Кт мочевыделительной системы с контрастом: особенности подготовки

КТ мочевыделительной системы является основным методом диагностики болезней почек, мочеточников и мочевого пузыря. С помощью компьютерной томографии можно получить «срезы» всех мочеполовых органов. Это позволяет выявить наличие воспалительного процесса, камней, опухолей или метастатического поражения.
Суть метода исследования
Компьютерная томография относится к методам лучевой диагностики. Первые томографы появились в США в 1972 году. Сначала аппарат предназначался для исследования черепа и головного мозга. И только через 2 года стало возможным выполнять томографию всех других органов.
Суть данного метода состоит в способности тканей с разной интенсивностью поглощать ионизирующее излучение. Во время проведения КТ различная плотность внутренних органов вызывает изменение интенсивности излучения. В отличие от рентгеновского исследования при компьютерном сканировании источник излучения постоянно перемещается в разных плоскостях.
Полученный сигнал с высокой точностью обрабатывается компьютерными программами. Это позволяет получить послойное изображение мочевыделительных органов, определить их размеры и пораженные участки. Также с помощью этого исследования можно выявить сужение почечных сосудов, наличие в них атеросклеротических бляшек или тромботических масс.
Показания к проведению процедуры
Показаниями для проведения кт мочевыделительной системы являются:
- Воспалительные заболевания почек, мочеточника, мочевого пузыря, надпочечников.
- Травмы мочеполовых органов.
- Подозрение на мочекаменную болезнь.
- Врожденные или приобретенные аномалии органов и сосудов мочевыделительной системы.
- Новообразования почек и мочевого пузыря.
- Гематурия.
- Состояние после инфаркта почки.
- Гидронефроз, тромбоз почек.
- Контроль за состоянием органов до и после проведения хирургического вмешательства.
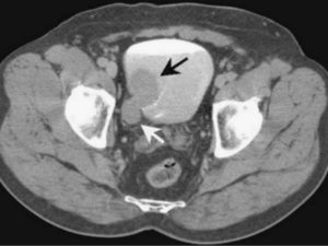
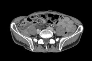
Воспалительные заболевания почек – показание к проведению КТ мочевыделительной системы
В некоторых случаях показано проведение кт мочевыделительной системы с контрастированием. Данный способ позволяет визуализировать опухоль или конкременты размером от 2 – 3 мм.
Компьютерная томограмма также выполняется при затрудненном, частом и болезненном мочеиспускании, интенсивных болях в поясничной или паховой области. Еще одним показанием для проведения этого исследования является недержание мочи или появление в моче посторонних примесей: слизи, кровяных сгустков, алой крови.
Нюансы подготовки
Перед проведением исследования необходимо узнать у врача точное время процедуры. Также следует взять с собой направление, ксерокопию страхового полиса и паспорта, результаты предыдущих обследований.
Особенной подготовки к кт мочевыделительной системы не требуется.
Однако, для получения достоверного результата, необходимо соблюдать некоторые правила:
- За 2 часа до обследования нужно выпить 1 – 1,5 литра обычной или негазированной минеральной воды. Это необходимо для полного наполнения мочевого пузыря. В противном случае все мочевыделительные органы будет плохо визуализироваться, и результат обследования будет неинформативным.
- В течение 3 дней перед процедурой запрещается употреблять в пищу газообразующие продукты: молоко, черный хлеб, кукурузу, капусту, горошек. Иначе раздутые петли кишечника будут мешать проведению исследования.
- В день проведения КТ запрещается принимать пищу и пить воду.
- Желательно опорожнить кишечник накануне обследования, можно сделать очистительную клизму.
- При выраженном метеоризме больному назначают таблетку активированного угля или эспумизана.
- Перед процедурой нужно снять с себя все металлические украшения, ремни, часы, убрать сотовый телефон и банковские карточки.
- Во время проведения исследования нужно лежать неподвижно. Это увеличивает точность компьютерной томографии.
Если больному проводится КТ с использованием контраста, то необходимо накануне сдать анализ крови на креатинин.
Этапы проведения КТ
В настоящее время кт мочевыделительной системы можно выполнить в любой клинике Москвы или другого крупного города. Компьютерную томографию можно сделать платно. Ее стоимость обычно составляет 3 -10 тысяч рублей. Исследование также можно выполнить бесплатно по ОМС (с обязательным направлением врача).
Данная процедура длится 20 – 30 минут. При введении контраста продолжительность томографии увеличивается до 40 – 50 минут.
Перед началом обследования пациента укладывают на кушетку. Раздеваться или оголять участки тела для этого не требуется. Руки просят вытянуть вдоль тела или положить за голову. Также больного просят слушать и выполнять все команды врача. Иногда доктор может попросить задержать дыхание на несколько секунд.
Затем человеку одевают наушники. Это необходимо потому, что аппарат при работе издает сильные лязгающие звуки и шумы. В руки дают «тревожную» кнопку. Ее необходимо нажать в случае непредвиденной ситуации, ухудшения состояния, сильного головокружения.
Затем кушетка задвигается в сам аппарат. Пациент должен спокойно лежать и не двигаться. Если проводится кт с контрастированием, то перед началом процедуры больному делают укол в вену. Потом рентгенолог выходит из помещения, закрывает за собой дверь, но наблюдает за пациентом через специальное стеклянное окошко.
После окончания процедуры человек поднимается с кушетки и выходит из кабинета. Результаты исследования можно будет получить на следующий день.
Обычно это исследование не вызывает никаких неприятных ощущений и хорошо переносится взрослыми и детьми. Если у человека имеется в анамнезе клаустрофобия, то необходимо поискать аппараты открытого типа. В таком аппарате кушетку не задвигают внутрь, пациент находится в пространстве, открытом с нескольких сторон.
Кт мочевыделительной системы с контрастированием
Кт мочевыделительной системы с контрастированием проводится для того, чтобы улучшить качество получаемого изображения. Для этого пациенту внутривенно вводят йодосодержащие лекарственные препараты.
Для этих целей чаще всего применяют ультравист, верографин, визипак. Кт с контрастом в основном выполняется для определения аномальных структур в органах мочевыделительной системы.
Это необходимо для выявления камней в почках, наличия опухоли или сосудистых аномалий.
Большинство злокачественных новообразований кровоснабжается лучше, чем нормальная ткань. Поэтому контрастное вещество будет активно накапливаться в этих участках, что отразится на полученных снимках.
Также на томограмме контраст будет выделяться белым цветом по мере прохождения через артерии и вены.
Это позволяет изучить состояние сосудов, выявить патологические коллатерали, участки сужения или тромбоза.
Противопоказаниями для проведения кт мочевыделительной системы с контрастированием являются аллергическая реакция на йод, кормление грудью, тяжелая почечная недостаточность.
Интрпретация результатов
Расшифровывает полученные результаты врач – рентгенолог. Но эта расшифровка является только заключением и не предполагает постановки диагноза.
С результатами обследования (рентгеновским снимком, диском с записью исследования) пациент должен прийти на прием к врачу – урологу, неврологу или онкологу.
На основании полученного обследования, лабораторных исследований и других инструментальных методов врач поставит точный диагноз.
С помощью данного метода можно диагностировать:
- Доброкачественные и злокачественные опухоли.
- Гематомы, травмы почек.
- Инородные тела в уретре, мочеточнике или мочевом пузыре.
- Увеличенные лимфоузлы.
- Метастатические поражения.
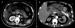
С помощью КТ мочевыделительной системы можно обнаружить доброкачественные и злокачественные опухоли
Также ктмочевыделительной системыпозволяет увидеть воспалительные заболевания мочеполовых органов. К ним относятся гломерулонефрит, пиелонефрит, цистит, мочекаменная болезнь, феохромоцитома. С помощью этого исследования также диагностируют сосудистые заболевания почек: стеноз или обструкцию почечной артерии, патологическую извитость сосудов или подвижную сосудистую ножку почки.
Противопоказания
Противопоказаниями для проведения КТ являются:
- Детский возраст до 2-х лет.
- Вес свыше 130 кг.
- Тяжелая форма бронхиальной астмы с частыми приступами.
- Эпилепсия.
При беременности проведение КТ показано только в том случае, если предполагаемый риск для здоровья матери превышает риск для плода. Такое исследование в этот период проводится только в случае крайней необходимости.
Лактация также является относительным противопоказанием для проведения данной процедуры. При выполнении кт мочевыделительной системы с контрастированием лекарственное вещество всасывается в грудное молоко.
Поэтому кормящим женщинам рекомендуют это исследование без введения контраста. В случае необходимости применения йодсодержащих препаратов женщине следует пропустить 2 кормления и сцедить молоко. Контраст полностью выводится из организма через 6 – 8 часов.
По истечении этого времени можно продолжать кормить ребенка грудью.
Кт с контрастом запрещено проводить людям с гипертиреозом, токсическим зобом и повышенной функцией щитовидной железы.
Компьютерная томография мочевыделительной системы представляет собой современный диагностический метод. Он используется для исследования состояния органов малого таза, выявления злокачественных патологий. Однако стоит помнить, что это исследование имеет ряд противопоказаний. Поэтому данный метод рекомендуется выполнять только по назначению лечащего врача.
Источник: https://oonkologii.ru/kt-mochevydelitelnoj-sistemy-01/
Кт почек с контрастом: когда назначают

СтатьиКт почек с контрастом: когда назначают Кт почек с контрастом: когда назначают
Статистика ВОЗ сообщает, что от болезней почек в России страдает 4% населения.
Причем подавляющее большинство составляют женщины.
При этом практически все патологии почек опасны.
Без своевременного лечения они могут приводить к инвалидизации и смерти.
проблема в диагностики болезней почек то, что они часто протекают бессимптомно. Поэтому для постановки диагноза недостаточно физикального осмотра и лабораторных анализов. В этом случае нефролог может назначить КТ.
Факторами, способными спровоцировать болезнь являются:
- Нерациональное питание;
- Курение и алкоголь;
- Лишний вес;
- Бактериальные и вирусные инфекции;
- Кисты и опухоли различной природы;
- Образование камней;
- Генетические и врожденные аномалии;
- Аутоиммунные заболевания;
- Нарушения обменных процессов и работы мочевыделительной системы.
Что такое компьютерная томография
Это один из самых современных и информативных способов обследования.
Он позволяет создавать послойные снимки изучаемой зоны, не требуя проколов и повреждения кожных барьеров благодаря способности томографа фиксировать разницу между по данным и полученным излучением.
Поскольку плотная ткань поглощает большее количество энергии, компьютер на основании полученных данных создает трехмерную картину в разных проекциях. Это помогает обнаружить патологии на самых ранних стадиях, когда их гораздо проще вылечить.
Чем опасны патологии почек
Мало кто знает, что патологии почек могут являться причиной инфарктов и инсультов. При их поражении возникает нарушение обмена кальция и фосфора. Кальций откладывается в стенках сосудов, вызывая тромбоз.
Есть и другие опасности:
- Нефроптоз или смещение почки. При отсутствии лечения приводит к хроническому воспалению, гипертонии и почечной недостаточности, грозящей потерей органа.
- Пиелонефрит относится к воспалительным заболеваниям. Часто протекает бессимптомно или «маскируется» под ОРЗ. В тяжелых случаях в организме возникает гнойный очаг, что может привести к сепсису или удалению почки.
- Камни в почках – распространенная патология, часто требующая экстренной врачебной помощи и хирургического вмешательства. В почке, заблокированной камнем, возникает острое воспаление, грозящие уросепсисом.
Это не весь список заболеваний с серьезными последствиями. Именно поэтому так важно не заниматься самолечением, а обращаться к врачам и регулярно сдавать анализы крови и мочи.
Показания для назначения КТ почек с контрастированием
Исследование назначают при неясной этиологии болезни, или для уточнения результатов урографии и ультразвуковой диагностики. Кроме того, компьютерная томография показывает, насколько эффективна проводимая терапия. Ее назначают при подготовке к операции или для контроля реабилитации в послеоперационный период.
Показаниями являются:
- Кисты;
- Опущение фильтрационных органов;
- Уролитиаз;
- Гнойно-воспалительные процессы;
- Нарушение метаболизма белка;
- Аномалии сосудов почек;
- Острые или хронические заболевания;
- Тромбоз в почечных венах и артериях;
- Травмы;
- Аномалии развития;
- Камни и песок;
- Гидронефроз;
- Обследование надпочечников;
- Подозрение на инфаркт почки;
- Пиелоэктазия (расширение лоханок в результате нагрузок);
- Биопсия;
- Опухоли различной природы.
Можно ли делать диагностику без контраста
Процедуру без усиления делают в случае, если есть противопоказания к введению препарата.
Рентгеноконтраст, попадая через кровоток к почкам, помогает определить границы, форму, структуру, сосудистые сетки.
Особенно актуальна такая методика для обнаружения новообразований и метастазов, их локализации и размеров. Тогда как томография без красящего вещества может оказаться малоинформативной.
Подготовка к исследованию
Введение контраста требует определенной подготовки. Пациенту необходимо сдать анализ на креатинин, и сделать аллергопробу на контрастирующий препарат. В день обследования надо приходить натощак. Последний прием пищи должен быть за 6-8 часов, а воды за 2-3 часа до томографии. Это позволит избежать тошноты и рвоты.
Что взять с собой на КТ
Диагностические центры просят иметь на руках:
- Направление от врача;
- Удостоверение личности: паспорт или свидетельство о рождении для пациентов младше 14 лет;
- Амбулаторную карту;
- Лабораторные анализы и результаты обследований.
Как проходит компьютерная томография
КТ почек с контрастом проходит по следующему принципу:
- Пациент ложится на выдвижной стол томографа;
- Чтобы сохранять неподвижность, его фиксируют широкими ремнями;
- Стол задвигают в камеру аппарата;
- Во время сканирования прибор издает характерный шум и щелчки, означающие что процедура проходит нормально;
- Спустя некоторое время рентгенолог приостанавливает обследование и внутривенно или капельным путем вводит контрастирующее вещество.
- После активации препарата, он продолжает обследование.
- Процедура занимает от 15 минут до полутора часов.
- После ее окончания диагност изучает полученные снимки и пишет заключение.
Противопоказания к КТ почек с контрастом
Как любой диагностический метод, томография имеет противопоказания. К ним относятся:
- Детский возраст. Рентген негативно влияет на детский организм. О необходимости исследования детям принимает решение врачебный консилиум, исходя из жизненно важных показаний.
- Беременность на любом сроке.
- Период кормления грудью. Если процедура необходима, лактацию придется прервать до полного выведения препарата из организма. Это занимает 48 часов.
- Болезни щитовидной железы.
- Сахарный диабет, при уровне глюкозы в крови выше 6,5 Ммоль натощак.
- Почечная, печеночная и сердечная недостаточность.
- Бронхиальная астма.
- Аллергия на йодсодержащие препараты.
- Ожирение, при котором вес пациента превышает 120-150 килограмм.
- Наличие кардиостимуляторов, инсулиновых помп.
- Затруднить обследование, создать затемнение и блики на снимках может гипс на теле пациента.
Безопасность процедуры
Компьютерная томография – рентгенологическое обследование. Лучевая нагрузка на организм при ее проведении незначительна, но требует восстановительного периода.
Где в Москве сделать КТ почек с контрастированием
В столице огромное количество диагностических центров имеющих лицензию на этот вид исследования.
Найти ближайшую клинику можно через сервис https://moskva-mrt.ru/.
Здесь можно посмотреть много полезной информации.
Узнать цены, уточнить наличие системы скидок, льгот или бонусов для пациентов.
А также прочитать реальные отзывы о медицинских учреждениях и работе рентгенологов.
Дарим 1 000 рублей на МРТ/КТЗвоните сейчас 8 (495) 221-63-87 Что такое внутричерепная гипертензия и как ее лечить Анатомия черепной коробки устроена таким образом, чтобы оберегать главный орган человеческого тела.
Помимо плотной костной оболочки мозг защищен от сотрясений ликворной жидкостью, заполняющей свободное пространство внутри черепа МРТ уха: что показывает При подозрениях на заболевания среднего и внутреннего уха использовать инвазивные методы диагностики опасно.
К болезненности могут присоединиться и другие симптомы, дополняющие неврологическую картину Как пройти МРТ при клаустрофобии Специалисты из области медицины располагают огромным перечнем диагностических методик, различных по эффективности и уровню информативности.
Если говорить о способах обследования, проводимых неинвазивным путем (без инструментального вмешательства), самым действенным методом выступает томография. КТ печени с контрастом: описание, показания и технология проведения Когда существует вероятность поражения тела пациента, предпочтительным клиническим приемом считается проведением компьютерного сканирования.
Обследование визуализирует детализированные и четкие изображения, которые показывают воспалительные очаги, их расположение, стадию, тип, форму и уровень прогрессирования.
МРТ брюшной полости: специфика диагностики В области брюшины располагается большое количество органов и структур, изучить состояние которых ранее можно было только путем инструментального проникновения (инвазии).
МРТ головного мозга: надо ли делать при Альцгеймере Альцгеймер или сенильная деменция – психическое расстройство, встречающееся в основном у людей старше 60 лет. Для него характерны потери когнитивных навыков и памяти. Причины его развития до сих пор точно не установлены.
МРТ сосудов головы и шеи — лучший способ диагностики В человеческом теле все органы имеют взаимосвязь между собой, исходя из этого, получается, что шейная зона позвонка и мозг — функционируют по такой же схеме, благодаря чему организм всегда обеспечивается необходимыми ресурсами для жизнедеятельности. КТ брюшной полости с контрастом и без Боли в области живота – тревожный признак, требующий немедленного обращения к врачу. Ведь он может сигнализировать, как о хронических, так и об острых патологиях, когда показано срочное оперативное вмешательство. МРТ суставов в Москве С проблемой сильных болей, периодическим хрустом, затрудненностью движений в суставах сталкивается огромное количество людей вне зависимости от возраста и сферы деятельности. Когда анализы крови, первичные осмотры и ультразвуковая диагностика не дают результата, пациент может быть направлен на МРТ суставов для постановки точного диагноза./p> МРТ почек Метод магнитно-резонансной томографии имеет широкие диагностические возможности. Он основан на воздействии магнитного поля и радиочастотных волн на тело человека, которые помогают получить точные многослойные снимки любого органа. По ним легко определить наличие патологии и ее локализацию. МРТ кишечника в Москве Заболевания желудочно-кишечного тракта занимают одно из первых мест по данным медицинской статистики. Если расстройство организма связано с желудком, то чаще всего врач отправляет на сдачу анализов крови. Однако, такая диагностика не является показательной в полной мере. Для точной постановки диагноза требуется МРТ кишечника. МРТ головы Магнитно-резонансная томография — метод диагностики, основанный на явлении ядерно-магнитного резонанса. МРТ головы позволяет визуализировать анатомические структуры путем создания послойных, двухмерных и трехмерных изображений. Успех метода заключается в использовании способности ядер водорода (их используют по причине наибольшей распространенности в организме) поглощать, а затем излучать энергию в созданных аппаратом условиях. Сигнал улавливается датчиком и проецируется на монитор в качестве изображения. КТ грудной клетки Компьютерная томография – методика внешнего сканирования, в основе которой находится просвечивание человеческого тела рентгеновскими лучами. Множественные специальные датчики определяют, какой плотности лучевой потока. Они улавливают момент, когда он ослабевает. Обрабатываются полученные результаты скана, в отличие от обычных рентгенографических снимков, на компьютере. Центральный процессор собирает полученную информацию и проводит ее анализ. На выходе получается фотография с точным изображением в трех плоскостях, шаг которого составляет 1 мм. Ко всем статьямПо району По станции метро По специализации
Источник: https://moskva-mrt.ru/kt-pochek-s-kontrastom:-kogda-naznachayut/
Кт почек и мочевыводящих путей

Наряду с МРТ, УЗИ, экскреторной урографией КТ является информативным и точным видом исследования морфологического и структурного состояния почек.
Кт почек и мочевыводящих путей является методом выбора для верифицирования возможных онкологических нарушений, определения контуров, величины, распространения внутри- и внеорганных образований, а также оценки кровоснабжения объемного образования.
Благодаря КТ получают высокоточные снимки почек и их патологий, что позволяет судить о целесообразности консервативного или хирургического лечения.
СКТ почек – что это такое?
Спиральная и мультиспиральная томография почек представляет собой усовершенствованные методики сканирования, которые позволяют уменьшить время исследования, при этом повысить разрешающую способность снимков, увеличить зону анатомического покрытия за одно сканирование, а также добиться оптимального соотношения сигнал/шум. В отличие от пошаговой КТ МСКТ позволяет выполнять многофазное болюсное усиление, что особенно важно для диагностики органов брюшной полости.
Что покажет мультиспиральная КТ почек
Исследование может проводиться для выяснения причин боли в области поясницы, повышения температуры тела в совокупности с болевыми ощущениями низа спины, нарушения мочеиспускания, наличия кровяных примесей в моче, плохих результатов анализа мочи, в также в случае, когда альтернативные методики исследования не могут выявить то или иное нарушение и предоставляют сомнительные сведения.
МСКТ урография проводится для диагностики таких нарушений:
- последствий травм нижней части живота или спины;
- инфекционных нарушений;
- аномалий развития почки, в частности, гипоплазии, поликистоза, аплазии, удвоения, тазовой, перекрестной, торакальной и прочих дистопий, рудиментарной почки, добавочной, подковообразной почки и прочих;
- некротических и дистрофических процессов;
- конкрементов;
- абсцессов;
- пиелонефрита, других воспалений;
- добро- и злокачественных опухолей, а также метастазов из других органов;
- кистозных образований.
Часто проводится комплексное исследование КТ почек и мочевого пузыря, что показывает также аномалии развития мочевого пузыря, цистит, плоскоклеточный рак, аденокарциному мочевого пузыря, обструкцию шейки пузыря, метастатические поражения и другие патологии.
Для дифференциальной диагностики кист, опухолей, воспалений проводят КТ почек с контрастным веществом.
Дифференцирование таких образований основано на свойстве злокачественных образований накапливать рентгеноконтрастной препарат, при этом плотность опухоли возрастает более чем на 5-15 единиц по шкале Хаунсфилда.
Основными признаками доброкачественных кист на КТ являются круглая форма образования с гладкой стенкой, четкими контурами, а также однородное содержимое плотностью менее 20 единиц.
Исключением являются гиперденсивные кисты, плотность которых может быть более 20 единиц из-за содержания в них большого количества белка либо геморрагических компонентов. Также КТ-признаками кист является наличие в образовании узелковых уплотнений стенки, внутренних перегородок и многокамерности.
После введения контрастного вещества плотность, форма и величина простой кисты не изменяется, при этом плотность паренхимы почки возрастает.
В современной практике основным методом верифицирования кальцинатов является КТ. Присутствие кальцинатов в кисте может свидетельствовать о возможном озлокачествлевании процесса. Однако мелкие кальцинаты линейной формы могут встречаться в перегородке либо стенке доброкачественных кист.
Контрастная процедура позволяет определять также зоны прорастания вторичных опухолей из тазовых органов, структур брюшной полости и грудной клетки, диагностировать конкременты в почках и мочеточниках, а также сосудистые нарушения.
Например, при ангиомиолипоме фото КТ без усиления показывает участки жировой ткани с пониженной плотностью.
Для комплексной оценки распространенности патологического процесса часто проводят процедуру КТ почек и брюшной полости, которая показывает взаимные отношения структур данной анатомической области, состояние сосудов и лимфатической системы.
Зачем делают КТ ангиографию почек
КТ-обследование сосудов почек проводится для выявления патологий почечных артерий, вен, а также онкологические процессы, которые оказывают влияние на кровеносные сосуды. Ангиография позволяет выявлять аномалии развития артерий почек, стенозы, вазоренальные конфликты, артерио-венозные мальформации, степень сдавления сосудов прорастающими опухолями.
Диагностика проводится с контрастным усилением, поскольку без введения препарата такое сканирование будет недостаточно информативным.
Подготовка к КТ почек с контрастом
Исследование предполагает соблюдение несложных мер подготовки. Так, пациенту не следует принимать пищу за 3-4 часа до скрининга. Диагностика мочевого пузыря проходит в средней или полной степени его наполненности, для этого пациенту нужно выпить 1 стакан чистой воды за полчаса до обследования и не мочиться. Это необходимо для того, чтобы максимально разгладить складки мочевого пузыря.
По возможности на исследование пациент должен взять с собой направление врача, данные ранее проведенных диагностик, выписки из стационаров или медицинской карты и прочие документы.
Контрастная процедура требует от пациента сдачи анализа крови на выяснение показателей креатинина и мочевины. Если эти параметры будут отклоняться от нормы, решение о возможности проведения контрастного исследования будет принимать лечащий врач или врач-радиолог.
Как делают КТ почек
Во время процедуры пациента укладывают на подвижный стол томографа горизонтально на спину. При необходимости контрастирования в локтевую вену лаборант устанавливает катетер, через который в дальнейшем будет подаваться контрастный раствор.
После этого стол с пациентом передвигается в кольцо аппарата, при этом область живота располагается на уровне этого кольца. Во время скрининга кольцо будет совершать вращательные движения вокруг пациента, а столешница будет поступательно передвигаться, при этом скорость ее передвижения зависит от целей диагностики.
КТ почек без контраста обычно занимает 15 минут, с контрастом длится до 25-30 минут с учетом укладки пациента и прочих подготовительных мероприятий.
После скрининга пациент получает серию черно-белых снимков, распечатанную на пленке или записанную на носитель, а позже – письменное описание врача-радиолога.
Расшифровка КТ почек
Расшифровка снимков проводится на основании сравнения рентгеновской плотности, расположения, формы, однородности структуры почек и смежных структур с определенными нормами.
В частности, в здоровом состоянии плотность паренхимы почек равномерна, не отмечаются локальные участки повышения или понижения плотности, конкременты не выявляются, в чашечках и лоханках не обнаруживаются инородные тела, кисты, объемные образования, чашечно-лоханочная система не расширена.
В нормальном состоянии мочевой пузырь также обычной формы, без деформации стенки, не определяются увеличенные или патологически измененные лимфоузлы, свободной жидкости не обнаруживается.
Если по какой-то причине пациента или лечащего врача не устраивает выполненное описание результатов скрининга, можно воспользоваться услугой второго мнения, когда снимки предоставляются независимому эксперту для пересмотра всего описания.
КТ почек ребенку
КТ может проводиться детям в случае подозрения на аномалии развития и строения почек, камней в мочевом пузыре, мочеточниках, серьезных воспалительных нарушения и травматические последствия.
Однако при выборе КТ следует учитывать возможные риски для растущего организма из-за довольно высокой лучевой нагрузкой.
Поэтому врач должен оценивать возможности рентгенографии и нелучевых методов диагностики при выборе оптимального вида исследования.
Где можно сделать КТ почек с контрастированием в Москве
Основанием для выполнения КТ чаще всего являются неудовлетворительные результаты анализов крови или мочи, а также данные УЗИ, рентгенологических методов или МРТ.
На нашем портале пациенты могут получить исчерпывающую информацию о больницах и клиниках, которые предлагают пройти такой вид скрининга. Также здесь можно ознакомиться с отзывами о КТ почек от пациентов, выполнивших исследование, просмотреть ролики про КТ почек, видео исследования надпочечников и других структур живота.
Источник: https://msk-mrt-kt.ru/kt-pochek-i-mochetochnikov
Компьютерная томография (КТ) почек и мочевыводящих путей

Современным методом диагностики всего организма является компьютерная томография (КТ). Сканирование почек и мочевыводящих путей томографом позволяет обнаружить патологии и скрытые заболевания. Исследование предусматривает детальную диагностику почек, надпочечников, чаcтично мочеточников и других тканей, которые окружают жизненно важные органы.
Компьютерная томография почек и мочевыводящих путей проводится только по назначению врача и под контролем рентгенлаборанта и врача-рентгенолога.
Полученные снимки, сделанные томографом, позволяют проанализировать состояние органов в разных плоскостях, поскольку сканер выдает послойные 3D-изображения, на которых визуализируются многие инфекционные, воспалительные и другие патологические процессы.
Симптомы заболеваний почек и мочевыводящих путей
Почки и мочевыводящие пути имеют важнейшее значение для человеческого организма. Здоровые почки нужны для нормальной работы всех систем, они выполняют выделительную, метаболическую и осморегулирующую функции.
Из-за эндогенных и экзогенных факторов влияния на организм могут развиться болезни почек, надпочечников и мочевыводящих путей. Чтобы исключить ряд заболеваний, нужно своевременно диагностировать болезнь. Эффективно обследовать внутренние органы и системы можно с помощью КТ.
Факторы, которые могут привести к хроническим болезням: нерациональное питание, сильное переохлаждение, снижение иммунной системы, травмы мочевого пузыря, перенесение химиотерапии, гормональные сбои, хроническая усталость, бессонница, стрессы и депрессии, врожденные либо приобретенные аномалии (патологии) почек и мочевыводящих путей.
Симптомы, которые могут свидетельствовать о нарушении работы почек и мочевыводящих путей: высокая температура тела (не меньше 39 градусов), сохраняющаяся на протяжении 2-3 дней, озноб, повышение артериального давления, тошнота и рвота, повышенное потоотделение, боль в пояснице и брюшной полости, болевой синдром при мочеиспускании, потеря аппетита и массы тела, режущая боль внизу живота, скудные, болезненные выделения или, вовсе, задержка мочи, появление слизи или крови в моче, жжение и зуд в зоне уретры.
При появлении одного или нескольких симптомов следует обратиться за медицинской помощью и пройти ряд исследований, среди которых, в том числе, может быть рекомендована компьютерная томография мочевыводящих путей и почек.
Показания к проведению КТ
КТ – это диагностика, которая проводится с помощью воздействия на организм рентгеновских лучей. Чаще всего обследование выполняется с целью подтверждения или уточнения поставленного диагноза.
Сканирование томографом предоставляет возможность выявить и изучить различные патологические процессы, последствия и осложнения травмы.
Если у больного присутствует характерная симптоматика, которая указывает на этимологию патологических процессов в мочеполовой системе, следует незамедлительно направить пациента на КТ.
Нужна КТ, если у пациента увеличились лимфоузлы в забрюшинном пространстве или в области таза, перед оперативным вмешательством и после операции (с целью оценки проведенной терапии).
Компьютерная томография рекомендуется при подозрениях на наличие новообразований, в том числе злокачественных и доброкачественных опухолей.
Когда доктор получает результаты детального обследования, он может окончательно опровергнуть или подтвердить предварительно установленный диагноз.
Противопоказания исследования
Обследование с помощью томографа проводится двумя главными способами: первый – классический метод, второй – с добавлением контрастного вещества. При удовлетворительном состоянии здоровья человека ему могут провести КТ с йодсодержащим контрастом. Использование во время процедуры контраста нужно для того, чтобы визуализация и детализация снимков была точнее и информативнее.
К противопоказаниям КТ с контрастирующим веществом относятся:
- аллергическая реакция на йод;
- сахарный диабет тяжелой степени;
- почечная, сердечная и печеночная недостаточность тяжелой степени.
Компьютерную томографию мочевыводящих путей и почек нежелательно назначать: беременным женщинам на любом сроке беременности; молодым мамам в период лактации (при использовании контрастного вещества в диагностике); детям до 14 лет.
Беременным и детям проводят исследование, только если это действительно необходимо и риск оправданный.
Ограничена в использовании компьютерная томография людям со страхом замкнутого пространства (клаустрофобией). Если больной весит больше 200 килограммов, провести обследование не получится, так как сканер не выдержит чрезмерную нагрузку и не сможет показать достоверные результаты.
КТ полностью безопасная процедура и не вызывает неприятных ощущений. Побочные реакции после процедуры не выявлены. Человеку может стать плохо (в редких случаях), только если делается КТ с контрастом. Длительность побочных явлений может сопровождаться не более 30-60 минут. Пациенту желательно пить большое количество чистой воды, чтобы поскорее вывести контрастное вещество из организма.
Целесообразность компьютерной томографии мочевыводящих путей и почек определяет лечащий врач после изучения истории болезни и получения результатов пройденных анализов. Больной приходит на прием к доктору с результатами анализов крови и мочи, расшифровкой ультразвуковой диагностики.
Как готовиться к КТ
Чтобы процедура прошла успешно, нужно к ней подготовиться. В первую очередь это касается приемов пищи. Последний прием еды должен быть за 4-6 часов до начала диагностики.
За 2-3 дня до диагностики нужно исключить из рациона жирную, жареную, соленую, перченую пищу. Стоит отказаться от хлебобулочных изделий и газированных вод, молочных и кисломолочных продуктов, т.е. ограничить употребление пищи, способствующей повышенному газообразованию кишечника.
Перед процедурой необходимо снять все металлические аксессуары, желательно надеть свободную одежду, которая легко снимается и одевается.
Чтобы не рисковать, следует провести аллергическую пробу на непереносимость йода. При положительном результате (негативной реакции не выявлено) можно проводить компьютерную томографию.
Последовательность проведения КТ
Длительность КТ без контраста занимает 5-10 минут, с добавлением окрашивающего вещества – от 20 минут до получаса. Первым делом пациента просят лечь на специальную платформу, которая выдвигается, а затем закатывается в тоннель со сканером.
При использовании контраста, после первого сканирования, пациента выкатывают, вводится через катетер специальное вещество (если его введение назначил доктор), и вновь проводится сканирование спустя несколько минут.
Если человек очень боится, ему могут дать специальную грушу, которую, если что-то пойдет не так (приступ паники, болезненные ощущения), пациент сожмет рукой и процедуру сразу же остановят.
Во время диагностики нужно слушать рентгенлаборанта, который проводит процедуру: он будет говорить, когда нужно не двигаться. Находиться в неподвижном состоянии необходимо для того, чтобы 3D-изображения были четкими и не смазанными.
После исследования врач-рентгенолог анализирует отсканированные картинки и расшифровывает их. Процесс расшифровки занимает от 15 до 30 минут. С полученным заключением специалиста пациент идет к доктору, который его направил на компьютерную томографию мочевыводящих путей и почек.
На основе полученной информации и заключения рентгенолога, лечащий доктор поставит диагноз и назначит эффективный курс лечения. Это может быть медикаментозная или хирургическая терапия в зависимости от выявленной болезни и ее специфики.
Тедеева Мадина Елкановна
Специальность: терапевт, врач-рентгенолог.
Общий стаж: 20 лет.
Место работы: ООО “СЛ Медикал Груп” г. Майкоп.
Образование: 1990-1996, Северо-Осетинская государственная медицинская академия.
Повышение квалификации:
1. В 2016 году в Российской медицинской академией последипломного образования прошла повышение квалификации по дополнительной профессиональной программе «Терапия» и была допущена к осуществлению медицинской или фармацевтической деятельности по специальности терапия.
2. В 2017 году решением экзаменационной комиссии при частном учреждении дополнительного профессионального образования «Институт повышения квалификации медицинских кадров» допущена к осуществлению медицинской или фармацевтической деятельности по специальности рентгенология.
Опыт работы: терапевт – 18 лет, врач-рентгенолог – 2 года.
Источник: https://FoodandHealth.ru/diagnostika/kt-pochek-i-mochevyvodyashchih-putey/
Поделиться: