Допплерография (УЗДГ) сосудов почек

Дополненный и модифицированный метод ультразвуковой диагностики, основанный на эффекте Допплера, позволяет исследовать скорость кровотока и состояние артерий. Эта процедура называется допплерографией (УЗДГ), и проводится для выявления патологических процессов в органах, имеющих артерии и сосуды.
Допплерография сосудов почек определяет состояние здоровья сосудов и вен, отвечающих за правильное функционирование органа. Допплеровский эффект представляет собой разницу между частотами посылаемого в орган ультразвукового импульса и ответным эхо-сигналом, отраженным от красных кровяных телец (эритроцитов).
Данные исследования передаются на монитор компьютера, и расшифровываются медицинским специалистом. Существует спектральная допплерография и визуализационная. Первая передает оценку состояния кровотока в виде кривой линии, вторая – в виде наглядной картинки в цветном или черно-белом варианте.
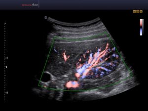
Цветовое разрешение показателей, иначе цветовое допплеровское картирование (ЦДК) имеет большую информативность, поскольку, фактически, исключает ошибки при диагностике. Красным цветом на мониторе отображается кровоток, направленный к датчику, голубым – движение кровотока от датчика. Яркость цвета определяется скоростью процесса тока крови.
Поскольку традиционное УЗИ почек позволяет оценить только качественное здоровье самих органов, для постановки точного диагноза используется УЗИ почек с допплерографией. Двойное исследование является более глубоким, специалист имеет возможность изучить сам орган, скорость кровотока и состояние сосудов.
Сочетание УЗИ с допплерографией или дуплекс сосудов определяет патологию на раннем этапе ее развития, когда пациент не предъявляет жалоб на симптоматику.
УЗДГ почек позволяет дифференцировать раковое новообразование от доброкачественной опухоли. Оценить состояние и строение клеточных элементов почек, осуществляющих специфическую функцию (паренхимы).
Определить наличие почечно-каменной болезни. В период беременности с помощью исследования Допплера диагностируется пониженное содержание кислорода в органах и тканях (гипоксия) у будущего ребенка.
Осмотр состояния почечных сосудов можно производить из нескольких доступов
Случаи назначения допплерографии
Исследование сосудов почек и самого органа посредством допплерографии проводится на основании выявленной симптоматики, с целью подтверждения или опровержения первоначального диагноза, а также для более детального выявления причин уже имеющейся патологии.
Основными показаниями для назначения УЗДГ сосудов почек являются:
- регулярные болезненные ощущения в поясничном отделе спины, не связанные с мышечными перегрузками;
- боли, связанные с нарушением опорожнения мочевого пузыря;
- анормальные показатели лабораторных анализов мочи (лейкоциты, кровь, белок);
- гипертония 2-й и 3-й стадии;
- обострение хронического течения любых болезней почек;
- эндокринные сбои;
- предположение на наличие новообразований;
- подозрение на патологические изменения сосудов;
- предоперационный период обследования;
- патологии при беременности;
- посттравматические боли.
Диагностические мероприятия проводятся амбулаторно, не доставляют дискомфортных ощущений, не имеют противопоказаний, и являются безопасными для здоровья.
В случае когда УЗДГ не выявило никаких отклонений, а симптоматика продолжает развиваться, назначают МРТ (магнитно-резонансную томографию) или КТ (компьютерную томографию) почек.
Это может быть обусловлено единственным недостатком метода Допплера – неспособностью к исследованию мелких сосудов.
Мероприятия перед допплерографией
Объективные результаты УЗДГ возможны при соблюдении определенных правил перед процедурой. Подготовка несложная, но необходимая. Чаще всего, исследование назначается на утренние часы.
Как подготовиться к УЗИ почек и надпочечников?
Обязанности пациента перед процедурой следующие. Не менее, чем за 48 часов перед процедурой разгрузить рацион.
Исключить молочные и кисломолочные продукты, любую выпечку (включая хлеб), овощи в сыром виде, фрукты, горох и фасоль, газировку, сладкие блюда и напитки. Данная диета необходима для уменьшения метеоризма в кишечнике. С этой же целью, производится прием лекарственных средств, таких, как Эспумизан, активированный уголь (по две таблетки утром и перед сном).
Важно не принимать пищу и воду с вечера накануне запланированного исследования. УЗИ почек с допплером не проводится после любых других обследований органов системы пищеварения, а так же при нарушении кожных покровов (раны, язвы, ожоги) на обследуемой области.
Порядок проведения УЗДГ
Процедура проводится в исходном положении лежа на боку. Освободив торс от одежды, пациент располагается на кушетке. Врач равномерно перемещает специальный датчик, подключенный к основному аппарату УЗИ, по телу пациента. От устройства исходят ультразвуковые волны, которые при контакте с красными кровяными тельцами, отражаются, преображаются в электроимпульсы и отображаются на мониторе.
Для облегчения скольжения датчика по коже, последний смазывается медицинским гелем
Необычные звуки, которые могут сопровождать продвижение датчика, передают показатели кровотока. Равномерные звуки не должны вызывать беспокойство. Пронзительным энергичным звуком определяется участок с патологическими изменениями. Временной интервал проведения УЗИ с допплером определяется 25–30 минутами. Постпроцедурные мероприятия – не предусмотрены.
Раскодирование результатов
Результаты допплерографии направляются лечащему врачу, который дешифрует информацию. Полученные показатели сопоставляются с нормативами, и доктор диагностирует то или иное заболевание почек.
В норме показатели УЗДГ почечных артерий укладываются в следующий цифровой диапазон
| артерии | диаметр | скорость кровотока систолическая/дистолическая |
| ствол основной | около 4,5 мм | до 80 см/сек и до 38 см/сек |
| сегментарные | 2,2 мм | до 50 см/сек и до25 см/сек |
| междолевые | около 1,5 мм | до 35 см/сек и до 18 см/сек |
| дуговые | 1,1 мм | до 26 см/сек и до12 см/сек |
Контуры органов должны быть ровными. Отличие одной почки от другой по размеру допускается не более двух сантиметров. В процессе дыхания почка не смещается более, чем на 2,5 см.
Помимо этого, специалист оценивает форму и эхоплотность органов, анатомическое строение и расположение вен и артерий, сосудистую систему в целом, надпочечники, расположение почек относительно друг друга и другие параметры.
Прерогативные аспекты УЗИ с допплером
Преимущества использования данного метода исследования заключаются в следующем:
- патологические изменения в почках не имеют возрастных критериев, УЗДГ почечных сосудов разрешено проводить в любом возрасте;
- метод не является инвазивным, то есть не происходит прямое вмешательство в организм пациента;
- оценить состояние здоровья почек возможно сразу после проведения исследования;
- допплерография не является редким или недоступным способом диагностики;
- УЗДГ не требует больших временных затрат.
На современном этапе развития доступной медицины, допплерография является прерогативной диагностической методикой почечных заболеваний. Вовремя проведенная процедура диагностирует заболевание в начале его развития.
Источник: https://apkhleb.ru/uzi/dopplerografiya-uzdg-sosudov-pochek
Уздг сосудов почек с цдк, узи почечных артерий: подготовка к сканированию

Методики УЗИ сосудов почек позволяют выявить их патологию непосредственно на момент осмотра. С помощью УЗИ сосудов и артерий оценивают месторасположение почечных сосудов, их локализацию относительно почки, скорость движения крови по сосудам, их диаметр, определяют возможные препятствия току крови (тромбы, стенозы, атеросклеротические образования и т.п.).
Виды ультразвуковой диагностики почечного кровотока
- ультразвуковая допплерография/допплерометрия (УЗДГ сосудов почек);
- ультразвуковое дуплексное сканирование (УЗДС, дуплекс сосудов);
- цветовое допплеровское картирование (ЦДК).
Дуплексное сканирование дает возможность оценить не только скорость кровотока, но и анатомию сосуда. Дуплексное сканирование — один из самых передовых методов диагностики.
Дуплексное сканирование (дуплекс) носит такое название, потому что сочетает в себе две возможности изучения сосудов почек:
- изучение сосудистой архитектоники (общее строение, тип и калибр пораженного сосуда);
- функциональной составляющей (скорости тока крови, величину сопротивления в сосудистом русле).
Комплексное УЗИ почечных артерий и вен дает возможность достоверно, детально и совершенно безболезненным способом оценить их состояние как физическое, так функциональное.
Позволяет выявить патологический процесс на ранних стадиях заболевания при бессимптомном течении болезни, дает возможность проследить процесс в динамике, не нанося ущерба здоровью пациента, непосредственно при исследовании или в отдаленном периоде. Это один из самых современных и лучших диагностических методов.
Цветовое допплеровское картирование
ЦДК, как вид УЗИ, основанный на Допплеровском эффекте, позволяет оценить сосудистый кровоток. Основой ЦДК является сочетание черно-белого изображения в УЗИ-диапазоне и оценки тока крови по допплеру.
Когда аппарат установлен в режим ЦДК, врач может видеть на мониторе обычное УЗ-изображение. В той его части, которая изучается, в цвете даны скорости потока крови.
Способы цветной кодировки картограммы следующие:
- оттенками красного цвета кодируют скорость кровотока, движущегося по направлению к датчику;
- оттенками голубого – скорость тока крови, движущейся от датчика.
Цветное допплеровское картирование дает врачу возможность максимально точно рассмотреть характеристики кровотока в почечных сосудах, с использованием цвета
Чем менее насыщенный цвет, тем, соответственно, меньше скорость. Кроме того, на мониторе отображена оттеночная шкала и ее расшифровка (описание соответствия оттенка-скорости).
ЦДК визуально отображает и анализирует: направление, скорость и характер потока крови, проходимость, сопротивление и диаметр изучаемого сосуда.
ЦДК позволяет диагностировать: утолщения стенки сосуда с указанием его, наличие тромбов и атеросклеротических бляшек в пристеночном пространстве, позволяет отличить их друг от друга; аневризму и чрезмерную извитость сосудов.
Показания к назначению допплерографии почечных сосудов
Допплерометрию, как элемент ультразвуковой диагностики почек, назначают, если подозревается нарушение кровотока в сосудах, питающих почку (для уточнения причины и формы нарушения), если при обследовании были обнаружены признаки заболевания почек:
- нарушение и болезненность при мочеиспускании;
- отеки лица или век, особенно выраженные по утрам;
- боль в области поясницы, не связанная с заболеваниями позвоночного столба;
- стойкая гипертензия.
Допплерометрия назначается:
- в случае подозрения на почечную недостаточность, аномалии развития;
- при обнаружении опухолей надпочечников и почек;
- для изучения формирования кровеносной системы опухоли, развития коллатералей;
- в случае подозрения на патологическое расширение сосудистой стенки;
- для изучения динамики патологического процесса при лечении.
Допплерометрия может быть назначена при стойкой гипертензии, отечности и хронических болях в спине, не имеющих связи с нарушениями работы позвоночника
Подготовительные процедуры к допплерографии
Естественный вопрос — нужна ли подготовка к процедуре УЗДГ? Подготовка хоть и небольшая, но нужна обязательно, так как для достоверности и информативности исследования необходимо свести к минимуму содержания кишечных газов в организме. Поэтому подготовка включает в себя диету, прием энтеросорбентов (Энтеросгель, белый уголь и т.п.) и для пациентов с сильным метеоризмом прием препаратов, содержащих симетикон (Дисфлатил, Эспумизан).
На первом этапе подготовки нужно исключить из рациона продукты, способствующие газообразованию. Делать это нужно не более 3-х дней. На втором этапе подготовки вечером (перед днем обследования) принять сорбенты, и если продолжается сильное газообразование, — ветрогонные средства (Дисфлатил). На этом подготовка заканчивается.
Противопоказания к проведению допплерографии и ход процедуры
Допплерометрия абсолютных противопоказаний не имеет. Если нет подозрений на острую патологию, требующую немедленного вмешательства, исследование не проводится после ФГДС и колоноскопии. В связи с тем, что эти процедуры способствуют попаданию воздушных пузырьков в кишечник. А также при глубоких ожогах кожи в исследуемых зонах.
Проводится УЗДГ в положении лежа, ничем процедура не отличается от другого УЗ-исследования. С помощью геля датчик УЗ-аппарата двигается по кожному покрову обследуемого. На мониторе врач может видеть отображаемые данные. Процедура занимает около 30-ти минут. Результат выдается сразу.
Данные в ходе исследования сразу же выводятся на монитор. Врач может попросить пациента пошевелиться, сам он использует для получения картинки специальный датчик
Результат ультразвуковой допплерографии сосудов почек
Приведем некоторые нормальные показатели почечных артерий:
Диаметр:
- основной ствол — 4,5±1,2 мм.;
- сегментарные артерии — 2,1 ±0,2 мм.;
- междолевые артерии — 1,5±0,1 мм.;
- дуговые артерии — 1,0±0,1 мм.
Систолическая (1) и диастолическая (2) скорость кровотока:
- основной ствол — 73±26 и 37±1 см/сек.;
- сегментарные артерии — 45±8 и 22±4 см/сек.;
- междолевые артерии — 32±3 и 13±4 см/сек.;
- дуговые артерии — 23±3 и 10±2 см/сек.
Тромбозы и стенозы вен и артерий, кровоснабжающих почки, оказывают непосредственное влияние на ультразвуковую картину органа в целом.
УЗДГ-картина при тромбозе вен почек показывает снижение или отсутствие тока крови по пораженному сосуду. Почка увеличена в размерах, изменена ее эхогенность в зоне дефицита кровоснабжения.
Могут визуализироваться коллатерали. Диагноз ставится на основании УЗДГ и дуплексного сканирования.
При поражении артерии, почка может быть увеличена или уменьшена в размере в зависимости от стадии процесса, допплерометрия фиксирует существенное снижение или отсутствие тока крови в пораженной артерии.
Стеноз артерии приводит к появлению зон инфаркта в почечной паренхиме. До стадии рубцевания они имеют гипоэхогенную структуру, после рубцевания – гиперэхогенную.
Диагноз ставится на основании УЗДГ и дуплексного сканирования.
На данный момент допплерометрия, как правило, сочетается с ультразвуковым дуплексным сканированием, а часто является его неотъемлемым дополнением. Дуплексное сканирование расширяет возможности УЗДГ сосудов почек. А в сочетании с ЦДК дает наиболее полную картину состояния сосудистого русла, которую только можно получить нетравматичными методами.
Источник: https://vedmed-expert.ru/brushina/uzi-sosudov-pochek.html
Уздг сосудов почек: подготовка и процесс проведения

УЗДГ сосудов почек – это вспомогательное обследование, предназначающееся для изучения мочевыводящей системы, в частности артерий и вен почек. Методика применяется, когда нужно узнать их состояние. УЗДГ дает возможность увидеть, как сосуды располагаются внутри почек, узнать размеры, диаметр, а также скорость протекания крови в них.
Для чего назначают УЗДГ сосудов почек
Такая методика основывается на том, что красные кровяные клетки отражают ультразвук. Специально разработанный датчик принимает эти реакции, преобразует их в импульсы тока, а дальше уже изображение выводится на монитор.
На экране получится увидеть артерии и вены, при этом нет никакого вмешательства в их работу (проникновение в почку не требуется). Еще исследование позволяет распознать, когда изменяется кровоток из-за спазма, стеноза кровеносных сосудов либо образования в них тромбов.
УЗДГ сосудов почек дает возможность определить наличие таких патологий:
- Уменьшается количество крови, которая проходит через сосуды органа.
- Диаметр сосудов меньше нормы.
- Проблемы с кровотоком (меняется скорость)
- Нарушения из-за атеросклероза.
Специалисты советуют проводить допплерографию сосудов почек при наличии таких симптомов:
- Боли в области поясницы (по бокам от нее)
- Повышенное кровеносное давление (провоцирующие факторы не определены)
- Падения, вызвавшие разрыв или ушиб органа.
- Почечные колики.
- Ярко выраженная отечность, которая вызвана патологиями сердца и кровеносных сосудов.
- Токсикоз при беременности (учитывается только симптом, проявляющийся в третьем триместре).
Кроме того, УЗДГ сосудов проводят для того, чтобы контролировать состояние почек после операции по их пересадке либо в тех случаях, когда необходимо уточнить диагноз, а стандартное УЗИ не дало результатов.
Маленьким детям УЗДГ назначается еще для определения врожденных пороков в развитии сосудов или выявления рефлюкса (из-за него жидкость из мочевого пузыря попадает в органы, расположенные выше).
Подготовка перед процедурой
Перед проведением процедуры пациент должен пройти подготовку. Это связано с тем, что почки вместе с их венами и артериями находятся достаточно глубоко в брюшной области тела, так что их визуализация может быть затруднена.
Основные правила подготовки следующие:
- За неделю (минимум за 2 дня) до планируемой процедуры требуется соблюдать диету. Это предотвратит образование газа.
- За двое суток до обследования требуется начинать прием препаратов из группы энтеросорбентов. Они тоже будут препятствовать формированию газов.
Но прежде чем переходить на новый рацион и принимать медикаменты, требуется проконсультироваться с доктором, так как при некоторых хронических болезнях подобные изменения противопоказаны.
Обычно обследование проводится в утреннее время. Перед процедурой пациенту нельзя кушать. Если она назначена на послеобеденное время, то минимальный промежуток между последним употреблением еды и процедурой 6 часов. Иначе УЗДГ будет не даст необходимой информации из-за проблем с визуализацией.
Если человек проходит комплексное обследование, то нужно учитывать, что УЗДГ запрещается проводить после колоно- или фиброгастроскопии. Это связано с тем, что после таких процедур в пищеварительный тракт всегда попадает воздух. Он будет затруднять визуализацию.
Как проводится УЗДГ
Допплерография сосудов почек считается полностью безопасным методом. Она не относится к инвазивным процедурам. Все манипуляции можно осуществлять в двух положениях. Это уже выбирает врач и больной. После подготовки пациент должен либо лечь на кушетку, либо сесть на нее, расположившись на боку.
После этого в месте, где находится проекция почки, доктор втирает в кожу специальный гель. Тогда у датчика будет улучшаться контакт с телом пациента. Специалист перемещает прибор по коже, чтобы найти более удобный ракурс. В это время на мониторе будут сразу же появляться изображения.
Обследование не вызывает неприятных ощущений (дискомфорта, зуда и прочего). Вся процедура длится примерно 40 минут. После этого нет никаких ограничений, так что человек может приступать к своим делам.
Результаты обследования
Врач проводит процедуру, после чего заполняет специальный бланк. В нем должна быть указана информация о пациенте, а также итоги обследования (состояние почек и их сосудов).
У здорового человека результаты будут следующими:
- Почки с обеих сторон имеют форму бобов.
- На изображении очертания почек ровные, хорошо просматриваются.
- Толщина наружного слоя органов примерно по 1,5 мм.
- Габариты правой и левой почки равны, но разрешается небольшое отличие (максимум 20 мм)
- Чашечки и лоханки не получается рассмотреть.
- Почечная и печеночная эхогенность примерно одна и та же.
- Когда человек дышит, почки меняют свое положение максимум на 3 см. В целом, левая всегда располагается немного выше правой.
- У главной артерии показатель резистентности составляет 0,7, а в сосудах междолевого типа он бывает в пределах 0,3-0,75.
Диаметр главной артерии должен быть примерно 4,5 мм, а у сосудов сегментарного типа – по 2,2 мм. У междолевых он примерно 1,5 мм, а у дуговых – до 1,1 мм.
Скорость систолического кровотока должна быть такой:
- Для главной артерии до 80 сантиметров в секунду.
- Для сегментарных – до 50 см/сек.
- Для междолевых – до 35 см/сек.
- Для дуговых – максимум 26 см/сек.
Скорость диастолического кровотока должна быть у здорового человека такой:
- Для главной артерии до 38 сантиметров в секунду.
- Для сегментарных – до 25 см/сек.
- Для междолевых – до 18 см/сек.
- Для дуговых – максимум 12 см/сек.
Кроме того, доктор в ходе обследования исключает аномалии в развитии органа и его сосудов, проверяет их состояние.
Что касается последнего, то у человека могут быть аневризмы, утолщения и истончения, разрывы. Еще нужно проверить просвет сосудов (есть ли сужения, и чем они вызваны).
Дополнительно в ходе процедуры можно изучить габариты надпочечников и состояние клетчатки в этой области туловища.
УЗДГ сосудов почек считается универсальным способом, который позволяет выявить большинство проблем. Еще одним преимуществом является отсутствие сложной и долгой подготовки перед процедурой.
Кроме того, допплерография сосудов почек – неинвазивная процедура, и на ее проведение требуется мало времени. Метод не вызывает побочных эффектов и осложнений, отсутствуют какие-либо противопоказания.
Загрузка…
Источник: https://KardioBit.ru/pochki/diagnostika-pochki/uzdg-sosudov-pochek
Уздг сосудов почек

Дата обновления: 30.10.2019
Полное название анализа: Допплеровское исследование сосудов почек
Время выполнения: 15-30 минут
УЗДГ или ультразвуковая допплерография сосудов почек – диагностическое исследование, основанное на эффекте допплера и способности ультразвука отталкиваться от движущихся кровяных частиц. При помощи процедуры можно измерить скорость кровообращения, оценить эластичность сосудистых стенок и сделать выводы о том, как хорошо поступает питание к почкам.
Где пройти УЗИ сосудов почек
При выборе медицинского учреждения нужно быть очень внимательным. Пройти УЗДГ почек можно в сети клиник МедЦентрСервис, пациенты которой получаются множество преимуществ:
- Информативный результат. Благодаря качественному оборудованию удается получить точные результаты диагностики.
- Индивидуальный подход к проблеме каждого пациента. Врачи имеют большой опыт работы и высокий уровень квалификации.
- Комфортное обследование, в приятной обстановке и без очередей.
- Отсутствие лучевой нагрузки. Ультразвуковая диагностика безопасна для организма.
Результат исследования будет готов сразу же, что позволяет немедленно обратиться к профильному врачу для расшифровки результата и назначения терапии.
Показания и противопоказания к УЗДГ
Уздг сосудов почек назначается врачом в следующих случаях:
- Если беспокоят почечные колики.
- При наличии системных патологии и заболеваний обмена веществ. К таким можно отнести сахарный диабет, васкулит.
- При подозрении на опухоли. Новообразования крупного размера пережимают сосуды и нарушают кровообращение.
- При нарушении мочеиспускания, плохой выработке мочи.
- Если беспокоят почечные отеки, связанные с нарушением функции органов.
- При гипертонии. Повышенное давление может возникать на фоне почечной патологии.
- Если наблюдаются негативные изменения в анализах мочи и крови.
- Беременным женщинам при осложнениях и позднем токсикозе.
- После механической травмы почек.
- При наличии хронической патологии мочевыводящей системы.
Также УЗИ сосудов почек назначают перед хирургическим вмешательством и в процессе лечения, чтобы оценить эффективность терапевтических мероприятий.
Самостоятельно записываться на УЗДГ не имеет смысла, направить на исследование должен врач. По своему желанию пациент может сделать простое УЗИ почек, с результатами которого нужно обратиться к врачу. Если доктор обнаружит отклонения, он назначит дополнительную диагностику.
Подготовка к процедуре
УЗИ сосудов почек требует подготовки. Для этого за 2-3 дня до обследования рекомендуется соблюдать диету, исключив следующие продукты:
- горох, бобовые, кукурузу;
- дрожжевую выпечку;
- кондитерские изделия;
- сырые овощи и фрукты;
- цельное молоко;
- газированные напитки;
- алкоголь в любом проявлении.
Все эти продукты вызывают чрезмерное газообразование в кишечнике, а лишний воздух мешает при УЗИ. Если не соблюдать диету, врач не сможет рассмотреть сосуды и исследование придется отложить.
Если пациента беспокоит метеоризм, можно накануне принять ветрогонный препарат, например, Эспумизан. Также необходимо очистить кишечник. Если дефекация не произошла естественным путем, рекомендуется сделать микроклизму или принять слабительное средство.
Чтобы получить точные результаты Уздг сосудов почек, рекомендуется отказаться от курения в день исследования и не принимать лекарства, влияющие на процесс кровообращения. По поводу отмены препарата следует проконсультироваться с врачом.
Как делают УЗДГ почек
Уздг сосудов почек для пациента ничем не отличается от обычного УЗИ и проводится в следующем порядке:
- пациент раздевается и ложится на кушетку;
- врач смазывает кожу гелем на водной основе для лучшей проводимости ультразвука;
- доктор прикладывает к коже наружный датчик и водит им из стороны в сторону;
- результат появляется на экране, при этом сонолог все полученные данные фиксирует в протоколе исследования.
После процедуры пациент вытирает с кожи остатки геля и одевается, затем получает на руки результат диагностики и может возвращаться к обычной жизни.
Нормы и расшифровка результата
В процессе расшифровки врач сравнивает полученные показатели с общепринятыми нормами, основанными на статистических данных. Нормальные показатели УЗДГ почек:
- Основной ствол правой и левой почки. Диаметр артерий 4,5 мм. Систолическая скорость кровотока до 80 см/сек, диастолическая до 38 см/сек.
- Сегментарные артерии. Диаметр 2,2 мм. Систолическая скорость кровотока до 50 см/сек, диастолическая до 25 см/сек.
- Междолевые артерии. Диаметр 1,5 мм. Систолическая скорость кровотока до 35 см/сек, диастолическая до 18 см/сек.
- Дуговые артерии. Диаметр 1,1 мм. Систолическая скорость кровотока до 26 см/сек, диастолическая до 12 см/сек.
- Брюшная аорта диаметром до 2 см.
- Почки имеют однородную структуру, ровные контуры, нормальное расположение, нормальную подвижность.
- Чашечно-лоханочный комплекс не расширен.
- Стенозов и окклюзии сосудов не выявлено.
- Кровоток магистральный не изменен.
- Аневризм не выявлено.
- Признаки тромбоза не выявлены.
Отклонения от норм не всегда свидетельствуют о наличии патологии, поэтому расшифровку лучше доверить врачу.
Данная статья размещена исключительно с целью ознакомления в познавательных целях и не является научным материалом или профессиональным медицинским советом. За диагностикой и лечением обратитесь к врачу.
Адреса и телефоны клиник
- Онлайн запись Клиника в Люберцах – это современный медицинский центр широкого профиля, в котором можно пройти полную диагностику всего организма. В круглосуточном режиме пациентов консультируют следующие врачи: гинеколог, невролог, кардиолог, терапевт, ЛОР, окулист, хирург, венеролог и прочие профильные специалисты. В клинике есть отделение диагностики, в котором можно сдать любые анализы, а также обследовать любую систему организма методом УЗИ.
- Онлайн запись Клиника в Митино – современное медицинское учреждение, врачи которого специализируются на комплексном лечении организма. Услуги гинекологов, урологов, дерматологов, маммологов, терапевтов, венерологов, лоров доступны круглосуточно. Современное оснащение лабораторий позволяет с высокой точностью определить любое нарушение в организме, благодаря чему квалифицированные врачи назначат эффективное лечение.
- Клиника в Отрадном ул. Пестеля, дом 11 +7 (495) 104-92-52 Круглосуточно Онлайн запись Специалисты клиники в Отрадном оказывают быструю и профессиональную помощь пациентам по предварительной записи. Большой спектр услуг позволяет пациентам решать проблемы консультативного, диагностического, терапевтического, хирургического, профилактического характера в любой области медицины (в том числе, выдача справок медицинского характера и вызов врача на дом).
- Онлайн запись Клиника на Белорусской — это современный медицинский центр, специализирующийся на урологии и гинекологии. В клинике Вы сможете сдать массу анализов, пройти УЗИ, ЭКГ, получить консультацию квалифицированных специалистов.
- Онлайн запись Медицинский центр на Сухаревской предлагает весь спектр медицинских услуг. Все виды анализов, диагностику, консультации специалистов, индивидуально подобранное лечение. Медцентр оснащен современным, качественным оборудованием, которое позволяет с наибольшей точностью поставить диагноз и провести эффективное лечение быстро и качественно.
- Онлайн запись Клиника на Курской — многопрофильный лицензированный медицинский центр. Клиника оказывает медицинские услуги по направлениям: гинекология, урология, андрология, дерматология, косметология, стоматология и др. К Вашим услугам: консультации, лечение и профилактика заболеваний, диагностика, анализы.
- Клиника в Медведково ул. Полярная, дом 32 +7 (495) 228-06-40 Круглосуточно Онлайн запись Медицинский центр отличается высоким профессионализмом коллектива и современным оснащением кабинетов. Прием ведут опытные специалисты, владеющие авторскими методиками лечения. Приезжайте к нам сдать анализы и пройти обследование. Мы обязательно поможем вам.
- Онлайн запись Медицинский центр на улице 1905 года предлагает весь спектр медицинских услуг. Все виды анализов, диагностику, консультации специалистов, индивидуально подобранное лечение. Клиника на улице 1905 года оснащена современным, качественным оборудованием, которое позволяет с наибольшей точностью определить диагноз заболевания и провести лечение быстро и эффективно.
- Онлайн запись Круглосуточный медицинский центр на Авиамоторной предлагает весь спектр медицинских услуг. Все виды анализов, диагностика, консультации специалистов, индивидуально подобранное лечение.
- Онлайн запись В клинике на Аэропорту Вы можете сдать все виды анализов, проконсультироваться со специалистом и, при необходимости, получить индивидуально подобранную схему лечения по результатам Ваших анализов.
- Онлайн запись Клиника на Беляево — одна из новейших в нашей сети. Это значит, в работе медицинского центра были соблюдены все новейшие требования к качественным медицинским услугам. Прием пациентов проводят врачи высшей квалификации: гинекологи, урологи, дерматовенерологи.
- Онлайн запись Приглашаем посетить нашу новую клинику в Марьино! Медицинский центр оснащен современным диагностическим оборудованием, в нем ведут прием опытные специалисты высших квалификационных категорий. К вашим услугам осмотр и лечение у гинеколога, уролога, дерматолога, венеролога, миколога, трихолога.
- Онлайн запись Клиника на м. Новые Черемушки – одна из новейших в нашей сети. А значит, в работе центра были соблюдены все новейшие требования к качественным медицинским услугам. Прием пациентов проводят врачи высшей квалификации: гинекологи, урологи, дерматовенерологи. Клиника работает без обеда и выходных с 09:00 до 21:00.
- Онлайн запись Медицинский центр на Проспекте Вернадского предлагает широкий спектр медицинских услуг: все виды анализов, консультации специалистов, индивидуально подобранное лечение. Основные направления: гинекология, урология, андрология, сексология, дерматология, косметология и др.
- Клиника в Солнцево ул. Главмосстроя, дом 7 +7 (495) 255-18-00 Круглосуточно Онлайн запись Клиника в Солнцево – одна из новейших в нашей сети. В работе медцентра были соблюдены все новейшие требования к качественным медицинским услугам. Прием пациентов проводят врачи высшей квалификации: гинекологи, урологи, дерматовенерологи. Медицинский центр в Солнцево работает без обеда и выходных, круглосуточно.
- Онлайн запись Многопрофильный медицинский центр на Таганской предлагает весь спектр медицинских услуг по направлениям: урология, гинекология, андрология, венерология, дерматология и др. В клинике на Таганской работают высококвалифицированные врачи высшей категории с большим практическим опытом в практической медицине.
- Онлайн запись Клиника на улице Академика Янгеля – одна из новейших в нашей сети. В работе центра были соблюдены последние требования к качественным медицинским услугам. Прием пациентов проводят врачи высшей квалификации: гинекологи, урологи, дерматовенерологи. Медцентр на Академика Янгеля работает без обеда и выходных с 09:00 до 21:00.
Остались вопросы?
Введите ваши данные, и наши специалисты свяжутся с Вами, и бесплатно проконсультируют по волнующим вас вопросам.
Источник: https://www.medcentrservis.ru/services/price/uzdg-sosudov-pochek/
Допплерография (УЗДГ) почечных артерий и сосудов в Москве за 2540 рублей — Клиника «Доктор рядом»

Аббревиатуру «УЗДГ» расшифровывают как «ультразвуковая триплексная допплерография».
УЗДГ почечных артерий представляет собой неинвазивный инструментальный метод диагностики, направленный на исследование состояния сосудов, снабжающих кровью почки.
Как становится понятным из названия, в процессе задействован ультразвуковой сканер, располагающий дополнительным режимом для проведения допплерографии.
УЗ-сканирование позволяет выявить целый ряд патологических состояний почечных артерий. Благодаря ей врач получает возможность изучить анатомические особенности их строения, определить их диаметр и скорость кровотока, сделав соответствующие выводы о состоянии здоровья пациента и определив дальнейшую тактику.
Если Вы не знаете, где сделать УЗДГ почечных артерий, но хотите быть уверены в том, что получите точные результаты, обращайтесь в клиники сети «Доктор рядом». Мы располагаем современным высокоточным оборудованием, которое в умелых руках наших диагностов позволяет творить настоящие чудеса диагностики.
Ультразвуковая триплексная допплерография основана на способности движущихся кровяных клеток отражать УЗ-волны. Датчик сканера сначала излучает их, а потом — поглощает их отражения, что позволяет получить изображение на экране ультразвукового аппарата. Это достигается благодаря их преобразованию в электрические импульсы.
Таким образом, УЗДГ почечных сосудов позволяет визуализировать артерии, расположенные внутри человеческого организма, без операционного вмешательства. Более того: благодаря данному методу можно отследить скорость и характер кровотока, а также определить его аномальные изменения. Таким образом, он позволяет: >lt;/p>
-
Диагностировать нарушения на разных стадиях их развития;
-
Оценивать эффективность лечения;
-
Определять изменения, которые провоцируют сужение просвета вен и артерий;
-
Определять нарушения, возникающие вследствие атеросклероза;
-
Выявлять этиологию ухудшения обеспечения почек кровью.
Показания к УЗДГ почечных артерий:
-
Болевая симптоматика интенсивного характера в области почек невыясненной этиологии;
-
Развитие почечной колики;
-
Стойкое повышение АД невыясненной этиологии;
-
Недавно перенесённые травмы спины, которые могли привести к ушибу или разрыву почек;
-
Токсикоз в третьем триместре у беременных пациенток;
-
Патологические состояния ССС, сопровождающиеся отёками;
-
Контроль почек после трансплантации.
Противопоказания к УЗДГ почечных артерий
Ультразвуковая триплексная допплерография является безвредной и безопасной процедурой, которая не имеет абсолютных противопоказаний. Это позволяет проводить её многократно для детей и взрослых. Относительным противопоказанием являются кожные заболевания с высыпаниями или нарушения кожного покрова в исследуемой области.
Подготовительный этап к УЗДГ почек
Для того, чтобы добиться качественной визуализации, пациенту нужно соответствующе подготовиться. В первую очередь подготовка должна быть направлена на минимизацию газообразования, поскольку газовые среды затрудняют проникновение УЗ-волн. Для этого за несколько дней до проведения манипуляций пациенту рекомендуют исключить из рациона продукты, способствующие газообразованию.
По назначению врача, пациенту также нужно принимать активированный уголь или другие энтеросорбенты, которые позволят очистить желудок. УЗ-диагностику проводят натощак, поэтому последнее потребление пищи должно состояться не позже чем за восемь часов до неё.
Особенности проведения УЗДГ почечных сосудов
Перед началом манипуляций пациент попросят освободить исследуемую область от одежды и принять положение лёжа на боку спиной к диагносту. Он наносит на спину в области проекции почек медицинский гель, который позволит исключить воздушные включения и обеспечит плотный контакт датчика УЗ-сканера с поверхностью исследуемой области.
Для получения необходимого изображения врач водит датчиком по коже, выставляя его под разными углами для того, чтобы добиться хорошей визуализации. Он фиксирует все наблюдения в карте пациента. Длительность процедуры не превышает тридцати минут. По её завершении пациент может встать, вытереть гель и одеться.
Расшифровка результатов УЗДГ почек
Для того, чтобы поставить диагноз и определиться с дальнейшим тактикой ведении пациента, врач сравнивает полученные результаты УЗ-диагностики и показатели нормы по целому ряду критериев, которые представлены в нашей таблице ниже:
|
Критерии |
Показатели нормы |
|
Форма почек |
Фасолевидная |
|
Контуры органа |
Чёткие, с ровными краями |
|
Размеры: |
Одинаковые:
|
|
Толщина капуслы |
1,5 мм |
|
Чашечки и лоханки |
Не визуализируются |
|
Индекс резистентности основной артерии |
0,7 |
|
Индекс резистентности междолевых сосудов |
Не менее 0,30 и не более 0,75 |
Преимущества проведения УЗДГ почек в клинике «Доктор рядом»
Диагностические исследования в клиниках «Доктор рядом» — это комфортные процедуры, которые позволяют получить точные результаты. Приём проводится по предварительной записи, поэтому очереди исключены.
Мы располагаем современным диагностическим оборудованием, а наши узисты — настоящие профессионалы, которые хорошо знают своё дело.
Ваш врач гарантированно получит все данные, которые ему необходимы для постановки диагноза.
Наши цены Вас приятно удивят: ознакомьтесь с ними в нашем прайс-листе, представленном ниже. Записывайтесь на приём по телефону: +7 (495) 153-01-33.
Источник: https://www.drclinics.ru/nashi-uslugi/med-uslugi/ultrazvukovye-issledovaniya/uzdg-pochechnykh-arteriy/
Поделиться: