Солидный рак: виды, опасности и лечение

Солидное новообразование не всегда означает страшный диагноз. Это может быть и доброкачественное уплотнение под кожей или во внутренних органах, но может быть и солидный рак. Особенно опасны онкологические заболевания у детей.
Своевременное обнаружение зловещих симптомов в ходе периодических обследований помогают начать лечение на ранней стадии и добиться значительного улучшения и стабилизации.
Современная тактика лечения состоит из комбинации различных методов и часто позволяет улучшить прогноз состояния больного.
Особенности солидного рака
Опухоль- это новообразование в тканях или внутренних органах в виде уплотнения или утолщения. Ее границы достаточно четко определены, они прощупываются при пальпации и видны на рентгеновских снимках, УЗИ и томографии. Солидное (с ударением на первый слог, как говорят медики) уплотнение может разрастаться из следующих видов тканей:
- зрелой- дифференцированной;
- незрелой – зачаточный, или недифференцированной;
- несозревшей, или эмбриональной.
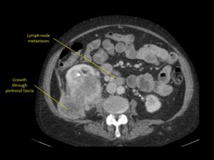
Солидные раковые опухоли представляют собой непосредственную опасность для организма. Они оказывают давление на внутренние органы, нарушают их функции, могут придавливать и повреждать нервные пучки и сосуды.
По сложившейся в медицине традиции наименования заболеваний, на их опухолевый характер указывает окончание «-ома». Первая часть наименования – это латинское название ткани, давшей материал для роста новообразования. Если ткань была жировая- опухоль называют «липома», если костная- то «остеома»
Виды солидной опухоли
Не всякая опухоль является онкологической. Медики различают два вида новообразований:
Доброкачественная
Такие солидные образования локализованы, как правило, отделены от соседствующих тканей своей оболочкой и причиняют больному ограниченные неудобства. Они очень медленно растут, не образуют метастазы, не порождают вторичные опухоли.
Встречаются случаи, когда такие новообразования и вовсе перестают расти или начинают уменьшаться в объеме вплоть до полного рассасывания.
Однако и они представляют опасность, поскольку при неблагоприятных условиях из них могут начать расти злокачественные опухоли.
Злокачественная
Злокачественные опухоли – проявление онкологических болезней. Там, где такое уплотнение возникло впервые, его называют первичным. Через метастазы оно может распространяться по организму, порождая вторичные опухоли.
Первичное уплотнение
Большинство таких заболеваний поддается эффективному лечению на ранних стадиях. Для того, чтобы своевременно их обнаружить, следует проводит регулярные обследования.
Чем опасны
По статистическим данным Всемирной Организации Здравоохранения, онкологические заболевания в смертности уступают только сердечно- сосудистым.
Ежегодно ставится до 6 миллионов онкологических диагнозов, и 5/6 из них заканчиваются гибелью больного. У мужчин раковые опухоли встречаются с полтора раза чаще, чем у женщин.
Для мужчин чаще всего поражаются дыхательные органы и желудочно- кишечный тракт, а также предстательная железа.
У женщин лидирует рак молочной железы, внутренних половых органов, кожи.
Разрастаясь, опухоли приводят к нарушению функций тканей и целых органов. Кроме того, на поздних стадиях заболевания опухоли пережимают нервные пучки, что вызывает у пациента очень сильную боль. Для снятия болевого синдрома приходится применять сильнодействующие обезболивающие средства вплоть до наркосодержащих.
Особенности патологии в детском возрасте
Дети и подростки с их не до конца сформировавшейся иммунной системой бывают подвержены онкологическим заболеваниям кроветворных органов, развитию опухолей центральной нервной системы, прежде всего- головного мозга, опухолям в почках, других внутренних органах, поражениям опорно-двигательного аппарата.
Учены объясняют увеличившуюся в последнее время детскую заболеваемость существенной деградацией среды обитания. В неблагополучных с экологической точки зрения регионах прежде всего страдают дети.
Но даже в относительно благополучных регионах катастрофическое влияние на здоровье детей может оказывать структура и качество питания ребенка, образ жизни родителей, их наследственность и склонность к вредным привычкам, общий психологический климат в семье.
На восприимчивость ребенка к канцерогенным факторам окружающей среды оказывает влияние также здоровье матери, заболевания, перенесённые ею во время вынашивания плода и грудного вскармливания.
У подростков развитие солидных опухолей нередко происходит в результате серьезных травм, особенно связанных с ушибами, а также эмоциональных и гормональных всплесков.
При своевременном обнаружении детской солидной опухоли шансы на излечения даже несколько выше, чем у взрослого. Однако далеко не у всех малышей болезнь выявляется на ранних, излечимых стадиях. Это обуславливается слабым развитием служб детской онкологии и большими расстояниями до диагностических центров.
Очень важно для родителей при обнаружении первых тревожных симптомов- частой утомляемости, появляющихся и исчезающих болей, уплотнениях под кожей- немедленно провести диагностику.
Диагностика
Первичную диагностику проводят при появлении подозрений на возникновение опухоли. Если ярко выраженные симптомы отсутствуют, назначается скрининговое исследование. Оно не занимает много времени и не обходится дорого. Если результаты его указывают на существование злокачественных образований, специалист направляет пациента на углубленные обследования, такие, как:
- рентген;
- эндоскопические процедуры;
- клинические анализы крови;
- магниторезонансная томография и др.
МРТ – один из методов диагностики солидного рака
По результатам этих обследований онколог ставит окончательный диагноз.
Если процессы развития солидного рака зашли далеко, для поздних стадий используются следующие методы:
- лучевая диагностика, включающая в себя ультразвук, рентген, МРТ, чаще применяется для экзофитных новообразований, позволяет определить границы распространения опухолей их плотность и структуру;
- иммунодиагностика, основана на обнаружении в крови и тканях специфических белков и антител, которые организм синтезирует для борьбы с раковыми клетками;
- радиоизотопные маркеры, позволяют локализовать места с нарушением естественного кровотока и лимфобомена, характерные для опухолей;
- эндоскопия, сочетает визуальный осмотр внутренних органов с помощью вводимых в пищевод или в прямую кишку зондов, так и взятие образцов тканей для исследования другими методами;
- биопсия- лабораторное исследование для подтверждения онкологического характера новообразования.
Невозможно дать исчерпывающий перечень анализов для подтверждения онкологии. Для каждого пациента специалисты составляют индивидуальный план обследования, основанный на результатах предыдущих анализов, динамике болезни, текущем состоянии, сопутствующих заболеваниях, индивидуальной переносимости и некоторых других факторах
Тактика лечения
К сожалению, пять из шести пациентов, которым был поставлен онкологический диагноз, погибают. Медицина борется за их жизнь до последней возможности.
Тактика лечения выбирается, исходя из стадии заболевания, предшествующих лечебных мероприятий, состояния больного и других факторов. Эффективность лечения напрямую зависит от времени обнаружения опухоли.
Поэтому исключительно важно своевременно проходить плановые обследования.
При появлении тревожных симптомов ни в коем случае нельзя заниматься самолечением, принимать таблетки по чьим-либо советам или обращаться к услугам адептов нетрадиционных методов лечения. Помощи от этого никакой не будет, а драгоценное время будет безвозвратно потеряно. Болезнь из начальной перейдет в позднюю стадию, и шансы на излечение стремительно сократятся.
В современной онкологии используются следующие лечебные методы:
- Хирургические. Могут быть весьма эффектными на ранних стадиях заболевания. Хирургическим путем удаляется сама опухоль и граничащие с ней ткани. Молочные железы удаляют полностью. Применяются как традиционные металлические режущие инструменты, так и современные ультразвуковые или лазерные резаки. Они позволяют минимизировать сопутствующее хирургическое вмешательство и общее операционное травмирование организма пациента. Если опухоль успела дать метастазы, хирургия дает лишь временный эффект. Через метастазы опухоль возобновляет свой рост в других частях организма.
- Химиотерапевтические. Применяются сильнодействующие препараты, призванные подавить неконтролируемое деление раковых клеток и разрастание опухоли. К сожалению, эти препараты воздействуют и на здоровые клетки, подавляя и их регенерацию, необходимую для нормальной жизнедеятельности. Препараты последнего поколения могут избирательно подавлять деление и убивать именно раковые клетки, не затрагивая здоровых. Они не являются универсальными и действуют только против некоторых разновидностей новообразований.
- Радиология. Специально подобранным излучением гамма-диапазона, сфокусированным на больном органе, разрушают механизм размножения раковых клеток. Здоровые клетки также подавляются, но в меньшей степени. После прекращения курса они понемногу восстанавливаются. Используется и излучение других частей спектра, например, видимого.
- Гормоны. Сопутствующее лечение, облегчающее состояние.
- Иммунотерапия. Препараты активируют собственную иммунную систему, помогая ей справиться с опухолью.
Хирургическое вмешательство – один из способов лечения солидного рака
Реальная тактика, как правило, содержит комбинацию двух или более методов. Ее формируют так, чтобы максимизировать воздействие на опухоль и снизить негативную нагрузку на организм больного.
Прогноз
Прогнозирование хода лечения, его сроков и, главное, исхода в онкологии дается весьма сложно. Приходится учитывать очень много факторов, меняющихся под воздействием хода болезни, применяемых методов лечения, физического и морального состояния пациента.
Точность прогноза высока на начальных стадиях, если болезнь удалось своевременно обнаружить, и она не осложнена сопутствующими диагнозами.
Прогноз основывается также и на статистических данных, собираемых с начала 20 века. К ним надо относиться с осторожностью, поскольку кардинально изменились как методы лечения, так и формы онкологический заболеваний.
Источник: https://oonkologii.ru/solidnyj-rak-01/
Кистозно-солидное образование щитовидной железы: симптомы и лечение

Кистозное образование в щитовидной железе формируется на протяжении длительного периода времени. Часто этот процесс протекает бессимптомно. Щитовидная железа — один из самых важных органов эндокринной системы. Пациенты, которые страдают от нарушения функций щитовидки, долго время списывают симптомы на гормональный сбой или усталость.
Неполноценную работу щитовидной железы часто путают с проявлениями вегетососудистой дистонии. Пациенты не спешат на прием к доктору. Процесс обследования осуществляется в ходе обязательных медицинских осмотров. Женщины записываются на прием к эндокринологу, когда новообразование имеет большие размеры и становится заметным на шее.
Опухоль в щитовидке
Если киста представлена в виде коллоидного рубца, это говорит о ее структурном строении. В первое время она никак не проявляется. При достижении солидного размера в 10 мм, кистозное образование щитовидной железы становится заметным не только визуально, но и ощутимо по характерным признакам. Человек испытывает сложности при глотании.
Страдают и другие системы, так как отклонения в работе щитовидки проявляется ощущением сдавленности других внутренних органов. Наличие патологии характеризуется притоками жара. Женщина может часто злиться, раздражаться по любому поводу и жаловаться на плохое настроение. В крови повышается уровень гормонов, что свидетельствует о развитии тиреотоксикоза.
Опухоль в правой части
Киста правой доли щитовидки — довольно распространенное явление среди женщин. Правая часть по размеру превышает левую, возможно при образовании опухоли это играет важную роль.
Строение органа заложено на физиологическом уровне. Если новообразование зафиксировано в правой доле, в большинстве случаев оно имеет доброкачественный характер.
Патологические изменения размера в большую сторону наблюдаются крайне редко.
Если опухоль не была обнаружена и отсутствует лечение, ее размеры могут достигать от 5 до 7 мм. При этом больной ощущает следующие признаки:
- чувство сдавливания в области шеи;
- присутствие комка в горле;
- затруднение во время глотания;
- затрудненное дыхание.
Ранняя симптоматика
Проблемы диагностики напрямую связаны с проявлением симптомов. Начальные стадии болезни не вызывают у женщин никаких подозрений. Они не придают значения болезненным ощущениям в области шеи и повышению упругости пораженного места. Кисты в щитовидной железе имеют одну интересную особенность — волнообразное течение.
Она может увеличиваться в размерах, а через некоторое время полностью пропасть. Часто отмечается ее повторное появление. Если киста достигает значительных размеров, человек испытывает следующие симптомы:
- Смена природных контуров шеи.
- Появление кома в горле и постоянное его присутствие.
- Увеличение лимфоузлов.
- Осиплость голоса.
- Першение в горле.
- При надавливании на щитовидную железу ощущается мягкое уплотнение.
При заболевании наблюдается разнообразная симптоматика, которая напрямую зависит от стадии. При этом учитывается этап развития кисты и ее размер. Если больной вовремя не обратился за медицинской помощью и кистозные узлы начали увеличиваться в размере, есть вероятность что изменения будут слишком кидаться в глаза. Выпуклость заметна в районе гортани.
Если вовремя не обратиться за медицинской помощью, можно лишиться щитовидки полностью.
Опасность новообразований в щитовидке
Киста в щитовидной железе — явление, которое часто диагностируется у представительниц женского пола. Любая болезнь несет в себе опасность для организма и этот случай не является исключением.
Проведение правильного и своевременного лечения приносит положительную динамику человеку. Источником заболевания является причина, которая положительно воздействует на образование и рост кисты.
Выявить причину заболевания может только опытный специалист, пользуясь современными методами обследования.
Распространенные причины, провоцирующие развитие патологии:
- гиперплазия щитовидки;
- тиреоидит;
- проникновение в организм инфекции;
- патологические процессы, протекающие в фолликулах.
В результате исследований врач определяет, способна ли опухоль провоцировать воспалительные процессы и нагноение в органе. Тем самым определяют опасность для организма. Чем быстрее начнется лечение, тем больше шансов на полное выздоровление человека. В любом случае без терапии не обойтись. На начальных стадиях развития киста хорошо поддается лечению и от нее не остается и следа.
Лечебные мероприятия
Если кисты в щитовидке имеют размеры меньше 1 см, они поддается динамическому наблюдению и пунктируются в случае увеличения. Терапия начинается с опорожнения опухоли при помощи пункции.
Кисты, которые имеют доброкачественный характер, без воспалительного процесса могут пунктироваться повторно. В полость кисты после ее опорожнения вводят этиловый спирт.
Он способствует лучшему склеиванию стенок.
После первого опорожнения врач наблюдает за опухолью. Если содержимое накапливается за короткий промежуток времени, принимают решение удалить новообразование. При этом используют хирургическое вмешательство. Это лучший вариант лечения, так как патология склонна к рецидивам.
Если киста не приносит неудобств человеку, может исчезнуть самостоятельно без лечения. Таким свойством обладают новообразования, не имеющие предрасположенности к увеличению.
Йод и гормоны
Опухоли в щитовидной железе, если их наличие не сказывается на самочувствии человека, необходимо лечить при помощи консервативных методов. В качестве основных препаратов выбирают йод и тиреоидные гормоны.
Метод лечения кист имеет схожесть с лечением диффузного нетоксического зоба. Процесс терапии контролируют с помощью исследования уровня ТТГ и УЗИ. Первое мероприятие проводится раз в месяц, второе — 1 раз в 3 месяца.
Йодсодержащие препараты, которые принимает пациентка, должны хорошо переноситься организмом. Чтобы это проверить, врачи контролируют также наличие антител к ткани щитовидки.
Регулярное исследование антител позволяет исключить аутоиммунный тиреоидит. Заболевание имеет вид растущего узла и обостряется в результате приема йода.
Если в крови замечено высокое содержание антител, препараты йода противопоказаны.
Антибиотики и хирургическое вмешательство
При обследовании кист в эндокринном органе могут выявлять наличие воспалительного процесса. После этого определяют уровень его чувствительности к антибиотикам. Если есть необходимость назначают противовоспалительные антибактериальные препараты. При этом также контролируют состояние человека.
Большие размеры кисты в щитовидке сказываются на состоянии других внутренних органов, сдавливая их. Если это происходит, рассматривают оперативное вмешательство. Чаще всего используют метод гемиструмэктомии. Он предполагает удаление всей доли эндокринного органа, в котором происходит развитие кисты.
После проведения операции все функции щитовидной железы сохраняются, и она полноценно выполняет свою работу. Доброкачественные опухоли могут одновременно развиваться в обеих долях органа. В таком случае без двусторонней субтотальной струмэктомии не обойтись. Это удаление большей части эндокринного органа.
Малигнизация — абсолютный показатель к удалению кистозного образования. В ходе проведения операции врач определяет содержание патологического новообразования. Если оно имеет злокачественный характер, возможно потребуется полное удаление эндокринного органа. При этом вырезают жировую ткань, которая окружает орган и лимфоузлы.
Послеоперационное осложнение
В результате проведения тотальной струмэктомии часто развивается тяжелая гипофункция щитовидки. Это свидетельствует о том, что организм нуждается в приеме тиреоидных гормонов во время послеоперационного периода.
При полном удалении эндокринного органа затрагивают паращитовидные железы. Чтобы системы организма не страдали, пациентке выписывают препараты, содержащие кальций.
Осложнения после хирургического вмешательства — нарушение работы ых связок.
Профилактические мероприятия и прогноз
Гистологическая форма кистозных образований в щитовидной железе играет роль при прогнозе. Если кисты имели доброкачественную структуру, щитовидка полностью восстановится после лечения.
Но в некоторых случаях наблюдаются рецидивы. Умеренная злокачественность опухолей эндокринного органа при отсутствии метастаз, дает 100% шанс на излечивание.
Новообразования, которые прорастают в соседние органы и дают отдельные метастазы, имеют наихудший прогноз.
Также насыщать организм витаминами, не допускать инсоляции и избегать облучений, особенно на вредных производствах.
Если человеку хотя бы раз пришлось прибегнуть к лечению щитовидки, регулярно проводить обследование при помощи УЗИ.
Пациентки, имеющие мелкие узелки и кисты, должны периодически проходить осмотр у эндокринолога.
Кисты, которые образовываются в щитовидке, представляют собой неприятное явление. Заболевание поддается лечению, особенно если было замечено на первых стадиях развития. Чтобы от него избавиться, не стоит игнорировать симптомы и обязательно нужно обращаться к врачу при малейших проявлениях болезни. Человек должен постоянно заботиться о здоровье, так как это главное, что есть в его жизни.
Юлия Калашник
Источник: https://VipLor.ru/gorlo/sheya/kistozno-solidnoe-obrazovanie
Кистозно-солидное образование в различных органах

Для многих пациентов медицинская терминология является непонятной и диагнозы вызывают панику, даже если на самом деле под сложным названием кроется обычная простуда.
Сейчас не редко приходится слышать о диагностировании у человека кистозно-солидных образований. На самом деле это не редко и достаточно успешно излечимое заболевание.
Зная, что такое кистозно-солидное образование и что это излечимо пациент перестает паниковать и быстрее идет на поправку.
Что такое кистозно-солидное образование
Все кистозные образования представляют собой полость заполненную или жидкостью, или тканевым содержимым. Из этого выделяют три вида образований в органах.
- Образование, полость которого заполнена вязким веществом, относится к доброкачественным опухолям. Оно может в течении жизни появляться, исчезать, увеличиваться или уменьшаться в размерах. Такой вид опухоли относится к доброкачественным кистозным образованиям и редко перерождается в злокачественную опухоль.
- В медицинской терминологии под солидным образованием понимают опухоль, которая имеет твердую оболочку, четкие границы. Внутри образования содержится тканевый компонент. Такое образование не исчезает и не меняет размеры. Как правило, подобная опухоль относится к злокачественным.
- Образования внутри которых содержится и жидкость и части тканей считаются кистозно-солидными. Имеет значение их место локализации. От этого во многом зависит какое содержимое будет преобладать внутри полости. Такие образования в большинстве случаев являются доброкачественными. В редких случаях опухоль изначально является злокачественной.
Кистозно-солидные образования в органах
Подобные образования могут возникать практически в любом органе. Об их возникновении могут свидетельствовать нарушения в работе или сопутствующие заболевания.
Но не редки случаи, когда развитие патологии происходит практически бессимптомно, и о ее наличии пациент узнает случайным образом.
Наиболее часто кистозно-солидные образования обнаруживаются при обследовании щитовидной железы, мочеполовой системы, головного мозга.
Образования щитовидной железы
- генетическая предрасположенность;
- перенесенные ранее заболевание, вызванное инфекцией;
- постоянное нервное перенапряжение и частые стрессы;
- расстройство гормонального фона.
Большое влияние на нормальное функционирование щитовидной железы оказывает содержание йода в организме. При его нехватке этот орган начинает давать сбой, который ощущает весь организм.
Даже если пациент не подозревает о наличии у себя этой патологии, то это не значит, что она никак не проявляет себя. К симптомам заболевания можно отнести постоянную сонливость и чувство усталости. Оно отражается и на внешнем виде пациента.
Волосы становятся ломкими и начинают выпадать. Кожа становится сухой, склонной к шелушению, и имеет нездоровый вид.
Образования органов малого таза и почек
Почки и яичнике являются именно теми органами на которых чаще всего появляются кистозные образования. Даже если они доброкачественные, то их несвоевременное лечение может привести к серьезным осложнением.
Такой патологии, как киста яичников, наиболее подвержены женщины в возрасте от 20 до 50 лет. Основной причиной ее возникновения является дисбаланс гормонального фона.
Существует ряд факторов, которые приводят к его сбою и повышают вероятность появления кистозно-солидной патологии.
- Период полового созревания.
- Период беременности и послеродовой период. Прерывание беременности.
- Климакс у женщин по 50 лет.
- Различные заболевания, приводящие к сбою гормонального фона, в том числе заболевания эндокринной системы.
- Прием гормональных препаратов.
- Недостаточный уровень личной гигиены.
Кисты, поражающие почки, довольно частое явление в медицине. Образования на органе могут быть различных видов, как кистозные, солидные, так и смешанного типа.
В основном заболевание поражает одну из почек, намного реже — обе. На образование кисты влияет ряд факторов, к которым относится:
- различные травмы и ушибы почек;
- поражение почки инфекционным заболеванием;
- туберкулез органа;
- операции или другие хирургические вмешательства;
- предрасположенность к камнеобразованию в органе или уже наличие их;
- высокое артериальное давление;
- патологии органа при рождении.
К почечным кистам относят как врожденные аномалии органа, так и приобретенные в течении жизни. Независимо от этого симптомы наличия кистозно-солидного образования во многом схожи. Как правило, это:
- болевые ощущения в нижней части поясницы;
- «скачки» артериального давления;
- трудности с мочеиспусканием
О заболевании почки всегда свидетельствует постоянная боль. Она может быть острой или тупой и ноющей.
Образование головного мозга
Главной причиной возникновения смешанной кисты головного мозга, как и любого другого органа, является воздействие на него неблагоприятных факторов. К ним относят:
- излучение ионов;
- длительное воздействие на организм солнечных лучей;
- постоянный контакт с агрессивными жидкостями и парами;
- вирусы и генетическая предрасположенность.
Кистозно-солидная патология головного мозга очень опасно своими осложнениями. Опухоль воздействуя на любую часть органа и сдавливая ее, тем самым нарушает снабжение ее кровью. Это означает, что питание части мозга осуществляется неполноценно.
Как результат, это может повлиять на способность человека нормально передвигаться, нарушается работа пищеварительной системы, половой системы. Симптомы заболевания головного мозга могут самыми различными. Они зависят от места расположения кисты и ее размеров.
Но как свидетельствует практика не всегда наличие образования крупного размера проявляется яркими симптомами.
Основными симптомами кистозно-солидной опухоли головного мозга является повышение внутричерепного давления, головная боль, головокружения и рвота.
Диагностика патологии
На сегодняшний день существует несколько методов, которые помогают диагностировать кисту смешанного типа.
- Ультразвуковая диагностика. В ходе проведения исследования есть возможность точно определить структуру образования, его размеры и расположение. Также УЗИ позволяет увидеть какая структура преобладает внутри кисты и сделать вывод о принадлежности ее к одному из видов. Но данный вид исследования не позволяет определить к доброкачественной или злокачественной относится опухоль. Именно эта информация позволяет назначить эффективное лечение.
- Для определения злокачественности опухоли применяется биопсия. Взятие материала на анализ из капсулы кисты достаточно проста и безболезненна. Тонкая игла вводится во внутрь образования и с помощью нее содержимое набирается в шприц. Далее оно отправляется в лабораторию на анализ.
- Диагностировать кистозно-солидную опухоль помогает и анализ крови. По результатам анализа и содержанию гормонов и соотношения составляющих крови специалист может сделать заключение о наличии патологии и ее характере.
- Компьютерная томография является основным способом диагностики перед оперативным вмешательством в качестве лечения. С помощью такого метода диагностики можно определить расположение в органе крупной опухоли, и получить точные сведения о характере патологии.
В зависимости от результатов диагностики врач назначает соответствующее лечение. Оно может быть как традиционным, так и оперативным. Способ лечения зависит от размеров опухоли и возможных осложнений, связанных с ней.
Источник: https://vseokiste.ru/drugoe/kistozno-solidnoe-obrazovanie.html
Солидное образование – это обязательно рак? Солидные опухоли, что это, прогноз

Опухоли — это патологические образования, которые образуются из-за нарушения роста и дифференцировки клеток. Они могут развиваться практически из любой ткани: эпителиальной, нервной, соединительной, кроветворной и др. В зависимости от того, из какой ткани развилось новообразование выделяют солидные опухоли и гемобластозы.
К группе гемобластозов относят лейкозы, лимфомы и миеломы. Их особенностью является повсеместное распространение по организму, без образования локализованных очагов.
Все остальные опухоли относятся к солидным (от английского solid — твердый). Они имеют вид разрастаний в виде уплотнений или утолщений. Сам термин «солидный» не является характеристикой, определяющей агрессивность заболевания — он может иметь как высокий, так и низкий уровень злокачественности. Сам термин лишь определяет его состояние.
Солидные опухоли могут быть доброкачественными и злокачественными.
- Доброкачественные опухоли состоят из высокодифференцированных зрелых клеток, растут относительно медленно, не прорастают в окружающие ткани, не дают метастазов и чаще всего не представляют смертельной опасности, за исключением опухолей головного и спинного мозга. Иногда они могут самопроизвольно исчезать. Некоторые доброкачественные опухоли могут озлокачествляться (малигнизироваться) и превращаться в рак.
- Злокачественные солидные опухоли (саркомы, карциномы, глиомы) состоят из низко или умеренно дифференцированных клеток. Они быстро увеличиваются в размерах, прорастают окружающие ткани, разрушая их, а также могут давать метастазы (очаги отсеивания, расположенные вдали от первичного новообразования) и оказывают системное воздействие на организм. Они опасны для здоровья и несут смертельную угрозу.
Кроме того, термин «солидный рак» используется в гистологии. Мироскопически он является разновидностью эпителиальной злокачественной неоплазии.
В толще новообразования злокачественные клетки располагаются компактными группами, разделенными прослойками соединительной ткани.
Злокачественные клетки не дифференцированы, поэтому такой рак отличается быстрым ростом, ранним метастазированием и склонностью к рецидивированию. В целом, это агрессивная форма неоплазии, которая сложно поддается лечению.
Как диагностируют солидный рак
Методы диагностики солидного рака можно разделить на несколько групп:
Методы, позволяющие обнаружить наличие образования. В некоторых случаях, если рак располагается поверхностно, его можно увидеть во время осмотра или пропальпировать.
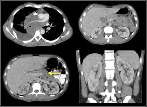
В остальных случаях на помощь приходят методы медицинской визуализации — УЗИ, КТ, МРТ, рентгенологическое исследование, ПЭТ, эндоскопическое исследование и другие.
В некоторых случаях обнаружить рак помогают лабораторные анализы, в частности определение онкомаркеров — особых молекул, количество которых повышается при возникновении той или иной формы новообразования.
Методы, позволяющие верифицировать диагноз. Окончательный диагноз можно поставить только после морфологического исследования опухолевой ткани. Для этого фрагмент новообразования изучают под микроскопом после специального окрашивания.
Это позволит подобрать оптимальную схему лечения, учитывая прогностические особенности рака.
После постановки диагноза необходимо определить стадию заболевания. Здесь на помощь приходят методы лучевой диагностики (то же УЗИ, КТ, МРТ), которые позволяют верифицировать размеры рака, его взаимоотношения с рядом расположенными тканями, вовлечение в процесс лимфатических узлов и наличие метастазов.
В каких органах чаще всего развивается солидный рак
Солидный рак может развиться в любом органе, в котором есть эпителиальные ткани. Чаще всего диагностируются опухоли молочной железы, легких, предстательной железы, желудочно-кишечного тракта.
Способы лечения солидного рака
В рамках лечения солидного рака применяются те же подходы, которые используются во всей онкологии. Ключевыми методами является хирургия, лучевая терапия и химиотерапия.
Хирургическое лечение
Хирургические операции в онкологии делятся на две большие группы — радикальные и паллиативные.
Радикальные операции
Радикальные вмешательства предполагают полное удаление опухоли в пределах здоровых тканей и зоны возможного метастазирования. Здесь выделяют:
- Типовые операции — удаление ткани пораженного органа в оптимальном объеме для достижения радикальности. Также выполняется необходимая лимфодиссекция.
- Комбинированные радикальные вмешательства — удаляется первично пораженный орган, и проводится частичная резекция соседних органов и тканей, на которые распространился рак.
- Расширенные операции — помимо затронутых органов и стандартных групп лимфатических узлов, на которые распространяется рак, удаляют дополнительные группы лимфатических узлов.
Раньше проведение обширных радикальных операций зачастую приводило к инвалидизации больного. Сейчас же идет тенденция не только к его излечению, но и сохранению приемлемого качества жизни. Поэтому совершенствуются хирургические технологии органосохраняющих методик и реконструктивных операций после удаления рака.
Нерадикальные операции
- Паллиативные вмешательства. Они проводятся при наличии отдаленных метастатических очагов. На первом этапе предполагается удаление первичного опухолевого очага в радикальном объеме. Вторым этапом проводятся попытки лечения метастазов, если это возможно. В целом такие операции не подразумевают полного излечения и проводятся для улучшения состояния больного и облегчения тягостных симптомов.
- Симптоматические паллиативные операции. Они выполняются по жизненным показаниям, при развитии осложнений рака. Ликвидации опухоли они не предусматривают и направлены восстановление жизненно важных функций, например, дыхания, отведение кишечного содержимого, возобновление пассажа желчи, остановку кровотечения и др.
Лучевая терапия
Лучевая терапия предполагает использование ионизирующего излучения в дозировках, приводящих к гибели раковых клеток. Все методы можно разделить на три большие группы — дистанционная лучевая терапия, контактная лучевая терапия и системная лучевая терапия.
При дистанционной лучевой, терапии источник ионизирующего излучения находится за пределами тела пациента на определенном расстоянии.
При таком лечении используется сложное высокотехнологичное оборудование, которое генерирует определенный вид ионизирующего излучения (ИИ).
При помощи специальных технологий производят распределение его дозы таким образом, чтобы максимально полно облучить рак и минимально затронуть не вовлеченные в процесс ткани.
Контактная лучевая терапия
При контактной лучевой терапии ИИ располагается либо непосредственно возле раковой опухоли, либо в ее толще. Здесь выделяют:
- Аппликационную ЛТ. Таким методом лечатся поверхностно расположенные опухоли, например, рак кожи, рак вульвы или рак влагалища.
- Внутриполостная ЛТ — ИИ вводят в полость полого органа (матка, желудок, мочевой пузырь и др) с помощью специального аппликатора, заполненного радиоактивным материалом. Таким методом лечится рак полых органов.
- Внутритканевая ЛТ — ИИ вводят непосредственно в раковую опухоль с помощью игл или трубочек, заполненных радиоактивным материалом. Таким методом может лечиться рак простаты, рак тела матки, рак шейки матки, рак желудка и др.
Как правило, контактную лучевую терапию сочетают с дистанционной ЛТ, что позволяет максимально сфокусировать воздействие ионизирующего излучения на раковой опухоли, при этом минимально затронув окружающие ткани.
Системная радионуклидная терапия
Эффективность этого метода лечения основана на том, что опухоли захватывают определенные молекулы и используют их для своего дальнейшего роста. Если на эти молекулы присоединить радиоактивные изотопы, они избирательно накопятся в опухолевой ткани и разрушат ее. Как правило, таким образом проводят лечение отдаленных метастазов.
Химиотерапия при раке
Для лечения рака разработано большое количество химиотерапевтических препаратов. По оказываемому эффекту их разделяют на цитостатические и цитотоксические препараты.
Цитостатики нарушают процессы размножения раковых клеток, что в конечном итоге приводит к их гибели. Цитотоксические препараты направлены на непосредственное уничтожение клеток.
Химиотерапия при раке предполагает несколько курсов лечения, которые чередуются с перерывами. Это связано с двумя моментами:
- Раковые клетки имеют жизненный цикл, который состоит из активной фазы и фазы покоя. Химиотерапия действует только на активные клетки.
- Химиотерапия оказывает токсическое действие на организм, поэтому нужно время для его восстановления.
Химиотерапии солидного рака проводится в рамках комбинированного лечения совместно с хирургией или лучевой терапией. Ее преимуществом является системное воздействие на организм, что помогает уничтожить как злокачественные клетки, которые остались в первичном очаге после удаления опухоли, так и метастазы.
Иммунотерапия
Иммунотерапия является одним из новых методов лечения солидного рака.
Суть метода заключается в коррекции противоопухолевого иммунного ответа, что позволит организму уничтожить рак с помощью собственных ресурсов.
Вторым направлением иммунотерапии является работа с самой опухолью, которая вырабатывает определенные вещества, делающие ее незаметной для иммунной системы. Если рак демаскировать, иммунитет его уничтожит.
Чем опасен солидный рак
Солидный рак зачастую характеризуется агрессивным течением и, за редким исключением, метастазированием.
При отсутствии лечения, первичная опухоль будет разрастаться, захватывая новые ткани и нарушая работу вовлеченных органов.
Это чревато самыми разнообразными осложнениями, начиная от кровотечений и заканчивая кишечной непроходимостью, нарушением дыхания, болевым синдромом, неврологическими проявлениями.
По мере нарастания опухолевой массы, рак оказывает системное воздействие на организм — развивается истощение и слабость. В конце концов при отсутствии специальной помощи человек погибает.
Прогнозы на выздоровление при солидном раке
Прогноз на выздоровления при солидных опухолях определяется видом рака, степенью его дифференцировки и стадией на момент установки диагноза. Чем раньше начато лечение, тем более благоприятный прогноз.
Записьна консультациюкруглосуточно
Источник: https://www.euroonco.ru/terms-from-a-z/solidnyj-rak
Кистозно-солидное образование – что это такое?
Здоровье 24 ноября 2017
Многие люди пугаются, если у них в организме вдруг обнаруживается опухоль. Почему-то большинство пациентов связывают эти образования только с раком, который непременно приводит к смерти. Однако в действительности все не так печально.
Среди многочисленных видов опухолей есть и вполне безобидные, которые не оказывают существенного влияния на продолжительность жизни. К таким «хорошим» опухолям относится и кистозно-солидное образование. Что это такое, известно далеко не каждому человеку, не связанному с медициной.
У некоторых людей слово «солидное» ассоциируется с понятием «большое, объемное», что вызывает еще большую тревогу и опасения за свою жизнь.
В данной статье мы доступно и понятно объясним, что означает вышеупомянутая патология, как и почему она появляется, какие при этом бывают симптомы и много другой полезной информации.
Насколько кистозно-солидное образование опасно для жизни
Для начала отметим, что все многообразные виды опухолей, известные на данный момент, можно разделить на две категории:
- Доброкачественные (не образующие метастазы и, следовательно, не являющиеся раковыми).
- Злокачественные (образующие единичные или множественные метастазы, которые почти всегда распространяются по всему организму, что является одной из основных причин гибели пациента).
Примерно в 90 % случаев можно сказать о кистозно-солидном образовании, что это опухоль доброкачественная, то есть безопасная для жизни. Разумеется, этот прогноз сбывается, только если пациент не отказывается от предлагаемого доктором лечения и скрупулезно выполняет все рекомендации.
Лишь небольшой процент таких патологий носит злокачественный характер. В данном случае речь о перерождении доброкачественной опухоли в злокачественную не идет. У тех немногих пациентов, кому «повезло» попасть в те роковые 10 %, патология изначально диагностируется как злокачественная.
И «хорошие», и «плохие» опухоли классифицируются по их морфологическим признакам. Среди новообразований выделяют:
- Кистозные. Самые безопасные, как правило, легко излечимые. По форме бывают разными, имеют свойство по разным причинам расти, уменьшаться и совсем исчезать. Представляют собой полость, заполненную вязким веществом.
- Солидные. Самые опасные, в запущенном состоянии неизлечимые. Характеризуются твердой оболочкой, что влечет за собой неизменность форм и размеров, то есть они не увеличиваются, не уменьшаются и не исчезают. Внутри солидные опухоли заполнены тканевыми фрагментами.
- Кистозно-солидные. Представляют собой нечто среднее между первым и вторым типом опухолей. Могут появиться в любом органе, что определяет характер субстрата в их полости. В большинстве случаев содержат и части ткани, и жидкость.
Новообразования в головном мозге
Наибольшую тревогу у пациентов вызывают опухоли головного мозга. Кистозно-солидное образование (даже доброкачественное) всегда сдавливает соседние участки мозга, что вызывает у пациента невыносимые головные боли.
Причина таких тяжелых ощущений кроется в том, что мозг заключен в твердую оболочку (череп), поэтому любой опухоли просто некуда деваться. Новообразование в мягких тканях имеет возможность выпячиваться наружу или занимать полости тела. Компрессия вынуждает опухоль мозга давить на соседние клетки, препятствуя доступу к ним крови.
Кроме болей, это чревато нарушением работы всех систем организма (пищеварительной, двигательной, половой и так далее).
Науке пока доподлинно не известны все причины, вызывающие появление опухолей как злокачественных, так и доброкачественных. В случае с возникновением кистозно-солидных образований мозга выделяют следующие причины:
- Облучение.
- Длительное пребывание на солнце.
- Стрессы.
- Инфекции (особенно онковирусные).
- Генетическая предрасположенность. Заметим, что наследственный фактор может называться причиной опухоли в любом органе, не только в головном мозге, но специалисты не считают его приоритетным.
- Влияние канцерогенных факторов (работа с реактивами, проживание в экологически неблагоприятной местности). По этой причине опухоли различного характера чаще всего возникают у людей, которые в силу своей профессии работают с пестицидами, формальдегидами, другими химическими веществами.
Симптоматика
Проявить себя данная патология может по-разному, что зависит от ее локализации. Так, для кистозно-солидного образования продолговатого мозга (напомним, этот отдел расположен в затылочной части головы и является продолжением спинного мозга) характерны следующие проявления:
- Головокружение.
- Глухота (обычно развивается в одном ухе).
- Затруднение при глотании, дыхании.
- Нарушение чувствительности в тройничном нерве.
- Нарушение двигательной активности.
Опухоли в продолговатом мозге самые опасные, так как они практически не поддаются лечению. При травмировании продолговатого мозга наступает смерть.
В целом, для кистозно-солидных образований в различных отделах мозга характерны такие признаки:
- Головные боли, вплоть до рвоты.
- Головокружение.
- Бессонница или сонливость.
- Ухудшение памяти, ориентации в пространстве.
- Нарушение зрения, речи, слуха.
- Нарушение координации.
- Частая смена настроения без видимой причины.
- Напряжение мышц.
- Звуковые галлюцинации.
- Ощущение, что в голове какое-то необъяснимое давление.
Если возникло кистозно-солидное образование спинного мозга, это проявляется болями, усиливающимися в положении лежа и ночью, нисходящими прострелами, нарушением двигательной функции, парезами.
При появлении хотя бы некоторых признаков из приведенного списка, нужно немедленно отправляться к врачу.
Как правило, кистозно-солидное образование в щитовидной железе представляет собой ограниченную плотной оболочкой полость, заполненную клетками самой щитовидки. Такие полости наблюдаются единичными и множественными. Причины возникновения могут быть следующие:
- Наследственный фактор.
- Частые стрессы.
- Гормональные расстройства.
- Дефицит йода.
- Инфекционные заболевания.
Симптомы
Кистозно-солидное образование щитовидной железы может вообще никак себя не проявлять и быть обнаружено случайно при плановом осмотре пациента. В таких случаях врач с помощью пальпации нащупывает мелкие уплотнения на щитовидке. У многих людей при данной патологии появляются жалобы:
- Затруднения и даже болезненные ощущения при глотании.
- Одышка (которой раньше не было) при ходьбе.
- Осиплость голоса.
- Болевые ощущения (нехарактерный признак).
Возникновение кистозно-солидного образования в левой или правой долях щитовидки ощущаются примерно одинаково. Чаще они бывают очень небольшого размера (до 1 см). Однако зафиксированы случаи очень объемного кистозно-солидного образования (более 10 см).
Опухоли в почках у мужчин и женщин возникают с примерно равной частотой. Но у женщин гораздо чаще, чем у мужчин появляются в малом тазу кистозно-солидные образования.
Что это может принести пациенткам? Поскольку в основном такая патология наблюдается у представительниц слабого пола в детородном возрасте, без своевременного лечения она может привести к бесплодию.
Основной причиной заболевания являются гормональные нарушения, вызванные:
- Беременностью.
- Климаксом.
- Абортом.
- Приемом противозачаточных таблеток.
Проявляются опухоли болями в области поясницы и/или внизу живота, головной болью, нарушением менструального цикла.
На почках кистозно-солидные образования появляются по таким причинам:
- Травмы органа.
- Туберкулез (развивающийся в почках).
- Инфекции.
- Операции.
- Камни, песок в почках.
- Гипертония.
- Врожденные аномалии органа.
Больные жалуются на боли в области поясницы, на трудности с мочеиспусканием, нестабильное артериальное давление.
Обнаружение кистозно-солидной опухоли не является поводом для приготовления к смерти. В подавляющем большинстве случаев такая патология успешно лечится. По показаниям доктор может назначить медикаментозную терапию либо хирургическое вмешательство. В основном это зависит от локализации опухоли.
Так, при кистозно-солидном образовании на продолговатом мозге операции не производятся, практикуется только лечение таблетками и радиотерапия. При локализации опухоли в других отделах мозга, как правило, назначается хирургическое вмешательство с использованием лазера и ультразвука.
Назначают химиотерапию и лучевую терапию, только если новообразование неоперабельное. При данной патологии в щитовидной железе методы лечения зависят от размеров образования. Маленькие узелки (до 1 см) лечат таблетками.
При появлении более крупных образований могут назначать пункцию с последующим удалением пораженной части щитовидки.
Прогнозы
Конечно, появление опухоли в каком-либо органе должно восприниматься со всей серьезностью. Если пациент вовремя обращается к врачу и выполняет все его предписания, то кистозно-солидное образование в почке, в щитовидной железе, в мочеполовой системе и некоторых других органах можно вылечить полностью и без осложнений.
Исход лечения такой патологии в головном мозге менее благоприятен, так как при хирургическом вмешательстве практически всегда оказыаются задетыми и соседние ткани, что может повлечь за собой ряд осложнений. Опухоль в спинном или в продолговатом мозге – вариант с наименее благоприятным исходом.
Но и в этих случаях своевременно начатое лечение может сохранить пациенту жизнь.
Источник: .ru
Источник: https://monateka.com/article/260706/
Поделиться: