Пирамидки в почках на УЗИ: что означает их гиперэхогенность

Заболевания мочевыделительной системы оказывают неблагоприятное влияние на весь организм. Патологические процессы в почках длительное время могут развиваться бессимптомно или проявляться общими жалобами на слабость, быструю утомляемость.
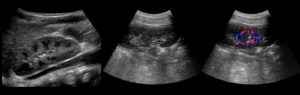
Информативным методом исследования почек является ультразвуковая диагностика. Часто на УЗИ обнаруживают изменения в мозговом слое паренхимы, так называемых пирамидках. Рассмотрим, как определить на УЗИ патологические изменения пирамидки в почках, что это дает для постановки диагноза.
Пирамидки в почках: что это
Почки имеют сложное строение, обеспечивающее функцию фильтрации и выведения мочи. Они покрыты плотной капсулой, под которой расположен корковый слой паренхимы.
Он состоит из так называемых клубочков, окутанных капиллярной сетью и отвечающих за фильтрацию крови и образование мочи. Затем из клубочков она поступает в систему канальцев (трубочек), составляющих мозговой слой паренхимы.
Всего в норме обнаруживается 7—10 пирамидок. Они разделены перегородками, выростами коркового слоя, в которых проходят сосуды, обеспечивающие кровоснабжение. Эти перегородки называют колоннами Бертини. Каждая пирамидка оканчивается сосочком, через который моча поступает в чашечки, а затем в лоханку.
Что означает гиперэхогенность пирамидок
Метод УЗ-исследования основан на степени отражения ультразвука от тканей различной плотности. Гиперэхогенность – это усиление акустической тени, то есть на практике это значит, что структура органа имеет высокую плотность и хорошо отражает ультразвук. На мониторе это выглядит как более светлая, почти белая область.
Синдром белых пирамидок в почках наблюдается и в норме, например, у худощавых людей до 30–40 лет, подростков. Но часто он указывает на образование включений при метаболических нарушениях обмена, приеме некоторых лекарственных препаратов, например, Фуросемида, гормональных веществ. Также он может присутствовать при гиперфункции щитовидной железы, гипервитаминозе D.
Основные причины гиперэхогенности
При болезнях почек на УЗИ часто обнаруживают синдром гиперэхогенных пирамид, рассмотрим, что это такое. Если структура пирамидок поражена, изменяется ее эхогенность. Причиной повышения является образование включений (камни, песок), новообразований, или воспалительный процесс.
Например, симптом гиперэхогенных пирамид может быть при остром пиелонефрите, за счет инфильтрации почек лейкоцитами. Также повышение плотности наблюдается при образовании кальцификатов, отложении солей.
Синдром может быть анатомической особенностью конституции, но его обнаружение на УЗИ нельзя оставить без внимания, особенно если у пациента есть какие-то жалобы.
Наиболее часто при патологиях в почках больные отмечают:
- быструю утомляемость, слабость;
- подташнивание, позывы к рвоте;
- повышение температуры;
- изменение цвета мочи;
- боли в животе, пояснице;
- отечность и др.
Появление такой симптоматики требует тщательного обследования, проводят:
- анализ мочи;
- общее и биохимическое исследование крови;
- рентгенография (урография);
- различные почечные тесты;
- КТ, МРТ почек и др.
Обнаружение гиперэхогенных пирамидок на УЗИ также помогает дифференцировать болезни почек от других патологий, имеющих сходные симптомы.
Виды гиперэхогенных включений
Повышение плотности вызвано присутствием в области канальцев различного типа включений. Это могут быть мелкие диффузные образования в виде белых точек, или большие гипоэхогенные структуры, которые зрительно повышают эхогенность пирамидки. Обычно обнаруживают следующие виды включений:
- почечные камни, песок;
- кистозные образования;
- склеротические изменения сосудов;
- жировые включения;
- гнойные процессы (карбункулы, абсцессы);
- кровоизлияния, гематомы;
- онкологические новообразования.
Наиболее опасно обнаружение крупных светлых пятен, указывающих на злокачественный процесс.
Какая симптоматика при болезнях почек можно узнать из этого видео.
Признаки синдрома выделяющихся пирамидок
Есть также такое понятие при УЗ исследовании почек, как синдром выделяющихся пирамидок. При этом повышается эхогенность коркового слоя и пирамидки выглядят заметно темнее, выделяются.
В норме эхогенность коры сравнима с паренхимой печени, ее повышение указывает на серьезное нарушение в работе почек. Это может быть острый гломерулонефрит, острая почечная недостаточность различной этиологии.
Например, при поражении почек отравляющими веществами.
У новорожденных детей и до 3-летнего возраста такой симптом считается нормой. Кора выглядит гиперэхогенной, поскольку количество нефронов в почке закладывается внутриутробно, корковый слой у плода еще недостаточно развит, поэтому плотность повышена. У новорожденных соотношение коркового и мозгового вещества составляет 1 к 5, а у взрослых 2 к 3.
УЗИ-диагностика пирамидок в почках
При УЗИ врач диагност рассматривает не только пирамидки, но и основные показатели почек. В норме они должны быть правильно, симметрично расположены, иметь ровный контур гиперэхогенной капсулы. Измеряются их размеры, положение и подвижность на вдохе. Эти показатели позволяют оценить общее состояние, наличие дефектов.
Затем рассматривается структура и строение паренхимы. Появление крупных образований высокой плотности вызвано образованием камней при мочекаменной болезни или развитием очагового воспалительного процесса.
Участки низкой плотности могут возникнуть при кисте почки, гематоме.
Особое внимание надо обратить на яркие, белые включения, которые указывают на наличие в почках склеротической ткани, кальцификатов и псаммомных телец (белково-жировые комплексы), присущих злокачественным новообразованиям.
Источник: https://uzi.guru/zhivot/poch/diagnos-pch/piramidki-v-pochkah-chto-eto.html
Профилактика синдрома выделяющихся пирамидок в почках

Мало кто из людей знает об эхогенности своих органов, а еще меньше – задумываются над этим. Между тем, гиперэхогенность почек свидетельствует о наличии опасных включений, говорящих о развивающемся в организме синдроме выделенных пирамид.
Резкие очертания или белые пятна на снимке ультразвукового исследования почек – сигналы о протекающих патологиях и даже недостаточной массы тела. В любом случае задать вопрос о состоянии своих почек необходимо каждому.
Кратко о синдроме
Эхогенность характеризуется степенью отражения звука от тканей и жидкости внутренних органов, и появление сильного отсвечивания на УЗИ сигнализирует о наличии различных чужеродных включений.
Гиперэхогенные почки на ультрасонограмме
Чаще всего гиперэхогенные образования формируются в почечных пирамидах и паренхиме.
Пирамидками называются участки почек в форме треугольника, через которые после фильтрации выходит моча в чашечно-лоханочную систему, а паренхимой обозначают наполняющую орган ткань из костного и коркового вещества.
Любой лишний элемент структуры, будучи следствием протекающей в органе патологии, вносит диссонанс в его функционирование, и нередко развиваясь на одной, в скором времени затрагивает и вторую почку.
Степень негативного влияния гиперэхогенных включений напрямую зависит от их размера, состава и возможного развития в них злокачественных раковых процессов.
Все лишние элементы делятся на кальциевые конкременты, камни, песок и новообразования. Последняя группа включает в себя формирования различных видов:
- Небольшие образования во время УЗИ проявляются в виде белых точек. Отсутствие акустической тени говорит об их безопасности;
- Большим размером отличается следующий вид включений, которые могут быть как доброкачественными, так и злокачественными, раковыми новообразованиями. Встречаются они крайне редко и нуждаются в постоянном контроле врачей;
- Крупные светлые пятна на УЗИ свидетельствуют о раковых включениях, которые в отличие от других образований обязательно имеет акустическую тень, участки склероза, а также содержит калицификаты и псаммомные тельца.
8 главных причин гиперэхогенности
Синдром гиперэхогенных пирамид почек не самостоятельное заболевание, а сопутствующее недомоганием, так как является следствием развивающейся в теле патологии. Причиной их появления могут стать следующие патологические почечные процессы:
- Поликистоз;
- Склерозирование сосудов;
- Травмы;
- Кровотечения;
- Гнойное воспаление тканей;
- Скопление нескольких нарывов и фурункулов в одном месте;
- Онкологические процессы;
- Жировые образования в пирамидках почки.
Гиперэхогенные включения на УЗИ
Симптомы и диагностика
Синдром гиперэхогенных пирамидок можно заподозрить по следующим характерным клиническим проявлениям, возникающих на общем фоне слабости и утомляемости: высокая температура (до 39°С), темно-коричневый или красный цвет мочи, колющие боли в области почек; спазмы в области живота и паха, рвота, тошнота, тянущие болевые ощущения в паху.
Симптоматика синдрома характерна для многих почечных заболеваний, однако при помощи ультразвукового исследования специалист сразу диагностирует наличие гиперэхогенных включений, а также оценит состояние паренхимы почки на фоне выделяющихся пирамид.
При постановки в ходе диагностики диагноза «синдром гиперэхогенных пирамид» назначаются дополнительные процедуры, имеющие своей целью выявление первопричин процесса и назначение соответствующей терапии. Так, обязательны общие анализы крови, урины, кала.
Диагностика гиперэхогенности
Терапия и назначения
Лечение синдрома гиперэхогенных пирамид имеет комплексный характер и направлено на снятие болевых синдромов и устранение патологических предпосылок.
Своевременное выявление недомогания предполагает медикаментозную терапию, во время которой уролог или нефролог назначает пациенту антибиотики, анальгетики, спазмолитики, а также препараты, имеющие противовоспалительное и антибактериальное действие. Обязательна смена режима и рациона, предполагающих полноценный отдых, обильное питье, употребление нежирных продуктов, свежих овощей и фруктов.
При переходе заболевания в хроническую стадию рекомендуются физиотерапевтические процедуры и гомеопатические препараты.
Фруктово-овощная диета обязательна
Запущенные случаи требуют более индивидуального подхода и хирургического вмешательства.
Профилактика гиперэхогенного синдрома
Чтобы предотвратить возникновение в ткани и пирамидках почек гиперэхогенных включений, необходимо своевременно выявлять и лечить все заболевания мочевыделительной системы организма, для чего рекомендуется регулярно проходить профилактические осмотры.
Большое значение в предупреждении почечных патологий имеет сбалансированное правильное питание, не затрудняющее, а стимулирующее функционирование органа:
- Постоянное употребление кисломолочных продуктов;
- Обильное питье чистой воды, ягодных компотов и морсов, киселя и некрепкого чая;
- Паровое приготовление пищи;
- Предпочтение свежим домашним сезонным продуктам: фруктам, овощам, ягодам;
- Преимущественное потребление макаронных изделий, различных круп.
Не опасный для жизни человека синдром выделяющихся пирамидок почек лишь обозначает протекающий патологический процесс, который при запущенном состоянии может развиться в раковую опухоль, хроническую или острую стадию почечной недостаточности. Лишь своевременные и регулярные обследования избавят от назревающих проблем и не дадут мелким образованиям перерасти в серьезные заболевания.
Источник: https://pochkam.ru/bolezni-pochek/sindrom-vydelyayushhihsya-piramidok-v-pochkah.html
Симптом гипоэхогенных пирамидок в почках – Все про почки

Многие годы пытаетесь вылечить ПОЧКИ?
Глава Института нефрологии: «Вы будете поражены, насколько просто можно вылечить почки просто принимая каждый день…
Читать далее »
Мало кто из людей знает об эхогенности своих органов, а еще меньше – задумываются над этим. Между тем, гиперэхогенность почек свидетельствует о наличии опасных включений, говорящих о развивающемся в организме синдроме выделенных пирамид.
Резкие очертания или белые пятна на снимке ультразвукового исследования почек – сигналы о протекающих патологиях и даже недостаточной массы тела. В любом случае задать вопрос о состоянии своих почек необходимо каждому.
Что такое гиперэхогенные включения в почках
Существуют многообразные методы диагностики, по результатам которых, врач выставляет диагноз того или иного заболевания. Заключение инструментального исследования только помогает специалисту в дифференциальном анализе, ведь для точного установления болезни, необходимо опираться на анамнестические данные, объективный осмотр и лабораторные изменения.
Существую ситуации, когда наличие включений никак не угрожает жизни пациента, например, при единичных мелких кистах. Такие образования требуют лишь динамического наблюдения за больным. Но если в заключении УЗИ фигурирует такой термин, как синдром гиперэхогенных пирамид почек, то медлить с лечением нельзя, так как процесс свидетельствует о серьезных нарушениях со стороны работы органа.
Что такое «эхогенность», и что собой представляют включения?
Метод УЗИ основан на проникающей способности волны звука, которая отражается от структур с разной «эхоплотностью». Коэффициент отражающей способности напрямую зависит от их плотности и строения.
Проведение данного исследования возможно только в тех органах и тканях, которые имеет паренхиматозный компонент, то есть они должны быть «неполые». Воздушные массы не дают абсолютно никакой ультразвуковой картины.
Так, например, не существует такой диагностики, как УЗИ кишечника или пищевода.
Если рассматривать строение обеих почек, то имеется четкая граница между гиперэхогенным почечным синусом и гипоэхогенной паренхимой органа (в состав которой входит мозговой и корковый слой).
Эхогенность почечных пирамидок значительно ниже, чем у коркового вещества, и на экране они визуализируются, как отдельные треугольные структуры.
Если звуковая волна находит «преграду», в виде плотного образования, то она не проходит через него, и при этом образуется акустическая тень, как результат ее отражения от структуры. При этом патологическое включение на экране монитора выглядит, как белое пятно.
Размеры и форма патологических включений может быть самой разнообразной: линейные или точечные, единичные или множественные, мелкие или довольно объемные.
Симптомы, которые могут сопровождать гиперэхогенные включения
Понятие «гиперэхогенное включение» не является самостоятельной нозологической единицей, то есть это – не диагноз, а только симптом начавшегося патологического процесса в организме. Прежде чем понять, о каком именно заболевании идет речь, врач проводит дифференциальную диагностику между несколькими состояниями.
Крайне редко, процесс протекает в скрытой форме и обнаруживается случайно во время обследования.
Чаще всего у больного имеют место те или иные жалобы:
- симптомы интоксикации (температурная реакция, слабость, потливость и т.д.);
- болевой синдром в проекции почек, наличие колик;
- нарушение акта мочеиспускания, появление чувства рези;
- изменение цвета мочевого осадка (появляется кровь, становится мутным и другое).
Кистозные образования
Если речь идет о поликистозе, то заболевание, как правило, диагностируется еще в детском возрасте.
Оно относится к тяжелым врожденным аномалиям, при которых нормальная ткань почек замещается множественными кистами разнообразных размеров и формы.
Эхогенность паренхимы органа резко повышается из-за кистозных образований, при этом почки резко увеличиваются в размерах. Акустическая тень отсутствует.
Единичные кисты имеют анэхогенную плотность, при этом, если их просвет заполняется геморрагическим содержимым, то они становятся резко гиперэхогенными.
Новообразования
Опухолевые образования в тканях почек, всегда имеют вид гиперэхогенных включений, которые изменяют нормальную архитектонику органа.
До внедрения оценки сосудистого кровотока (допплерометрии), диагносты не могли дифференцировать новообразования между собой.
Однако на основании ряда признаков, врач, еще на этапе не инвазивной диагностики, может предположить природу злокачественного или доброкачественного процесса (ангиомиолипома, нефробластома и другие).
Острый пиелонефрит
Для острого процесса характерна повышенная эхогенность за счет избыточной инфильтрации лейкоцитов в ткани органа. При этом возникает симптом гиперэхогенных пирамид почек, когда они практически сливаются с окружающей паренхимой и очень плохо дифференцируются.
Острый гломерулонефрит
Это заболевание характеризуется появлением участков с гиперэхогенной плотностью в паренхиме органа, но при этом пирамидки становятся слабо эхогенными.
Нефролитиаз
Под термином понимается процесс образования камней в почках (с одной или с двух сторон). Благодаря ультразвуковой диагностике, существует возможность визуализировать камни, диаметр которых не меньше 2 мм. Сложности представляют более мелкие конкременты без явной акустической тени, которые приходится дифференцировать от других гиперэхогенных структур органа.
Кровоизлияние в ткани почки
Наличие полости, заполненной сгустками крови, можно легко обнаружить ультразвуковой диагностикой. Гематома визуализируется только в случае, когда кровь начинает сворачиваться.
Способы диагностики гиперэхогенных включений
Как правило, на основании одного ультразвукового исследования не всегда удается определить точную причину и природу патологических включений. Специалисту приходится прибегать к дополнительной лабораторно-инструментальной диагностике:
- расширенные анализы крови и мочи (в том числе специфические пробы);
- рентгенологические методы (экскреторная урография и другие);
- СКТ почек с контрастированием и без него;
- МРТ;
- забор биопсионного материала под контролем УЗ.
Заключение
Получив от специалиста заключение ультразвукового исследования, не затягивайте свой визит к врачу, а тем более не пытайтесь самостоятельно интерпретировать эти результаты и искать возможные способы лечения. Запомните, что квалифицированную и своевременную помощь вам смогут оказать только в медицинском учреждении.
Источник: https://1pochki-med.ru/lechenie/simptom-gipoehogennyh-piramidok-v-pochkah/
Купить Софосбувир и Даклатасвир

Ультразвуковое исследование почек оказывает врачу большую помощь в диагностике многих патологий мочевыделительной системы. Оно, как правило, применяется в первую очередь в качестве скринингового метода выявления патологии почек, так как имеет широкую доступность, безвредность, высокую информативность одновременно с быстротой проведения.
Зачем назначают УЗИ почек?
УЗИ почек назначают тогда, когда у врача имеются подозрения на наличие патологии в них у пациента. Об этом можно думать, когда имеются изменения в лабораторных анализах мочи или крови, либо жалобы самого пациента.
Строение почки
Ультразвуковое исследование почек показано при болях в поясничной области, в животе, при лихорадке с неустановленной причиной, при травме брюшной полости, при появлении прощупывающегося образования в брюшной полости, при окрашивании мочи в красный цвет, при учащении или урежении мочеиспускания, отсутствии мочи, при неподдающемся стандартному лечению повышению артериального давления, при первом подозрении на рак или поиск метастазов.
Кроме того, под контролем УЗИ можно проводить малоинвазивные вмешательства, оценивать состояние органов после оперативного или медикаментозного лечения.
Подготовка
Какой-либо специальной подготовки для проведения УЗИ почек у взрослых не требуется. Лишь при сильном вздутии кишечника пациенту рекомендуется в течение трех дней до исследования соблюдать диету с ограничением растительной клетчатки, свежих молочных продуктов и хлеба.
Не рекомендуется проводить ультразвуковое исследование в один день после проведения колоноскопии или рентгенографии кишечника с контрастированием барием, потому что произошедшие временные изменения в кишке после этих процедур будут препятствовать врачу достоверно и беспрепятственно осмотреть структуру паренхимы почек.
Какие заболевания можно выявить?
При эхографии в органах можно выявить очаговые и диффузные изменения. Очаговыми называют такие изменения, которые захватывают небольшой участок органа, при этом остальная часть почки остается неизмененной. При диффузных изменениях патология захватывает всю структуру органа.
Из очаговых изменений чаще всего в почках выявляют кисты. Они выглядят как анэхогенные (полностью черные) структуры округлой формы с ровными отчетливыми контурами, дающие за собой усиление ультразвукового сигнала.
Может быть видно только одну кисту, но чаще их бывает несколько в одной или обеих почках. Как правило, никакой опасности простые кисты не представляют и встречаются у многих людей после 40 лет.
Поликистоз почки
Абсцесс возникает в результате острого воспаления и при ультразвуковом исследовании в отличии от кисты имеет нечеткие контуры и более эхогенное содержимое, представленное гноем. Иногда вначале абсцесс может выглядеть гиперэхогенным.
Среди очаговых изменений относительно часто при УЗИ можно увидеть доброкачественное образование ангиомиолипому. Она представляет собой образование округлой формы повышенной эхогенности с ровными четкими контурами.
Ангиомиолипома почек
Среди диффузных заболеваний почек чаще всего можно встретить гломерулонефриты и пиелонефриты. Однозначных ультразвуковых критериев они не имеют, но есть ряд признаков, которые наиболее типичны для этих воспалительных заболеваний на УЗИ.
Острый гломерулонефрит приводит к увеличению размеров почки с увеличением толщины паренхимы более 20 мм. При этом можно отметить повышение эхогенности паренхимы.
Гломерулонефрит почки
При длительно текущем хроническом гломерулонефрите размеры пораженного органа, наоборот, становятся меньше нормы, снижается кортико-медуллярная дифференциация паренхимы, толщина паренхимы становится меньше 12 мм.
Часто при остром пиелонефрите нельзя увидеть каких-то характерных изменений на УЗИ. Почка гипоэхогенна, отечная, границы между корковым и мозговым веществом размыты.
Хронический пиелонефрит является длительно текущим деструктивным процессом, поэтому приводит к морфологическим изменениям в почке, которые можно увидеть с помощью ультразвука.
Со временем появляется истончение коркового вещества с втяжением поверхности, связанное с образованием рубцов.
Ультразвуковое исследование помогает в диагностике туберкулеза почек. Он начинается с поражения пирамидок, в которых образуются каверны с жидким содержимым.
При прорыве каверн образуется деформированное полое пространство, имеющее характерный вид при экскреторной урографии. При УЗИ обнаруживаются полые пространства, содержащие жидкость и частично обызвествленные.
Одновременно происходит постепенное разрушение почечной паренхимы и сморщивание всего органа.
Очень часто в почках возникает нарушение оттока мочи, которое может показать ультразвуковой прибор. Выделяют несколько стадий гидронефроза:
- Расширение почечной лоханки, паренхима почки при этом не изменена.
- Расширение лоханки и чашечек, истончение паренхимы.
- Кистозное расширение лоханки и узкий ободок паренхимы.
- Паренхиму полностью не видно, она не функционирует, почка представляет собой «мешок» с расширенными чашечками.
Гидронефроз почки
Причины нарушения оттока могут быть разными: закупорка мочеточника конкрементом, сгустком крови, сдавление опухолью, беременной маткой и другие.
Одной из частых причин направления на УЗИ почек является почечная колика. С помощью эхографии в большинстве случаев можно достоверно определить наличие камней диаметром более 2 мм в почках и мочевыводящих путях. Камни выглядят как яркие гиперэхогенные структуры, которые хорошо отражают от себя ультразвуковые лучи, а следом собой дают четкую акустическую тень.
Широко распространенный в некоторых клиниках диагноз «Песок в почках» на самом деле не является ультразвуковым, так как в настоящее время физически с помощью ультразвукового прибора можно увидеть только те структуры в почках, линейный размер которых более 2 мм. А все мы прекрасно знаем, что диаметр песчинок меньше 2 мм.
Губчатая почка при ультразвуковом исследовании
Губчатая почка является аномалией развития – врожденным расширением структурных составляющих – собирательных трубочек. Для большинства пациентов эта аномалия безобидна и протекает без каких-либо клинических проявлений. Но у части людей такая патология способствует развитию восходящей инфекции, требующей соответствующего лечения.
При эхографии пирамидки почки, которые в норме гипоэхогенные (темно-серые), в результате увеличения числа отражающих поверхностей раздела сред за счет расширения трубочек становятся гиперэхогенными (белыми).
С возрастом возможно вторичное обызвествление расширенных собирательных трубочек, а также образование кист в корковом веществе аномального органа. При этом губчатая почка начинает напоминать изменения при нефрокальцинозе, но без сопутствующих изменений в лабораторных анализах.
Как рак выглядит на ультразвуковом аппарате?
Ультразвуковая картина рака очень разнообразная. Наиболее распространенной злокачественной опухолью почки является почечно-клеточный рак.
Опухоли небольшого размера чаще гипоэхогенные, крупные – обычно гиперэхогенные или содержат участки смешанной эхогенности за счет происходящих в опухоли изменений. Часто рак почки бывает изоэхогенным, то есть идентичным по структуре окружающей ткани и таким образом очень плохо отличимым от нее.
Особенно трудно выявляются при УЗИ изоэхогенный рак размером менее 1 см. Небольшие опухоли имеют обычно правильную округлую форму, относительно ровные контуры.
Рак почки
Для крупного рака характерна неоднородность структуры с участками повышенной эхогенности за счет фиброза и зонами сниженной эхогенности. Могут выявляться зоны кальцинирования. В очагах распада рака образуются кистозные полости, содержащие жидкость, кровь или желеобразные массы. Участки распада при эхографии имеют вид ан- или гипо-эхогенных полостей неправильной формы.
Эхографическими признаками рака могут быть следующие изменения:
- объемные образования, имеющие иную акустическую плотность, чем паренхима;
- ограниченные выпячивания контура органа;
- кисты с очень плотной или неровной стенкой, с кровоизлиянием;
- прерывистость эхо-сигналов от центрального эхо-комплекса, обнаружение паренхиматозных мостиков;
- при доплерографии в раке выявляется дефект окрашивания, где пропадает нормальная архитектоника почечных сосудов, степень васкуляризации может быть различной – от полного отсутствия изображения сосудов до высокой васкуляризации с множественным усилением цветового сигнала.
Горбатая почка – что это?
Иногда на поверхности органа, чаще левой, выявляется выбухание ее внешнего контура.
В некоторых случаях его принимают за опухоль, но при более детальном осмотре устанавливают, что это является индивидуальной особенностью строения органа у пациента и не представляет никакой опасности для жизни и нормальной работы органа.
В таком случае врач выносит в описание УЗИ фразу «горбатая почка». Она возникает либо от давления селезенки на почку, либо в результате нарушений в эмбриональном развитии.
О чем говорит затемнение в почке?
Применительно к инструментальной диагностике термин «затемнение» используется в рентгенологии. В эхографическом описании структуры, которые выглядят темнее окружающих тканей, называют «гипоэхогенными» или «сниженной эхогенности». Совсем черные структуры называют «анэхогенными».
Гпоэхогенными участками могут быть следующие изменения:
- абсцесс;
- опухоль;
- кровоизлияние;
- кроме того, нормальными гипоэхогенными структурами в паренхиме являются пирамидки.
Полностью черными, «анэхогенными» могут быть: кисты и расширенные лоханки или чашечки в результате задержки оттока мочи.
Дальнейшие действия, анализы, диагностика после УЗИ почек
После проведения ультразвуковой диагностики врач выдает пациенту на руки протокол исследования или передает его лечащему врачу.
Ультразвуковое заключение не является окончательным диагнозом, а лишь служит помощью врачу в диагностике происходящих в организме пациента изменений.
Врач, на основании не только ультразвукового описания и заключения, но и еще анализируя жалобы, осмотр больного, лабораторные анализы пациента выставляет ему окончательный диагноз и назначает необходимое лечение.
Если же врачу не достаточно этих данных, или во время УЗИ почек были обнаружены какие-то неясные отклонения, которые могут встречаться при разных заболеваниях, лечащий врач назначает пациенту дополнительные методы обследования.
Это может быть компьютерная томография, магниторезонансная томография, экскреторная урография, рентгенография, ангиография, различные лабораторные анализы мочи и крови или же контрольное УЗИ в динамике через некоторое время.
Причины возникновения синдрома выделяющихся пирамидок

Участки почки, через которые моча попадает в чашечки лоханки, принято называть пирамидками из-за их формы. Они, немного возвышаясь над чашечками, всегда окружены мочой.
Отраженная ультразвуковая волна при исследовании трансформируется с помощью специальной программы в черно-белое изображение, которое затем выводится на экран. Различные среды отражают сигнал по-разному. Плотные структуры лучше отражают волну.
Если почка здорова, на монитор будет выведено темное изображение, создаваемое пустотами и полостями, заполненными мочой. Пирамидки и другие плотные части органа на изображении будут отличаться оттенками.
При патологиях сосочки пирамид уплотняются, могут покрыться кристаллами солей или деформироваться. Эхогенность почки при этом возрастает. На экране же появятся светлые пятна, увеличится контрастность. Это явление получило название синдром выделяющихся пирамидок.
Диагностика
Если врач заподозрил у пациента заболевание почек, необходимо пройти не только инструментальное обследование, но и лабораторное, включающее:
- общий и биохимический анализы крови;
- анализ мочи;
- исследование кала.
Далее пациенту для уточнения назначают УЗИ. Обычно этого достаточно для постановки диагноза. Но в особых случаях может быть предложена рентгенография с контрастным веществом или магнитно-резонансная томография (МРТ).
По статистике, примерно 5% новорожденных имеют пороки развития почек. Безопасность и информативность такого метода, как УЗИ, делают его незаменимым при обследовании малышей.
Все эти процедуры позволяют оценить состояние почек и пирамидок в частности, выявить причины патологического процесса.
Рекомендации по лечению синдрома
Лечится синдром белых пирамидок в почках комплексно. Главные задачи – избавление пациента от боли и устранение причин, вызывающих патологическое состояние.
Лечение включает медикаментозную терапию, диету, физиотерапию и гомеопатические средства. В тяжелых случаях показано хирургическое вмешательство.
Обратите внимание! Медикаментозная терапия должна проводиться только по предписаниям врача (уролога или нефролога) и под его строгим контролем.
Больному назначают противовоспалительные, спазмолитические и антибактериальные средства, анальгетики, фитопрепараты.
Большую роль играют изменения в питании – смена режима и рациона. Навсегда исключите такие факторы:
- жирную, копченую, жареную пищу;
- крепкий алкоголь, кофе и черный, круто заваренный чай;
- томатный сок и томаты;
- газированные цветные напитки;
- острые и пряные блюда.
Больше внимания уделяют свежим фруктам и овощам, нежирной рыбе, кисломолочным продуктам.
Немалое значение отводится питьевому режиму. В сутки человек с почечными патологиями должен выпивать много чистой негазированной воды. Это количество несложно подсчитать самостоятельно: 30 мл на каждый кг массы тела. Объем выпитой воды надо увеличивать постепенно, не создавая стрессовой ситуации для организма и не допуская появления отеков.
Невыполнение предписаний доктора грозит пациенту переходом болезни в хроническую форму и осложнениями, приводящими к летальному исходу.
Поделиться: