаще камни. Мелкие белые включения, расположены в чашечках, дают акустическую тень. Имеют округлую или коралловидную форму.
Опухоль почки обычно располагается на ее поверхности. Представлена светлым наростом округлой формы. Доброкачественная опухоль имеет еще более светлый ободок — капсулу.
Щитовидная железа
Гиперэхогенный участок — опухоль щитовидной железы. Светлое округлое образование с четкими контурами. Внутри могут быть еще более плотные участки — кальцинаты.
Яичники
Плотное образование в яичнике, имеющее нечеткие контуры, границу затемнения вокруг — рак. Опухоль с капсулой вокруг, неоднородной структурой — тератома. Это врожденная киста яичника, внутри которой находятся жир, волосы, зубы.
УЗИ у плода
При обследовании беременных женщин у плода иногда выявляют ГЭФ — гиперэхогенный фокус — в левом желудочке сердца. Чаще всего он не имеет значения для дальнейшего развития плода. ГЭФ в сердце является скоплением солей кальция или дополнительной хордой — выростом стенки желудочка.
Но иногда это признак хромосомных нарушений. Если у женщины есть факторы риска, ей проводят дополнительное обследование. В околоплодный пузырь вводят иглу и берут небольшое количество вод на анализ.
Такое же обследование можно сделать в плаценте. С помощью анализа выявляются любые генетические отклонения.
Смотрите видео о ГЭФ плода:
Заключение
Ультразвуковое исследование выявляет даже незначительные изменения в тканях. Но с помощью УЗИ можно только предположить характер патологических изменений — по форме, размеру, плотности.
Окончательный диагноз выставляется врачом с учетом других обследований. Для получения максимально точного результата к обследованию нужно подготовиться.
Акустический доступ, то есть проходимость ультразвука, затруднен из-за метеоризма, каловых масс в кишечнике. Для очистки кишечника назначают диету, ветрогонные препараты. К УЗИ щитовидной железы, почек подготовка менее строгая.
Источник: https://uziman.ru/metodika/giperehkhogennoe-obrazovanie
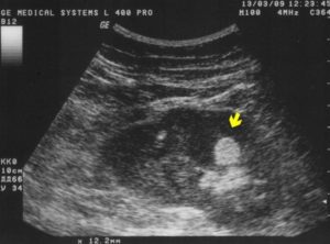
Гиперэхогенное образование в почке 4 мм

У здорового человека почки имеют правильную овальную форму, четкие контуры, их расположение симметрично, они не отражают УЗ-волны.
На наличие гиперэхогенных образований в органах во время ультразвукового обследования указывают области с измененной внутренней структурой и значительной акустической плотностью.
Участок с повышенной эхоплотностью визуализируется по сравнению с другими почечными тканями как более светлая зона.
Во время ультразвукового обследования уточняются размеры органов. Длина здоровых органов в зависимости от роста человека и возраста составляет:
- правой почки – 8-14 см;
- левой — 7,5-12,5 см.
Увеличение размера органов наблюдается при декомпенсированном сахарном диабете, акромегалии, остром гломерулонефрите, а также при амилоидозе и лимфомах.
Сморщивание почек информирует о необратимом изменении, искать причину которых уже нет необходимости.
Повышенная эхогенность коркового вещества – проявление неспецифическое, наблюдается при множестве заболеваний.
С помощью доплеровского исследования возможно обнаружить стеноз почек, уточнить проходимость артерий и вен органов, а также кровообращение в них.
Симптоматика патологических образований
Гиперэхогенные включения редко формируется в двух органах, обычно диагностируются изменения только в одном.
Объемное образование правой почки увеличивает риск нарушения кровообращения в нижней полой вене. Имеет следующие проявления:
- боль с правой стороны тела;
- отечность нижних конечностей;
- изменение цвета мочи;
- субфебрильную температуру;
- резь при мочеиспускании;
- проблемы сердечно-сосудистой системы;
- тошноту, рвоту.
Объемное образование левой почки характеризуется схожими по симптоматике, но оказывающими меньшее патологическое влияние на организм признаками:
- болью в левом боку;
- повышением температуры;
- слабостью, потливостью;
- изменением лабораторных показателей мочи;
- расширением, по причине сдавливания, вен в области паха.
Причины гиперэхогенных включений
Почечные патологии возникают вследствие влияния одного или нескольких провоцирующих факторов:
- чрезмерного употребления жареной, соленой, острой пищи;
- применения длительное время обезболивающих препаратов;
- наследственной предрасположенности;
- болезни Крона;
- травм;
- инфекционных заболеваний мочеполовых путей и ЖКТ;
- сахарного диабета;
- гипервитаминоза или гиповитаминоза;
- повышенной минерализации питьевой воды;
- гиподинамии;
- недостаточного употребления жидкости.
Классификация изменений в почках
В зависимости от визуализации изменений в органах, их разделяют на 3 вида формирований повышенной плотности:
- объемные включения, создающие акустическую тень. Сообщают о крупных образованиях или о склеротизированном, по причине воспаления, лимфатическом узле;
- объемные структуры без акустической тени. Обычно информируют о формировании: кист, атеросклеротических патологий сосудов, песка в почках, жировой клетчатке синуса органа, доброкачественных или злокачественных опухолях;
- небольшие, точечные, гиперэхогенные образования без акустической тени. Подобные эхоответы считаются признаком кальцификатов или наличия псаммомных телец. Наблюдаются при диффузно-склерозирующих, раковых вариантах новообразований.
Благодаря ультразвуковой диагностике возможно обнаружить камни размером от 2 мм.
Более мелкие изменения отличить сложнее, поскольку их приходится дифференциировать от других гиперэхогенных структур организма. Объемное образование в почке до 3 см также может быть признаком:
- небольшой доброкачественной кисты;
- псевдоопухоли;
- абсцесса;
- почечно-клеточной карциномы;
- аденомы;
- онкоцитомы;
- ангиомиолипомы;
- метастазирования опухоли в почки;
- лимфомы.
Выделяют 3 вида объемных почечных включений:
- кистозные – гладкие, округлые образования, имеющие четкие границы, неплохо передающие эхосигналы через заднюю стенку;
- солидные – характеризуются неправильной формой с неровными краями, отсутствием четкой визуализации между объемным включением и почкой;
- сложные – в пределах обнаруженной структуры образуются абсцессы, области некроза, кальциноз или кровоизлияния.
Морфологические варианты гиперэхогенных почечных образований:
- фиброзно-склеротические участки – скопления известковых солей (70%);
- кальцификаты — группирование солей кальция (30%);
- псаммомные тельца – белково-липидные отложения(50%).
Псаммомные тельца в почечных образованиях являются признаком злокачественной опухоли, поскольку они никогда не присутствуют в доброкачественных тканях. У последних обычно основной состав – фиброзно-склеротические участки.
Наличие солей кальция отражает возраст патологии. Для отложений кальцификатов требуется несколько месяцев. Скапливаются они чаще всего в очагах воспалений или поврежденной ткани.
Диагностика проблемы
Эхография позволяет безболезненно, очень быстро, с высоко достоверностью, без травмирования тканей выявить измененные участки. Главные критерии ультразвуковой диагностики:
- размеры органов;
- изменение кровообращения;
- эхогенность;
- состояние тканей почек.
Гиперэхогенные включения обнаруживаются при некоторых патологических состояниях:
- опухолях доброкачественной и злокачественной структуры;
- камнях в почках;
- абсцессах, нефритах, карбункулах;
- гематомах (кровоизлияний);
- рубцевании тканей;
- кистообразных выростах.
Объемное образование почки которое встречается чаще остальных – простая киста.
Патологические процессы становятся причиной изменения в размерах (в зависимости от локализации) правой или левой почки, что неблагоприятно сказывается на работе других органов.
Симптоматика почечных патологий аналогична признакам, возникающим при множестве других заболеваний. Поэтому необходима обязательная дифференциация для постановки верного диагноза, а также назначения адекватного лечения.
Для этого рекомендуют исследования крови на онкомаркеры, суточный анализ мочи на концентрацию минеральных солей, а также МРТ, эксткреторную урографию, СКТ почек с контрастированием. В сложных ситуациях может понадобиться забор небольшого участка пораженной ткани на почке на анализ.
Поставить однозначный диагноз на основе ультразвукового обследования почек (в комплексе с лабораторными и физическими исследованиями) может лишь квалифицированный специалист.
Лечебные мероприятия
Терапия гиперэхогенных образований выполняется в 2-х направлениях:
- устранение причины заболевания;
- блокирование симптоматики.
Патологические включения лечатся консервативными способами. Камни из почек выводят 2 методами. Первый — основан на частом мочеиспускании. Для этого подбираются определенные мочегонные травы или назначаются медикаментозные средства.
Так лечат не превышающие 5 мм конкременты. Второй вариант – дробление камней с помощью литотрипсии (ультразвукового лечения) или эндоскопом (лазерная терапия).
Оперативные вмешательства назначаются редко, при больших размерах конкрементов (20-25 мм).
При раковом процессе выполняют экстренную операцию, соблюдая принцип онкологической радикальности. Почку чаще всего полностью удаляют.
После этого пациенту подбирается курс химиотерапии, целью которого становится нейтрализация остатков раковых клеток и профилактика рецидивов заболевания. При неоперабельной опухоли проводится паллиативная терапия с применением химиотерапии и радиотерапии.
Для купирования дискомфортных ощущений назначаются обезболивающие ненаркотические препараты. Если они не оказывают необходимого эффекта, выписывают наркотические средства.
При гематомах лечение выполняется, чаще всего, без оперативных вмешательств. Пациенту требуется строгий постельный режим в течение 2-3 недель, гемостатическая и антибактериальная терапия. Если наблюдаются симптомы разрыва почки, проводится хирургическая операция. Увеличения гематомы, внутренние кровотечения также становятся показанием для экстренного хирургического вмешательства.
Большая часть гиперэхогенных включений – доброкачественное разрастание фиброзной ткани. У пожилых людей они выявляются вследствие нарушения процесса обмена веществ.
Профилактические меры
Профилактические мероприятия состоят в:
- ограничении кофе, чая, мучных изделий, алкоголя, кваса, острых, жареных, жирных блюд, щавеля, бобовых, капусты, шоколада, орехов;
- употребление не менее 2 л жидкости в сутки;
- ежедневной физической активности (ходьбе, плаванье, беге);
- полноценном сне (7- 8 часов в сутки);
- профилактическом осмотр специалистом не менее 2 раз в год, сдаче анализов при необходимости;
- включении в ежедневное меню молочных продуктов, запеченной рыбы, мяса, каш, супов, фруктов, овощей;
- предпочтение при употреблении соков кабачкового, тыквенного, яблочного, огуречного.
Гиперэхогенные образования в почках – патология, диагностирующаяся с помощью ультразвукового обследования. Симптоматика зависит от вида почечных изменений и стадии, на которой находится процесс.
Диагностика обычно включает дополнительные анализы, позволяющие точно определить заболевание и подобрать адекватное лечение.
Итоговая эффективность терапии зависит от своевременности обращения к специалисту и общего состояния здоровья.
Source: OnkoExpert.ru
Источник: https://gepasoft.ru/giperjehogennoe-obrazovanie-v-pochke-4-mm/
Что такое гиперэхогенные включения и чем опасно их обнаружение в почках во время УЗИ

Процедура ультразвукового исследования почек позволяет определить особенности функционирования данного органа, целостность его структуры и отсутствие любых возможных патологий в виде злокачественных или доброкачественных образований.
Почки в нормальном состоянии имеют округлую форму, расположены симметрично и не отражают ультразвуковых волн.
При наличии отклонений может выявляться изменение размеров и формы почек, их асимметричное расположение, а также различные образования, отражающие ультразвук.
Гиперэхогенные включения в почках – это новые образования или инородные тела, которые не содержат жидкость, имеют низкую звукопроводность и высокую акустическую плотность. Поскольку плотность чужеродных структур выше плотности почечной ткани, ультразвуковые волны при проведении исследования отражаются от них и создают явление гиперэхогенности.
Что такое гиперэхогенность и акустическая тень
Почка отбрасывает акустическую тень«Эхогенность» – это способность твердых и жидких физических тел отражать звуковые волны. Все внутренние органы эхогенны, иначе проведение УЗИ было бы просто невозможным. «Гипер» – значит сверх чего-либо, в нашем случае – сверх обычной эхогенности тканей почек.
Гиперэхо-сигнал означает, что внутри почки появилось нечто, способное мощно отражать ультразвуковые волны.
Врач на экране определяет включение по светлому, почти белому пятну, и сразу обращает внимание, отбрасывает ли обнаруженное включение акустическую тень, то есть сгусток непрошедших сквозь него ультразвуковых волн.
Ультразвуковая волна немного плотнее воздуха, поэтому не пропустить ее сквозь себя может только очень плотный объект.
Гиперэхогенные включения – это не самостоятельное заболевание, а сигнал о развитии патологии внутри почки.
Клиническая картина: симптомы и признаки
Без проведения УЗИ наличие новообразований определить практически невозможно, однако, как правило, они сопровождаются следующими симптомами:
- повышенная температура на фоне болей в нижнем отделе спины;
- измененный цвет мочи (она становится бурой, ярко- или темно-красной);
- колики (одиночные и приступообразные) в почечной области;
- постоянные боли (острые и/или ноющие) в паху;
- запоры, чередующиеся с поносами;
- тошнота и рвота.
Виды включений и возможные заболевания
Как выглядит гиперэхогенное образование на УЗИ Если в полости почки, а чаще обеих, обнаруживаются уплотнения большого объема (0,5-1,5 см3), отбрасывающие акустическую тень, они указывают на камни внутри почки.
Объемное образование с фиксируемой тенью может указывать на склерозированный лимфоузел, который образовался после гнойно-воспалительного процесса или в ходе хронического воспалительного заболевания.
Склерозирование – это патологическая замена здоровых функциональных элементов какого-либо органа соединительной тканью с последующим нарушением его функций и отмиранием.
Если внутри почки обнаруживается единичное образование, не отбрасывающее акустической тени, оно может быть сигналом:
- кистозной полости, заполненной жидкостью или пустой;
- склерозирования сосудов почки;
- мелких, еще не затвердевших конкрементов (камней);
- песка;
- воспалительного процесса: карбункула или абсцесса;
- жирового уплотнения в почечной ткани;
- кровоизлияния с наличием гематом;
- развития опухолей, природу которых нужно уточнять.
Если гиперэхогенные образования мелкие (0,05-0,5 см3), отражаются на экране яркими блестками, а акустическая тень отсутствует, это эхо-сигналы псаммомных телец или кальцификатов, которые часто, но не всегда, указывают на злокачественные опухоли.
Псаммомные (псаммозные) тельца – слоистые образования округлых форм белково-жирового состава, инкрустированные солями кальция. Встречаются в соединениях сосудов, мозговых оболочках, некоторых видах опухолей.
Кальцификаты – соли кальция, выпадающие в мягкие ткани, пораженные хроническим воспалением.
Исследование может выявить сочетание нескольких разновидностей гиперэхогенных включений с наличием тени или без нее.
В состав злокачественных опухолей в 30% случаев входят кальцификаты, в 50% случаев – псаммомные тельца, в 70% случаев фиксируются склерозированные области.
Велика вероятность увидеть гиперэхогенные включения в почках при наличии мочекаменной болезни, очагов инфекции, хронических или рецидивирующих воспалительных заболеваниях: гломерулонефрите, гидронефрозе, паранефрите.
Постановка точного диагноза и дополнительные процедуры
Под руководством врача, анализирующего клиническую картину вашего заболевания, следует пройти дальнейшие обследования, уточняющие природу образований.
Если заподозрены камни, песок, гематомы в почках, назначаются общий и суточный анализ мочи, определяющий состав минеральных солей в ней, а также анализ крови для определения слабых звеньев обмена веществ организма.
Если почка была травмирована, в нее произошло кровоизлияние, образовалось жировое отложение или киста, склерозировались сосуды и требуется операция, – проводят МРТ с целью определения точного местоположения включений.
Обнаружение гиперэхогенных тел – не повод для смятения или бездействия, необходимо незамедлительно обследоваться, установить диагноз и приступить к лечению.
Профилактика и лечение
Операция по удалению опухоли почкиПрофилактические меры, как правило, включают в себя использование народных методов лечения.
Так для выведения песка или камней небольшого размера эффективно применяются различные мочегонные травяные сборы и лекарственные средства, назначаемые лечащим врачом.
Камни большего размера (более 5 мм) либо удаляют, либо проводят их дробление лазером или ультразвуковым излучением с последующим выведением методом литотрипсии. Воспалительные заболевания почек лечатся путем назначения антибиотиков.
При обнаружении злокачественных и доброкачественных опухолевых патологий проводят оперативное вмешательство. Доброкачественные новообразования и кисты удаляют методом резекции или частичного иссечения. При злокачественных образованиях удаляется вся почка целиком с использованием химиотерапии и различных лучевых методов.
Точная постановка диагноза и программа лечения возможна только при обращении к квалифицированному и опытному специалисту: нефрологу или урологу.
Источник: https://MoiPochki.ru/apparatnaya-diagnostika/giperexogennye-vklyucheniya-v-pochkax.html
Гиперэхогенные включения в почках на УЗИ: причины образования, признаки и формы проявления

Эта диагностическая процедура является одной из наиболее востребованных в наше время. Она не только эффективно позволяет оценить полноценность почечной деятельности, но и понять отдельные детали обнаруженного патологического процесса.
Во время проведения ультразвукового исследования можно обнаружить, например, гиперэхогенные включения в почках, что это такое спрашивают многие пациенты. Они представляют собой наличие новообразований или посторонних включений в паренхиме органа.
Гиперэхогенные включения в почках: что это такое
Почка обладает здоровой эхогенностью, соответствующей определенному нормальному уровню. Именно на таком свойстве тканей и основана ультразвуковая диагностика.
Эхогенность бывает различных видов.
- Различают гипоэхогенные структуры, слабо проводящие ультразвуковой сигнал (гной, киста, опухоль, тромб, сгустки крови).
- Изоэхогенные включения мало отличаются от показателей нормы и чаще всего связаны с доброкачественным новообразованием или врожденным пороком развития почки.
- Анэхогенные образования не отражают волну и содержат жидкость.
- Гиперэхогенные обладают высокой плотностью, которая легко улавливает эхо-сигнал (воспаление, конкремент, рак). Подобный тип не говорит об однозначном наличии патологии, он лишь свидетельствует о неблагополучии.
Чаще всего гиперэхогеннные образования не содержат жидкости, поэтому обладают низким уровнем проведения ультразвука. Их акустическая плотность выше, чем соответствующая характеристика почечной ткани, поэтому и возникает это явление. Другими словами, паренхима включает структуру, повышенно реагирующую на сигнал диагностического устройства.
Ультразвуковую волну останавливают чаще всего структуры с большой степенью плотности. Возникновение отчетливых белых пятен на снимках, сделанных во время проведения исследования, ярко свидетельствует о явном наличии в паренхиме какого-то образования.
Это бывают:
- Мелкие гиперэхогенные включения в почках без выраженной акустической тени. Чаще всего ими становятся сильные воспалительные процессы, кальцификаты, онкология, очаги склерозирования или псаммозные тельца.
- Большие включения, не отбрасывающие акустическую тень. К ним относятся различные кисты, кровоизлияния, новообразования, обширное воспаление, песок, сосудистая патология, уролитиаз, участки атеросклероза, фиброзная ткань.
- Большие структуры с явной акустической тенью. Обычно ими бывают крупные почечные конкременты или хронический воспалительный процесс.
Врач на экране монитора различает их как обширные белые участки.
Причины образования гиперэхогенных включений в почках
Для того чтобы лечение заболевания было эффективным, нужно сначала установить неблагоприятные обстоятельства, которые привели к его развитию.
Как правило, наиболее часто ими являются:
- водно-солевой дисбаланс;
- воспаление;
- генетический фактор;
- жесткость воды;
- злоупотребление препаратами кальция;
- инфекция;
- мочекаменная болезнь;
- излишнее увлечение острым;
- малоподвижный образ жизни;
- нарушение обмена веществ;
- несбалансированность усвоения витаминов;
- онкологический процесс;
- травма;
- бесконтрольный прием анальгетиков;
- болезнь Крона и др.
Обычно гиперэхогенное включение редко обнаруживается сразу в двух органах. Как правило, неблагополучие фиксируется лишь в одной почке.
Характерные признаки и формы проявления патологии
Обычно повышенная эхоплотность локализуется в паренхиме или пирамидах, служащих основными единицами нормальной структуры почечной ткани.
Установление повышенной эхогенности является указанием на нарушения функции выделительной системы и развитие болезни.
Чаще всего сначала специалист выявляет патологию одного органа, но с течением времени, пораженным ею способен оказаться и второй.
Воздействие гиперэхогенности на общее состояние пациента зависит от объема, структуры и характера включения.
Ультразвуковое исследование следует провести при наличии симптомов, касающихся болей в пояснице с повышением температуры.
Человек жалуется на частые позывы к рвоте, постоянную тошноту. Его лихорадит, у него случаются сильные мигрени.
Гиперэхогенные включения в почках часто вызывают изменение цвета мочи у пациента.
При наличии таких жалоб нефролог обычно направляет человека на ультразвуковое обследование.
Кроме того, требуется тщательная дифференциальная диагностика, потому что большинство почечных патологий, а также других заболеваний протекает со сходной клинической картиной. Поэтому необходимо очень точно установить присутствует ли гиперэхогенное образование в почке и что это.
Наиболее часто подобная особенность при проведении УЗИ возникает при:
- кисте;
- гематоме;
- липоме;
- абсцессе;
- нефрите;
- раке почки;
- уролитиазе;
- формировании рубцов;
- хроническом воспалении и т.д.
Если болезни выделительной системы уже диагностировались пациента ранее или ими страдал кто-нибудь из ближайших родственников, ему нужно регулярно проходить УЗИ.
Гиперэхогенные включения имеют определенный размер и характерную для конкретной патологии форму. Они могут быть представлены точками или линиями, а также быть единичными или множественными.
Кроме того, важным признаком служит наличие или отсутствие акустической тени.
В протоколе исследования чаще всего встречаются эхоплотные включения в почках трех основных типов.
- Кистозные образования бывают ровными, правильной формы, с отчетливым контуром и высокой ультразвуковой проводимостью задней стенки.
- Солидные включения имеют неоформленный вид, рваные края, лишенные четкого отграничения от почечной паренхимы.
- Выделяются также сложные структуры, которыми чаще всего бывают гематомы, гнойники, некротические области, кальцинаты.
По каким признакам распознать нарушения функционирования почек можно узнать из этого видео.
УЗИ-диагностика гиперэхогенных включений в почках
Ультразвуковое сканирование позволяет безопасно, оперативно и надежно выявить очень многие патологии.
Протокол исследования всегда содержит сведения об:
- эхогенности;
- объеме органа;
- структуре почечной паренхимы;
- сосудистой сети и пр.
Примерно в трети случаев подразумевается обнаружение кальцификатов, которые нарастают в своем количестве при длительно протекающих заболеваниях, длящихся не менее полугода. Они обозначают участки болезнетворного процесса.
При наличии кистозной полости обычно также отмечается гиперэхогенность. Ей сопутствует увеличение объема органа при отсутствии акустической тени.
При обнаружении новообразования наблюдается резкое изменение контуров и формы почки. Повышенная эхоплотность требует дальнейшей дифференциальной диагностики с целью уточнения природы опухоли.
Развитие мочекаменной болезни в одной или в обоих почках будет обнаруживаться тем значительнее, чем крупнее будет конкремент. Мелкие камни и песок не имеют акустической тени, поэтому желательно провести дополнительные исследования.
Кровоизлияние фиксируется очень отчетливо тогда, когда уже начинается процесс тромбообразования. В подобном случае также необходима тщательная лабораторная и инструментальная диагностика для установления причин возникновения явления.
Источник: https://uzi.guru/zhivot/poch/diagnos-pch/giperehogennye-vklyucheniya-v-pochkah-chto-eto-takoe.html
Гиперэхогенные включения в почках: что это такое

При проведении ультразвукового исследования обязательно обследуются обе почки, поскольку являются парным органом. При этом могут быть обнаружены гиперэхогенные включения в почках, которые локализуются как с двух сторон, так и в одном органе.
Располагаться эти включения могут в любом месте почки. Их локализация во многом зависит от неблагоприятных факторов, которые вызвали появления этих включений.
В случае обнаружения на УЗИ подобной патологии пациент должен пройти курс лечения и впоследствии обязательно проходить регулярное профилактическое обследование.
Особенности недуга
Гиперэхогенные включения в почках локализуются как с двух сторон, так и в одном органе
Здоровые почки имеют равномерную структуру, расположены симметрично, а их форма гладкая и правильная.
При проведении УЗИ почечные ткани на не должны отражать ультразвуковые волны.
В результате различных патологических процессов структура органа и его внешний вид могут изменяться в зависимости от состояния включений и тяжести самого заболевания.
При различных патологиях обе почки могут располагаться несимметрично относительно друг друга. Они могут быть увеличены или уменьшены в размерах.
Очертания органа могут быть неровными, а внутри на УЗИ видны дегенеративные тканевые изменения, из-за которых наблюдается плохая проводимость ультразвуковой волны.
В случае отложения песка или конкрементов в почках, а также при появлении различных новообразований изменяется эхогенность поражённых участков органа.
Стоит знать: эхогенностью называют отражение звуковой волны от твёрдого или жидкого вещества.
По сути, каждый орган человеческого организма обладает определённой эхогенностью. Благодаря этому на УЗИ можно видеть очертания органов, оценивать их размеры и структуру. Гиперэхогенностью называют чрезмерно сильное отражение звуковой волны. Это указывает на наличие каких-либо включений в этом органе.
Как правило, при ультразвуковом обследовании почки гиперэхогенные включения видны в виде белых пятен, которые являются лишним элементом в структуре органа. При этом врач с помощью оборудования может сразу определить отсутствие или наличие акустической тени. По этому показателю очень легко определить плотность гиперэхогенного включения.
Разновидности включений и их диагностика
Если на УЗИ были обнаружены гиперэхогенные включения в почках, что это такое сможет точно определить только врач
Если на УЗИ были обнаружены гиперэхогенные включения в почках, что это такое сможет точно определить только врач.
Обнаружение таких включений сигнализирует о развитии патологического процесса в органе, но не является самостоятельным заболеванием. Например, при обнаружении конкрементов или песка ставят диагноз МКБ почки (мочекаменная болезнь).
Каждое гиперэхогенное включение указывает на определённый патологический процесс в почках. Для диагностики важно определить тип эхогенного включения. Их принято делить на две категории:
- Почечные конкременты (песок и камни).
- Различные новообразования почек.
В большинстве случаев гиперэхогенные образования определяются в паренхиме органа и толще пирамид почек. При ультразвуковом обследовании почки можно выявить следующие разновидности почечных образований:
- Мелкие элементы без акустической тени. На экране монитора они видны в виде ярких светлых точек.
- Включения значительного размера, которые могу быть доброкачественными новообразованиями.
- Крупные элементы с акустической тенью, которые являются злокачественными опухолями почек. Подтверждением этого диагноза могут быть обнаруженные на УЗИ кальцификаты, псаммомные тельца в новообразовании, а также участки склерозированных тканей.
В ходе проведения ультразвукового исследования может выявиться сразу несколько разновидностей эхогенных включений. Одиночные образования без акустической тени могут указывать на наличие следующих патологий:
- Киста почки.
- Склероз сосудов почек.
- Карбункул и абсцесс.
- Жировые отложения на почечных пирамидках.
- Почечные кровоизлияния (гематомы).
Чтобы подтвердить выявленное на УЗИ заболевание, проводится дополнительное обследование пациента. Обязательно проводят лабораторное исследование мочи и крови, рентгенографическое исследование с использованием контрастного вещества. Также может быть назначена магниторезонансная томография. В некоторых случаях требуется биопсия почки.
Симптоматика
В острой стадии больной может ощущать боли, локализующиеся в области поясницы
Поскольку гиперэхогенные включения в почках всегда указывают на наличие патологического процесса в этом органе, обязательно присутствуют другие симптомы этого недуга. Их проявления зависят от характера заболевания. Так, в острой стадии больной может ощущать следующие симптомы:
- повышение температуры до значительных показателей;
- тошнота и рвота;
- моча имеет мутный цвет и неприятный запах;
- боли, локализующиеся в области поясницы;
- боль может отдавать в низ живота и пах.
Такие клинические симптомы присущи многим заболеваниям в острой фазе и при обострении хронического процесса. В зависимости от недуга на УЗИ можно выявить синдром эхогенных пирамид. Очень важно оценить состояние паренхимы органа на фоне этих пирамид.
Сам по себе данный синдром не представляет угрозу для жизни больного и является лишь симптомом другого заболевания, которое можно точно диагностировать после проведения дополнительного обследования.
При выявлении подобного синдрома обязательно проводится лабораторное исследование мочи и крови.
По отклонениям в составе крови и мочи можно сделать выводы о наличии нефропатии или даже почечной недостаточности.
Например, у худых людей, а также у детей очень часто при проведении УЗИ почек обнаруживаются резко очерченные выделяющиеся пирамиды и паренхима органа. При ультразвуковом обследовании новорождённых оценивается состояние самих пирамид, их структура и выделяющиеся через них жидкости.
Лечение и профилактика
При лечении хронического заболевания в стадии ремиссии применяют физиотерапевтические процедуры
После того как было проведено УЗИ и комплекс дополнительных инструментальных и лабораторных исследований, назначается лечение, главной целью которого будет устранение причины болезни, а также борьба с сопутствующими симптомами. В зависимости от характера патологического процесса, состояния пациента и стадии развития болезни может использоваться консервативное медикаментозное или хирургическое лечение.
Медикаменты для лечения выбирает врач уролог или нефролог. Исходя из результатов обследования, назначается:
- антибактериальная терапия;
- симптоматическое лечение;
- противовоспалительные препараты;
- прописывается диета;
- больной должен соблюдать определённый питьевой режим.
При лечении хронического заболевания в стадии ремиссии применяют физиотерапевтические процедуры, а также гомеопатические препараты. С разрешения лечащего врача можно использовать лечение травами. В случае возникновения осложнений используются более радикальные методы лечения и специфические мероприятия.
В качестве профилактики различных заболеваний мочевыделительной системы можно назвать такие правила:
- Своевременное лечение других болезней.
- Регулярные профилактические осмотры.
- Соблюдение оптимального питьевого режима.
- Правильное питание.
Стоит добавить, что хорошей профилактикой любых заболеваний считается умеренная физическая активность, прогулки на свежем воздухе, полноценное питание, соблюдение правил гигиены. Также нужно избегать переохлаждения, а в период респираторных заболеваний принимать поливитаминные препараты.
Источник: https://LecheniePochki.ru/zabolevaniya/giperexogennye-vklyucheniya-v-pochkax-chto-eto-takoe.html
Гиперэхогенные образования при УЗИ почек: вид и структура, разновидности и диагностика, лечение

Гиперэхогенные включения чаще всего обнаруживаются в момент УЗИ почек. Они имеют вид участков ткани с большими акустическими уплотнениями. Это может свидетельствовать о наличии камней начавшейся мочекаменной болезни или быть образованиями в виде опухоли.
Такие включения имеют более плотную структуру если сравнивать с окружающими тканями, они хорошо отвечают на ультразвук, тем самым создавая повышенную эхогенность. На мониторе аппарата УЗИ они предстают белыми пятнами.
Вид и структура
На аппарате УЗИ, изучающем почки данные новообразования показаны как мелкие линейные, точечные или объемные структуры с высоким показателем эхогенности. Их можно увидеть в пределах почечной ткани.
В практике медицины замечено, что данные гиперэхогенные включения являются кальцификатами, из них выделяют точечные частицы без сопровождения акустической тени, называющиеся микрокальцификатами. При наличии в узелковом образовании микрокальцификата, то можно заявлять о начавшемся развитии злокачественной опухоли.
Так как гиперэхогенные образования начинают явно проявляться только в злокачественных опухолях, в опухоли злокачественной направленности выделяют следующие разновидности структур:
- Половину эхогенного образования составляют тельца псаммомные.
- Кальцификатом отводится всего лишь 30%.
- Склерозированные участки – 70%.
Если при УЗИ обнаружена доброкачественная опухоль почки, тогда нет совсем псаммомных телец, кальцификаты также встречаются редко. Чаще всего отмечаются склерозные участки.
Виды гиперэхогенных включений их диагностика
Данные включения в почках способен обнаружить только специалист во время процедуры по диагностике. Заключение может говорить о камнях в почке и наличие песка. На сегодняшний день выделяют несколько типов данных включений:
- Точечные включения, которые видно невооруженным глазом, так как они не имеют акустической тени и являются мелкими.
- Образования также с отсутствием акустической тени только большого размера. Они редко локализуются в почках, находят их методом УЗИ почек. Они появляются и в злокачественной и доброкачественной опухоли.
- Большие образования с акустической тенью. Они соответствуют склеротическим частям.
С помощью УЗИ можно наиболее точно выявить гиперэхогенные включения в почках. Кроме того, можно заподозрить их присутствие по ряду симптомов. Таковыми могут быть:
- Повышенная температура.
- Изменение цвета мочи.
- Часты колики в области почек.
- Сильные боли в животе или ниже пояса или постоянный болевой синдром в паху.
- Рвота и тошнота.
Эти симптомы универсальны и похожи на проявления многих других болезней, поэтому при подозрениях на камни в почках необходимо сразу же обратиться к врачу.
Чтобы избежать прогрессирования заболевания следует каждые полгода проходить полное диагностическое обследование со сдачей анализов крови, мочи, кала.
Таким образом, можно предотвратить развитие заболеваний и избежать некоторых болезней.
Профилактикой камней в желудке является частое употребление жидкости в виде воды, настоя шиповника, чая с травами (рябина, душица, мята и другие). Благодаря ей организм очистится от шлаков и солей, что происходит во время каждого мочеиспускания.
Лечение гиперэхогенного образования почек
Гиперэхогенные включения, как правило, проявляются в виде:
- Рубцовых тканей.
- Почечно-каменной болезни.
- Воспалительного процесса, например, абсцесс почки, карбункул.
- Наростов в виде кист, которые имеют в составе жидкость.
- Кровоизлияний в почку. Своеобразная гематома.
- Опухоли почек доброкачественной (при липома, фиброма, аденома, гемангиома) или злокачественной направленности.
Если при УЗИ выявились подозрения на данные заболевания, тогда врач советует пациенту комплексное обследование с применением МРТ. Иногда при тяжелых случаях может потребоваться биопсия почки.
Гиперэхогенные включения возможно вылечить, но это будет непростое лечение. Камни выводят несколькими методами. Основой первого способа является частое мочеиспускание, которое вызывается различными мочегонными травами или лекарственными средствами, назначенными врачом. Данным методом лечатся небольшие образования до 5 мм.
Полостная операция показана при достаточно больших камнях. Альтернативным вариантом является выведение камней при помощи лазера, которым производится дробление, а затем выведение. Убрать камни можно также с помощью ультразвука.
Помните, что поставить точный диагноз сможет только квалифицированный специалист. Лечение назначается на основе УЗИ почек и результатов анализов. Заниматься самолечением не стоит, так как это часто приводит к усугублению ситуации.
Источник: https://pechen.guru/simptomy/giperehogennye-obrazovaniya-pri-uzi-pochek.html
Поделиться: