Показывает ли УЗИ рак и в чем информативность метода в онкологии

УЗИ широко применяется в медицине и с каждым годом сфера его использования расширяется.
На это оказывает влияние безболезненность прохождения процедуры (не так как с биопсией) с мгновенным результатом, большой информативностью и безопасностью для организма, в отличии, скажем, от рентгена.
Не исключением стали и онкология. Развитие и усовершенствование оборудования для ультразвукового обследования позволяет с точностью до 100 % показать рак.
УЗИ помогает при постановке диагнозов при разных патологиях
Используется ли УЗИ в онкологии
В данное время УЗИ все больше и больше применяется в онкологии. Например, с его помощью определяют, есть ли рак в желудке, кишечнике, на какой стадии, появились ли метастазы. Это стало возможно благодаря эластографии.
С помощью этого метода в современной медицине определяют плотность тканей. Специалист, исследующий тот или иной орган, с помощью этого метода выявляет опухоль (у опухоли и здоровой части органа будет разная плотность).
К тому же на снимке видны и другие деформации тканей: увеличение, утолщение, искривление, уменьшение и т. д.
Весьма весомым аргументом в пользу последнего является тот факт, что он позволяет минимизировать количество болезненных процедур для забора подозрительной ткани органов на экспертизу.
Поэтому уже можно с большой долей вероятности утверждать, что в скором времени УЗИ будет являться основным методом при выявлении злокачественных опухолей.
Самым доступным органом для проверки на УЗИ считается щитовидка. С помощью эхолокации (эластографии) проводят исследование подозрительного узла. Если узел увеличен, затемнен или видны другие изменения, пациента направляют на дальнейшее обследование, которое подтвердит или опровергнет диагноз.
УЗИ щитовидки проводят довольно часто
Выделяются некоторые особенности исследования разных органов:
- при исследовании кишечника и желудка опухоль обнаруживают, к сожалению, уже тогда, когда она принимает большие размеры, однако, это первичное исследование данных органов, позволяющие обнаружить новообразования;
- при УЗИ почек в первую очередь диагностируется почечноклеточное злокачественное образование;
- УЗИ почек не дает однозначного ответа при подозрениях на рак: могут быть как полипы, так и раковые клетки;
- при исследовании мозга не всегда можно обнаружить опухоли, только с помощью дуплексного сканирования можно заметить аномальные отклонения от нормы;
- при раке поджелудочной железы на картинке видны увеличенные лимфоузлы, ворота печени с забрюшинными лимфоузлами.
Важно понимать, что любое изменение органа, отклонение от нормы, которые хорошо видно при УЗИ – повод для проведения дальнейших исследований.
Какие изменения видны на УЗИ при раке
При УЗИ определяется плотность тканей органов. При появлении опухолей они становятся более плотными, что замедляет прохождение через них волны. На картинке эти участки отображаются более темным цветом.
Опухоль на УЗИ обнаружить довольно легко
Важно знать, что перед прохождением проверки на УЗИ необходимо к нему тщательно подготовиться. Исследования желудка, кишечника, органов брюшной полости следует проходить натощак.
На какой стадии удается выявить рак
В настоящее время, если рак выявлен на ранней стадии, он, скорее всего, будет излечим. Поэтому очень важно выявлять его в самом начале развития. Для этого обследования надо проходить хотя бы один раз в год, особенно, если наблюдаются признаки, характерные для злокачественных новообразований.
В таблице приведены рекомендации, как часто надо проводить обследование тех или иных органов, чтобы выявить их заболевания, в том числе с помощью УЗИ.
| Грудная железа у женщин | Гормональный дисбаланс, алкоголь, курение, питание | Раз в год |
| Желудок, поджелудочная железа | Мало зелени, малое количество овощных и фруктовых плодов, жареная и копченая пища, злоупотребление алкоголем | Раз в год |
| Кишечник | Частое употребление жирных и мясных блюд, мало растительных продуктов | Раз в два года |
| Легкие | Курение, частое вдыхание вредных веществ, загрязненные территории, прежде всего рядом с заводами и др. загрязняющими воздух предприятиями | Раз в год |
| Предстательная железа | Неактивный стиль жизни, питание, инфекции, вызванные половым путем. | Раз в год |
Поможет ли УЗИ выявить метастазы
При раке очень часто появляются метастазы – новые очаги злокачественных новообразований. Чаще всего их обнаруживают в лимфатических узлах, печени, легких. При различных раковых поражениях органов метастазы появляются в определенных местах. Например, при раке желудка, метастазы обычно появляются в легких, печени, брюшине. При раке легкого – в надпочечниках, другом легком, печени и т. д.
На УЗИ можно обнаружить и метастазы
Поэтому, прежде всего при заболевании раком необходимо проверять соответствующие органы. Этапы диагностики метастазов условно разделяют на два этапа:
- первичное обследование (сразу после постановки диагноза рак);
- вторичная, наблюдение у врача после лечения.
В современной медицине метастазы выявляют не только с помощью рентгенографии, томографии, но и УЗИ.
Как часто можно делать УЗИ при раке
Рекомендуется мужчинам после 40, а женщинам после 45 ежегодно обследоваться на УЗИ. При риске появления рака, например, молочной железы, рекомендации бывают другими: – от 20 до 30 лет – 1 раз в 3 года; от 30 до 40 лет – каждый год.
При исследовании груди на УЗИ обнаруживается и фиброаденома (доброкачественная опухоль), которая очень в редких случаях переходит в рак. Но риски есть.
Поэтому, при прохождении УЗИ один раз в год, вы имеете почти 100 % гарантию победить этот недуг.
Из этого ролика вы узнаете больше про диагностику рака в помощью УЗИ:
Когда УЗИ противопоказано
Сегодня существует несколько видов УЗИ исследований:
- цветное картирование;
- эхография;
- гармоника;
- эластография;
- соногистереография.
Но, как и любой другой метод исследования, имеет свои плюсы и недостатки. В следующих случаях делать УЗИ не рекомендуется или противопоказано полностью:
- заболевания кожи в том месте, где нужно делать эхолакацию;
- повреждение кожных покровов, например, ожоги;
- ожирение (из-за толстых прослоек жира не всегда можно просмотреть изменений органа и, таким образом, не заметить злокачественных образований на ранней стадии);
- при исследовании мочевого пузыря при недержании мочи или при инфекционных заболеваниях мочеполовой системы.
Помогла статья? Оцените её Загрузка…
Источник: https://infouzi.ru/ultrazvukovoe-issledovanie/o-procedure/rak.html
Рак почки на УЗИ: какие опухоли можно выявить и как они выглядят

Злокачественные новообразования почек отличаются длительным бессимптомным течением из-за анатомических особенностей их расположения – более свободного, чем других органов. А когда появляются симптомы, то обнаруживается уже довольно большая и запущенная опухоль.
У 50% больных УЗИ-признаки рака почки выявляются случайно, когда еще нет симптомов, при прохождении обследования по другому поводу. Поскольку ультразвуковой метод позволяет поставить лишь предварительный диагноз, пациента направляют для дальнейшего обследования в онкологию.
Злокачественные новообразования паренхимы почек по международной классификации болезней МКБ-10 имеют код С64, правой почки – С64.0, левой – С64.1, а рак почечной лоханки – С65. Такая кодировка нужна для точной статистики заболеваемости.
Разновидности злокачественных опухолей почек
По источнику происхождения выделяют 2 вида рака почек:
- Первичный, растущий из эпителиальной ткани.
- Вторичный или метастазы рака из других органов – надпочечников, матки, простаты, легких, гортани, молочной железы, желудка и кишечника, кожи.
В свою очередь первичный рак может быть различных видов, основными из них являются:
- почечноклеточный, растущий из эпителия канальцев, составляет 85% от общего числа раковых опухолей;
- переходноклеточный, берущий начало из эпителиальных клеток, выстилающих лоханку, составляет 6-7%;
- нефробластома или опухоль Вильмса, происходит из эпителия канальцев, имеет генетическое происхождение, составляет 5-8%.
Стадии рака почек и их проявления
В зависимости от размера и степени распространения выделяют 4 клинических стадии рака:
- Опухоль размером не более 7 см, не выходит за пределы почечной капсулы, без метастазов.
- Величина образования от 7 до 10 см, не выходит за границы почки, имеется поражение метастазами ближайших лимфоузлов;
- Опухоль прорастает в околопочечную клетчатку, надпочечник, сосуды, имеет метастазы в забрюшинные лимфоузлы;
- Новообразование больших размеров, прорастающее в забрюшинную область, с множеством метастазов в лимфоузлы и органы, или же опухоль любого размера с отдаленными метастазами в органы или кости скелета.
Особенность рака почек в том, что он практически не дает проявлений в 1-2 стадии из-за более-менее свободного их расположения в забрюшинном пространстве и отсутствия близкого соседства с другими органами. Только с началом прорастания за пределы почек, сдавлением нервных стволов и сосудов появляются боли в поясничной области.
Другими важными симптомами являются примесь крови в моче, повышение артериального давления, отеки на лице, ногах, повышение температуры тела. Если больной не тучный, можно прощупать опухоль в виде уплотнения в реберно-позвоночной области, верхней половине живота.
При наличии метастазов появляются боли в позвоночнике, костях конечностей, могут возникать патологические переломы без травмы, кашель, кровохарканье, головные боли, судороги, боли в правом подреберье, желтушность кожи. Все это – проявления запущенной стадии рака.
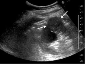
УЗИ-диагностика рака почек
Первая диагностическая процедура, которую назначают при подозрении на опухоль почки – ультразвуковое сканирование. Оно точно определяет положение, размеры и структуру органа. При наличии опухоли размеры почек увеличиваются, изменяются их очертания и структура, точнее – эхогенность, то есть способность отражать и поглощать направляемые ультразвуковые волны.
Для того чтобы предположить диагноз рака почки, нужно знать, как он выглядит на УЗИ. Его эхографические признаки следующие:
- повышенная эхогенность (более высокая плотность);
- неровность контура, бугристость;
- неравномерность эхоструктуры (сочетание гиперэхогенных участков с анэхогенными);
- деформация чашечно-лоханочной системы (если опухоль расположена ближе к центру почки и сдавливает лоханку, чашечки).
В современной ультразвуковой диагностике применяются новые, усовершенствованные методы сканирования – энергетический и цветовой допплер.
Они сочетают в себе исследование структуры органа в 3-мерном формате с визуализацией кровотока.
На фото при цветном дуплексном картировании рак почки будет отличаться от доброкачественной опухоли обилием кровеносных сосудов, что является характерным признаком злокачественных образований.
Несмотря на специфические особенности эхографической картины рака, только лишь по результатам УЗИ точный диагноз поставить нельзя. Назначаются дополнительно томографические исследования – магнитно-резонансная томография (МРТ), позитронно-эмиссионная томография (ПЭТ), которые определяют степень распространения опухоли в окружающие ткани и органы, лимфатические узлы.
А «последнее слово» в диагностике имеет пункция образования или лимфатического узла с проведением биопсии и гистологическим подтверждением наличия злокачественных клеток. Она выполняется под контролем УЗИ или томографии, играет решающую роль в выборе методов лечения.
Что представляет собой опухоль почки и что делать рассказывает специалист в этом видео.
Какие опухоли можно выявить на УЗИ и как они выглядят
Ультразвуковое исследование позволяет выявить любые очаговые и объемные образования в почках – злокачественные и доброкачественные. Они могут иметь различное происхождение и структуру, которым присущи свои эхографические признаки во время проведения сканирования:
- Кисты – полые образования, наполненные жидкостью, с капсулой, могут быть одиночными, часто множественными (поликистоз). На УЗИ выявляются как округлые анэхогенные (черного цвета) образования различных размеров с ровными контурами и плотной гиперэхогенной (светлой) капсулой.
- Аденома – доброкачественная опухоли из железистой ткани. При сканировании определяется как небольшое до 3-4 см гиперэхогенное (светлое) образование с четкими контурами, однородной структурой.
- Липома (жировик) – опухоль из жировых клеток, часто достигает крупных размеров, достигая 15-25 см. На УЗИ выглядит как объемное гипоэхогенное образование с четкими границами, часто сдавливает и деформирует чашечно-лоханочную систему.
- Фиброма – опухоль из плотной соединительной ткани, чаще растет из капсулы и располагается на периферии органа, может достигать больших размеров. На УЗИ имеет вид светлой округлой тени с четкими контурами, однородной структурой.
- Гемангиома – опухоль, растущая из мелких сосудов, чаще располагается в области полюса или лоханки почки, на УЗИ выглядит как образование повышенной эхогенности с ровными контурами, но чаще неправильной формы и неоднородной структуры из-за наличия сосудистых полостей внутри.
Это – лишь несколько примеров наиболее часто диагностируемых в почках доброкачественных опухолей. Они могут быть и смешанного характера, например, фибролипома, ангиолипома, кистаденома.
Источник: https://uzi.guru/zhivot/poch/diagnos-pch/uzi-priznaki-raka-pochki.html
Новообразования в почках по УЗИ

Новообразование в почке по УЗИ врачи могут определить без особых сложностей. Опухолью считается патологическое разрастание тканей внутреннего органа, с последующим изменением их структуры. В зависимости от того, какие клетки вызвали изменения, обнаруженные формирования могут иметь как доброкачественный, так и злокачественный характер.
В последнем случае, если стадия патологии запущенная, может быть диагностирован на УЗИ рак почки. Особенность заболевания в том, что оно может появиться у человека вне зависимости от возраста и пола. Рассмотрим детальнее, что является способствующим фактором, по каким признакам обнаруживаются новообразования, нормы УЗИ.
Общие сведения
В настоящее время, даже в условиях современной медицине, специалисты затрудняются однозначно ответить, что является истиной причиной возникновения новообразований в почках.
Медики выделяют лишь ряд разнообразных провоцирующих факторов, среди которых: наследственная предрасположенность, воспаления, наличие камней, облучение, вредные привычки, хронические инфекции, нарушения в работе иммунитета.
https://www.youtube.com/watch?v=wa8F_ln-qYg
Ангимиолипома — доброкачественная опухоль почки. Источник: urologia.expert
Также врачи отмечают, что на УЗИ опухоль почки может иметь различный вид. Если рассматривать доброкачественные формирования, то список следующий:
- Кисты – капсулы, внутри которых имеется жидкостная составляющая. Если их много, то диагностируют поликистоз органа.
- Аденомы – эти новообразования растут продолжительное время, при этом они не провоцируют возникновения неприятных симптомов.
- Липомы – формируются из жировых клеток, и если они стремительно увеличиваются в размере, то работа органа фильтрации затрудняется.
- Ангиомиолипома – на УЗИ выявляется зачастую у представительниц слабого пола, считается доброкачественной опухолью и диагностируется крайне редко.
Что касается опухолей злокачественного характера, которые при отсутствии должно лечения могут трансформироваться в онкологический процесс. То они нередко сопровождаются выраженной симптоматикой: слабость, быстрая утомляемость, тошнота и рвота, задержка мочеиспускания, повышенное артериальное давление.
В большинстве случаев для постановки корректного диагноза врачи отправляют пациента на ультразвуковой скрининг. При таком обследовании можно определить рак почки на УЗИ, фото которого обязательно будет представлено, ангиомиолипому, кисты, а также множество других новообразований различного характера.
Такой вид имеет раковое поражение почки на УЗИ. Источник: delaiuzi.ru
Однако есть вероятность, что патологический процесс протекает в скрытом виде, поэтому обязательно назначаются анализы. В лабораторию необходимо будет отправить мочу, кровь на биохимию, а также выполнить периферическое исследование крови (из пальца). Такой комплексный подход обязателен. А если требуется дифференциальная диагностика, тогда пациенту могут назначить биопсию тканей.
Нормы
Если человек не имеет медицинского образования, ему будет сложно понять, есть или нет рак почки на УЗИ. Описание в бланке настолько специфическое, что интерпретацию лучше доверить опытному врачу. Однако в медицине существуют четко прописанные общепринятые нормы, любое отклонение от которых уже считается патологическим.
Изначально можно сравнить размеры. Если обследованию поддавался взрослый человек, то размеры органа фильтрации будут такими: толщина не более 5 см, ширина в пределах 6 см, длина от 10 до 12 см, передне-задний параметр не более 1,5 см, при этом одна и вторая почка могут отличаться друг от друга на 2 см в большую или меньшую сторону.
Что касается пациентов среднего возраста, то у них толщина паренхимы должна составлять не более 2,3 см, но по исполнению 60 лет этот параметр уменьшается и находится в пределах 1 см. Форма внутреннего органа напоминает боб, при этом с левой стороны почка находится выше, чем с правой, контуры ровные и четкие снаружи. Во время дыхания подвижность составляет 2-3 см.
Опухоли
Многие пациенты интересуются, как выглядит на УЗИ рак почки. Специалисты отвечают, что злокачественных новообразований довольно много, причем они могут значительно отличаться друг от друга. Наиболее известной является аденокарцинома. Во время скрининга она выражена в форме темного пятна, в особенных случаях имеющего белые перегородки.
Поскольку формирование содержит вкрапления солей кальция, они просматриваются как белые пятна. Эта опухоль характеризуется стремительным ростом, который отчетливо виден при динамическом контроле. Также аденокарцинома за короткое время может давать вторичные очаги (метастазы), поэтому необходимо обследовать и другие органы.
Нередко выявляется ангиомиолипома почки на УЗИ. Это новообразование имеет доброкачественный характер. В ее составе имеются кровеносные сосуды, гладкие мышцы и жировые ткани. Опухоль имеет однородную структуру, размер около 7-7 мм, представлена в виде темного пятна, обладает высоким уровнем эхогенности и ограничена паренхимой.
Если у пациента развивается рак лоханки, то в диагнозе будет запись: переходно-клеточная карцинома. Это новообразование легко спутать со сгустком крови или конкрементом. Единственным ее отличием является сохранение места локализации при изменении положения тела пациента. Главным симптомом выступает кровь в урине, а также застой биологической жидкости в почке, что провоцирует колики.
В детском возрасте. Примерно до восьми лет, у пациентов могут обнаруживать нефробластомы. При УЗИ скрининге они выражаются в форме темного пятна большого размера. Характер роста стремительный, также как и быстрое появление метастаз. В большинстве случаев патология является наследственной и закладывается при внутриутробном развитии.
Светлой и уплотненное пятно, имеющее незначительный размер, на УЗИ может вполне быть ангиополипом или липомой. Опухоль является доброкачественной, растет медленно, при этом ее не сопровождает какая-либо симптоматика. При беременности размеры могут увеличиваться, что способствует сдавливанию сосудов и нарушению оттока мочи.
При осмотре пациентов мужского пола и пожилого возраста у них нередко выявляется онкоцитома. Это новообразование доброкачественное, поскольку плотность его незначительная, при скрининге выглядит в виде светлого пятна. Вероятность перерождения опухоли в рак крайне высокая, поэтому от нее необходимо избавляться как можно раньше.
В большинстве клинических случаев ультразвуковое обследование почки указывает на присутствие кистозных формирований. На экране монитора они выглядят как продолговатые капсулы, заполненные жидкостью. Края их ровные и четкие, а от раковых новообразований они отличаются тем, что не имеют перегородок.
Рак почки (видео)
Источник: https://uran.help/surveys/radiology/uzd/novoobrazovanie-v-pochke.html
Опухоли почек: первое обследование — УЗИ * Клиника Диана в Санкт-Петербурге

Опухоль почки – это патологическое разрастание ее тканей. В зависимости от типа клеток, составляющих опухоль, новообразования делятся на доброкачественные и злокачественные (раковые).
НАЖМИТЕ, ЧТОБЫ ЗАПИСАТЬСЯ НА ПРИЕМ, или анализы УЗИ
Новообразования почек встречаются в любом возрасте, диагностируясь даже у детей. Доброкачественные формы развиваются в два раза реже злокачественных, поэтому при подозрении на новообразование нужно срочно посетить врача, сделать УЗИ почек и пройти дополнительные обследования.
Причины опухолей почки
Точные причины возникновения опухолей почек не изучены, но известно, что их провоцируют:
- неблагоприятная наследственность;
- воспалительные процессы;
- конкременты (камни и песок);
- курение и алкоголизм;
- радиационное облучение;
- вредные условия труда, при которых происходит контакт с веществами–канцерогенами;
- сбои в иммунной системе;
- хронические инфекции.
Симптомы опухолей почек
Новообразования долгое время могут не давать симптомов. Проявляются они только при разрастании опухоли до приличных размеров.
Крупное образование растягивает капсулу почки, мешает оттоку мочи и пережимает сосуды. Больные жалуются на усиливающуюся боль в пояснице, отдающую в промежность, и бедро.
Доброкачественные образования небольшого размера могут вообще не заявлять о себе, выявляясь случайно на УЗИ или МРТ.
В почечной ткани обнаруживаются различные доброкачественные опухоли:
- Кисты — полости, наполненные жидкостью. При множественных кистозных поражениях говорят о поликистозе.
- Аденомы — медленно растущие образования не вызывающие болей и не перерождающиеся в рак.
- Липомы – новообразования из жировой ткани, которые при быстром росте затрудняют работу почек. Не озлокачествляются.
- Фибромы – медленно растущие опухоли, состоящие из фиброзной ткани. Симптомы нарушения почечной функции они вызывают, только разрастаясь до больших размеров.
Злокачественные новообразования (рак и саркома) имеют различную симптоматику, но первым признаком любой почечной онкопатологии является появление крови в моче (гематурия). В дальнейшем у больного развиваются:
- слабость, усталость, утомляемость;
- лихорадка;
- тошнота, рвота, похудение;
- плохоустраняемое повышенное АД;
- задержка мочи;
- боль в пояснице.
Эти симптомы вызваны отравлением организма продуктами обмена опухолевых клеток, разрушением почек и переходом процесса на соседние органы (мочеточники, спинной мозг).
Некоторые опухоли вырабатывают гормон эритропоэтин. У больного развивается полицитемия. Организм вырабатывает огромное количество красных кровяных телец — эритроцитов, вызывающих чрезмерное полнокровие.
Язык и губы приобретают синеватый оттенок, конъюнктива глаз становится красноватой, а в кончиках пальцев рук возникает сильное жжение, вызванное кровяным застоем.
Симптомы при прогрессировании опухолей почек
Симптомы развития рака почек можно охарактеризовать в подробностях так:
- Больные жалуются на кожный зуд, боль в животе, костях, суставах, приливы к голове, слабость, утомляемость, ухудшение общего состояния. Нарушение работы почек приводит к стойкому повышению АД, неснижаемому стандартными препаратами.
- Распад опухоли почки приводит к появлению крови в моче (гематурии). Урина приобретает кровяной или гнилостный запах. Сгустки крови, закрывая пути оттока мочи, вызывают почечную колику — резкие боли в пояснице, вызванные перерастяжением почечных структур скопившейся мочой.
- Сдавление опухолью вен у мужчин вызывает расширение вен семенного канатика — варикоцеле. Если при отсутствии почечной патологии эта болезнь появляется слева, то при почечных опухолях варикоцеле образуется на стороне пораженной почки, или с обоих. Поэтому поражение вен семенного канатика справа – повод срочно проверить почки на наличие опухолей.
Нарушение почечной функции, вызванное опухолевым процессом, приводит к отекам лица, наиболее выраженным в утреннее время.
Диагностика опухолей почек
Для диагностики применяются УЗИ почек и надпочечников — самый безопасный, дешевый и безболезненный способ, МРТ и нефросцинтиграфия. Эти исследования позволяют выявить новообразования на ранних стадиях. С помощью ангиографии или УЗ-допплерографии определяется злокачественность опухоли и ее размер.
Не всегда опухоль на УЗИ выглядит типично. Чтобы не пропустить онкологический процесс, больным назначают:
- Анализ мочи. Обнаружение крови — гематурия – частый симптом рака почек. Нарушение работы органа и присоединение инфекции вызывает появление в моче лейкоцитов и белка;
- Кровь на биохимический анализ. Увеличение паратгормона, вырабатываемого паращитовидными железами — своеобразный маркер злокачественных опухолей почки. В крови повышается уровень креатинина, мочевины, альфа-2-глобулинов, ЛДГ4, щелочной фосфатазы, кальция. Увеличение печёночных ферментов указывает на метастазирование опухоли в печень. Анализ на онкомаркеры — обязательное обследование и при других опухолях в организме.
- Анализ периферической крови (из пальца) меняется при возникновении опухоли, вырабатывающей гормоны, стимулирующие выработку эритроцитов. В крови обнаруживается большое количество красных кровяных телец. При злокачественных опухолях увеличивается СОЭ.
В спорных случаях берется фрагмент тканей на биопсию. Подтверждение злокачественности или доброкачественности новообразования помогает врачам определиться с тактикой операции.
Если опухоль злокачественная, проводится рентген легких, позвоночника и УЗИ брюшной полости для выявления метастаз.
Нормы УЗИ почек
На УЗИ почек устанавливают нормы расположения, формы, структуры и размеров обеих почек.
| Стандартные размеры почки на УЗИ у взрослого | Форма и расположение | Эхогенность почек | Особые термины в протоколе УЗИ почек |
| Толщина: 4-5 см; ширина: 5-6 см; длина: 10-12 см. Передне-задние размеры – до 1,5 смРазмеры почек между собой могут отличаться до 2 см | Бобовидная форма; левая почка расположена повыше правой; наружные контуры органов — ровные и четкие; | капсула почек до 1,5 мм, гиперэхогенная; пирамидки имеют низкую эхоплотность; эхоплотность почечного синуса равна эхоплотности околопочечной клетчатки; эхогенность почек равна эхогенности печени или чуть ниже. | Столбы Бертена — частичная гипертрофия коры почек — это норма. |
| Толщина паренхимы у людей среднего возраста не превышает 2,3 см. С возрастом ткань почки уменьшается и после 60 лет ее размер чуть больше 1 см. | Подвижность почки – 2-3 см (при дыхании) | Чашечно-лоханочная система при наполненном мочевом пузыре не видна, так как она анэхогенная | Индекс резистентности при допплерометрии в области ворот главной почечной артерии — 0,7, в междолевых артериях – 0,34-0,74 |
При аномалиях почек, узист опишет найдены ли аплазия, киста, гипоплазия, губчатая почка, объемные образования, конкременты. Описывается их количество, расположение, диаметр, эхогенность, эхоструктура, наличие акустической тени.
Как выглядят опухоли почек на УЗИ
- Аденокарцинома – раковая опухоль почки, выглядящая на УЗИ, как темное пятно округлой формы, иногда разделённое светлыми перегородками. Стенка новообразования неровная и тонкая. Внутри часто видны светлые участки–кальцинаты, образованные солями кальция. Опухоль быстро растет, что хорошо видно на повторном УЗИ. Поскольку новообразование быстро дает метастазы, больным нужно обследовать и другие органы, в первую очередь — печень и легкие.
- Переходно-клеточная карцинома – рак лоханки почки. В отличие от камня или кровяного сгустка, с которыми его иногда путают, новообразование не смещается при перемене тела больного. Быстро вызывает появление крови в моче. Разрастаясь, приводит к застою урины в почке, сопровождающемуся коликами.
- Нефробластома (эмбриональная аденомиосаркома, опухоль Вильмса) выявляется у детей в возрасте до 8 лет. На УЗИ выглядит, как крупное темное пятно. Быстро растет, увеличиваясь в размерах и давая метастазы. Причины болезни не выяснены, не исключено влияние наследственности. Считается, что зачатки нефробластомы закладываются внутриутробно. При ее обнаружении нужно обследовать весь организм ребенка на возможность метастаз.
- Ангиолипомы и липомы — доброкачественные опухоли почки, состоящие из жировых, сосудистых и мышечных клеток. Это плотное образование небольшого размера на УЗИ выглядит светлым. Растет очень медленно и не даёт симптомов. Однако во время беременности опухоли могут разрастаться, мешая оттоку мочи и сдавливая сосуды.
- Онкоцитома — доброкачественная опухоль, встречающаяся у мужчин пожилого возраста. Из-за невысокой плотности на УЗИ выглядит темной. Опухоль часто перерождается в рак, поэтому от нее рекомендуют избавляться.
- Кисты — опухолевидные образования в почках выглядящие как полости с жидким содержимым. Имеют равномерную плотную оболочку и четкие контуры, отличаясь от раковых опухолей отсутствием перегородок. Могут быть множественными. В этом случае говорят о поликистозе.
Лечение опухолей почек
Чем раньше обнаружено новообразование, особенно злокачественное, тем лучше прогноз и выше выживаемость. Поэтому при первых симптомах поражения почек нужно обращаться к врачу — урологу, который даст направление на УЗИ. Если патология опухоль окажется злокачественной, лечение продолжит онколог.
При выявлении мелких одиночных доброкачественных опухолей, не мешающих работе почек, операцию делают не всегда. Часто больным назначают наблюдение с регулярным прохождением УЗИ и сдачей анализов. Если доброкачественное образование мешает выделению мочи или вызывает боль, производят его резекцию (удаление). Почку стараются сохранить.
При обнаружении крупных или злокачественных новообразований проводится их удаление с максимальным сохранением тканей органа. При раке дополнительно назначается лучевая и химиотерапия.
В запущенных случаях проводится нефрэктомия (орган удаляется полностью). При диагностике метастаз проводят лучевую и химиотерапию.
УЗ-обследование показано больным, когда-то перенесшим рак почек и излечившимся от него. Онкологические патологии могут возвращаться (рецидивировать) через много лет, поэтому больным нужно тщательно следить за своим здоровьем.
Лечить опухоль почки любого типа нужно строго обязательно, так как такая патология опасна для жизни. Обратиться по поводу диагностики и лечения опухоли почки можно в частную клинику Диана в Санкт-Петербурге.
Здесь есть новый экспертный аппарат УЗИ с доплером и другое современное медицинское оборудование. Стоимость УЗИ почек и надпочечников — 1000 руб. В клинике можно сдать все все анализы. Прием ведут опытные урологи и онкологи. Стоимость приема врача — 1000 руб. Повторный прием — 500 руб.
, пожалуйста, выделите фрагмент текста и нажмите Ctrl+Enter
ссылкой:
Источник: https://medcentr-diana-spb.ru/urologiya/opuholi-pochek-pervoe-obsledovanie-uzi/
Диагностика рака почки

Какие исследования необходимо пройти, чтобы выявить злокачественное заболевание почек? Как происходит стадирование рака почки?
Рассказывает Джалилов �мран Бейрутович, хирург-онколог Отделения онкоурологии и общей онкологии Н�� онкологии им. Н.Н. Петрова.
Опухоль почки может быть обнаружена на основании симптомов, которые есть у пациента, либо на основании данных лабораторных и инструментальных методов исследования, назначенных пациенту по какой-либо другой причине. Если после этого врач заподозрил опухоль, для подтверждения диагноза необходимо выполнение исследований.
Лабораторные исследования
Общий анализ крови
Рто метод диагностики, показывающий количество различных клеток РІ РєСЂРѕРІРё: лейкоцитов, эритроцитов Рё тромбоцитов.
Результаты этого теста часто изменяются у людей с раком почек. Наиболее частым признаком является анемия (снижение эритроцитов в крови).
Менее часто может встречаться слишком большое количество эритроцитов (называемое полицитемией) из-за того, что клетки рака почки производят слишком много гормона (эритропоэтина), заставляющего костный мозг производить больше эритроцитов.
Биохимическое исследование крови
Например, иногда обнаруживается повышение печеночных ферментов.
Высокий уровень кальция крови может свидетельствовать о распространении рака в кости, тем самым, направив врача на мысль о радиологическом исследовании костей (остеосцинтиграфии). Также биохимическое исследование показывает функцию почек, что особенно важно при планировании хирургического лечения.
Анализ мочи
Общий анализ мочи является частью необходимого первичного обследования пациента.
Микроскопические и химические исследования проводятся для выявления небольших количеств крови и других веществ, недоступных человеческому глазу.
Около половины из всех пациентов с раком почки имеют примесь крови в моче.
Если у пациента есть уротелиальный рак (лоханки, мочеточника, или мочевого пузыря), специальное микроскопическое исследование, называемое цитологическим исследованием, покажет наличие опухолевых клеток в моче.
Визуализационные методы
Компьютерная томография, магнитно-резонансная томография и УЗ� могут быть незаменимы в диагностике опухолей почек, однако пациент редко нуждается во всех этих исследованиях сразу. Онколог сам выберет наиболее подходящее исследование.
Компьютерная томография
Рто РѕРґРЅРѕ РёР· самых нужных исследований для обнаружения Рё изображения опухоли почки.
КТ может представить точную информацию о размере, границах и месте расположения опухоли в почке.
Если необходима биопсия (взятие небольшого кусочка опухоли), КТ можно использовать для выбора траектории проведения биопсийной иглы в опухоль.
Контрастирование при КТ может вызывать повреждение почек.
Рто возникает чаще Сѓ пациентов, Сѓ которых РЅР° момент исследования СѓР¶Рµ были проблемы СЃ почками.
На основании этого, до исследования необходима обязательная оценка функции почек, например при биохимическом анализе крови.
Магнитно-резонансная томография
МРТ реже используется у пациентов с подозрением или установленным диагнозом опухоли почки, чем КТ.
Наиболее часто этот метод может применяться при подозрении на распространение опухоли в просвет крупных сосудов, таких как почечная вена и нижняя полая вена, так как МРТ дает изображения кровеносных сосудов более высокого качества, чем КТ. Также МРТ может применятся при подозрении на распространение опухоли в головной или спинной мозг.
При МРТ часто используется контрастное вещество Гадолиний, которое вводится в вену для улучшения детализирования изображения.
МРТ исследование занимает дольше времени чем КТ – часто около часа – и является немного более дискомфортным.
Вы будете находиться в узкой трубе, и это иногда может вызывать клаустрофобию (боязнь закрытых пространств).
Также МРТ установки могут производить шум, подобных щелчкам или трескам, который также может беспокоить Вас.
РЈР—Р�
РЈР—Р�- использование высокочастотных звуковых волн для создания изображения внутренних органов. Рто исследование безболезненное Рё РЅРµ излучает радиации.
Ульразвук может определить наличие какого-либо образования в почках и определить, плотной ли оно структуры или наполнено жидкостью (опухоли почки чаще имеют плотную структуру). Если необходима биопсия опухоли, то часто может быть использовано УЗ�-наведение иглы для получения материала.
Позитронно-эмиссионная томография (РџРРў).
При этом исследовании в кровь вводится особая форма радиоактивного сахара, глюкозы.
Рто исследование может пометить совсем небольшие скопления опухолевых клеток Рё может быть использовано, например, РїСЂРё определении распространения рака РЅР° лимфатические узлы около почки. Р’ настоящее время РџРРў Рё РџРРў-РљРў РЅРµ являются стандартом РІ алгоритме диагностики Рё лечения опухолей почек.
Стадирование рака почки
Стадия злокачественного образования зависит от его распространения. Лечение и прогноз заболевания определяется в зависимости от стадии.
При постановке диагноза врач определяет стадию заболевания, основываясь на результатах врачебного осмотра, биопсии и диагностических исследований.
Стадия злокачественной опухоли – важный фактор, позволяющий оценить РїСЂРѕРіРЅРѕР· Сѓ пациента, однако РїРѕРјРёРјРѕ стадии рака почки значимыми являются еще несколько факторов. Рљ РЅРёРј относятся:
- Высокий уровень фермента лактатдегидрогеназы (ЛДГ)
- Высокий уровень кальция крови
- Анемия (снижение гемоглобина и эритроцитов крови)
- Распространение рака в 2 или более органа
- Время от диагностики до начала системного лечения (химиотерапии, таргетной терапии или иммунотерапии) менее 1 года.
- Плохой общий статус (оценка того, насколько хорошо пациент может выполнять свою обычную деятельность)
По данным исследователей, эти факторы ассоциированы с более короткой продолжительностью жизни у больных раком почки, распространяющегося на другие органы.
Лица, у которых нет ни одного из этих факторов, как правило, имеют хороший прогноз.
1-2 фактора ассоциированы с промежуточным прогнозом, 3 или более фактора, как правило, ассоциированы с плохим прогнозом и ожидаемо меньшим ответом на лечение.
Источник: https://www.niioncologii.ru/highlights/index?id=654
Поделиться: